Огляд статті «Rectal cancer lexicon 2023 revised and updated consensus statement from the SAR Colorectal and Anal Cancer DFP»
Автори
Оригінальна стаття: https://link.springer.com/article/10.1007/s00261-023-03893-2
Вступ
Стандартизація лексикону та термінології, наявність чітких понять і визначень дає змогу радіологам та клініцистам краще розуміти один одного, доступно відповідати на питання, що цікавлять конкретного спеціаліста. Зміни у загальноприйнятій спеціальній термінології залежать від рандомізованих клінічних досліджень, консенсусу експертів, національних та міжнародних клінічних настанов, актуального розуміння біології та клінічної поведінки захворювання.
Ця стаття – короткий огляд оновлень лексикону, вперше опублікованого в 2019 році Society of Abdominal Radiology Colorectal and Anal Cancer Disease. Акцент цієї публікації робиться на первинному стадіюванні, відповіді на лікування, анатомічних орієнтирах і їх термінології, N-стадіюванні та тлумаченні терапевтичних підходів до лікування раку прямої кишки.
Т-стадіювання
№1. Т-стадія
- T1 субкласифікується в залежності від підслизової інвазії (sm) на sm1, sm2, sm3, що відображає ії глибину.
- Т1 та Т2 обʼєднуються в одну категорію, враховуючи труднощі в диференціюванні по МРТ. Для цього диференціювання ендо-УЗД працює краще ніж МРТ.
- Т3 розділяють на дві прогностичні категорії: Т3 a/b – категорія сприятливого прогнозу, Т3 c/d (вищий ризик локального рецидиву). Основа цих критеріїв – відношення до мезоректальної фасції.
- Т4а або перитонеальна інвазія підозріла у випадку зміненої інтенсивності сигналу, потовщення або вузловатість очеревини, але не у випадку, коли пухлина прилягає до очеревини.
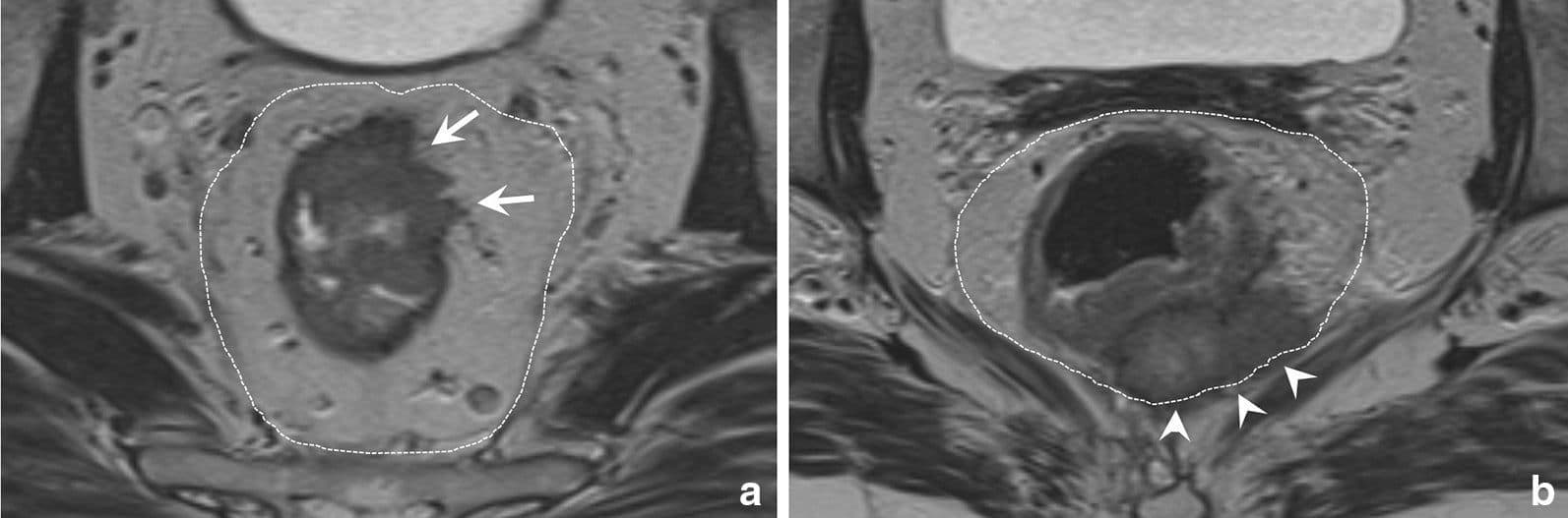
- Т4b включає залучення суміжних органів малого тазу, враховуючи матку, яєчники, піхву, сімʼяні міхурці, сечовий міхур, сечоводи, сечівник, кістки або наступні мʼзові структури: затульні, грушоподібні, ішиококцигеальні, пубококцигеальні мʼязи та леватори. Також консенсус пропонує додати в цю категорію залучення наступних структур: екстрамезоректальні судини, сідничні та крижові нерви, сакроспінозні та сакротуберозні звʼязки і мʼякі тканини за межами MRF – жирова клітковина затульного, клубового та ішиоректального просторів.
Важливо відмітити, що залучення мезоректальної фасції (MRF), перехідної складки очеревини (PR), залучення внутрішнього анального сфінктера або інтерсфінктерного простору – не є Т4b.
Що стосується сфінктерів, важливо відмічати рівень залучення внутрішнього сфінктера, міжсфінктерного простору та зовнішнього сфінктера з уточненням локалізації та протяжності.
№2. Місцево-поширений рак прямої кишки
- Це пухлини, що отримують бенефіт від неоадʼювантного лікування.
- До цієї категорії належать за рекомендаціями NССN: Т3 та Т4 пухлини, пухлини з будь-якою Т з N+-статусом; за рекомендаціями ESMO: Т3c/d пухлини, пухлини нижньоампулярного відділу, з екстрамуральною судинною інвазією (EMVI), будь яка Т3 з MRF+, Т4b, залучення мʼязів – леваторів, позитивні латеральні тазові лімфовузли.
№3 MRF-статус
- Вказуючи MRF-статус, рекомендовано використовувати саме абревіатуру «MRF», що є анатомічним терміном замість «СRM» (циркулярний край резекції), який залежить від хірургічного обсягу.
- MRF-статус залежить від найкоротшої відстані між пухлиною та мезоректальною фасцією.
- Характеристики MRF-статусу: «залучена/+» – відстань до 1 мм, «не залучена/-» – відстань більше 1 мм.
Важливість коректної оцінки MRF-статусу полягає у виборі адеватного неоадʼювантного лікування та хірургічної тактики, яка у випадку MRF+ є нестандартною і потребує підходу beyondTME для досягнення R0-резекції.
N-стадіювання
№1. Локорегірнарні лімфатичні вузли:
- Це мезоректальні, верхні ректальні та нижньобрижові лімфатичні вузли, а також затульні та внутрішні клубові лімфовузли.
- Якщо пухлина розташована нижче зубчатої лінії – пахові лімфовузли також розглядаються як локорегіонарні.
- Критерії для початкової оцінки лімфатичних вузлів та рестадіювання після неоадʼювантного лікування
P.S.: розмір лімфатичних вузлів визначається по короткій вісі.
№2. Класифікація N
- Рекомендовано використовувати “N+” для підозрілих локорегіонарних лімфатичних вузлів, “N-” для незмінених, замість N0, N1a, N1b, N1c та N2.
- Пухлинні депозити визначаються як вузлові компоненти, що не повʼязані з тканиною лімфатичних вузлів в області, що дренує ділянку первинної пухлини. Це показник гіршого прогнозу, ніж ураженя лімфатичних вузлів.
Відповідь на лікування
№1. Повна/майже повна клінічна відповідь
Complete response (сCR)/ near-complete response (nCR)
Complete response (сCR)/ near-complete response (nCR)
- Визначається як зникнення проміжного сигналу на Т2 із значущою регресією, але неповним зникненням на DWI.
- Більшість CR та nCR (від 73% до 99%) стануть CR в проміжку 6-12 тижнів після неодʼювантного лікування.
- Якщо пухлинний сигнал або обмеження дифузії зберігається після одного-двох follow-up – відповідь розцінюється как неповна (iCR).
- У випадку, коли безпечно можна відкласти або відмовитись від хірургії та можливе повноцінне подальше спостережня, ці категорії обʼєднують в одну групу.
№2. Неповна відповідь (iCR)
- Неповна відповідь визначається як зменшення первинної пухлини, що проявляється залишковим обмеженням дифузії вище фонового рівня та залишковими явищами проміжного Т2 сигналу.
№3. Повторний ріст
- Повторний ріст – це поява пухлини після СR у випадку, коли пацієнт знаходився на watch-and-wait. Характеризується повторною появою пухлини з проміжним сигналом на Т2, обмеженням дивузії, потовщенням рубця або гетерогенною інтенсивністю сигнала, що виникла з раніше однорідного сигнала на місці рубця з низькою інтенсивністю сигнала.
- Локальний (люмінальний) повторний ріст – повторний ріст, що залучає стінку кишки, тоді як локорегіонарний повторний ріст характеризується залученням як стінки кишки, так і мезоректуму та/або органів малого тазу, або нодальний (вузловий) – повторний ріст, що залучає лімфатичі вузли.
№4. Рецидив
- Визначається як поява пухлини на місці, де було виконано ТМЕ або локальне висічення.
- Локальний рецидив – залучення стінки кишки, локорегіонарний – стінки кишки, мезоректуму та/або органів малого тазу.
Загальна анатомія
№1. Пряма кишка
- Верхня межа за NCCN: уявна лінія, що проходить від миса крижової кістки до верхнього краю лобкового симфіза (визначається по МРТ) і приблизно корелює з 15 см кишківника від анального отвору.
- Нижній край прямої кишки – аноректальний перехід. Анатомічно пряма кишка продовжується до зубчатої лінії, яка також візуалізується на МРТ.
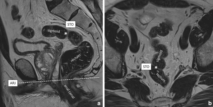
№2. Ректосигмоїдний перехід
- Представляє собою зʼєднання сигмоподібної та прямої кишки.
- Згідно з консенсусом мультидисциплінарної експертної групи, найбільш підходящим анатомічним орієнтиром вважаться sigmoid take-off.
№3. Sigmoid take-off
- Анатомічний орієнтир ректосигмоїдного переходу.
- Виглядає як частина товстої кишки, яка “відходить” від крижової кістки і направляється до переднього частини перехідної складки (як правило, на декілька сантиметрів вище неї).
№4. Ретроректальний простір
Це простір, межами якого є наступні структури:
1. спереду – задня поверхня мезоректальної фасції;
2. ззаду – крижова кістка та куприк;
3. знизу – мʼязи-леватори;
4. латерально – куприкові мʼязи;
5. зверху – перехідна складка очеревини.
1. спереду – задня поверхня мезоректальної фасції;
2. ззаду – крижова кістка та куприк;
3. знизу – мʼязи-леватори;
4. латерально – куприкові мʼязи;
5. зверху – перехідна складка очеревини.
Лікування
№1. Органозбереження
- Термін означає збереження прямої кишки через відсутність ТМЕ.
- Відсутність повторного росту, якщо він не піддається локальному висіченню та відсутність перманентної стоми (включаючи превентивну, що не піддається реверсії або стому через функціональні розлади).
№2. Променева терапія
- Є частиною неодʼюватного лікування у вигляді довгого курсу хіміопроменевої терапії або короткого курсу.
- Довгий курс хіміопроменевої терапії включає 45-54 Гр в 25-28 фракціях разом з радіомодификатором.
- Короткий курс променевої терапії включає 25 Гр в 5 фракціях.
№3. Тотальна неоадʼювантна терапія (TNT)
- TNT включає і променеву терапію, і системну хіміотерапію.
- Дослідження показали вищу частоту повної відповіді у групі TNT у порівнянні до групи лише променевої терапії.
- Перевагами є менша токсичність, краща переносимість, більша частота локального регресу пухлини, повної патогістологічної відповіді (рСR) та R0 резекції.
- “Підводним камінням” цього підходу є overtreatment і невиправдана токсичність у пацієнтів з раком прямої кишки низького та проміжного ризику.
- Може бути у вигляді індукційної хіміотерапії ПЕРЕД променевою терапією або консолідаційною ПІСЛЯ променевої терапії.
№4. Трансанальне локальне висічення (ТАЕ)
- Це операція, що передбачає локальне висічення та характеризується висічення всієї товщини стінки кишки до мезоректуму за допомогою трансанальної візуалізації.
- Існує потенсійний ризик R+ резекції з-за обмеженого поля зору.
- Лімфатичні вузли не видаляються, тому не стадіюються.
- Може бути розглянута в окремій групі пацієнтів з ранім раком прямої кишки, а саме: Т1 тухлини, що займають менше 30% півкола кишки, розміром менше 3 см, з відступом > 3 мм та в межах 8 см від анального отвору.
№5. Трансанальна ендоскопічна мікрохірургія (TEM/TEMS)
- Це локальна операція, що характеризується повним висіченням пухлини до мезоректуму з використання жорсткого ректоскопа.
- Забезпечує кращу візуалізацію ніж ТАЕ і кращий доступ до високих пухлин.
- Може бути розглянута для пацієнтів з аналогічними до ТАЕ показами, але з перевагою у досяжності пухлин вище 8 см, якщо це технічно можливо.
№6. Трансанально малоінвазивна мікрохірургія (ТАМІS)
- Як і ТЕМS використовується для локального висічення раніх форм раку.
- Однак при TAMIS використовується одноразовий мяʼкий пристрій – силіконовий проктоскоп – і не потребує спеціального обладнання як ТЕМS.
№7. Watch-and-Wait
- Це потенційна стратегія з органозбереженням, доступна для тих, хто отримав повну клінічну відповідь (cCR) після неодʼювантного лікування.
- Підходить тим, хто має доступ до своєчасного обстеження під наглядом кваліфікованого та досвідченого центру з мультидисциплінарною командою, оскільки існують ризики повторного росту. АЛЕ у близько 25% пацієнтів з повною клінічною відповіддю спостерігатиметься повторний ріст, а у 10% – виникнуть віддаленні метастази.
