Ultrasound: Focused Assessment with Sonography for Trauma (FAST) Exam

Read in Ukrainian

Introduction

Ultrasonography has become an increasingly important tool in the assessment of the trauma patient. Ultrasound performed as part of the initial examination of the trauma patient is known as the Focused Assessment with Sonography for Trauma (FAST) exam. When additional views are added to evaluate for pneumo- or hemothorax, it is called the extended FAST (E-FAST) exam. The primary purpose of the E-FAST exam is to identify pathologic fluid in the abdomen, pelvis or chest. FAST or E-FAST is typically included as an adjunct to the primary survey during the “C” or circulation portion of Advanced Trauma Life Support (ATLS) to assess for hemorrhage.
The established views of the FAST exam include the pericardial view, views of the right flank and left flank and views of the pelvis. Typically, the exam begins with the pericardial view, which allows for identification of potential pericardial tamponade, the most acutely life-threatening pathology visible on the FAST exam. However, the order may be adjusted based on the specific clinical scenario. The purpose of the FAST exam is to identify free fluid in the abdominal cavity or around the heart.
The presence of fluid on any of the views is considered a positive exam. Fluid typically appears as an anechoic collection, although clotted blood may appear echogenic. To qualify as a negative exam, all views must be adequately obtained with no evidence of fluid. If any portion of the exam cannot be adequately assessed, the FAST exam is considered indeterminate. A low frequency (2.5 to 5MHz) curvilinear probe is used for the FAST exam, with the addition of a higher frequency 5 to 10 MHz probe to perform the E-FAST exam (Figure 1).
A) 5-10 MHz probe
B)
2.5-5 MHz curvilinear probe
Ultrasound allows the operator to provide diagnostic information relatively quickly while at the patient’s bedside and without the risk of radiation.  Although image acquisition may appear difficult, quality images and accurate interpretation are possible with minimal training. There will always be equivocal cases, but with minimal effort and practice providers can rapidly build confidence in their ability to perform this diagnostic test.
There are two terms that reference probe adjustments that it is important to differentiate between when learning the FAST exam: “moving” and “fanning”.
“Moving” the probe side-to-side or up-to-down, etc., is moving the probe with your hand to a different location on the patient’s body while keeping the angle with which the probe is aligned to the patient’s body constant.  Conversely, “fanning”, is keeping the probe position on the patient’s body constant while adjusting the angle of the probe.

Pericardial View

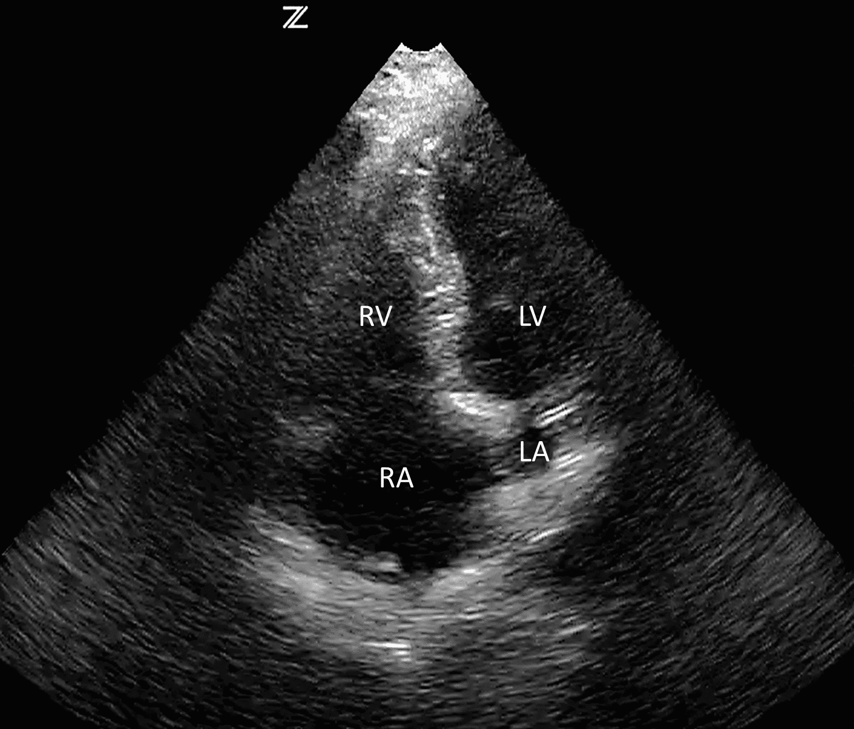
The pericardium is typically evaluated using a subxiphoid view. The curvilinear probe is placed in the subxiphoid region orientated transversely with the indicator pointed to the patient’s right. The probe is gently positioned under the xiphoid and fanned upward such that it nearly lies flat along the patient’s abdomen (Figure 2).
Subxiphoid Pericardial view.
A) Probe positioning. B) Normal view. C) Positive view with pericardial effusion.
RV (right ventricle), RA (right atrium), LV (left ventricle)
This typically does not require significant pressure and, if performed correctly, the patient should not feel significant discomfort with this maneuver. All four chambers of the heart should be visible. A pericardial effusion appears as an anechoic stripe. It is important to distinguish a pericardial effusion from the pericardial fat pad, which will move with the heart as it contracts. An effusion will not move. Patients with evidence of tamponade physiology may require immediate intervention, including thoracotomy or subxiphoid window.
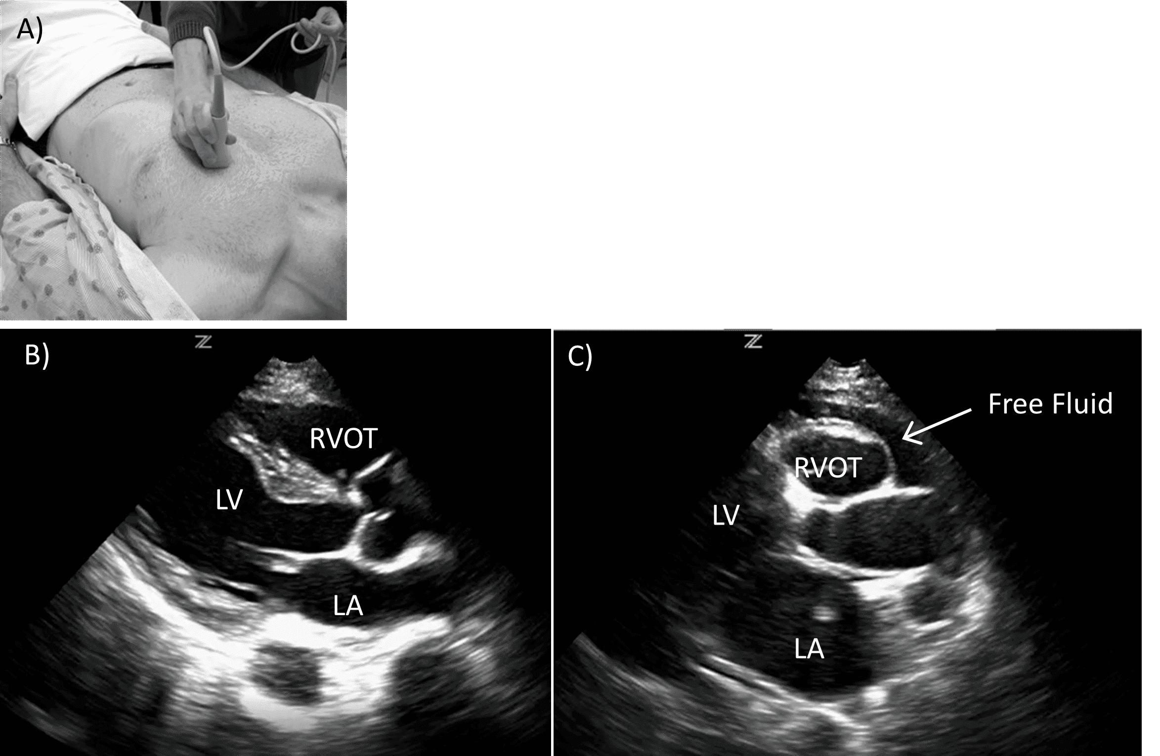
In patients who are obese or those who cannot tolerate significant epigastric pressure, parasternal long or apical four chamber views may be used. The parasternal long view is obtained by placing the probe perpendicularly at the 4th or 5th intercostal space to the left of the sternum with the probe indicator facing the patient’s right shoulder or left hip, depending on user preference. This allows for visualization of the right ventricle, intraventricular septum, left ventricle, left atrium and descending aorta. The right atrium is not visualized (Figure 3).
Parasternal long cardiac view.
A) Probe positioning. B) Normal view. C) Positive view with pericardial effusion.
RVOT (right ventricular outflow tract), LA (left atrium), LV (left ventricle)
The apical four chamber view is obtained by placing the probe on the left chest at the level of the 4th or 5th intercostal space midway between the midclavicular and anterior axillary lines with the marker facing the patient’s right. Placing the patient in left lateral decubitus position may be necessary to acquire the apical four chamber view (Figure 4). This view also allows for evaluation of right ventricular collapse, pericardial effusion and cardiac function.
Normal four chamber pericardial view.
RV
(right ventricle), RA (right atrium), LV (left ventricle), LA (left atrium)

Right Flank View

The right flank view is obtained by placing the probe between the midclavicular and posterior axillary lines near the 10th or 11th intercostal space with the probe indicator facing the patient’s head (Figure 5).
Right Flank View.
A) Probe positioning. B) Normal view. C) Positive view with free fluid.
The goal is to visualize the liver tip, the hepatorenal recess (Morison’s Pouch) and the hepatodiaphragmatic space. As no two individuals have the same anatomy, the exact position on initial placement is less important than a willingness to adjust based on what is visualized. Our approach is to attempt identification of the kidney with our probe placement. If we cannot capture the kidney in our view but visualize the liver, we know to move inferiorly, or vice versa. The probe is then fanned anteriorly and posteriorly to systematically evaluate Morison’s pouch and the interface between the kidney and the liver.
Sometimes this view can be challenging to obtain due to rib shadowing. Rib shadowing may be minimized by moving the probe up or down rib spaces or by rotating the probe counterclockwise to position it more parallel to the ribs. Paradoxically, often centering the probe directly onto the rib and then slightly adjusting position to “look over” the rib can be an effective technique to provide a clear view devoid of rib shadow.

Left Flank View

This view is used to visualize the splenorenal recess. On the left, the spleen sits more posteriorly and superiorly than the liver does on the right. Therefore, the left flank is visualized by placing the probe more posteriorly on the posterior axillary line, typically at the 8th or 9th rib space, with the indicator pointed towards the patient’s head. The probe is again fanned anteriorly and posteriorly (Figure 6).
Left Flank View.
A) Probe positioning. B) Normal view. C) Positive view with free fluid.
It is important to visualize the spleen and the kidney at the same time to prevent missing dependent fluid collections. Rib shadowing is also a challenge in this view and may be managed in a similar fashion to the right flank view, noting that the probe should instead be rotated clockwise to lie parallel to the ribs. The area posterior and superior to the spleen, beneath the diaphragm, should also be evaluated. Examining this area can enhance the sensitivity of this test, as blood can pool in this area first depending on patient anatomy.

Pelvic View

The pelvis is the most dependent area of the abdomen and may be the first place to accumulate fluid. The pelvic view is obtained by placing the probe just superior to the pubic symphysis with the indicator pointed towards the patient’s head. This provides a sagittal view of the bladder. The probe is then moved from side to side to evaluate for fluid behind the bladder (Figure 7).
Sagittal Pelvic View.
A) Probe positioning. B) Normal view. C) Positive view with free fluid.
It is important to visualize the pubic symphysis (which appears as a hyperechoic structure) as the bladder will arise anterior to it. Again, similar to all other views of the FAST exam, adjusting probe position by fanning can assist in obtaining better images and enhance sensitivity. Turning the probe in the transverse orientation, with the indicator pointed to the patient’s right, will provide an axial orientation of the bladder and can help identify fluid on either side, as well as distortion of the bladder itself. Under-distention of the bladder impairs visualization of small volumes of pelvic fluid.
If the patient has a foley catheter in place, the bladder may be filled with 200mL of sterile saline to create a sonographic window. The Pouch of Douglas is the most sensitive area of the pelvic view in women.

Pleural View

To evaluate for pneumothorax a higher frequency linear transducer (5-10 MHz) is typically used. To evaluate for hemothorax the curvilinear probe is more appropriate. The probe is usually placed in the midclavicular line around the 3rd or 4th intercostal space with the indicator pointed to the patient’s head (Figure 8A). Both the right and left sides of the chest are imaged. To evaluate for pneumothorax,sliding of the visceral and parietal pleura is examined either using gray scale B-mode, M-mode or doppler.
With good inspiratory effort or when a patient is mechanically ventilated with adequate chest expansion, the sliding of the visceral on parietal pleura is easy to visualize and can resemble “ants marching in a line”.  In patients with a pneumothorax, lung sliding will be absent. This view can also be used to evaluate for the presence of “comet tail artifacts”, which are caused by areas of interstitial edema on the visceral pleura and appear as vertical hyperechoic streaks extending from the visceral pleura “downwards”, deep into the lung (Figure 8B).
The presence of comet tails is normal, and these are not present in patients with a pneumothorax. M-mode may also be used to evaluate for pneumothorax. Patients with a normal lung will have a linear pattern above the pleural line and a granular pattern below the pleural line, the so-called “seashore sign” (Figure 8C). Patients with a pneumothorax will have a linear pattern throughout, also referred to as the “barcode sign” (Figure 8D). Hemothorax is most easily evaluated on the flank views at the costophrenic angle.
Pleural view.
A) Probe positioning. B) Comet tail artifact (arrow).
C) M mode view of lung sliding in normal lung (“seashore sign”). D) M mode view of lung sliding in lung with pneumothorax (“barcode sign”).

Accuracy of FAST examination in blunt trauma

Numerous prospective and retrospective studies have been conducted to evaluate the sensitivity and specificity of FAST exam in trauma patients. There has been significant variability in the outcomes due to different inclusion criteria, outcome metrics and varying patient populations. Some studies have found varying sensitivity based on the stability of the patient, with higher sensitivities in unstable patients.
Currently, most trauma providers will take a patient with hemodynamic instability and a positive FAST exam to the operating room for exploration without any additional cross-sectional imaging, consistent with standard ATLS guidelines. A negative FAST exam does not necessarily indicate the absence of injury and should not be used to rule out surgical pathology. In an unstable patient with a negative FAST exam and a high index of suspicion for intra-abdominal injury, a repeat FAST exam may be obtained in 15-30 minutes or a diagnostic peritoneal lavage (DPL) may be performed. In a stable patient with a negative FAST, cross-sectional imaging should be obtained to evaluate for intraperitoneal injury.

Accuracy of FAST examination in penetrating trauma

The accuracy of FAST examination in patients with penetrating thoracic injury has been supported in multiple studies, with sensitivity rates as high as 100%. Therefore, patients with a positive pericardial view with tamponade physiology should undergo emergent sternotomy or thoracotomy. The accuracy of the abdominal portion of the FAST exam in patients with penetrating traumatic injury is less clear.
Sensitivity and specificity rates of the FAST exam have been reported as low as 40% for patients with penetrating abdominal trauma, although sensitivity and specificity also change based on the stability of the patient. FAST exam is also not able to identify injuries such as hollow viscus injuries, diaphragm lacerations, pancreatic lesions or other abdominal injuries that do not produce significant free fluid. Therefore, patients with penetrating trauma and hemodynamic instability or signs of peritonitis should undergo emergent exploration in the operating room regardless of FAST results. For unstable patients with both thoracic and abdominal penetrating injury, the FAST exam may guide which cavity should be initially explored.
Ultrasound: Focused Assessment with Sonography for Trauma (FAST) Exam Trauma Surgery - GMKA - Global Medical Knowledge Alliance