Саркома м’яких тканин кінцівок та тулуба

Read in English

Вступ

Саркоми м’яких тканин кінцівок і тулуба (ETSTS) складають широку групу гістологічно різноманітних пухлин, що викликають труднощі у клінічному веденні. Існує понад 70 визнаних підтипів саркоми, кожен з яких має свою біологію та клінічний перебіг. ETSTS складають майже 80% усіх сарком м’яких тканин[1].
Етіологія більшості сарком невідома; 10% або менше випадків пов’язані з відомими етіологічними факторами, такими як хімічні речовини навколишнього середовища, радіація, вірусна інфекція, імунодефіцитний стан пацієнта та генетичні механізми (наприклад, синдром Лі-Фраумені, нейрофіброматоз, сімейний аденоматозний поліпоз). П’ятирічна загальна виживаність для всіх пацієнтів з ETSTS становить приблизно 65%, починаючи від 81% для пацієнтів з локалізованим захворюванням до 15% для пацієнтів з метастатичним захворюванням [2].
Мета наведеної нижче статті полягає в тому, щоб допомогти у веденні ETSTS, що можуть бути діагностичним викликом для лікаря під час диференціації цих рідкісних пухлини м’яких тканин від звичайних доброякісних утворень. Також буде переглянуто загальне ведення та основні принципи лікування. Враховуючи широкий спектр гістологічних досліджень і клінічних проявів, неможливо розглянути тут кожен сценарій лікування, але мета полягає у тому, щоб переконатися, що початкове обстеження та лікування проводяться методичним, онкологічно обґрунтованим способом, яке згодом може продовжити високоспеціалізований саркомний центр із міждисциплінарною експертизою, за потреби.

Симптоми

Більшість пацієнтів відзначають в анамнезі безболісну пухлину, яка збільшується протягом попередніх місяців або років. У деяких випадках, раніше стабільне утворення починає раптово рости, що викликає занепокоєння щодо трансформації в злоякісну або більш агресивну пухлину.
Розмір утворення є варіабельним і залежить від місця розташування. Утворення у великих м’язових ділянках, таких як стегно, можуть залишатися непоміченими, доки розмір не досягне 10-15 см. Іноді пацієнти відзначають біль, коли утворення розтягується або ураження досягає нерва. Порушення кровопостачання та іннервації менш поширені, але можуть спостерігатися на пізніх стадіях захворювання з більшими, більш інвазивними пухлинами.
Під час фізикального огляду слід звернути увагу на розмір пухлини, біль під час пальпації, ураження шкіри пухлиною, будь-які ознаки нервово-судинного ураження, такі як оніміння або набряк кінцівки, а також чи пухлина фіксована до прилеглих тканин або чи вільно рухлива.

Діагностика

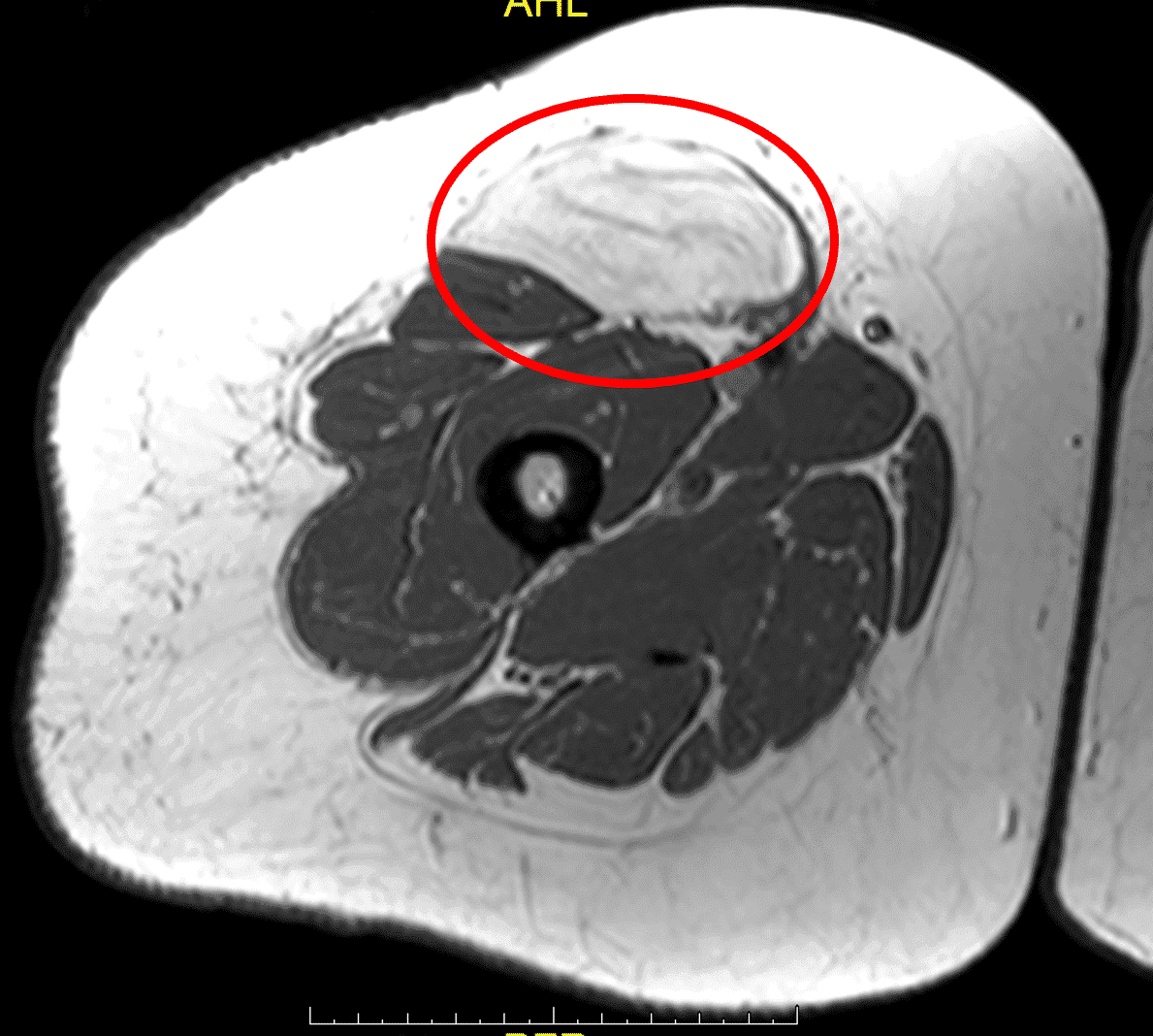
Адекватне обстеження перед будь-яким лікуванням або хірургічним втручанням є надзвичайно важливим. Магнітно-резонансну томографію (МРТ) з контрастом і без контрасту слід розглядати при всіх утвореннях м’яких тканин, які збільшуються або перевищують 4 см. Якщо візуалізація, отримана до направлення, є незадовільною, лікарю слід без вагань повторити або отримати додаткову візуалізацію, щоб адекватно побачити пухлину. В Т1 режимі МРТ якісно візуалізуються доброякісні жирові пухлини, такі як ліпоми або жирові пухлини низького ступеня злоякісності, такі як атипові ліпоматозні пухлини (АЛП), особливо якщо такі пухлини добре окреслені, доволі однорідні та з внутрішнім сигналом, подібним до внутрішнього сигналу від нормальної жирової тканини (зобр. 1).
Зобр. 1: (A) МРТ, фаза T1, що показує доброякісну ліпому правого підгрудного відділу, підтверджену наступною резекцією. Вона за внутрішньою структурою однорідна і з таким самим сигналом, як і від сусідніх жирових тканин.
Зобр. 1: (B) МРТ, фаза Т1, верхня ділянка правого стегна, що демонструє атипову ліпоматозну пухлину, яка дещо більш невиразна з більш складною внутрішньою структурою в порівнянні до навколишньої нормальної жирової тканини.
Для злоякісних утворень оптимальнішими є контрастні фази (зобр. 2). Фази STIR допомагають продемонструвати ступінь перитуморального набряку. Якщо МРТ недоступна, комп’ютерна томографія (КТ) є наступним найбільш інформативним методом візуалізації, що забезпечує детальні крос-секційні зображення, які можуть допомогти визначити розмір і ступінь ураження, про яке йдеться. Ураження лімфатичних вузлів не є поширеним при ETSTS, але патологічна лімфаденопатія, виявлена під час фізикального обстеження або виявлена на візуалізації, якщо вона є, повинна спонукати до поглиблення діагностичного пошуку.
Якщо під час обстеження виявлено надмірний набряк кінцівки, необхідно провести ультразвукове доплерографічне дослідження з метою виключення венозного тромбозу. Якщо є занепокоєння щодо ураження кісток, слід виконати рентгенографію разом із МРТ ділянки.
Зобр. 2: На МРТ показана веретеноклітинна саркома високої ступеня злоякісності у задній ділянці правого плеча. А) Т1 фаза показує злоякісну пухлину, яка ізоінтенсивна до м’язової тканини.
Figure 2: (B) Постконтрастна фаза показує гіперінтенсивну пухлину.
Наступним критичним кроком після візуалізації є гістологічне підтвердження. Методами вибору є або біопсія під контролем ультразвуку (для більш поверхневих уражень), або біопсія під контролем КТ. Пункційна біопсія (ПБ) є значно кращою за тонкоголкову аспіраційну пункційну біопсію (ТАПБ) для ETSTS. В ідеалі біопсійний тракт повинен бути узгоджений між інтервенційним радіологом і лікуючим хірургом, щоб гарантувати, що незадіяні м’язові відділи не перетинаються голкою. Відкриту біопсію проводять рідко і лише у випадках, коли пункційна біопсія неможлива або кілька разів була не діагностичною. Розріз для відкритих біопсій має бути ретельно спланований, щоб його можна було використати при будь-якому майбутньому заборі резекційного зразку, якщо патанатомічне дослідження виявить злоякісну пухлину, а площини тканини повинні бути якомога менш пошкоджені.
Після встановлення гістологічного діагнозу для повного стадіювання необхідно виконати візуалізаційні обстеження.. У таблиці 1 показано 8-е видання Американського об’єднаного комітету з раку (AJCC) для ETSTS. Для більшості сарком високого ступеня злоякісності КТ грудної клітки необхідна для виключення легеневих метастатичних захворювань. Крім того, специфічна гістологія саркоми має індивідуальні потреби у візуалізації. Наприклад, при міксоїдній ліпосаркомі слід розглянути КТ органів грудної клітки, черевної порожнини та таза, а також МРТ хребта. МРТ головного мозку слід розглядати при альвеолярній м’якотканинній саркомі і ангіосаркомі. Візуалізацію груп вузлів за допомогою КТ або ультразвуку слід розглянути для підтипів, які мають більшу ймовірність ураження вузлів (рабдоміосаркома, ангіосаркома, світлоклітинна саркома, епітеліоїдна саркома).
Таблиця 1: Саркома м’яких тканин тулуба та кінцівок AJCC 8 видання. Стадіювання процесу
Т стадіяПервинна пухлина
ТХПервинну пухлину неможливо оцінити
Т1≤ 5 см у найбільшому розмірі
Т2>5 см та ≤ 10 см у найбільшому розмірі
Т3>10 см та ≤ 15 см у найбільшому розмірі
Т4>15 см у найбільшому розмірі
N стадіяРегіонарні лімфатичні вузли
N0Метастази у регіонарні лімфатичні вузли відсутні або не визначаються
N1Метастази у регіонарні лімфатичні вузли
М стадіяВіддалені метастази
М0Відсутні віддалені метастази
М1Віддалені метастази
Анатомічна стадіяПрогностичні групи
Стадія ІАT1 N0 M0, ступінь 1 або ступінь X
Стадія ІВT2 N0 M0, ступінь 1 ступінь X T3 N0 M0, ступінь 1 або ступінь X T4 N0 M0, ступінь 1 або ступінь X
Стадія ІІT1 N0 M0, ступінь 2 або 3
Стадія ІІІАT2 N0 M0, ступінь 2 або 3
Стадія ІІІВT3 N0 M0, ступінь 2 або 3 T4 N0 M0, ступінь 2 або 3
Стадія IVБудь-яка T, N1 або M1 будь-який ступінь
Позиційно-емісійна томографія (ПЕТ) КТ рідше використовується при саркомі, але є варіантом для визначення стадії пухлин високого ступеня злоякісності. Для пухлин з дуже низьким ризиком метастатичного потенціалу (наприклад, АЛП/високодиференційована ліпосаркома) для встановлення стадії достатньо звичайної рентгенографії органів грудної клітки. У таблиці 2 наведено метастатичний потенціал кількох поширених гістологічних типів ETSTS.
Таблиця 2: Метастатичний потенціал поширених сарком м’яких тканин тулуба та кінцівок.
НизькийПомірнийВисокий
Добре-диференційована саркомаМіксоїдна ліпосаркомаНедиференційована плейоморфна саркома
ДерматофібросаркомаСолітарна фіброзна пухлинаДиференційована ліпосаркома
Десмоїдна пухлинаПозаскелетна хондросаркомаЛейоміосаркома
 МіксофібросаркомаАльвеолярна м’якотканинна саркома
  Ангіосаркома
  Світлоклітинна саркома
  Епітеоліоїдна саркома
  Позаскелетена остеосаркома
  Злоякісна пухлина оболонки периферичних нервів
  Плеоморфна ліпосаркома
  Рабдоміосаркома
  Синовіальна саркома

Менеджмент

Локорегіонарна терапія
Хірургічна резекція залишається золотим стандартом і єдиним шансом вилікувати ETSTS. Якщо можливо, пухлину середнього або високого ступеня злоякісності висікають із 2 см запасом здорових тканин. Для деяких пухлин низького ступеня злоякісності або повільно зростаючих пухлин (наприклад, АЛП) прийнятною є межа 1 см або навіть «крайова резекція», зроблена на безпосередній межі пухлини, особливо якщо існують анатомічні обмеження.
Як правило, критично важливі нерви та судини зберігаються, якщо пухлина може бути розсічена, що відбувається в більшості випадків. Для розсічення нервово-судинної оболонки пухлини іноді може знадобитися васкулярна резекція та реконструкція, а також біопсія залучених нервів для високоякісної гістології. Якщо залучено прилеглу поряд кістку, бажано проконсультуватися з онкологом-ортопедом, щоб можна було досягти резекції en bloc та функціональної реконструкції. Загалом порятунок кінцівки має відбуватися при >95% сарком кінцівок з ампутацією лише в меншості випадків, коли функціональну кінцівку неможливо зберегти при адекватній онкологічній резекції.
У випадках з утворенням великого дефекту м’яких тканин після видалення пухлини може знадобитися пластична хірургія для пересадки шкіри з використанням ротаційного або вільного клаптя. При ETSTS часто застосовуються поетапні хірургічні резекції та реконструкції; після резекції пухлини рана тимчасово закривається, наприклад із використанням обладнання до вакуум-асистованого закриття рани, доки не буде отримано остаточне патологічне підтвердження гістологічно негативних (чистих) країв післярезекційної рани. Потім виконується реконструкція під час запланованого другого етапу, як правило, через 5-10 днів після первинної резекції.
Хірурги часто стикаються з діагнозом ETSTS вже після резекції того, що первинно вважалося доброякісним утворенням і несподівано виявляється саркомою за даними патогістологічного дослідження (це також називається «незаплановане висічення»). Загалом рекомендується повторне висічення через наявний приблизно 50% ризик залишкової пухлини в ложі резекції. Перед повторною резекцією може бути показана променева терапія, залежно від гістології та розміру ураження (показання до променевої терапії див. у наступному розділі). Якщо пухлина знаходиться в анатомічно чутливій зоні, і резекція додаткової тканини може спричинити негативні наслідки, можна розглядати лише опромінення, якщо є впевненість у відсутності залишків пухлини при візуалізації або під час клінічного обстеження.
Променева терапія
Променева терапія необхідна при всіх злоякісних пухлинах розміром ≥ 5 см. У рандомізованому контрольованому дослідженні, проведеному Розенбергом та ін, пацієнти з пухлинами високого ступеня злоякісносі були рандомізовані на групи ампутації або оперативного втручання зі збереженням кінцівок і опромінення. Обидві групи отримували хіміотерапію. Частота рецидивів була статистично однаковою (P = 0,06) без відмінностей у виживаності без захворювання (71% проти 78% через 5 років, P = 0,75) або загальній виживаності (83% проти 88% через 5 років, P = 0,99) [3].
Це дослідження показало, що ампутація не потрібна, якщо до хірургічного втручання зі збереженням кінцівки додається променева терапія. Інше дослідження, проведене Пістерсом та ін, виявило, що тільки хірургічне втручання з межею R0 для пухлин розміром <5 см має прийнятний рівень рецидивів (7,9% через 5 років) і дуже низький рівень смертності від саркоми (3,2% через 5 і 10 років), тим самим дозволяючи не проводити опромінення при пухлинах високого ступеня злякісності Т1 (<5 см) після резекції R0 [4].
Якщо під час резекції передбачається допоміжне опромінення, хірург може розглянути можливість розміщення металевих затискачів на периферії резекційного ложа, щоб допомогти радіологу-онкологу. Загалом, опромінення показано для пухлин <5 см з межами R1 після резекції та для всіх пухлин високого ступеня злоякісності ≥ 5 см. Його також можна розглядати дуже вибірково і для пухлин низького ступеня злоякісності, які є рецидивуючими або глибоко інфільтруючими.
Якщо показана променева терапія, необхідно прийняти рішення про неоад’ювантну або ад’ювантну терапію. Неоад’ювантне опромінення дозволяє застосовувати менші кумулятивні дози та має менший ризик довгострокових побічних ефектів, таких як фіброз і скутість суглобів. Проте неоад’ювантне опромінення має подвійний ризик післяопераційних ускладнень рани (35% порівняно з 17% для ад’ювантного опромінення [5]).
Неоад’ювантне опромінення є хорошим варіантом для молодих пацієнтів, у яких потенційно ще багато десятиліть попереду, щоб жити з хронічними незворотними наслідками радіації. Ад’ювантне опромінення може бути кращим варіантом для пацієнтів із високим ризиком виникнення ускладнень в межах рани, щоб мінімізувати післяопераційні раньові ускладнення. Обидва методи мають еквівалентну онкологічну користь щодо локальних рецидивів. Таким чином, рішення про неоад’ювант чи ад’ювант може бути індивідуалізоване для пацієнта на основі переваг і недоліків кожного методу.
Системна терапія
Хіміотерапія розглядається у пацієнтів з високим ризиком розвитку метастатичного захворювання або у пацієнтів з неоперабельним або метастатичним захворюванням. Деякі центри зазвичай використовують неоад’ювантну хіміотерапію для великих пухлин високого ступеня злоякісності, що має кілька потенційних переваг, таких як передопераційне зменшення пухлини, обстеження пухлини in situ та уникнення затримок післяопераційної хіміотерапії через ускладнення. При проведенні неоад’ювантного опромінення спочатку зазвичай призначають хіміотерапію, потім неоад’ювантне опромінення, а потім хірургічне втручання.
Схеми хіміотерапії відрізняються залежно від гістології та стадії захворювання, але зазвичай схеми, які використовуються, включають монопрепарат або комбінацію доксорубіцину (75 мг/м2) /іфосфаміду (з іфосфамідом в прийнятливих дозах ≥9 г/м2 на цикл), монопрепарат дакарбазину та комбінацію гемцитабін/доцетаксел. Відомо, що деякі види гістологічно типів пухлин є більш хіміочутливими, наприклад, міксоїдна ліпосаркома та синовіальна саркома, тоді як інші, як правило, хіміорезистентні (світлоклітинна та альвеолярна м’якотканинна саркома). Схеми на основі доксорубіцину (75 мг/м2) є стандартом лікування першої лінії при хіміочутливих гістологічних захворюваннях [6, 7].
В умовах неоад’ювантної терапії монохіміотерапію не слід призначати, оскільки показники відповіді на лікування значно нижчі [8, 9], а рекомендованою схемою є доксорубіцин/іфосфамід у більшості поширених гістотипів [10, 11], за винятком лейоміосарком, які резистентні до іфосфаміду і повинні лікуватися комбінацією доксорубіцину та дакарбазину [12]. У розширених умовах стандарти лікування відрізняються в різних центрах, хоча доксорубіцин залишається основою системного лікування першої лінії: в американському стандарті лікування використовуються комбіновані схеми [13], тоді як європейський підхід передбачає використання доксорубіцину в якості монопрепарату [14].
Ця розбіжність пояснюється тим фактом, що комбіновані режими підвищують рівень відповіді на лікування, але не показали жодної загальної переваги щодо виживання в розширених умовах у об’єднаних когортах із різним гістологічним типом. Однак комбіновані схеми покращують контроль захворювання та можуть принести значну користь. Примітно, що доксорубіцин/іфосфамід є особливо токсичною схемою і часто погано переноситься навіть пацієнтами з задовільним початковим станом. Кардіотоксичність, нефротоксичність і мієлосупресія є поширеними побічними ефектами.
Існує певне непорозуміння щодо застосування ад’ювантної хіміотерапії після повної хірургічної резекції, оскільки дослідження показали суперечливі результати. Аналіз Sarcoma Meta-Analysis Collaboration 2008 (15), який включав пацієнтів із 18 досліджень, виявив, що доксорубіцин у поєднанні з іфосфамідом покращує загальну виживаність (30% проти 41% ризику смерті, OR 0,56, P = 0,01). Подальші випробування не змогли виявити переваги загальної виживаності в умовах ад’ювантної терапії. Таким чином, залишається невизначеність щодо абсолютної користі ад’ювантної хіміотерапії. Рекомендується залучати медичних онкологів, які часто лікують пацієнтів ETSTS, і за можливості направляти пацієнтів до центрів із опцією проведення клінічних випробувань.
Метастатична хвороба
Приблизно у 40-50% пацієнтів з ETSTS середнього або високого ступеня злоякісності буде розвиватися метастатичне захворювання на певному етапі перебігу патології. У випадку метастатичного захворювання метою є не лікування, а продовження життя та забезпечення лікування симптомів. Часто це досягається за допомогою комбінації паліативних методів лікування, включаючи хіміотерапію, опромінення симптоматичних ділянок, хірургічну резекцію симптоматичних утворень та/або абляцію/емболізацію при захворюваннях печінки.
Для окремих пацієнтів з олігометастатичним захворюванням і хорошою відповіддю на системну терапію можна розглянути можливість хірургічної резекції. Наприклад, у пацієнта з операбельною первинною пухлиною в кінцівці та резектабельними олігометастазами в легенях, у якого спостерігається стабільність захворювання або відповідь на системну терапію, можна розглянути хірургічне втручання для резекції як уражених ділянок легень, так і первинної пухлини. Ад’ювантне або неоад’ювантне опромінення первинної пухлини слід застосовувати, як описано вище для локального утворення.
Іншим варіантом для такого ж пацієнта з олігометастатичним захворюванням, але без можливості хірургічного втручання та системної терапії, може бути остаточне опромінення як при ураженні легень, так і при первинній пухлині кінцівки. Вибір між різними паліативними варіантами при метастазах залежить від ступеня та локалізації метастазів, симптомів пацієнта, швидкості розвитку захворювання та врахування відомого типового перебігу кожного конкретного гістологічного типу; через складність, у цих ситуаціях краще звернутися до досвідченого центру лікування саркоми.
Рецидив захворювання
Рецидив ETSTS може виникнути на місці первинної пухлини, іноді в басейні лімфатичних вузлів або віддалено. Легені є найбільш частим віддаленим місцем рецидиву, але можливі ураження печінки, кісток і підшкірних тканин. У разі виявлення рецидиву при будь-якій локалізації необхідно провести повне повторне візуалізаційне дослідження для визначення стадії.
Приблизно у 10-20% пацієнтів після відповідної місцевої терапії розвивається рецидив локально. Повторну резекцію слід розглянути так само, як і опромінення, навіть якщо його проводили раніше, але після ретельного обговорення з досвідченим радіаційним онкологом в експертному центрі саркоми. Ампутація може знадобитися у меншості пацієнтів із локальним рецидивом.
Для групи пацієнтів, у яких розвивається метастатичне захворювання, факторами ризику, що сприяють більш агресивному втручанню є: тривалість ремісії понад 12 місяців, вік менше 50 років, відсутність попереднього рецидиву локально, менше 4 вузликів у легенях і наявність можливості видалити всі видимі пухлини.
Спостереження
The National Comprehensive Cancer Network (NCCN) рекомендує проводити оглядове візуалізаційне дослідження первинної пухлини, грудної клітки та всіх ділянок кожні 3-6 місяців протягом перших 2-3 років, потім кожні 6 місяців до 5 років після встановлення діагнозу, потім щорічно [16].
Для гістологічних типів із низьким ризиком метастазування достатнім є дослідження органів грудної клітки кожні 6-12 місяців, часто достатньо рентгенографії органів грудної клітки. В іншому випадку КТ грудної клітки є рутинним методом вибору. Первинну локалізацію зазвичай візуалізують за допомогою МРТ, хоча можна використовувати УЗД для дуже поверхневих ділянок.

Резюме

ETSTS — це різноманітна і складна група пухлин, лікування яких відбувається у команді лікарів різних спеціальностей. Ретельне обстеження кожного пацієнта для визначення відповідного гістологічного типу, ступеня та стадії допомагає визначити потребу в опроміненні, обсяг операції та потенційну користь хіміотерапії.
На даний момент ампутація використовується в меншості випадків, а операція з підтвердженням негативного (чистого) краю постопераційної рани і променева терапія є стандартом лікування пухлин високого ступеня диференціації >5 см. Навіть для тих, хто має метастатичну або рецидивну хворобу, перелік доступних варіантів лікування постійно розширюються: додаються нові системні варіанти, місцева терапія та методи опромінення. Таких пацієнтів бажано направити до саркомного центру з міждисциплінарним досвідом, якщо такий є.

Посилання

  1. Fletcher CDM, World Health Organization., International Agency for Research on Cancer. WHO classification of tumours of soft tissue and bone. 4th ed. Lyon: IARC Press; 2013. 468 p. p.
  2. Howlader N NA, Krapcho M, Miller D, Brest A, Yu M, Ruhl J, Tatalovich Z, Mariotto A, Lewis DR, Chen HS, Feuer EJ, Cronin KA SEER Cancer Statistics Review, 1975-2017 2020 [Available from: https://seer.cancer.gov/csr/1975_2017/.
  3. Rosenberg SA, Tepper J, Glatstein E, Costa J, Baker A, Brennan M, et al. The treatment of soft-tissue sarcomas of the extremities: prospective randomized evaluations of (1) limb-sparing surgery plus radiation therapy compared with amputation and (2) the role of adjuvant chemotherapy. Ann Surg. 1982;196(3):305-15.
  4. Pisters PW, Pollock RE, Lewis VO, Yasko AW, Cormier JN, Respondek PM, et al. Long-term results of prospective trial of surgery alone with selective use of radiation for patients with T1 extremity and trunk soft tissue sarcomas. Ann Surg. 2007;246(4):675-81; discussion 81-2.
  5. O’Sullivan B, Davis AM, Turcotte R, Bell R, Catton C, Chabot P, et al. Preoperative versus postoperative radiotherapy in soft-tissue sarcoma of the limbs: a randomised trial. Lancet. 2002;359(9325):2235-41.
  6. Benjamin RS, Wiernik PH, Bachur NR. Adriamycin chemotherapy—efficacy, safety, and pharmacologic basis of an intermittent single high-dosage schedule. Cancer. 1974;33(1):19-27.
  7. Borden EC, Amato DA, Rosenbaum C, Enterline HT, Shiraki MJ, Creech RH, et al. Randomized comparison of three adriamycin regimens for metastatic soft tissue sarcomas. J Clin Oncol. 1987;5(6):840-50.
  8. Tap WD, Papai Z, Van Tine BA, Attia S, Ganjoo KN, Jones RL, et al. Doxorubicin plus evofosfamide versus doxorubicin alone in locally advanced, unresectable or metastatic soft-tissue sarcoma (TH CR-406/SARC021): an international, multicentre, open-label, randomised phase 3 trial. The Lancet Oncology. 2017;18(8):1089-103.
  9. Ryan CW, Merimsky O, Agulnik M, Blay J-Y, Schuetze SM, Van Tine BA, et al. PICASSO III: A Phase III, Placebo-Controlled Study of Doxorubicin With or Without Palifosfamide in Patients With Metastatic Soft Tissue Sarcoma. Journal of Clinical Oncology. 2016;34(32):3898-905.
  10. Gronchi A, Ferrari S, Quagliuolo V, Broto JM, Pousa AL, Grignani G, et al. Histotype-tailored neoadjuvant chemotherapy versus standard chemotherapy in patients with high-risk soft-tissue sarcomas (ISG-STS 1001): an international, open-label, randomised, controlled, phase 3, multicentre trial. The Lancet Oncology. 2017;18(6):812-22.
  11. Gronchi A, Palmerini E, Quagliuolo V, Martin Broto J, Lopez Pousa A, Grignani G, et al. Neoadjuvant Chemotherapy in High-Risk Soft Tissue Sarcomas: Final Results of a Randomized Trial From Italian (ISG), Spanish (GEIS), French (FSG), and Polish (PSG) Sarcoma Groups. Journal of Clinical Oncology. 2020;38(19):2178-86.
  12. D’Ambrosio L, Touati N, Blay JY, Grignani G, Flippot R, Czarnecka AM, et al. Doxorubicin plus dacarbazine, doxorubicin plus ifosfamide, or doxorubicin alone as a first‐line treatment for advanced leiomyosarcoma: A propensity score matching analysis from the European Organization for Research and Treatment of Cancer Soft Tissue and Bone Sarcoma Group. Cancer. 2020;126(11):2637-47.
  13. von Mehren M, Kane JM, Bui MM, Choy E, Connelly M, Dry S, et al. NCCN Guidelines Insights: Soft Tissue Sarcoma, Version 1.2021. J Natl Compr Canc Netw. 2020;18(12):1604-12.
  14. Casali PG, Abecassis N, Aro HT, Bauer S, Biagini R, Bielack S, et al. Soft tissue and visceral sarcomas: ESMO-EURACAN Clinical Practice Guidelines for diagnosis, treatment and follow-up. Ann Oncol. 2018;29(Suppl 4):iv268-iv9.
  15. Pervaiz N, Colterjohn N, Farrokhyar F, Tozer R, Figueredo A, Ghert M. A systematic meta-analysis of randomized controlled trials of adjuvant chemotherapy for localized resectable soft-tissue sarcoma. Cancer. 2008;113(3):573-81.
  16. von Mehren M KJ, Bui M. NCCN Guidelines: Soft Tissue Sarcoma 2021 [Available from: https://www.nccn.org/professionals/physician_gls/pdf/sarcoma.pdf.
Саркома м’яких тканин кінцівок та тулуба Саркоми - GMKA - Global Medical Knowledge Alliance