Внутрішньопечінкова холангіокарцинома

Read in English

Важливі моменти

  • Більшість пацієнтів із внутрішньопечінковою холангіокарциномою на момент встановлення діагнозу мають місцево-поширену або метастатичну форму
  • У випадку локалізованого раку, хірургічне втручання має складатися з резекції пухлини та лімфаденектомії воріт печінки з видаленням мінімум шести лімфатичних вузлів
  • Відповідна передопераційна оцінка включає визначення майбутнього залишкового об’єму печінки (FLR), оскільки багатьом пацієнтам буде потрібна гепатектомія печінки або розширена гепатектомія
  • Після гепатектомії розгляньте системну або місцево-регіонарну ад’ювантну терапію, особливо у пацієнтів з ознаками високого ризику, такими як ураження лімфатичних вузлів або мікроскопічно позитивні (R1) краї резекції
  • Розвиток системної хіміотерапії, а також таргетної терапії все більше сприяє покращенню результатів лікування у пацієнтів із місцево-поширеними або метастатичними формами раку.

Вступ

Холангіокарцинома (ХАК) — це гетерогенна група рідкісних злоякісних пухлин, які розвиваються із епітелію жовчних шляхів. Підтипи ХАК включають внутрішньопечінкову холангіокарциному (вХАК), проксимальну (ворітну) холангіокарциному (пХАК) і дистальну холангіокарциному (дХАК) та мають чіткі анатомічні, біологічні та молекулярні характеристики. Внутрішньопечінкова ХАК виникає проксимальніше жовчних проток другого порядку. Ці агресивні злоякісні новоутворення характеризуються раннім ураженням лімфатичних вузлів і в більшості пацієнтів хвороба діагностується на стадії місцево-поширеного раку або метастазування. Повна хірургічна резекція з мікроскопічно негативними краями залишається єдиною можливістю довгострокового виживання. Однак у більшості пацієнтів виникає рецидив, незважаючи на проведене хірургічне втручання. Крім того, існує кілька ефективних системних методів лікування. Як наслідок, медіана загального виживання залишається низькою, оскільки лише 10% усіх пацієнтів з діагнозом вХАК проживають 5 років після встановлення діагнозу. Розвиток і впровадження ефективних периопераційних системних методів лікування буде вирішальним для покращення довгострокових результатів у пацієнтів з вХАК. У цьому розділі ми розглядаємо клінічну картину, діагностику та ведення пацієнтів з вХАК.

Епідеміологія та фактори ризику

На даний час вХАК становлять 10-15% пухлин печінки, що робить їх другою за поширеністю первинною пухлиною гепатобіліарного раку в усьому світі. Захворюваність на вХАК у всьому світі зростає протягом останніх тридцяти років.[1] Хоча більшість випадків вХАК є спорадичними, було виявлено кілька факторів ризику. Вони включають паразитарні інфекції (збудниками яких є, наприклад, O. viverrini або C. sinensis), захворювання жовчних шляхів (наприклад, гепатолітіаз, первинний склерозуючий холангіт або холедохоцисти), хронічні захворювання печінки (наприклад, гепатит B або C, цироз печінки та ін.) та вплив канцерогенів (наприклад, торостату або нітрозамінів).[1]
Крім того, розвиток і впровадження методів секвенування ДНК наступного покоління сприяло покращенню розуміння молекулярного канцерогенезу вХАК. Повногеномне секвенування продемонструвало наявність певних мутації у 70% пацієнтів з вХКА.[2]

Клінічна картина та діагностика

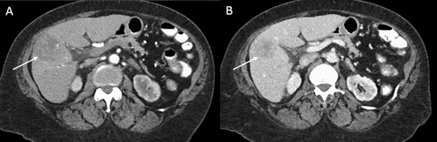
На відміну від пХАК та дХАК, які зазвичай супроводжуються такими симптомами обструкції жовчних шляхів, як жовтяниця, свербіж, потемніння сечі та світлий стілець, вХАК найчастіше виявляється у вигляді внутрішньопечінкового утворення як випадкова знахідка при виконанні КТ чи МРТ або під час проведення скринінгу у пацієнтів з цирозом печінки. Симптоми, про які повідомляють пацієнти, як правило, неспецифічні та можуть включати біль у животі, нудоту, втрату ваги або втомлюваність, ці ознаки пацієнти часто ігнорують, що і призводить до затримки діагностики. Діагноз можна запідозрити на етапі виявлення патологічних ознак на зображеннях КТ чи МРТ та підтвердити за допомогою гістологічної оцінки. Характерні особливості вХАК включають посилення артеріальної фази при магнітно-резонансній томографії (МРТ) чи комп’ютерній томографії (КТ) з контрастом без значного вимивання у венозній чи відстроченій фазі.
Зобр. 1. Типове зображення внутрішньопечінкової холангіокарциноми за допомогою комп’ютерної томографії на а) артеріальній та б) портальній венозній фазі зображення.
Печінкові проби та пухлинний маркер CA 19-9 можуть дати інформацію, необхідну для визначення методу лікування. Зазвичай необхідно виконати черезшкірну біопсію, так як відсутні рентгенологічні ознаки, що є специфічними для вХАК, а тому неможливо виключити інші гепатобіліарні злоякісні новоутворення лише за допомогою КТ\МРТ. Класифікація вХАК заснована на загальних морфологічних особливостях, наявності перидуктальної інфільтрації та ознаках внутрішньопротокового росту.
Зобр. 2. Макроскопічні гістологічні підтипи внутрішньопечінкової холангіокарциноми.
(Джерело: Brown KM, Geller DA. Surgical Management of Intra-Hepatic Cholangiocarcinoma. In: Biliary Tract and Gallbladder Cancer. Medical Radiology. Springer, Berlin, Heidelberg; 2014:241-252. doi:10.1007/978-3-642-40558-7_15)

Передопераційна оцінка

Пацієнти з підозрою на вХАК потребують комплексної передопераційної оцінки; що має включати оцінку  з точки зору фізіології, онкології, а також технічних можливостей. Фізіологічна резектабельність означає здатність пацієнта безпечно переносити складні операції на печінці. Важкі супутні захворювання, низький функціональний стан, неадекватне харчування або важкість онкологічного процесу можуть свідчити про те, що пацієнт не перенесе об’ємної гепатектомії. Пацієнтам з жовтяницею або іншими симптомами обструкції потрібно виконати біліарне дренування.
Онкологічна резектабельність стосується біологічної оцінки пухлини та потенційної користі, яку забезпечить хірургічне лікування.
Таблиця: 8-е видання AJCC, Стадіювання внутрішньопечінкової холангіокарциноми.
Фактори, що визначають онкологічну резектабельність: наявність позапечінкових уражень, специфічні гістопатологічні ознаки, ступінь підвищення рівня онкомаркерів, відповідь на попередню терапію (якщо проводилась), а також молекулярні особливості пухлини. Оцінка онкологічної резектабельності вимагає виконання КТ чи МРТ грудної клітки, черевної порожнини і тазу, включаючи мультифазові зображення печінки. Важливі рентгенологічні ознаки первинної пухлини включають макросудинну інвазію, мультифокальність та розмір пухлини. У той час як ураження очеревини може бути складно виявити на поперечних зрізах, вузлуватість сальника та асцит повинні викликати клінічну підозру. Лімфаденопатія при передопераційній візуалізації вказує на гірший прогноз і може бути показанням до проведення паліативної системної терапії; однак наразі це не є абсолютним протипоказанням до резекції, якщо уражені лімфатичні вузли знаходиться в межах очікуваної ділянки резекції.
Нарешті, технічна резектабельність відноситься до здатності досягти мікроскопічно негативних країв резекції, зберігаючи адекватний судинний притік/відтік, жовчно-кишковий дренаж і достатній залишковий об’єм печінки після операції. Для пацієнтів, що є кандидатами на проведення великої гепатектомії, що визначається як ураження ≥3 сегментів Куіно, формальна волюметрія надає інформацію, що є критично важливою для забезпечення адекватного залишкового об’єму печінки та мінімізації ризику післяопераційної печінкової недостатності (ППН). Незважаючи на те, що порогові значення для кожного пацієнта різняться, ризик ППН значно зростає при таких порогових значеннях залишкового об’єму: <20% у пацієнтів з нормальною функцією печінки, <30% у пацієнтів з дисфункцією печінки (наприклад, попередня хіміотерапія, наявність жовтяниці, важкий стеатоз або цукровий діабет) і <40-50% у пацієнтів з цирозом.[3]
Слід розглянути можливість емболізації ворітної вени для пацієнтів з неадекватним залишковим об’ємом. Після проведення емболізації ворітної вени портальний кровотік перенаправляється до ділянки печінки, що залишиться після резекції, цим самим стимулюючи ріст, що зазвичай призводить до 30-40% гіпертрофічної відповіді.[4]

Особливості проведення хірургічного втручання

Стадіювання за допомогою лапароскопії
З появою високоякісних методів візуалізації корисність встановлення стадії процесу за допомогою лапароскопії залишається суперечливою. Пацієнти з високим ризиком розвитку прихованих метастазів, наприклад, пацієнти з високим рівнем CA-19-9, великою первинною пухлиною чи лімфаденопатією, можуть уникнути непотрібної лапаротомії, якщо виявлено перитонеальні метастази. Лапароскопія може бути виконана як окрема процедура або безпосередньо перед плановою хірургічною резекцією. У великому проспективному дослідженні лапароскопічного стадіювання, що включала 291 пацієнта із злоякісними пухлинами гепатобіліарної системи, приховані метастатази виявлено у 84 пацієнтів (29%).[5]
Резекція печінки
Радикальна операція при вХАК повинна бути спрямована на повну резекцію пухлини та лімфаденектомію воріт печінки. Необхідність великої гепатектомії слід передбачити на основі передопераційної оцінки розміру пухлини, локалізації, підтипу та їх кількості. Інтраопераційне ультразвукове дослідження використовується для визначення меж пухлини, виявлення сателітних вузлів і локалізації важливих жовчних та судинних структур. Наразі рішення про проведення анатомічної чи неанатомічної гепатектомії грунтується на комфорті хірурга, оскільки недостатньо даних, щоб підтвердити перевагу одного підходу над іншим, якщо краї резекції мікроскопічно-негативні.
Мінімально інвазивні підходи все частіше застосовуються в лікуванні доброякісних і злоякісних уражень печінки, що очевидно полегшує контроль післяопераційного болю, знижує тривалість перебування в лікарні, та покращує іншні результати лікування порівняно з відкритою гепатектомією у певних груп пацієнтів.[6] Однак мінімально інвазивні підходи пов’язані з  більшим ризиком неадекватної лімфаденектомії. Для кращої оцінки ефективності та онкологічної безпеки мінімально інвазивних підходів необхідні рандомізовані контрольовані дослідження.
Лімфаденектомія
Хоча лімфаденектомія не пов’язана з покращенням виживаності, стан лімфатичних вузлів залишається одним із найважливіших прогностичних факторів для пацієнтів з вХАК.7 Крім того, стан лімфатичних вузлів часто визначає рішення щодо проведення ад’ювантної терапії. Тому рекомендується рутинне виконання лімфаденектомії під час резекції вХАК. Крім того, NCCN рекомендує брати зразки принаймні шести лімфатичних вузлів, щоб забезпечити адекватну лімфаденектомію для визначення стадії захворювання. Незважаючи на ці рекомендації, адекватна лімфаденектомія досягається у менше, ніж 20% пацієнтів.[8]
Незважаючи на «перехресне» дренування, лівобічні пухлини мають тенденцію дренуватися до шлунково-печінкової зв’язки та малої кривизни шлунка, тоді як пухлини правої половини печінки мають тенденцію дренуватися до гепатодуоденальної зв’язки та ретропанкреатичних лімфатичних вузлів.[9] Для того, щоб забезпечити правильний забір лімфатичних вузлів, рекомендується повна лімфаденектомія у всіх пацієнтів з вХАК.[10] Проте ознаки ураження лімфатичних вузлів за межами регіонарних лімфатичних басейнів, наприклад абдомінальних або парааортальних лімфатичних вузлів, слід розглядати як протипоказ до радикального оперативного втручання у більшості пацієнтів, оскільки це вказує на віддалене метастазування.
Резекція судин
Через агресивні біологічні властивості пухлини та пізню стадію захворювання на момент виявлення, вХАК часто вражає судинні структури, що можна виявити під час діагностики. Міжнародний дослідження за участі 1087 пацієнтів з вХАК виявило, що 12% випадків вимагали резекції великих судин під час гепатектомії, найчастіше ворітної вени або нижньої порожнистої вени.[11] У дослідженні порівнювалися периопераційна захворюваність, загальна виживаність, відсоток випадків рецидиву, а також порівнювався рівень виживання між групами дослідження. Результати свідчать про те, що у певних групах пацієнтів, що проходять лікування у профільних центрах, можна безпечно проводити  резекцію та реконструкцію судин для досягнення мікроскопічно-негативних негативних країв резекції.

Системна терапія

Віддалені метастази
Системна хіміотерапія є рекомендованим стартовим методом лікування у пацієнтів із прогресуючим неоперабельним чи метастатичним раковим процесом жовчних шляхів (тобто жовчних шляхів та жовчного міхура). Згідно з рандомізованим контрольованим дослідженням ABC-02, цисплатин-гемцитабін традиційно є схемою першої лінії терапії, якій надають перевагу при всіх видах раку жовчовивідних шляхів (РЖК).[15]
Дослідження продемонструвало значне покращення середньої загальної виживаності у пацієнтів, що отримували цисплатин (25 мг на квадратний метр поверхні тіла), а потім гемцитабін (1000 мг на квадратний метр), кожен з яких вводиться на 1 і 8 день терапії, кожні 3 тижні протягом восьми циклів. У проведеному аналізі безпеки препаратів, побічні явища були подібними між групами дослідження, лише нейтропенія виникала частіше в групі цисплатину-гемцитабіну. Однак частота інфекцій, асоційованих з нейтропенією, істотно не відрізнялася. Нещодавно проведене рандомізоване контрольоване дослідження TOPAZ-1 виявило покращення результатів виживання при додаванні дурвалумабу до гемцитабіну-цисплатину. Рандомізоване контрольоване дослідження 3 фази ABC-06 визначило FOLFOX як схему хіміотерапії другої лінії у пацієнтів із відсутністю відповіді на терапію першої лінії.[16] Гемцитабін-оксаліплатин, гемцитабін-NAB-паклітаксел, гемцитабін-S1 або фторурацил, лейковорин та оксаліплатин є альтернативними варіантами лікування.
Методи секвенування наступного покоління виявили можливі генетичні мутації у пацієнтів з раком жовчовивідних шляхів. Найбільш використовуваною панеллю генетичного тестування, є затверджена Федеральним управлінням з лікарських засобів, є панель F1CDx (Foundation One CDx). При вХКА можлива таргетна терапія у пацієнтів із генетичними змінами IDH (івозіденіб), BRAF-V600E (дабрафеніб+траметиніб), NTRK (ентректиніб, ларотректиніб), RET (праісетиніб), FGFR2 (пемігатиніб), HER2 (трастузумаб+пертузумаб), і генами репарації мікросателітної нестабільності/невідповідності (пембролізумаб, достарлімаб).[17,18]
Ад’ювантна терапія
Виникнення місцевих та віддалених рецидивів залишається на високому рівні, незважаючи на хірургічне втручання . Стратегії ад’ювантної терапії можуть допомогти зменшити ризик рецидиву. Ранні ретроспективні когортні дослідження свідчать про покращення загальної виживаності при застосуванні ад’ювантної хіміотерапії, особливо серед пацієнтів із високим ризиком рецидиву, таких як пацієнти з ураженням лімфатичних вузлів або мікроскопічно-позитивними краями резекції. Проте рутинне використання ад’ювантної хіміотерапії при вХАК та інших типах раку жовчовивідних шляхів залишалося суперечливим, оскільки дослідження, що проводилися кілька десятиліть, не змогли продемонструвати користь від ад’ювантної хіміотерапії щодо виживання.[19]
Однак дослідження BILCAP, багатоцентрове рандомізоване контрольоване дослідження 3 фази, порівнювало пероральний прийом капецитабіну (1250 мг/м2 двічі на день на 1-14 дні 21-денного циклу, протягом восьми циклів) протягом 6 міс. Дане дослідження проводилося у пацієнтів після хірургічної резекції раку жовчовивідних шляхів і продемонструвало значне покращення медіани загального виживання пацієнтів, які отримували ад’ювантну хіміотерапію.[20] Нарешті, триває дослідження ACTICCA-1, в якому пацієнти після резекції раку жовчовивідних шляхів розділені на дві групи – в однієї групи проводиться ад’ювантна терапія гемцитабіном і цисплатином, інша група остереження, воно покликане надати додаткові роз’яснення щодо ролі ад’ювантної хіміотерапії.[21]
Враховуючи значну частоту місцевих рецидивів, що спостерігаються серед пацієнтів, які підлягають резекції вХАК, також було запропоновано використання ад’ювантної променевої терапії, особливо у тих пацієнтів, що мають ознаки високого ризику рецидиву, наприклад: мікроскопічно-позитивні краї резекції, ураження великих судин або лімфатичних вузлів. Проспективні дані відсутні, але ретроспективні дані свідчать про те, що використання променевої терапії може бути пов’язане зі зниженим ризиком виникнення місцевого рецидиву.[22,23]
Неоад’ювантна терапія
Незважаючи на те, що рутинне використання неоад’ювантної терапії при резектабельних пухлинах жовчовивідних шляхів не застосовується, неоад’ювантна терапія може принести користь пацієнтам із місцево-поширеним захворюванням для зниження стадії онкологічного процесу. Крім того, первинні особливості пухлини, такі як судинна інвазія та ураження лімфатичних вузлів, можуть зробити хірургічне видалення неможливим. У таких ситуаціях необхідно провести неоад’ювантну терапію, аби забезпечити можливість проведення операції на печінці. Більшість спеціалістів призначають комбіновану терапію на основі гемцитабіну та платини, екстраполюючи дані рандомізованих контрольованих досліджень пацієнтів з метастатичним раком жовчних протоків, оскільки оптимальна неоад’ювантна терапія невідома.[24]
Локорегіонарна терапія, включаючи трансартеріальну хіміоемболізацію (TACE), радіоемболізацію або інфузійну хіміотерапію з імплантуванням помпи в печінкову артерію, також може знизити стадію процесу у пацієнтів з місцево-поширеними формами вХКА.[25]

Альтернативні методи лікування

Локорегіонарна терапія
Внутрішньоартеріальні методи лікування, такі як TACE, Y-90 радіоемболізація та артеріальна інфузійна хіміотерапія печінки (HAI), була оцінені у пацієнтів з неоперабельною вХАК. При використанні цих методів лікування частота часткової або повної рентгенографічної відповіді становить 20-25%, а також відзначається покращення виживаності.[26]
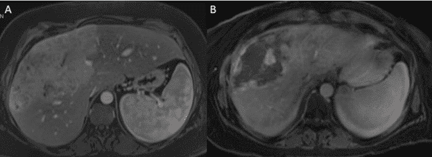
Наприклад, Rayar та ін. повідомили про дослідження з 45 пацієнтів, що мали неоперабельну вХАК, та проходили комбіновану Y-90 радіоемболізацію із системною хіміотерапією, та продемонстрували хороші результати, включаючи перехід до резектабельності у 8 пацієнтів.[27]
Зобр. 3. Репрезентативний приклад вХАК a) до та b) після радіоемболізації y-90
HAI також може використовуватися в поєднанні з системною хіміотерапією, як паліативне лікування або з метою зниження стадії процесу. У великому дослідженні ефективності HAI при вХАК, у 8 із 104 пацієнтів із неоперабельним раком було успішно знижено стадію процесу після терапії флоксуридином (при HAI) та системної хіміотерапії. Ці пацієнти зрештою пройшли резекцію, та мали медіану загальної виживаності 37 місяців.[28]
Променева терапія
Історично склалося так, що побічні ефекти, пов’язані з опроміненням всієї печінки, не дозволяли використовувати опромінення, як основний терапевтичний метод. Однак новітні методи променевої терапії дозволяють проводити цілеспрямоване опромінення певної ділянки, що зберігає паренхіму печінки. Крім того, прицільна, візуально-контрольована променева терапія (IGRT) дозволяє проводити такі процедури, як стереотаксична променева терапія тіла (SBRT) і променева терапія з модуляцією інтенсивності (IMRT), та забезпечує доставку абляційних доз опромінення з точністю до міліметра. Хоча проспективних досліджень бракує, більшість ретроспективних даних показують хороший результат із помірною токсичністю.[29]
Трансплантація печінки
Через високу частоту неоперабельного раку на момент діагностики існує значний інтерес до ортотопічної трансплантації печінки (OLT). Незважаючи на ентузіазм, заснований на позитивних результатах проведених досліджень,[30] подальші досліди застосування ОLТ при вХАК продемонстрував високу частоту рецидиву.[31,32]
Наприклад, огляд даних UNOS за 18 років за 2008 рік серед пацієнтів з вХАК, які пройшли ОLT виявили, що 1- та 5-річне виживання становить 74% та 38% відповідно. Ці результати були помітно нижчими порівняно з рівнем виживаності пацієнтів, яким проводили трансплантацію з приводу гепатоцелюлярної карциноми або термінальної стадії захворювань печінки.[32] Наразі виконання ОLT не рекомендовано у пацієнтів з вХАК, окрім як в розрізі клінічних досліджень у спеціалізованих центрах.[33]

Висновки

Внутрішньопечінкова холангіокарцинома є агресивною злоякісною пухлиною, що часто діагностується на пізніх стадіях. Хірургічна резекція залишається єдиним потенційно радикальним методом лікування. Основним хірургічним підходом при вХАК є повна резекція пухлини для досягнення мікроскопічно негативних країв резекції зі збереженням адекватного залишкового об’єму печінки. Регіонарна лімфаденектомія рекомендована під час гепатектомії у зв`язку з важливістю виявлення ураження вузлів для визначенні стадії та прогнозу. Беручи до уваги значну частоту рецидивів, що спостерігається навіть після резекції, периопераційна системна терапія може бути корисною.
На основі нещодавніх проспективних даних, поточні рекомендації щодо ад’ювантної терапії включають капецитабін у більшості пацієнтів. Пацієнтам із метастатичним або неоперабельним раком рекомендовано системну хіміотерапію та локорегіонарні методи лікування з комбінацією гемцитабіну/цисплатину/дурвалумабу,  що є новим стандартом лікування. У майбутньому краще розуміння генетичних і молекулярних механізмів виникнення вХАК призведе до вдосконалення таргетної терапії та кращих результатів для пацієнтів.

Джерела

  1. Bergquist A, von Seth E. Epidemiology of cholangiocarcinoma. Best Pract Res Clin Gastroenterol. 2015;29(2):221-232. doi:10.1016/j.bpg.2015.02.003
  2. Moeini A, Sia D, Bardeesy N, Mazzaferro V, Llovet JM. Molecular Pathogenesis and Targeted Therapies for Intrahepatic Cholangiocarcinoma. Clin Cancer Res Off J Am Assoc Cancer Res. 2016;22(2):291-300. doi:10.1158/1078-0432.CCR-14-3296
  3. Zorzi D, Laurent A, Pawlik TM, Lauwers GY, Vauthey J-N, Abdalla EK. Chemotherapy-associated hepatotoxicity and surgery for colorectal liver metastases. Br J Surg. 2007;94(3):274-286. doi:10.1002/bjs.5719
  4. Makuuchi M, Thai BL, Takayasu K, et al. Preoperative portal embolization to increase safety of major hepatectomy for hilar bile duct carcinoma: a preliminary report. Surgery. 1990;107(5):521-527.
  5. D’Angelica M, Fong Y, Weber S, et al. The role of staging laparoscopy in hepatobiliary malignancy: prospective analysis of 401 cases. Ann Surg Oncol. 2003;10(2):183-189.
  6. Ciria R, Cherqui D, Geller DA, Briceno J, Wakabayashi G. Comparative Short-term Benefits of Laparoscopic Liver Resection: 9000 Cases and Climbing. Ann Surg. 2016;263(4):761-777. doi:10.1097/SLA.0000000000001413
  7. de Jong MC, Nathan H, Sotiropoulos GC, et al. Intrahepatic cholangiocarcinoma: an international multi-institutional analysis of prognostic factors and lymph node assessment. J Clin Oncol Off J Am Soc Clin Oncol. 2011;29(23):3140-3145. doi:10.1200/JCO.2011.35.6519
  8. Zhang X-F, Chen Q, Kimbrough CW, et al. Lymphadenectomy for Intrahepatic Cholangiocarcinoma: Has Nodal Evaluation Been Increasingly Adopted by Surgeons over Time?A National Database Analysis. J Gastrointest Surg Off J Soc Surg Aliment Tract. 2018;22(4):668-675. doi:10.1007/s11605-017-3652-2
  9. Shirabe K, Shimada M, Harimoto N, et al. Intrahepatic cholangiocarcinoma: its mode of spreading and therapeutic modalities. Surgery. 2002;131(1 Suppl):S159-164.
  10. Okami J, Dono K, Sakon M, et al. Patterns of regional lymph node involvement in intrahepatic cholangiocarcinoma of the left lobe. J Gastrointest Surg Off J Soc Surg Aliment Tract. 2003;7(7):850-856.
  11. Reames BN, Ejaz A, Koerkamp BG, et al. Impact of major vascular resection on outcomes and survival in patients with intrahepatic cholangiocarcinoma: A multi-institutional analysis. J Surg Oncol. 2017;116(2):133-139. doi:10.1002/jso.24633
  12. Mavros MN, Economopoulos KP, Alexiou VG, Pawlik TM. Treatment and Prognosis for Patients With Intrahepatic Cholangiocarcinoma: Systematic Review and Meta-analysis. JAMA Surg. 2014;149(6):565-574. doi:10.1001/jamasurg.2013.5137
  13. Wang Y, Li J, Xia Y, et al. Prognostic nomogram for intrahepatic cholangiocarcinoma after partial hepatectomy. J Clin Oncol Off J Am Soc Clin Oncol. 2013;31(9):1188-1195. doi:10.1200/JCO.2012.41.5984
  14. Hyder O, Marques H, Pulitano C, et al. A nomogram to predict long-term survival after resection for intrahepatic cholangiocarcinoma: an Eastern and Western experience. JAMA Surg. 2014;149(5):432-438. doi:10.1001/jamasurg.2013.5168
  15. Valle J, Wasan H, Palmer DH, et al. Cisplatin plus gemcitabine versus gemcitabine for biliary tract cancer. N Engl J Med. 2010;362(14):1273-1281. doi:10.1056/NEJMoa0908721
  16. Lamarca A, Palmer DH, Wasan HS, et al. Second-line FOLFOX chemotherapy versus active symptom control for advanced biliary tract cancer (ABC-06): a phase 3, open-label, randomized, controlled trial. Lancet Oncol 2021;22:690-701.
  17. National Comprehensive Cancer Network (NCCN). Hepatobiliary Cancers v1.2022. Available at: https://www.nccn.org/professionals/physician_gls/pdf/hepatobiliary.pdf
  18. Le DT, Durham JN, Smith KN, et al. Mismatch repair deficiency predicts response of solid tumors to PD-1 blockade. Science. 2017;357(6349):409-413. doi:10.1126/science.aan6733
  19. Horgan AM, Amir E, Walter T, Knox JJ. Adjuvant therapy in the treatment of biliary tract cancer: a systematic review and meta-analysis. J Clin Oncol Off J Am Soc Clin Oncol. 2012;30(16):1934-1940. doi:10.1200/JCO.2011.40.5381
  20. Primrose JN, Fox R, Palmer DH, et al. Adjuvant capecitabine for biliary tract cancer: The BILCAP randomized study. J Clin Oncol. 2017;35(15_suppl):4006-4006. doi:10.1200/JCO.2017.35.15_suppl.4006
  21. Stein A, Arnold D, Bridgewater J, et al. Adjuvant chemotherapy with gemcitabine and cisplatin compared to observation after curative intent resection of cholangiocarcinoma and muscle invasive gallbladder carcinoma (ACTICCA-1 trial) – a randomized, multidisciplinary, multinational phase III trial. BMC Cancer. 2015;15:564. doi:10.1186/s12885-015-1498-0
  22. Jia AY, Wu J-X, Zhao Y-T, et al. Intensity-modulated radiotherapy following null-margin resection is associated with improved survival in the treatment of intrahepatic cholangiocarcinoma. J Gastrointest Oncol. 2015;6(2):126-133. doi:10.3978/j.issn.2078-6891.2014.102
  23. Zheng X, Chen B, Wu J-X, et al. Benefit of adjuvant radiotherapy following narrow-margin hepatectomy in patients with intrahepatic cholangiocarcinoma that adhere to major vessels. Cancer Manag Res. 2018;10:3973-3981. doi:10.2147/CMAR.S172940
  24. Valle JW, Wasan H, Johnson P, et al. Gemcitabine alone or in combination with cisplatin in patients with advanced or metastatic cholangiocarcinomas or other biliary tract tumours: a multicentre randomised phase II study – The UK ABC-01 Study. Br J Cancer. 2009;101(4):621-627. doi:10.1038/sj.bjc.6605211
  25. Sommer CM, Kauczor HU, Pereira PL. Locoregional Therapies of Cholangiocarcinoma. Visc Med. 2016;32(6):414-420. doi:10.1159/000453010
  26. Hyder O, Marsh JW, Salem R, et al. Intra-arterial therapy for advanced intrahepatic cholangiocarcinoma: a multi-institutional analysis. Ann Surg Oncol. 2013;20(12):3779-3786. doi:10.1245/s10434-013-3127-y
  27. Rayar M, Sulpice L, Edeline J, et al. Intra-arterial yttrium-90 radioembolization combined with systemic chemotherapy is a promising method for downstaging unresectable huge intrahepatic cholangiocarcinoma to surgical treatment. Ann Surg Oncol. 2015;22(9):3102-3108. doi:10.1245/s10434-014-4365-3
  28. Konstantinidis IT, Groot Koerkamp B, Do RKG, et al. Unresectable intrahepatic cholangiocarcinoma: Systemic plus hepatic arterial infusion chemotherapy is associated with longer survival in comparison with systemic chemotherapy alone. Cancer. 2016;122(5):758-765. doi:10.1002/cncr.29824
  29. Tao R, Krishnan S, Bhosale PR, et al. Ablative Radiotherapy Doses Lead to a Substantial Prolongation of Survival in Patients With Inoperable Intrahepatic Cholangiocarcinoma: A Retrospective Dose Response Analysis. J Clin Oncol Off J Am Soc Clin Oncol. 2016;34(3):219-226. doi:10.1200/JCO.2015.61.3778
  30. Iwatsuki S, Starzl TE, Sheahan DG, et al. Hepatic resection versus transplantation for hepatocellular carcinoma. Ann Surg. 1991;214(3):221-228; discussion 228-229.
  31. Ghali P, Marotta PJ, Yoshida EM, et al. Liver transplantation for incidental cholangiocarcinoma: analysis of the Canadian experience. Liver Transplant Off Publ Am Assoc Study Liver Dis Int Liver Transplant Soc. 2005;11(11):1412-1416. doi:10.1002/lt.20512
  32. Becker NS, Rodriguez JA, Barshes NR, O’Mahony CA, Goss JA, Aloia TA. Outcomes analysis for 280 patients with cholangiocarcinoma treated with liver transplantation over an 18-year period. J Gastrointest Surg Off J Soc Surg Aliment Tract. 2008;12(1):117-122. doi:10.1007/s11605-007-0335-4
  33. Lunsford KE, Javle M, Heyne K, et al. Liver transplantation for locally advanced intrahepatic cholangiocarcinoma treated with neoadjuvant therapy: a prospective case-series. Lancet Gastroenterol Hepatol. March 2018. doi:10.1016/S2468-1253(18)30045-1
Внутрішньопечінкова холангіокарцинома Пухлини верхніх відділів шлунково-кишкового тракту - GMKA - Global Medical Knowledge Alliance