Ovarian Cancer
Authors
Introduction
Ovarian cancer is the third most common gynecologic cancer worldwide and a woman’s lifetime risk of disease development is 1.3%.[1] The American Cancer Society has estimated that in 2020, about 21,750 women will be newly diagnosed and about 13,940 women will die from ovarian cancer. Based on this, ovarian cancer would rank fifth in the United States (US), with respect to cancer deaths among women.[2] The term “ovarian cancer” is often used to describe a single diagnosis. In reality, “ovarian cancer” includes a diverse group of malignancies that affect the ovary, fallopian tube and peritoneum. While acknowledging this, the term “ovarian cancer” will be used throughout the remainder of this chapter, for the sake of simplicity.
Ovarian cancer may arise from the epithelial, stromal or germ cell layer of the ovary (Figure 1). They may also arise from the surrounding fallopian tube or peritoneum. The vast majority of ovarian cancers arise from the epithelial layer and the most common histologic type is high-grade serous, accounting for 75% of cases.[3] As mentioned earlier, the mortality rate associated with ovarian cancer is high and this is in part related to the fact that >70% of patients have advanced-stage disease at the time of their initial diagnosis.[4,5] The median age of ovarian cancer diagnosis in Europe and the US is 63 years-old, but age of diagnosis is heavily impacted by factors such as the presence of a high-risk inheritable mutation and/or histology.[6,7]
Several factors have been associated with an increased risk of ovarian cancer and include: age, family history of ovarian cancer (independent of the presence of an inherited mutation), history of infertility, cigarette smoking and polycystic ovarian syndrome. Endometriosis and the presence of one of several high-risk genetic mutations are also associated with an increased risk of ovarian cancer and will be further discussed.
While itself a benign entity, endometriosis is associated with an increased risk of ovarian cancer. In several small case-control series and a large meta-analysis of more than 7,900 ovarian cancer cases, a self reported history of endometriosis was associated with an increased risk of endometrioid, clear cell and low-grade serous ovarian cancer. [8] A larger population study from Finland included more than 50,000 women with surgically verified endometriosis and showed a 4-fold increased risk of endometrioid ovarian cancer and a 10-fold increased risk of clear cell ovarian cancer within 10 years after initial diagnosis of endometriosis.[9,10] Patients with endometriosis associated ovarian cancer are generally younger at diagnosis and have a better overall survival (OS), compared to other ovarian cancer patients.[11] Despite harboring known cancer driver mutations that increase the risk of ovarian cancer, endometriosis is not considered a premalignant entity. Surgical removal of endometriosis has not been associated with a reduction in ovarian cancer risk.[9,10]
The presence of a germline mutation in BRCA1 or BRCA2 is associated with the greatest increase in ovarian cancer risk. The lifetime risk of ovarian cancer for a woman with a BRCA1 mutation is 54% and the risk associated with a BRCA2 mutation is 23%.[12] With an estimated world-wide prevalence between 1:300 and 1:800, BRCA1 and BRCA2 mutations account for the majority of ovarian cancer cases related to a germline mutation. [13] While Lynch Syndrome is commonly associated with an increased risk of colorectal and endometrial cancer, it is also associated with an increased risk of ovarian cancer (up to 13% lifetime risk). Lynch Syndrome is caused by a mutation in one of several mismatch repair pathway genes (MLH1, MSH2, MSH6, PMS2, EPCAM).[14,15] Additional mutations associated with an increased risk of ovarian cancer include mutations to genes within the Fanconi anemia pathway (BRIP1, BARD1, PALB2, RAD50,RAD51C, RAD51D), as well as tumor suppressors (TP53, PTEN, CHEK2, ATM, STK11, CDH1).[16–18]
Types of Ovarian Cancer: Epithelial Ovarian Cancer
High-Grade Serous Carcinoma
High-grade serous carcinoma (HGSC) is the most common histologic type of ovarian cancer and accounts for more than 70% of all cases.[19,20] On gross examination, tumors can be up to 20 cm in size and contain both solid and cystic components. Metastatic disease will commonly be found within the omentum and along the peritoneal surfaces (Figure 2).[21,22] The ovaries will typically be involved with visible disease. However, the ovaries will appear normal, while visible disease is seen elsewhere within the abdominal/pelvic cavity (e.g. peritoneum, bowel, diaphragm, omentum), in up to 30% of cases. On microscopic evaluation, HGSC can have many architectural patterns including papillary, solid or glandular growth and display marked cytologic atypia. Serous tubal intraepithelial carcinoma (STIC) lesions can be identified in 19-53% of all HGSC cases. Abnormal P53 expression is common with immunohistochemistry (IHC) and up to 80% of cases will have a P53 mutation.[23]
Low-Grade Serous Carcinoma
Low-grade serous carcinoma (LGSC) accounts for less than 5% of all cases of ovarian cancer and LGSC was previously, but inaccurately, considered a precursor to HGSC.[24] Molecular studies have revealed that LGSC is a distinct entity and develops from a precursor serous borderline lesion. On gross examination, LGSC does appear similar to HGSC, as both will have a papillary growth pattern and a predilection to spread to peritoneal surfaces. Excrescences and papillary outgrowths tend to have a grittier texture due to calcium deposition and stromal reaction. On microscopic evaluation, LGSC is characterized by uniform nuclei and lower mitotic activity than HGSC. Mutations in BRAF and KRAS are common.[24,25] A major clinical difference between HGSC and LGSC is their sensitivity to platinum-based chemotherapy, with the former being highly sensitive and the latter being highly insensitive to treatment.
Endometrioid Carcinoma
Endometrioid carcinoma is the second most common histologic type of ovarian cancer and accounts for approximately 10% of all cases. Compared to HGSC, patients with endometrioid ovarian carcinoma are typically diagnosed at a younger age (average age is 56 years old).[26] In addition, a large proportion of endometrioid ovarian cancers will be confined to the pelvis at diagnosis and often manifest as a solitary ovarian mass. These lesions are often seen in the presence of endometriosis.[27] On microscopic evaluation, these lesions will resemble endometrioid malignancies of the endometrium and have a complex glandular pattern with back to back growth. Additional similarities between endometrioid type ovarian cancer and endometrioid type endometrial cancer are frequent mutations in PTEN and the fact that most are low-grade lesions.[28]
Clear Cell Carcinoma
Clear cell carcinoma accounts for approximately 8% of all ovarian cancer cases, but has a higher prevalence in the East Asian population.[29] Similar to endometrioid type ovarian carcinomas, clear cell carcinomas are often diagnosed at an earlier age and are associated with endometriosis.[30,31] When diagnosed at an early stage, prognosis is good. However, prognosis is generally poor for patients with advanced disease. On gross examination, a solitary mass measuring up to 30 cm in diameter may be present. On cross-section, tissue may have a fibrous, honeycombed surface with the presence of solid fleshy nodules. Given the association between clear cell carcinoma and endometriosis, solitary masses are often densely adherent within the pelvis and are at high-risk of iatrogenic rupture at the time of surgical resection.[32] Classic microscopic appearance includes fibrous papillae with “hobnail” cells protruding into cystic cavities. Mutations in ARID1A, KRAS and PTEN are common and represent current investigational targets for future therapeutics.[30,33]
Mucinous Carcinoma
Primary mucinous carcinoma of the ovary is rare and accounts for 3-4% of all ovarian cancers. A unilateral, solitary mass with disease confined to the ovary is almost always seen and the average age at diagnosis is 30-34 years old.[34]. In the setting of bilateral malignant mucinous ovarian lesions, metastatic disease from a non-gynecologic source (such as the gastrointestinal tract) must be ruled out, as this would be a more common clinical scenario.[35,36] On gross examination, mucinous carcinomas present with smooth surfaced adnexal masses more than 20 cm in diameter. Gastrointestinal differentiation will be seen on microscopic evaluation.
Borderline Ovarian Tumors
Borderline ovarian tumors are not classified as malignant, but have the ability to spread beyond the ovary. In addition, these lesions have the ability to recur after resection and may undergo malignant transformation. Borderline ovarian tumors can be classified as serous, mucinous, endometrioid, clear cell or mixed-type histology. Collectively, they account for 10-15% of all ovarian neoplasms and represent premalignant precursors of their histologic malignant counterparts.[37] Treatment of borderline ovarian tumors in the primary or recurrent setting is almost always surgical resection. Late recurrences of serous borderline ovarian tumors are not uncommon and among recurrences, approximately 2% will recur as LGSC.[38]
Types of Ovarian Cancer: Sex Cord-Stromal Tumors
The ovary is composed of follicles containing oocytes embedded in a hormone responsive stromal matrix. These follicles contain proliferations of granulosa cells and theca cells. Sex cord-stromal tumors (SCSTs) are neoplasms derived from the cellular components of either the stroma or the follicle. The average age of diagnosis is 50 years-old and 13% of patients are <30 years-old at diagnosis.[39] Many SCSTs will produce estrogen or other steroid hormones. Virilizing signs including deepening of the voice, baldness, excessive hair growth and acne can occur.[40,41] Pure stromal tumors including fibromas and thecomas are rarely malignant. However, sex cord tumors have a higher malignant potential.
Granulosa cell tumors comprise 90% of all SCSTs and are the most common SCST. On gross examination, they are comprised of hemorrhage filled cysts and solid components. There are two subtypes of granulosa cell tumors. The “adult-type” is characterized by a predominance of granulosa cells and “Call-Exner bodies”. The “juvenile-type” will show hyperchromatic nuclei and eosinophilic cytoplasm. Compared to adult-type, juvenile-type granulosa cell tumors are generally more aggressive and are associated with a shorter progression-free survival (PFS). Adult-type granulosa cell tumors are generally indolent in nature and can recur more than 20 years after initial diagnosis. Inhibin B is used as a biomarker to monitor treatment response and disease recurrences.[42,43]
Sertoli and Sertoli-Leydig tumors are typically diagnosed confined to the ovary and 11% of cases display histologic features of malignant potential. Sertoli-Leydig tumors with higher grade features are associated with malignant behavior and recur in 18% of cases.[44] Overall, these tumors account for less than 0.2% of ovarian tumors.[45] Symptoms of virilization, menstrual irregularity and vaginal bleeding are common manifestations.[46]
Types of Ovarian Cancer: Germ Cell Tumors
Germ cell tumors arise from populations or a mixture of populations of primordial cells of ovary presenting around 10-30 years of age.[47–49] They are divided into tumors that differentiate toward extraembryonic placental-like tissue (choriocarcinoma, embryonal carcinomas, pure polyembryoma) or embryo-like neoplasms (teratoma, dysgerminoma, yolk sac tumor, mixed germ cell).[50] These tumors grow rapidly, but are usually confined to the ovary at diagnosis. Germ cell tumors often produce hormones, such as hCG and AFP, that can be used as biomarkers for diagnosis and surveillance.[51] Teratomas are the most common germ cell tumor and account for >20% of all germ cell tumors. The majority of teratomas are benign and consist of mature elements. However, 2-3% of teratomas will have immature elements and/or have features of malignant transformation.[52,53] As mature teratomas are benign the most common malignant germ cell tumors are dysgerminomas. Adjuvant chemotherapy is typically recommended for all malignant germ cell tumors with the exception of dysgerminomas confined to the ovary and grade 1, immature teratomas, confined to the ovary.[47–49]
Prevention, Risk-Reduction and Screening in the General Population
Prevention and Risk-Reduction
Opportunistic salpingectomy is removal of the fallopian tubes in patients undergoing gynecologic surgery for other indications, as a mechanism for primary prevention of ovarian cancer. Evidence now suggests that some, but not all, cases of high-grade epithelial cancer begin with pre-invasive STIC lesions located in the distal fallopian tube that then spread to the ovary and peritoneum.[54,55] Tubal ligation has been associated with a decrease in ovarian cancer risk in several large population studies.[56–58] A meta-analysis of 13 population-based case-control studies of patients undergoing tubal ligation showed a reduced risk of serous, endometrioid and clear cell ovarian cancer.[59] In addition, an evaluation of over 200,000 women from the Nurses’ Health Study and Nurses’ Health Study II, showed that tubal ligation was associated with a decreased risk of ovarian cancer.[60] At this time, prospective data is pending to assess the effectiveness of this procedure. “Opportunistic” times to perform the procedure typically include at the time of hysterectomy for benign indications, or for patients who desire permanent sterilization in place of other procedures. The primary goal is to remove at minimum the distal one-third of the fimbria from both the right and left side. However, removal of the entire fallopian tube is preferred. One retrospective and one small randomized study showed no change in blood loss or operative time when adding this procedure to routine hysterectomy.[61,62]
Supporting the theory that reducing lifetime ovulatory cycles reduces ovarian cancer risk, several meta-analyses have demonstrated that use of the oral contraceptive pill (OCP) is protective against ovarian cancer. In an average risk population, 10 years of OCP use was associated with a 50% reduction in ovarian cancer risk.[63]
Ovarian Cancer Screening
Previous studies have examined the use of serum biomarkers in combination with, or followed sequentially by, transvaginal ultrasound (TVUS) to screen for ovarian cancer and have shown little to no benefit. Serum biomarker screening has focused primarily on CA-125 testing, which lacks sufficient specificity for screening average risk patients for ovarian cancer. False positive results are common, particularly in pre-menopausal women. Elevations in CA-125 value can be seen in benign gynecologic conditions (e.g. uterine leiomyomas and endometriosis), non-gynecologic conditions (e.g. myocardial disease and colitis) and other non-gynecologic malignancies.[64,65] Combinatorial panels of CA-125 and various other biomarkers have been proposed in the use of screening, but their efficacy is still unknown. These novel panels include a combination of CA-125 with HE-4, or other combinatorial multi-biomarker blood tests.[66–74]
In the Prostate, Lung, Colorectal, and Ovarian (PLCO) Cancer Screening Trial, postmenopausal women were randomized to annual screening with CA-125 and TVUS vs. usual care.[74,75] Ovarian cancer was diagnosed in 212 women in the screening group, compared to 186 in the usual care group and the numerical difference was not statistically significant. Mortality from ovarian cancer was also unchanged between the two groups. Importantly, in the 3,285 patients with false positive results, 1,080 underwent surgical management, with 15% of those women experiencing at least one serious complication. The United Kingdom Collaborative Trial of Ovarian Cancer Screening (UKCTOCS) recruited over 300,000 average risk, postmenopausal, women and randomized them to annual TVUS screening, annual multimodal screening (CA-125 followed by TVUS based on an algorithm previously published), or no screening. Similar to the results from the PLCO Cancer Screening Trial, screening average risk women for ovarian cancer did not improve oncologic outcomes. Specifically, the rate of ovarian cancer diagnosis was unchanged between the three groups and there was no difference in mortality related to ovarian cancer.[76,77] Given the fact that no screening method among average risk women has shown to improve ovarian cancer mortality, it is generally not recommended at this time.
Prevention, Risk-Reduction and Screening Among High-Risk Patients
Risk-Reduction
As mentioned previously, patients with germline mutations in BRCA1 or BRCA2 have an increased risk of developing ovarian cancer and are advised to undergo risk-reducing salpingo-oophorectomy (RRSO) upon completion of child bearing between the ages of 35-40 years old.[18,78,79] Patients with BRCA2 mutations have been shown to have an onset of malignancy 8-10 years later than BRCA1 patients, so it is reasonable to delay RRSO until 40-45 years old in these patients.[80,81] Hereditary BRIP1, RAD51C, or RAD51D mutations have also been associated with an increased risk of ovarian cancer and recommendations for RRSO are similar to patients with a BRCA2 mutation.[79] The risk of ovarian cancer among patients Lynch Syndrome varies based on specific mutation. The risk of ovarian cancer in MLH1 mutation carriers ranges from 5-20%, with an average age of diagnosis of 44-47 years. Among MSH2 mutation carriers, the risk of ovarian cancer is 10-38%, with an average age of diagnosis of 43-44 years.[82] At this time there is not enough evidence to support RRSO in patients with Lynch Syndrome related to MSH6 and PMS2 mutations.
RRSO is associated with a significant reduction in the risk of ovarian cancer. However, patients should be counseled that their risk of malignancy after RRSO does not decrease to 0%, or to the 1.3% risk of ovarian cancer in the general population. Following RRSO, patients with mutations in BRCA1 or BRCA2 have a residual 5-10% risk of primary peritoneal cancer.[83,84] At this time there is no high-quality data to suggest how to screen for this residual risk and the frequency in which it should be performed. A small percentage of patients will be diagnosed with occult malignancy at the time of RRSO. Because of this risk, the ovarian vessels should be taken at least 2 cm proximal to the ovary, if not at the pelvic brim. Cytologic pelvic washings should be collected. Of utmost importance, the fallopian tubes and ovaries should be thoroughly evaluated with the use of a protocol specific for high-risk patients.[18,78] Finally, the decision to undergo RRSO should be individualized and consider factors such as: child bearing completion, menopausal status, comorbidities, age, family history and specific mutation.
In the setting of a BRCA mutation, OCP use is also associated with a reduced risk of ovarian cancer and the risk reduction increases with duration of OCP use. Specifically, a 5% decrease per year of OCP use was estimated based on the largest available case-control series.[63,85,86] Theoretical concern about the use of OCP use and an increase in breast cancer risk has not been supported by evaluation of current OCP formulations.[87] The efficacy of long-term OCP use compared to RRSO is currently unknown.
Ovarian Cancer Screening
As some patients will have their mutation identified at a young age and before child bearing has been completed, close surveillance is reasonable until RRSO is conducted. Screening BRCA mutation carriers with a pelvic exam, CA-125 and TVUS is performed by some physicians in patients who elect to defer RRSO starting at 30-35 years old. However, this is of unclear benefit.[78] The United Kingdom Familial Ovarian Cancer Study (UK FOCSS) prospectively followed 3,563 women with a mutation associated with at least a 10% lifetime risk of ovarian cancer, who declined or deferred risk-reducing surgery and instead elected for annual ovarian cancer screening. Overall, the positive predictive value (PPV) of screening was 25.5%, but only 4 of the 13 incident cases of occult cancer were early stage.[88] A separate multicenter observational study performed in the Netherlands of 888 patients with BRCA mutation found no difference in stage distribution, or incidence of cancer cases detected, when comparing screened and unscreened patients.[89]
Symptoms of Ovarian Cancer
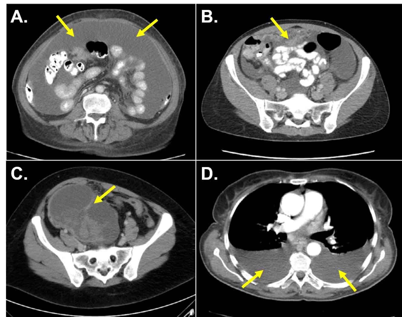
Ovarian cancer commonly spreads along peritoneal surfaces involving the bowel, omentum and adjacent structures. In general, symptoms related to ovarian cancer are vague and manifest late in the disease process. While not specific to ovarian cancer, symptoms include sub-acute onset of abdominal/pelvic/back pain, fatigue, abdominal bloating, constipation or urinary symptoms.[90–92] Weight loss is less common, as the majority of patients will develop abdominal ascites (Figure 3). While most patients present with several months of worsening symptoms, some patients will present with acute symptoms. Patients with moderate or large malignant pleural effusions may present with shortness of breath or a new oxygen requirement (Figure 3). It is estimated that 8-30% of patients with newly-diagnosed ovarian cancer will present with a malignant bowel obstruction. Malignant bowel obstruction at the time of diagnosis is associated with a decrease in PFS and OS.[93] Fewer than 1% of patients present with a venous thromboembolism (VTE) at the time of initial ovarian cancer diagnosis. In the setting of a deep vein thrombosis (DVT), symptoms may include leg pain or swelling. Symptoms related to a pulmonary embolism (PE) may include chest pain, shortness of breath and/or cough.[94] Patients with early stage disease may present with symptoms described above, but are more likely to be asymptomatic.
Evaluation and Work-up
Suspected Ovarian Confined Disease
While most patients with ovarian cancer present with advanced-stage disease, some will have disease confined to the ovary. The incidence of ovarian confined disease varies considerably based on the type of ovarian cancer. For example, 9% of patients with serous histology will have disease confined to the ovary, while >50% of patient with non-serous ovarian cancer will have ovarian confined disease.[95] The diagnosis of ovarian cancer requires pathologic evaluation of tissue, but in the setting of suspected ovarian confined disease (e.g. solitary adnexal/pelvic mass on imaging), image-guided biopsy should be avoided. In this scenario, every attempt should be made to remove the adnexal/pelvic mass intact. While the majority of patients that present with a suspicious adnexal/pelvic mass will be found to have benign pathology, if malignancy is encountered, rupture/spillage/disruption of the ovarian tumor may result in more advanced disease and has been found to negatively impact prognosis.[96,97]
Adnexal/pelvic masses are common, with estimates of 2.5-7.8% of asymptomatic women undergoing pelvic ultrasound.[98,99] The differential diagnosis for an adnexal/pelvic mass is broad and includes many benign etiologies. Clinical factors, biomarkers and pelvic imaging can aid in identifying patients at the highest risk for malignancy. These patients should be referred to a gynecologic oncologist and further imaging may assist with surgical planning. The risk of ovarian cancer varies with age. In general, adnexal masses are less common among women <20 years old. However, when present, the risk of a germ-cell malignancy is 10-20%.[100,101] Among premenopausal women, most adnexal masses are benign. However, ovarian cancer should still be considered, especially in the setting of a family history of ovarian cancer. Most women in the postmenopausal population, will require surgical removal of an adnexal/pelvic mass to assess for malignancy, since their age alone is a significant risk factor for ovarian cancer.
Pelvic ultrasound (US) is the initial imaging modality of choice to characterize an adnexal/pelvic mass. When transabdominal and transvaginal imaging is performed, pelvic US provides equivalent diagnostic performance to other imaging modalities for a lower cost.[102] The largest study to assess the ability of ultrasound to identify malignant adnexal/pelvic masses, the International Ovarian Tumor Analysis (IOTA) study, developed a set of sonographic features with 89% sensitivity and 84% specificity resulting in a negative predictive value of 94%. Features concerning for malignancy include: an irregular solid tumor, presence of ascites, the presence of at least four papillary structures, high doppler blood flow and the presence of an irregular multilocular solid tumor with a diameter ≥10 cm.[103,104]
Other imaging modalities may be beneficial in specific scenarios. Magnetic resonance imaging (MRI) has been shown to provide added benefit for characterizing masses that are indeterminate on US.[105,106] Computed tomography (CT) evaluation is an important component of evaluating patients with suspected ovarian cancer that has spread beyond the ovary. If an adnexal/pelvic mass is found incidentally on CT, US evaluation with both transvaginal and transabdominal imaging should still be performed to better characterize the mass, as CT alone poorly characterizes adnexal structures.
In addition to imaging, serum biomarkers are an important component to the evaluation of a patient with an adnexal/pelvic mass concerning for malignancy. The most commonly used serum biomarker is CA-125.[107] In the postmenopausal population, a meta-analyses of studies using a CA-125 cutoff of 35 units/mL showed 69-87% sensitivity and 81-93% specificity for detecting ovarian cancer.[108,109] Unfortunately, many patients presenting with apparent ovarian confined disease, will still have disease beyond the ovary at the time of diagnosis. Limitations to CA-125 assessment include a low sensitivity to detect early stage disease (as low as 25%) and the fact that some histologic types of ovarian cancer are less likely to produce CA-125.[110]
The use of CA-125 is also limited in the premenopausal population. Premenopausal women have higher baseline levels of CA-125 and many benign conditions, more prevalent in this population, are associated with an elevated CA-125 value (e.g. endometriosis, pregnancy, benign functional ovarian cysts). As a consequence, interpretation of an elevated CA-125 value for a premenopausal woman is more difficult. Other serum biomarkers, as well as combinatorial tests that multiple biomarkers with US findings have been proposed to identify patients at risk for ovarian cancer, but currently have specificities lower than CA-125 alone (82-33%).[70,111–114]
Additional serum biomarkers are warranted when non-epithelial histology is suspected. In the setting of a malignant germ cell tumor of the ovary, biomarkers that may be elevated include: AFP, hCG and LDH. In the setting of malignant stromal tumor of the ovary, biomarkers that may be elevated include: AMH, inhibin B, estrogen and testosterone.[115,116]
Suspected Spread of Disease Beyond the Ovary
Because symptoms often develop late in the disease process, the majority of women with ovarian cancer present with disease spread beyond the ovary and with advanced-stage disease (>70%). Frequently, disseminated ovarian cancer will be found on CT or US imaging ordered for non-specific symptoms or other indications (Figure 3).[117] As the presentation of other advanced-stage malignancies (e.g. pancreatic cancer, colon cancer) can be similar to patients with disseminated ovarian cancer, tissue confirmation is required prior to moving forward with a treatment plan (i.e. surgical resection and/or chemotherapy). Tissue confirmation can be achieved at the time of surgical exploration or via image-guided biopsy.
Before tissue confirmation can be obtained, biomarker evaluation may aid in differentiation between disseminated ovarian cancer and other non-ovarian malignancies.[118] Carcinoembryonic antigen (CEA) is a fetal protein expressed by several epithelial malignancies. CEA levels >5ng/mL can also be used in a CA-125 to CEA ratio to determine the likelihood of ovarian cancer versus a malignancy of gastrointestinal origin. In a single institution study, using a CA-125 to CEA ratio of >25 correctly identified 82% of ovarian cancers.[119] Assessment of CA 19-9 may be helpful in distinguishing a patient with disseminated ovarian cancer from a patient with a disseminated pancreatic cancer, gallbladder cancer or cholangiocarcinoma. The reported sensitivity and specificity rates of CA 19-9 for pancreatic cancer range from 70-92% and 68-92%, respectively. Again, tissue confirmation is still mandatory during evaluation, as CA 19-9 may be elevated in ovarian cancer, as well as various other benign pancreatic disorders.[120–125]
Preoperative evaluation of patients with disseminated ovarian cancer should include assessment of extent of disease spread and the medical fitness for surgical resection. CT imaging of the chest, abdomen and pelvis is the preferred initial imaging study, due to wide availability and lower cost compared to MRI. Ultimately, patients with disseminated ovarian cancer should be referred to medical providers specialized in the treatment of ovarian cancer. Multiple studies have shown improved surgical outcomes and improved OS when ovarian cancer patients are cared for by such providers.[126–128]
Surgical Management and Staging of Ovarian Cancer
Once a diagnosis of ovarian cancer is confirmed, the intent of surgical management can be grouped into two main goals: establishing the correct surgical stage and removal of all visible disease (i.e. debulking surgery). Ovarian cancer is surgically staged, according to the International Federation of Gynecology and Obstetrics (FIGO) system (Figure 4).[129] Surgical staging and debulking surgery have distinctly different surgical goals and are further discussed.
Surgical Staging of Suspected Early Stage Disease
As mentioned earlier, an isolated adnexal/pelvic mass with concern for malignancy should not be biopsied, so that an ovarian cancer diagnosis can be confirmed. Surgical resection should be the management of choice and every attempt should be made to avoid fragmentation/spillage/rupture of the adnexal/pelvic mass. If the mass is found to be an ovarian cancer, surgical staging is essential as roughly 30% of patients with apparent ovarian confined disease will be found to have extra-ovarian spread after comprehensive surgical staging. Common sites of metastatic disease, in the setting of apparent ovarian-confined disease include: aortic lymph nodes, omentum, peritoneum and cytologic washings.[130] In the absence of comprehensive surgical staging, simple resection of the adnexal/pelvic mass will under-stage a significant percentage of patients and has been associated with decreased survival.[131]
The process of comprehensive surgical staging starts with obtaining peritoneal cytology at the time of abdominal entry. This is then followed by careful visual inspection of the peritoneal surfaces (anterior and posterior cul-de-sac, diaphragm, and paracolic gutters), upper abdomen and intra-abdominal organs. Hysterectomy with bilateral salpingo-oophorectomy, infra-colic omentectomy, as well as pelvic and paraaortic lymph node dissection is then performed.
Laparotomy through a vertical midline incision is the standard surgical approach that provides the best exposure for surgical staging. Minimally invasive surgical approaches (MIS) are often used for staging of suspected early ovarian carcinoma, but have not been studied in a prospective fashion.[132,133] MIS is associated with shorter hospital stay, lower blood loss and decreased postoperative complications. The selected surgical approach should provide appropriate visualization of intra-abdominal surfaces, as well as provide appropriate surgical exposure to remove an adnexal/pelvic mass without iatrogenic rupture. In an observational study of 8,850 women with stage 1 ovarian cancer who underwent surgical staging, 30% were staged with MIS. The rate of ovarian tumor capsular rupture was higher in MIS and in the presence of a larger tumor. However, in the absence of capsular rupture, OS was similar between the MIS and laparotomy groups.[134]
Once the adnexal/pelvic mass is removed, intraoperative frozen section evaluation should be used to confirm ovarian cancer. Any abnormal peritoneal and/or intra-abdominal lesions should be excised. Additional frozen section evaluations can be performed on excised lesions to inform intraoperative decisions regarding the extent of surgical staging procedures. Removal or biopsy of the infra-colic omentum should be performed to confirm the absence of micro-metastatic disease. Complete pelvic and paraaortic lymphadenectomy should be performed in the absence of evidence of intra-abdominal or pelvic spread of malignancy. The lymphatic drainage of the ovary originates below the ovarian surface draining to either the obturator fossa or toward the para-aortic or precaval lymph nodes.[135] Approximately 6% of patients will have lymph node involvement in the absence of gross intraabdominal disease.[130] Preoperative imaging and intraoperative lymph node palpation have low sensitivity and specificity for identifying nodal metastasis, so complete pelvic and paraaortic lymphadenectomy should be performed.[136–138] Hysterectomy and bilateral salpingo-oophorectomy are the standard of care for surgical staging of ovarian cancer. In the circumstance of a well counselled patient, fertility sparing surgery with pelvic washings, unilateral salpingo-oophorectomy, complete lymphadenectomy, omentectomy and peritoneal biopsies can be considered. There is limited data on recurrence or fertility outcomes with this approach. A National Cancer Database study from the US of more than 825 patients reported no difference in OS between fertility sparing and conventional surgery.[139] Additional retrospective studies suggest a recurrence rate that ranges between 8.5-34%.[140,141]
Primary Debulking Surgery for Advanced-Stage Disease
Optimal initial treatment of advanced-stage disease includes radical primary debulking surgery and post-operative (adjuvant) chemotherapy. All patients with advanced-stage disease will require adjuvant chemotherapy, as all will have some form of residual disease (either microscopic or grossly visible disease). The landmark study by Griffiths in 1975 demonstrated the inverse relationship between residual disease after surgical resection and survival. In this study of 102 patients with stage 2-3 ovarian cancer, survival was inversely related to residual tumor size under 1.6 cm. Even with extensive surgery, failure to remove tumor >1.5 cm in diameter did not influence survival.[142] Multiple studies would subsequently confirm the observations by Griffiths and help define “optimal” residual disease, which historically has been defined as no greater than 1 cm of residual disease (diameter of the largest tumor) at the conclusion of debulking surgery.[143–153] “Optimal” residual disease would remain the measure of successful debulking surgery for many years. However, in a retrospective review of pooled data collected from several prospective studies conducted by the Gynecologic Oncology Group (GOG), a significant improvement in OS was shown for patients who underwent a complete surgical resection (i.e. no visible residual disease at the conclusion of surgery). The median OS associated with a complete surgical resection was 71.9 months, compared to 42.4 months for patients with a residual disease of 0.1-1.0 cm.[154] An overwhelming aggregate of data now supports the conclusion that the goal of debulking surgery is complete surgical resection, as this is associated with the greatest improvement in survival.[155–158]
Neoadjuvant Chemotherapy and Interval Debulking Surgery for Advanced-Stage Disease
For some patients, radical primary debulking surgery is associated with significant morbidity and mortality.[157,159–162] In a systematic review and meta-regression analysis including 18,579 patients undergoing radical primary debulking surgery, the rate of severe complications and 30-day mortality were 9.51% and 4.64%, respectively.[162] Factors that have been associated with an increased risk of surgical morbidity and mortality include: age, nutritional status, surgical complexity, performance status, body mass index and disease burden.[159,161,162] For patients at unacceptably high risk of surgical morbidity/mortality and/or among patients who would be left with >1cm of residual disease (i.e. sub-optimal) with an attempt at radical primary debulking surgery, neoadjuvant chemotherapy has emerged as an appropriate alternative therapeutic option. When neoadjuvant chemotherapy is used, 3-4 cycles of chemotherapy (typically carboplatin plus paclitaxel) are administered prior to surgery. For patients who have responded to chemotherapy, or who have at least stable disease, interval debulking surgery is then conducted and then followed by 3-4 additional cycles of chemotherapy. This treatment strategy is supported by several randomized controlled trials that have shown that neoadjuvant chemotherapy with interval debulking surgery (NACT-IDS) was not oncologically inferior to primary debulking surgery and is associated with fewer postoperative complications. In 2010, the European Organization for Research and Treatment of Cancer (EORTC) 55971 trial showed that patients with stage 3-4 ovarian cancer treated with NACT-IDS did not have inferior OS, when compared to primary debulking surgery (29 vs. 30 months).[163,164] Similar non-inferiority results were later reported in the Medical Research Council Chemotherapy or Upfront Surgery (CHORUS) trial where the median OS for patients randomized to NACT-IDS was 24.1 months, compared to 22.6 months for patients randomized to primary debulking surgery.[164] Despite these findings, NACT-IDS has not completely replaced primary debulking surgery, as both of these trials have been countered with considerable criticism regarding the surgical effort in the primary debulking surgery arms. Specifically, the rate of sub-optimal resection in the primary debulking surgery arms of EORTC 55971 and the CHORUS trial were 53.9% and 59%, respectively.[163,164] In contrast, a report from Memorial Sloan-Kettering Cancer Center showed that for a cohort of patients who were treated with radical primary debulking surgery at their institution during an identical time period as EORTC 55971 and with identical inclusion criteria, the rate of sub-optimal resection was considerably lower at 29%. Furthermore, the median OS was considerably higher at 50 months.[165] As sub-optimal resection is associated with the lowest survival, it has been suggested that OS comparisons within EORTC 55971 and the CHORUS trial were negatively impacted based on the large proportion of patients with sub-optimal resection in the primary debulking surgery arms. Considering the limitations of both EORTC 55971 and the CHORUS trial, the Trial of Radical Upfront Surgical Therapy in advanced ovarian cancer (TRUST) was designed. TRUST is a randomized controlled trial investigating OS after radical primary debulking surgery vs. NACT-IDS. To ensure adequate surgical quality, participating centers were required to fulfill specific quality assurance criteria and agree to independent audits by TRUST quality committee delegates. TRUST is currently ongoing and survival results are anticipated in 2024.[166] At this time, controversy remains regarding the oncologic equivalency between NACT-IDS, when compared to primary debulking surgery. Until results are available from TRUST, it is suggested that radical primary debulking surgery be considered the preferred initial management strategy for patients with newly diagnosed advanced-stage ovarian cancer and NACT-IDS should be reserved for patients at unacceptably high risk of surgical morbidity/mortality and/or among patients who would be sub-optimally resected with an attempt at primary debulking surgery.
Chemotherapy for Newly Diagnosed Ovarian Cancer
Early-Stage Ovarian Cancer
Early stage ovarian cancer includes stage 1 and 2 disease. Surgical staging is essential to adequately define the extent of disease, as 10% of patients with apparent early stage ovarian cancer will actually have more advanced stage disease due to occult nodal involvement. Patients with stage 1A, grade 1 or 2 lesions are considered at low risk of recurrence and adjuvant therapy is generally not required. The 5-year survival for this group of patients is >90% with surgery alone.[167,168] For all other patients with early stage ovarian cancer, adjuvant platinum-based chemotherapy is indicated. Adjuvant chemotherapy in this select patient population with early stage disease has been associated with a 30-50% reduction in the risk of recurrence.[169,170] Adjuvant chemotherapy may also result in improved OS, but this advantage appears to be restricted to patients with apparent early stage disease, that had incomplete surgical staging.[171] A combination of carboplatin and paclitaxel is generally administered for adjuvant therapy. The duration of treatment remains controversial. In GOG 157, women with early stage ovarian cancer that were considered “high-risk” for recurrence were randomly assigned to either 3 or 6 cycles of adjuvant chemotherapy and there was no difference in either risk of recurrence or OS. Some have argued that this study was underpowered to detect a difference in OS. Further, there was a trend towards an increased risk of recurrence among patients that received 3 cycles of adjuvant chemotherapy.[172,173]
Chemotherapy for Advanced-Stage Ovarian Cancer
As mentioned previously, initial treatment of newly diagnosed advanced-stage ovarian cancer includes a combination of radical debulking surgery and chemotherapy. Currently recommended chemotherapy regimens uniformly contain platinum and taxane based compounds. The activity of cisplatin in the management of ovarian cancer was established during the 1970s and combination regimens would be widely used during the late 1980s. In 1996, the results of GOG 111 revealed the benefit of combining paclitaxel with cisplatin. This established the platinum/taxane combination as the standard of care and this standard remains today. Variations of the platinum/taxane regimen have evolved and the decision to use which regimen is impacted by the patient’s performance status, stage, residual disease status and whether they underwent a primary or interval debulking surgery.
In GOG 111, women with advanced-stage ovarian cancer were randomly assigned after initial surgery to receive cisplatin (75 mg/m2), combined with either cyclophosphamide (750 mg/m2) or paclitaxel (135 mg/m2 over 24 hours) every 3 weeks, for a total of 6 courses. The cisplatin and paclitaxel combination was associated with more frequent alopecia, neutropenia, fever and allergic reaction. However, the OS was also significantly prolonged by 14 months.[174] The survival advantage shown in GOG 111 was confirmed in the OV-10 trial (9.8 month improvement in OS), which evaluated the same drug combinations, but instead administered paclitaxel over 3 hrs., instead of 24 hrs.[175] While the cisplatin/paclitaxel combination resulted in a significant improvement in survival, substantial toxicity was also shown with this combination. Compared to cisplatin, carboplatin is associated with less nausea, neuropathy and renal dysfunction. Based on expected improvement in toxicity profile, studies subsequently evaluated the oncologic equivalence of the carboplatin/paclitaxel combination to cisplatin/paclitaxel. The results from two large randomized controlled trials (GOG 158 and OVAR-3) established carboplatin/paclitaxel as the preferred adjuvant chemotherapy combination for patients with advanced-stage ovarian cancer, when it showed that this combination was associated with less toxicity and was not oncologically inferior to cisplatin/paclitaxel.[176,177]
The combination of carboplatin/paclitaxel is typically administered every 3 weeks, for a total of 6 courses. However, weekly administration (often referred to as “dose-dense”) of paclitaxel is another strategy to enhance anti-tumor activity and prolong survival. The Japanese Gynecologic Oncology Group (JGOG) 3016 trial randomized patients with newly diagnosed advanced-stage ovarian cancer to 6 courses of one of two carboplatin/paclitaxel schedules. In the conventional schedule arm, patients received carboplatin (AUC 6) and paclitaxel (180 mg/m2 over 3 hours) every 21 days. The investigational arm received the same dose/schedule of carboplatin, but paclitaxel (80 mg/m2) was administered weekly. Median PFS was longer in the weekly paclitaxel group and at three years, OS favored the weekly paclitaxel schedule. Long-term results from JGOG 3016 showed that patients who initially underwent sub-optimal debulking (>1cm of residual disease) had the greatest improvement in survival.[178,179] This trial was repeated in the US (GOG 262) and there was no difference in survival associated with weekly paclitaxel. The MITO-7 trial randomized over 800 women with ovarian cancer to receive either carboplatin (AUC 6) and paclitaxel (175 mg/m2) every 3 weeks or a weekly combination of carboplatin (AUC 2) and paclitaxel (60 mg/m2) for 18 weeks. As seen in GOG 262, survival was similar between both groups. However, this study differed from both JGOG 3016 and GOG 262 with the use of weekly carboplatin in the investigational group and in the lower dose of paclitaxel.[180] Finally, ICON8 randomized 1,566 patients with ovarian cancer to one of three chemotherapy groups. Group one received carboplatin (AUC 5 or 6) and paclitaxel (175 mg/m2) every three weeks. Group two received the same dose and schedule of carboplatin as group one, but received weekly paclitaxel (80 mg/m2). Group three received weekly carboplatin (AUC 2) and paclitaxel (80 mg/m2). As seen in GOG 262 and MITO-7, weekly paclitaxel administration was not associated with improved survival, when compared to the conventional every three-week schedule.[181]
The previously described chemotherapy regimens are administered exclusively via intravenous (IV) infusion. As the peritoneal cavity is the main site of disease for patients with ovarian cancer, direct intraperitoneal (IP) administration of chemotherapy has been the focus of several studies. In GOG 172, patients with stage 3 ovarian cancer, who had ≤1cm residual disease after primary debulking surgery, were randomized to either IV cisplatin/paclitaxel or an intravenous/intraperitoneal (IV/IP) regimen that contained the same drugs. A significant number of patients in the IV/IP group experienced toxic effects (e.g. fatigue, pain, hematologic, gastrointestinal, metabolic or neurologic) and only 42% of patients completed all six assigned cycles of IP chemotherapy. Despite the added toxicity and substantial number of patients not receiving all assigned IP chemotherapy cycles, the IV/IP group had a 15.9 month improvement in OS (65.6 vs. 49.7 months, p=0.03).[182] In GOG 172, the IV/IP regimen consisted of IV paclitaxel (135 mg/m2 over 24 hours) on day 1, IP cisplatin (100 mg/m2) on day 2 and IP paclitaxel (60 mg/m2) on day 8. Given the toxicity and complexity associated with this regimen, IV/IP chemotherapy has not been widely adopted and modifications in dose and schedule to the IV/IP regimen used in GOG 172 have been reported.[183–185] The use of IV/IP chemotherapy remains an area of great debate because of the previously mentioned issues with administration and also because of the more recently reported results from GOG 252. In GOG 252, the combination of IV carboplatin and weekly paclitaxel was compared to two different IV/IP chemotherapy regimens. One of the investigational IP groups used the combination of IP carboplatin (AUC 6) and weekly IV paclitaxel (80 mg/m2). The other investigational IP group received IV paclitaxel (135 mg/m2 over 3 hours) on day 1, IP cisplatin (75 mg/m2) on day 2 and IP paclitaxel (60 mg/m2) on day 8. All three groups received IV bevacizumab (15 mg/kg) every 3 weeks for cycles 2 through 22. There was no difference in survival among all three groups and the IV regimen was better tolerated than the IP cisplatin group.[186] Compared to GOG 172, key differences between the chemotherapy regimens used during GOG 252 include: IV paclitaxel was administered over 3 hours (instead of 24 hours), a lower IP cisplatin dose was used (75 mg/m2 vs. 100 mg/m2) and bevacizumab was used in all three groups. To what extent these changes had on the results of GOG 252 is unknown. Based on results from GOG 252, some experts have argued that IP chemotherapy now has no role in the initial management of advanced-stage ovarian cancer. In contrast, proponents of IP chemotherapy recommend a closer adherence to the IP regimen used in GOG 172.
Hyperthermic Intraperitoneal Chemotherapy (HIPEC)
Building on the rationale for adjuvant IP chemotherapy, hyperthermic intraperitoneal chemotherapy (HIPEC) has been proposed as a way to enhance the therapeutic effects of chemotherapy on the peritoneal cavity. With respect to ovarian cancer, HIPEC involves the administration of IP chemotherapy, under hyperthermic conditions, immediately following debulking surgery. Hyperthermia increases the penetration of chemotherapy at the peritoneal surface and increases the cytotoxic effect of some chemotherapeutic agents through a variety of mechanisms (e.g. impaired DNA repair, induction of apoptosis, inhibition of angiogenesis).[187] As mentioned previously, radical debulking can be used in the primary or interval setting (i.e. when neoadjuvant chemotherapy is used) and oncologic benefit of HIPEC may depend on the timing of surgery. In a study reported by van Driel et al., 245 women with stage 3 ovarian cancer, who were treated with neoadjuvant chemotherapy, were randomized to either interval debulking surgery alone, or interval debulking surgery with HIPEC (cisplatin 100 mg/m2). The use of HIPEC was associated with an improvement in both PFS and OS.[187] A similar randomized controlled trial evaluated HIPEC following primary debulking surgery, as well as in the setting of NACT-IDS. Notably, this study also included patients with stage 4 disease.[188] In contrast to the results of the study by van Driel et al, preliminary results from this trial did not show an improvement in survival with the use of HIPEC. In both of these trials, postoperative morbidity was similar between groups regardless of whether HIPEC was or was not used. These findings are similar to recent reports of postoperative complications after HIPEC and may reflect the improvements in surgical technique and HIPEC equipment. However, some experts maintain concerns regarding the safety of HIPEC based on high rates of morbidity reported in the early years of HIPEC.[189,190] Multiple randomized controlled trials evaluating the use of HIPEC in the setting of ovarian cancer are currently underway. The results of these studies will help address key questions about HIPEC, regarding the magnitude of oncologic benefit, associated morbidity and appropriate patient selection.
Genetic Testing for Newly Diagnosed Ovarian Cancer
All women with a diagnosis of ovarian cancer should be offered genetic counseling and germline testing for a BRCA mutation, as well as other hereditary cancer associated mutations.[191] Germline BRCA1/BRCA2 mutations are present in approximately 15% of all patients with newly diagnosed HGSC. Identifying germline cancer susceptibility mutation carriers allows for surveillance or risk-reducing interventions for other organ sites at high risk of malignancy. Additionally, identifying pathogenic mutations can help family members obtain testing and plan appropriate surveillance and risk-reduction. Women with germline BRCA1/BRCA2 mutations or mutations in other homologous recombination (HR) genes are particularly susceptible to poly(ADP-ribose) polymerase (PARP) inhibition and may benefit from PARP inhibitor maintenance treatment after completing adjuvant chemotherapy.[192] Since somatic tumor mutations in HR genes including BRCA1 and BRCA2 also predispose to PARP inhibitor response, somatic tumor testing is suggested in all women without a pathogenic germline mutation.[193,194]
Maintenance Therapy After First-Line Treatment of Ovarian Cancer
Angiogenesis Inhibition with Bevacizumab
Bevacizumab is a recombinant humanized monoclonal IgG1 antibody that targets vascular endothelial growth factor (VEGF), resulting in inhibition of angiogenesis. Maintenance therapy with bevacizumab, used concurrently with and continued after chemotherapy has been shown in two large randomized trials to have a clinically modest benefit in PFS, with no improvement in OS.
GOG 218 evaluated 1,873 patients with newly diagnosed stage 3 and 4 ovarian cancer. Patients were randomized after surgical debulking to receive one of three treatment regimens. Standard chemotherapy treatment consisted of 6 cycles of carboplatin and paclitaxel. This treatment regimen was compared to 2 investigational bevacizumab containing regimens. The first regimen administered bevacizumab concurrently with standard chemotherapy, but without maintenance therapy. The other investigation regimen administered bevacizumab concurrently with standard chemotherapy, followed by maintenance bevacizumab until month 15. Compared to standard chemotherapy, maintenance bevacizumab was associated with a 4 month improvement in PFS. Follow up evaluation of matured survival data failed to show a difference in OS between the 3 treatment regimens. However, subset analysis showed improved PFS and OS in the setting of ascites and stage 4 disease.[195,196] Similarly, ICON 7 evaluated 1,528 patients high-risk early-stage, or advanced-stage, epithelial ovarian cancer. Patients were randomized to either standard chemotherapy or standard chemotherapy with bevacizumab (administered concurrently and then as maintenance). Similar to the results of GOG 218, the addition of bevacizumab was not associated with an improvement in OS on initial evaluation.[197,198] However, in a subset analysis of patients with “high-risk” disease (stage 4, inoperable stage 3 or suboptimally debulked stage 3) there was a statistically significant improvement in OS observed (34.5 vs 39.3 months, p=0.03).[197]
Bevacizumab has a number of adverse effects, with hypertension being the most common. The development of grade 1 or 2 hypertension may be seen in as many as 41% of patients and grade 3 or 4, in up to 18%.[199] One of the most feared complications is gastrointestinal perforation and/or fistula/abscess development. The rate of gastrointestinal complications was relatively low in both GOG 218 and ICON 7. In GOG 218, the rate of gastrointestinal complication associated with maintenance bevacizumab was 3.4% (1.7% in the standard treatment arm).[200] Multivariate analysis showed that risk factors for gastrointestinal complications included a history inflammatory bowel disease and/or bowel resection at the time of debulking surgery. In ICON 7, the rate of gastrointestinal perforation associated with bevacizumab was 1.3% (<1% in the standard treatment arm) and the rate of fistula/abscess development was 1.7% (1.3% in the standard treatment arm).[198] Based on the available data, bevacizumab is generally avoided in the setting of diffuse bowel disease or recent bowel surgery, but is not strictly contraindicated.[200]
Poly(ADP-ribose) Polymerase Inhibition
Poly(ADP-ribose) polymerase (PARP) inhibitors (PARPis) exploit defects in DNA repair by leveraging “synthetic lethality”. Synthetic lethality is the principle that two deficiencies in cellular mechanisms lead to cell death, but individually do not. This effect is seen when PARPis are administered to patients whose tumors have lost the ability to repair double-strand DNA breaks, a state referred to as homologous recombination deficiency (HRD)[201–203]. When this pathway is inhibited by PARPis during DNA synthesis, double-stranded DNA breaks may occur. Normally, such double-strand breaks would be repaired in cells through homologous recombination (HR) repair. In cells with HRD, effective repair of these breaks does not occur, leading to subsequent cell death. Beyond direct inhibition of the PARP enzyme, additional research has also demonstrated that PARPis may also mediate their effects by the process of “PARP trapping”, in which PARP enzymes are trapped on damaged DNA sites, inhibiting efficient appropriate DNA repair and replication.[204] HGSC was recognized to be a tumor type with high potential sensitivity to PARPis, given the high rates of germline BRCA mutations (15%) and somatic BRCA mutations (5-7%). Additionally, up to 50% of tumors exhibit mutations in HR repair related genes (e.g. RAD51C, RAD51D, BRIP1), suggesting potential activity of PARPis beyond BRCA-mutated tumors alone.[205,206]
Several phase 3 trials have examined the use of maintenance PARPis in first-line therapy for ovarian cancer and include SOLO-1 [192], PRIMA [194], PAOLA-1 [207], and VELIA [208]. Common among these trials is that in the intention-to-treat population, the use of PARPis was associated with a significant improvement in PFS. In exploratory subset analyses, significant benefit across all trials was seen for patients with a BRCA mutation. Patients without a BRCA mutation still appeared to derive benefit from PARPis, but to a lesser extent than patients with a BRCA mutation (Table 1). There are a number of important differences in each of these trials that are worth noting. SOLO-1 examined primarily germline BRCA, and “low risk” patients based on baseline characteristics. Most patients had stage 3 disease (85%), complete response to chemotherapy (82%) and low rate of residual disease after debulking surgery.[192] PRIMA sought to examine patients with high disease burden and inclusion criteria were: stage 3 with visible residual disease after primary debulking surgery, inoperable stage 3, any stage 4, or any patient receiving neoadjuvant chemotherapy.[194] All patients had to have complete/partial response to chemotherapy with either normalization, or a >90% decline, in CA-125 with initial treatment. PAOLA-1 included bevacizumab as part of maintenance therapy based on GOG 218 and ICON 7 results.[207] Due to this study design, it is unclear whether results were influenced by the addition of bevacizumab, the use of maintenance PARPi, or both. VELIA did not require response to platinum-based chemotherapy, as veliparib was added to upfront chemotherapy in both experimental arms.[208] Notably, this trial did not include an arm that received veliparib maintenance after standard platinum-based chemotherapy. Therefore, the magnitude of benefit of including veliparib concomitantly upfront with chemotherapy remains unclear.
Post-Treatment Surveillance for Recurrent Disease
After initial treatment of ovarian cancer, most patients who achieve a complete response remain at extremely high-risk of recurrence. Among patients treated for early stage disease, 25% will eventually recur. For patients in remission following treatment for advanced-stage disease, the risk of recurrence within 18-24 months of treatment is 80%.[171,182] The guidelines for surveillance recommended by the National Comprehensive Cancer Network (NCCN) include close interval visits every 2-4 months for the first 2 years, followed by every 3-6 months for 3 additional years. After a patient has been in complete remission for a total of 5 years, interval visits can be done annually thereafter.[209]
Methods of surveillance are largely based on retrospective studies. The NCCN recommends physical examination and tumor marker (e.g. CA-125) surveillance, if the tumor marker was elevated at the time of initial diagnosis. Since 25-50% of ovarian cancer recurrences will occur in the pelvis, physical examination with pelvic exam and rectovaginal exam are an important part of surveillance visits.[210] CA-125 levels correlate with disease burden in most cases of ovarian cancer and are often elevated in the 5 months preceding clinical detection of disease relapse.[211] However, a prospective study by the EORTC evaluated 527 patients who were treated for recurrent disease. Treatment for recurrent disease was either initiated based on rising CA-125 level alone or in the setting of a clinically evident recurrence. The 2 groups did not differ in OS and this has called into question the benefit of early detection and treatment of recurrent ovarian cancer.[212] Incorporating CT imaging in ovarian cancer surveillance has been studied retrospectively. Small studies suggest earlier detection of recurrence and shorter time to secondary debulking surgery when CT was performed every 6 months, compared to imaging obtained at symptomatic recurrence.[213] However, in a study of 412 patients there was no difference in OS when routine surveillance included CA-125 and CT compared with surveillance with symptom monitoring. Given the controversies that exist for ovarian cancer surveillance, an individualized approach for CA-125 and imaging surveillance is recommended. This individualized surveillance should also consider a patient’s interest in active surveillance and their interest in participation in clinical trials of novel therapeutics in the future, should recurrent disease be identified.[214]
Conclusion
Despite often being thought of as a single diagnosis, “ovarian cancer” represents a diverse group of malignancies with distinct sites of origin, stage distribution at presentation, response to treatment and prognosis. Essential to optimal management of all patients with ovarian cancer is establishing the diagnosis (without iatrogenic upstaging) and correct staging of disease extent to aid in appropriate treatment. Some patients with early stage disease will not require adjuvant chemotherapy and can be managed with surgery alone. However, the vast majority of patients will present with advanced-stage disease and require a combination of aggressive surgical debulking and platinum-based chemotherapy. The management of all patients with ovarian cancer is sufficiently complex that referral to specialized centers, with adequate ovarian cancer treatment volume, offers patients the best prognosis and results in fewer treatment related complications.
Summary of Figures and Tables
Figure 1. Types of ovarian cancer
Figure 2. Common surgical findings for advanced-stage ovarian cancer
A. Disseminated tumor nodules on the peritoneum of the small bowel mesentery
B. Small and large peritoneal based tumor nodules on the right diaphragm
C. Bulky omental disease (“omental caking”)
D. Pelvic mass and pelvic tumor nodules resulting in distorted pelvic anatomy and inability to view the uterus
Figure 3. Common radiographic findings for advanced-stage ovarian cancer
A. Large-volume abdominal ascites.
B. Bulky omental disease (“omental caking”)
C. Complex pelvic mass with cystic and solid components
D. Bilateral moderate/large malignant pleural effusions
Figure 4. International Federation of Gynecology and Obstetrics (FIGO) system of ovarian cancer staging
Table 1. Summary of phase III trials of PARP inhibitors for newly diagnosed ovarian cancer


