Read in English

Вступ

УЗД стає все більш важливим інструментом при оцінці травмованого пацієнта. Ультразвукове дослідження, яке виконується під час первинного огляду пацієнта з травмою, відоме як сфокусована ультразвукова оцінка травми (FAST). Якщо для оцінки пневмо- чи гемотораксу використовуються додаткові положення датчика, це називається розширеним (E-FAST) дослідженням. Основною метою обстеження E-FAST є виявлення патологічної рідини в черевній порожнині, порожнині тазу або грудній клітці. FAST або E-FAST зазвичай включається як доповнення до протоколу первинного огляду в Advanced Trauma Life Support (ATLS) для оцінки внутрішньої кровотечі.
Стандартні проекції обстеження при FAST включають проекцію перикарда, проекції правого та лівого фланків, а також тазову проекцію. Як правило, обстеження починається з огляду перикарда, що дозволяє визначити можливу тампонаду перикарда, найбільш гостру патологію, яка загрожує життю, видиму під час обстеження FAST. Однак порядок може бути скоригований на основі конкретного клінічного сценарію. Метою виконання FAST-протоколу є виявлення вільної рідини в черевній порожнині або в порожнині перикарду.
Наявність рідини в будь-якій проекції вважається позитивним результатом дослідження. Рідина зазвичай виглядає як неехогенне утворення, хоча кров, що згорнулась, може виглядати ехогенною. Щоб оцінити FAST як негативний, в усіх проекціях не повинно виявлятися рідини. Якщо неможливо адекватно оцінити якусь із проекцій, FAST-протокол вважається сумнівним. Для виконання FAST-протоколу використовується низькочастотний (від 2,5 до 5 МГц) конвексний датчик, для проведення E-FAST  додатково використовують високочастотний датчик (5 до 10 МГц) (зобр. 1).
А) Датчик 5-10 МГц
B) Конвексний датчик 2.5-5 МГц
Ультразвук дозволяє оператору без ризиків опромінення відносно швидко отримати діагностичну інформацію, перебуваючи біля ліжка хворого. Хоча це може здатися складним, однак отримання якісного зображення та його точна інтерпретація можлива за мінімального навчання. Завжди будуть сумнівні випадки, але з мінімальними зусиллями та практикою лікарі можуть швидко опанувати навик виконання цього дослідження.
Є два терміни, які стосуються зміни положення датчика, і їх важливо розрізняти під час вивчення FAST це «зміщення» і «ковзання».
«Зміщення» це рух збоку в бік або вгору-вниз тощо, означає переміщення зонда рукою в інше місце на тілі пацієнта, зберігаючи постійним кут, під яким датчик розміщено до тіла пацієнта. І навпаки, «ковзання» означає збереження положення датчика на тілі пацієнта незмінним, регулюючи його кут відносно тіла.

Проекція перикарда

Перикард, як правило, оцінюється за допомогою субксифоідального доступу. Конвексний датчик розміщують під мечеподібним відростком груднини поперечно, маркер на датчику спрямований праворуч від пацієнта. Зонд обережно розташовують під мечоподібним виростком та скеровують догори так, щоб він майже пласко лежав уздовж живота пацієнта (Зобр. 2).
Зобр. 2. Субксифоідальний доступ.
A)
Позиціонування датчика. B) Норма. C) Перикардіальний випіт RV (правий шлуночок), RA (праве передсердя), LV (лівий шлуночок)
Як правило, це не потребує значного тиску, і за правильного виконання пацієнт не повинен відчувати значного дискомфорту під час цього маневру. Повинні візуалізуватись всі чотири камери серця. Перикардіальний випіт виглядає як анехогенна смуга. Важливо відрізнити перикардіальний випіт від перикардіальної жирової тканини, яка рухатиметься разом із серцем під час його скорочення. Випіт не рухається. Пацієнтам із ознаками тампонади може знадобитися негайне хірургічне втручання, включаючи торакотомію.
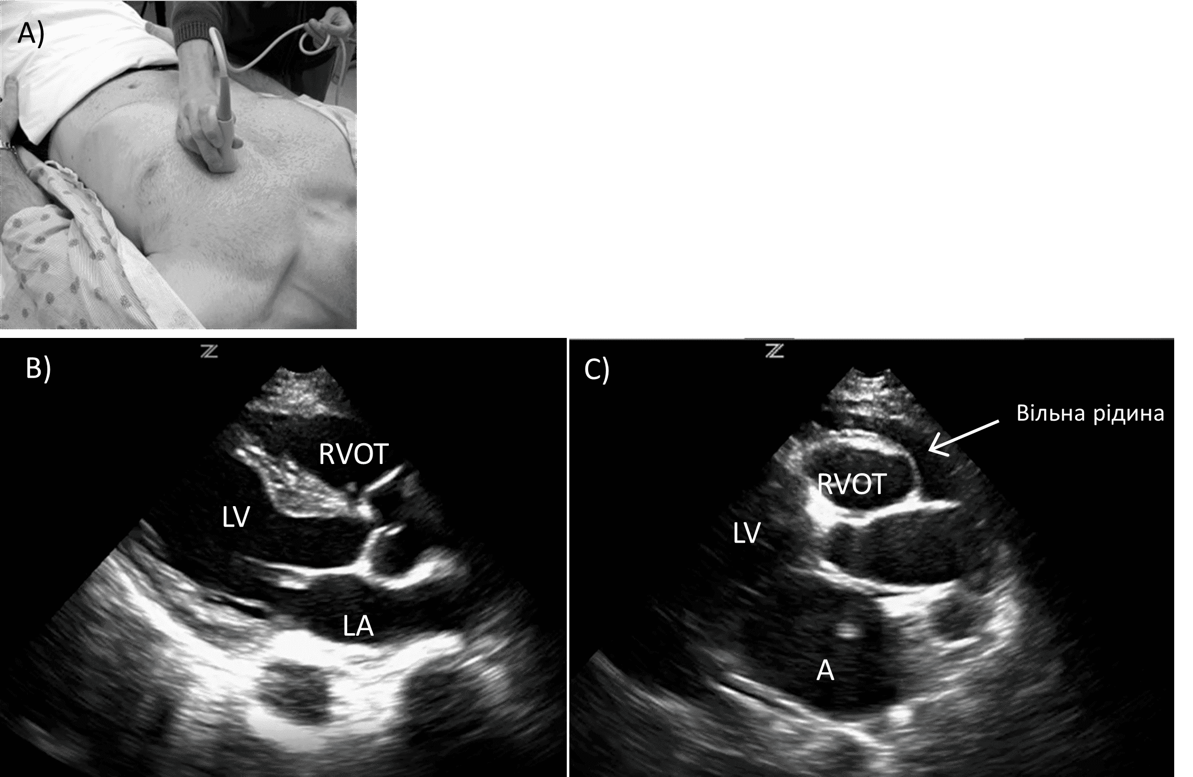
У пацієнтів з ожирінням або тих, хто не може переносити значний тиск на епігастральну ділянку, можна використовувати верхівковий чотирикамерний або парастернальний доступ по довгій осі. При парастернальному доступі датчик розташовують перпендикулярно в 4-му або 5-му міжребер’ї ліворуч від грудини, при цьому маркер датчика спрямовують на праве плече або ліве стегно пацієнта, залежно від уподобань лікаря. Це дозволяє візуалізувати правий шлуночок, міжшлуночкову перегородку, лівий шлуночок, ліве передсердя та низхідну аорту. Праве передсердя не візуалізується (зобр. 3).
Зобр. 3. Парастернальна позиція по довгій осі.
A) Розміщення датчика. B) Норма. C) Перикардіальний випіт. RVOT (вихідний тракт правого шлуночка), LA (ліве передсердя), LV (лівий шлуночок)
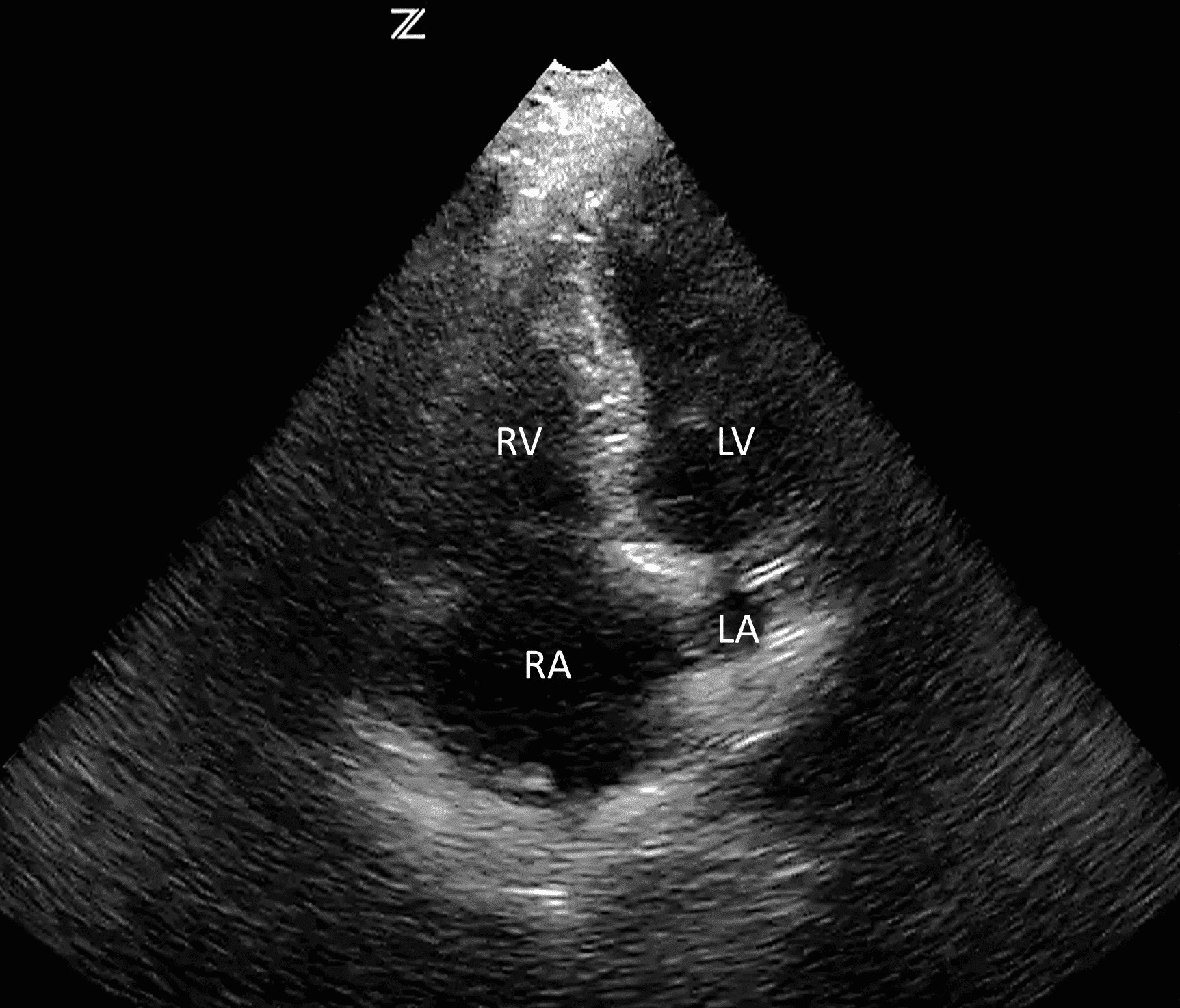
Верхівковий чотирикамерний доступ отримують шляхом розміщення датчика на лівій частині грудної клітки на рівні 4-го або 5-го міжребер’я посередині між середньоключичною та передньою пахвовими лініями, при цьому маркер спрямований праворуч від пацієнта. Може знадобитися розміщення пацієнта в положенні на лівому боці, щоб отримати чотирикамерний вид верхівки (зобр. 4). Цей доступ також дозволяє оцінити колапс правого шлуночка, перикардіальний випіт і серцеву функцію.
Зобр. 4. Нормальний верхівковий чотирикамерний доступ.
RV (правий шлуночок), RA (праве передсердя), LV (лівий шлуночок), LA (ліве передсердя)

Проекція правого фланку

Проекцію з правого фланку отримують, розташувавши датчик між середньоключичною та задньою пахвовими лініями у 10-му або 11-му міжребер’ї так, щоб маркер зонда був спрямований до голови пацієнта (зобр. 5).
Зобр. 5. Проекція правого фланку.
A) Позиціонування датчика. B) Норма. C) Вільна рідина.
Мета полягає в тому, щоб візуалізувати край печінки, гепаторенальне заглиблення (кишеня Морісона) і гепатодіафрагмальний простір. Оскільки немає двох людей з однаковою анатомією, точне початкове розміщення датчика є менш важливим, ніж наступна корекція положення на основі отриманого зображення. Наш підхід полягає в тому, щоб спробувати ідентифікувати нирку за допомогою датчика. Якщо ж ми не можемо візуалізувати нирку, але візуалізуємо печінку, ми знаємо, що потрібно рухатися вниз. Потім датчик рухають віялоподібно, щоб послідовно оцінити кишеню Морісона та межу між ниркою та печінкою.
Іноді зображення в цій проекції може бути важко отримати через затінення ребер. Затінення ребер можна звести до мінімуму, зміщуючи зонд вгору або вниз по ребрах або обертаючи зонд проти годинникової стрілки, щоб розташувати його більш паралельно ребрам. Як не парадоксально, часто розташування зонда безпосередньо на ребрі, з подальшою незначною корекцією положення, щоб «оглянути» ребро, може бути ефективною технікою для забезпечення чіткого огляду без тіні.

Проекція лівого фланку

Ця проекція використовується для візуалізації селезінково-ниркового заглиблення. Зліва селезінка розташована більш до заду та вище, ніж печінка справа. Таким чином, лівий бік візуалізують, розташувавши зонд позаду на задній пахвовій лінії, як правило, у 8-му або 9-му реберному просторі, маркер спрямований у бік голови пацієнта. Зонд знову рухають віялоподібно вперед і назад (зобр. 6).
Зобр. 6. Проекція лівого фланку.
A) Позиціонування датчика. B) Норма. C) Вільна рідина.
Важливо одночасно візуалізувати селезінку та нирку, щоб не пропустити скупчення рідини. Тінь ребер також може заважати візуалізації у цій проекції, цьому можна запобігти так само як і з правого боку, однак  слід зауважити, що датчик слід повертати за годинниковою стрілкою, щоб він лежав паралельно ребрам. Слід також оцінити ділянку позаду та вище від селезінки, під діафрагмою. Дослідження цієї області може підвищити чутливість цього тесту, оскільки кров спочатку може накопичуватися в цій області залежно від анатомічних особливостей пацієнта.

Тазова проекція

Таз є найбільш низькою діялнкою черевної порожнини і може бути найпершим місцем накопичення рідини. Тазова проекція отримується при розміщенні датчика трохи вище лобкового симфізу з маркером, спрямованим у бік голови пацієнта. Це забезпечує сагітальну картину сечового міхура. Потім зонд пересувають з боку в бік, щоб визначити наявність рідини за сечовим міхуром (зобр 7).
Зобр. 7. Сагітальний тазова проекція.
A) Розміщення датчика. B) Норма. C) Позитивний FAST з вільною рідиною.
Важливо візуалізувати лобковий симфіз (який виглядає як гіперехогенна структура), оскільки сечовий міхур може визначатися попереду від нього. Знову ж таки, як і в усіх інших проекціях при FAST, віялоподібні рухи датчиком можуть допомогти отримати краще зображення та підвищити чутливість. Поворот датчика в поперечному положенні з маркером, спрямованим праворуч від пацієнта, забезпечить осьову орієнтацію сечового міхура та може допомогти визначити рідину з обох боків, а також викривлення самого сечового міхура. Пустий сечовий міхур погіршує візуалізацію малих об’ємів тазової рідини.
Якщо у пацієнта встановлено катетер Фолея, сечовий міхур можна наповнити 200 мл стерильного фізіологічного розчину для створення сонографічного вікна. Дугласів простір є найбільш чутливою ділянкою тазу у жінок.

Плевральна проекція

Для оцінки пневмотораксу зазвичай використовується високочастотний лінійний датчик (5-10 МГц). Для оцінки гемотораксу більш доцільним є конвексний датчик. Датчик зазвичай розміщують по середньоключичній лінії у 3-4-му міжребер’ї, маркер спрямований на голову пацієнта (зобр. 8A). Щоб оцінити наявність пневмотораксу, ковзання вісцеральної та парієтальної плеври досліджують за допомогою B-режиму, M-режиму або доплеру.
При хорошому вдиху або при механічній вентиляції пацієнта з адекватним розширенням грудної клітки ковзання плеври легко візуалізувати, воно може нагадувати «мурах, що марширують шеренгою». У хворих з пневмотораксом ковзання плеври буде відсутнє. Цю проекцію також можна використовувати для оцінки наявності «артефактів хвоста комети», які спричинені ділянками інтерстиціального набряку на вісцеральній плеврі та виглядають як вертикальні гіперехогенні смуги, що йдуть від вісцеральної плеври «вниз», глибоко в легені (зобр. 8B).
Наявність «хвостів комети» є нормальним явищем, і їх немає у пацієнтів з пневмотораксом. М-режим також можна використовувати для оцінки пневмотораксу. Пацієнти з нормальними легенями матимуть лінійний малюнок над плевральною лінією та зернистий малюнок під плевральною лінією, так званий «ознака морського берега» (зобр. 8C). Пацієнти з пневмотораксом матимуть лінійний візерунок, який також називають «ознакою штрих-коду» (зобр. 8D). Гемоторакс найлегше оцінити у боковій проекції під реберно-діафрагмальним кутом.
Зобр. 8. Плевральний вид.
A)
Позиціонування датчика. B) Артефакт у вигляді «хвоста комети» (стрілка). C) Зображення у M-режимі нормальної легені («ознака морського берега). D) Зображення в M-режимі легені при пневмотораксі («знак штрих-коду»).

Точність дослідження FAST при тупих травмах

Було проведено численні проспективні та ретроспективні дослідження для оцінки чутливості та специфічності FAST-протоколу у пацієнтів з травмою. Спостерігалася значна варіабельність результатів через різні критерії включення, показники результатів і різні групи пацієнтів. Деякі дослідження виявили різну чутливість залежно від стану  пацієнта, з більш високою чутливістю у нестабільних пацієнтів.
Наразі більшість спеціалістів намагаються доставити пацієнта з нестабільною гемодинамікою та позитивним FAST-протоколом в операційну без будь-яких додаткових обстежень, відповідно до стандартних рекомендацій ATLS. Негативний результат при FAST не обов’язково вказує на відсутність травми та не повинен використовуватися для виключення хірургічної патології. У нестабільного пацієнта з негативним результатом FAST і високою ймовірністю внутрішньочеревної травми можна провести повторне дослідження FAST через 15-30 хвилин або виконати діагностичний перитонеальний лаваж. У стабільного пацієнта з негативним результатом FAST слід виконати КТ-обстеження для оцінки внутрішньочеревного ушкодження.

Точність FAST-протоколу при проникаючих травмах

Точність обстеження FAST у пацієнтів із проникаючим пораненням грудної клітки була підтверджена кількома дослідженнями з показниками чутливості до 100%. Таким чином, пацієнти з позитивним FAST у проекції перикарда та з ознаками тампонади повинні пройти екстрену стернотомію або торакотомію. Точність абдомінального дослідження FAST у пацієнтів із проникаючим травматичним ушкодженням менш ясна.
Повідомляється, що чутливість і специфічність обстеження FAST становить лише 40% для пацієнтів із проникаючою травмою живота, хоча чутливість і специфічність також змінюються залежно від стану пацієнта. FAST-протокол також не в змозі ідентифікувати такі травми, як пошкодження порожнистих внутрішніх органів, розриви діафрагми, ураження підшлункової залози або інші травми черевної порожнини, при яких не накопичується значної кількості вільної рідини. Таким чином, пацієнти з проникаючою травмою та гемодинамічною нестабільністю або ознаками перитоніту повинні пройти екстрену лапаротомію незалежно від результатів FAST. Для нестабільних пацієнтів із одночасним проникаючим пораненням грудної та черевної порожнини обстеження FAST може визначити, яку порожнину слід дослідити спочатку.
Ультразвукове дослідження: Сфокусована ультразвукова оцінка травми (FAST-протокол) Невідкладна хірургія - GMKA - Global Medical Knowledge Alliance