Лікування сепсису під час тривалої допомоги в польових умовах – настанови Surgical CCC
JOINT TRAUMA SYSTEM – КЕРІВНИЦТВО З КЛІНІЧНОЇ ПРАКТИКИ ( JTS CPG)
(ідентифікатор CPG: 83)
(ідентифікатор CPG: 83)
Автори:
- SFC Justin Rapp, 18D, MC, USASOC
- Sean Keenan, MD, COL (ret.), USA
- Daniel Taylor, EMT-P, TP-C.
- Andrea Rapp, RN, 68W SGT
- Michael Turconi, PCP, FMR. OR5 (Italian Special Forces)
- CAPT Ryan Maves, MC, USN
- CDR Michael Kavanaugh, MC, USN
- Devan Makati, MD
- LTC Doug Powell, MD, MC, USAR
- SFC Paul Loos, 18D, MC, USASOC
- CPT Simon Sarkisian, MC, USA
- Ankit Sakhuja, MD
- LTC (ret.) Dan Mosely, MC, USA,
- Col Stacy Shackelford, USAF, MC
Surgical Combat Casualty Care — клінічні рекомендації від Deployed Medicine (проєкт Defence Health Agency, USA) щодо алгоритмів надання хірургічної допомоги та оперативного лікування травм, отриманих внаслідок бойових дій.
Команда GMKA планує перекласти українською мовою близько 60 посібників з настановами. Вони містять інформацію про проведення рідинної ресусцитації, лікування травм кінцівок і черепно-мозкових травм, застосування тактики «Damage Control» та інші важливі для військової хірургії теми.
Переклад: tccc.org.ua
💬 Примітка редакторської команди:
Враховуючи, що автором оригінального тексту є американське відомство, документація може частково відрізнятися від тієї, що існує в українській системі військово-медичної допомоги. Проте, інформація, подана у цих настановах, є надзвичайно цінною з огляду на систему формування документації та принципи її ефективного використання на різних рівнях надання допомоги.
Враховуючи, що автором оригінального тексту є американське відомство, документація може частково відрізнятися від тієї, що існує в українській системі військово-медичної допомоги. Проте, інформація, подана у цих настановах, є надзвичайно цінною з огляду на систему формування документації та принципи її ефективного використання на різних рівнях надання допомоги.
Вступ
Ці Настанови з клінічної практики (Clinical Practice Guideline, CPG) для Тривалої допомоги в польових умовах (Prolonged Field Care, PFC) на першому етапі медичної допомоги призначені для використання після виконання Настанов з Допомоги пораненим в умовах бойових дій (Tactical Combat Casualty Care, TCCC), за умови неможливості негайної евакуації на вищий рівень медичної допомоги. Медичний працівник передусім повинен бути експертом з Допомоги пораненим в умовах бойових дій (ТССС).
Метою даних настанов є забезпечення робочих, заснованих на доказах та досвіді рішень для тих, хто надаватиме допомогу пацієнтам з підозрою на сепсис або діагностованим сепсисом в не пристосованих до цього умовах. Акцент робиться на основи діагностики та лікування з використанням інструментів, найбільш знайомих медику на першому етапі медичної допомоги. Ідеальні техніки лікування, які використовуються у госпітальних умовах, адаптовані до обмежень непристосованого середовища, зберігаючи при цьому найвищі стандарти надання медичної допомоги.
Сепсис та септичний шок – невідкладні стани в медицині. Пацієнтів з підозрою на сепсис або септичний шок потрібно негайно евакуювати на вищі рівні надання допомоги. Ці пацієнти часто складні, потребують цілодобового спостереження, навичок надання допомоги при невідкладних станах у медика та значних ресурсів для лікування. Евакуація є найважливішим пріоритетом у лікуванні цих пацієнтів. Настанови з клінічної практики (CPG) використовують парадигму “мінімум, краще, найкраще”, знайому при наданні тривалої допомоги в польових умовах (PFC), пропонуючи медикам з різними можливостями та ресурсами різні варіанти лікування.
Визначення поняття “сепсис”
Сепсис: Життєво небезпечне порушення функцій органів, що виникає в результаті неконтрольованої реакції організму на інфекцію (визначення Sepsis-3, яке було прийняте Кампанією за порятунок від сепсису в 2017 році).
Септичний шок: Стійка гіпотензія, що потребує використання вазопресорів для підтримки середнього артеріального тиску (СерАТ) >65 мм рт. ст., та рівень сироваткового лактату >2 ммоль/л, незважаючи на адекватну волемічну ресусцитацію.
Шок є одним з найбільш поширених ускладнень важкої травми або захворювання. Класифікація шоку включає 4 види:
- гіповолемічний (включаючи геморагічний),
- кардіогенний,
- обструктивний
- та дистрибутивний (вазогенний).
Септичний шок є формою дистрибутивного (вазогенного) шоку. Принципи надання допомоги при шоку включають:
- раннє розпізнавання (включно з усвідомленням того, що масштабна травма чи тяжке захворювання потенційно можуть призвести до розвитку шоку);
- виявлення причини шоку; та
- раннє адекватне лікування причини та початок причинно-специфічної ресусцитації.
Важка інфекція часто є більшим ризиком, ніж травма, в умовах PFC. Сепсис, асоційований з травмою, є важливим підвидом сепсису серед військових, оскільки в таких поранених можуть виникнути серйозні інфекції ран, дихальних та сечовивідних шляхів і крові, пов’язані з травмою та проведенням первинних процедур лікування (постановка венозних (ВВ) чи внутрішньокісткових (ВК) катетерів, катетера Фолея тощо).
До 38% травма-асоційованого сепсису пов’язано з кровотоком.
У пацієнта з травмою прояви сепсису часто виникають через декілька днів після перших ознак травми, що робить сепсис особливо актуальним для PFC у порівнянні з першим етапом надання допомоги, де є більше можливостей для медичної евакуації поранених. Рання антибіотикотерапія та ресусцитація за допомогою інфузійних розчинів та вазопресорів є ключовим початковим лікуванням для пацієнта з сепсисом. Окрім того, контроль джерела інфекції є надзвичайно важливим і може вимагати хірургічного втручання. Якщо це неможливо зробити в PFC, пацієнт повинен бути якомога швидше стабілізований і транспортований до місця, де можна провести хірургічне втручання.
Цілі надання допомоги при сепсисі
Цілі надання допомоги при сепсисі включають:
- Рання підозра та виявлення.
- Визначення джерела інфекції.
- Рання протимікробна терапія.
- Ресусцитація.
- Контроль джерела інфекції.
- Моніторинг пацієнта, використовуючи динаміку зміни його стану.
- Рання телемедична консультація.
- Евакуація для надання оптимальної допомоги.
Рання підозра та виявлення сепсису
Мета: Розпізнати сепсис та провести диференційну діагностику; розпізнати системну інфекцію до початку декомпенсованого шоку; визначити пацієнтів, які потребують евакуації.
Інфекція може виглядати по-різному в початковому прояві. Поширені приклади — гострі респіраторні вірусні інфекції, гастроентерит, інфекції сечовивідних шляхів, запалення шкіри та підшкірної клітковини (целюліт) та пневмонія. Крім того, інфекції, пов’язані з подорожами, включаючи діарею, трансмісивні хвороби (малярія, лихоманка денге тощо) та деякі респіраторні збудники, особливо поширені в певних регіонах. Спочатку необхідно зібрати детальний анамнез, включно з історією подорожей. Багато інфекцій можна ефективно лікувати без евакуації або необхідності надання спеціалізованої допомоги.
Також слід провести диференційну діагностику ознак та симптомів, асоційованих з певними інфекціями. Сепсис «мімікрує» анафілаксію, невідкладні стани шлунково-кишкового тракту, захворювання легень включно з легеневою емболією, метаболічні порушення, такі як гіпертиреоз і наднирникову недостатність, отруєння, синдром відміни, васкуліти та травму хребта. Септичний шок може імітувати шок внаслідок інших причин, наприклад, інфаркту міокарда, шлунково-кишкової кровотечі, зневоднення, теплового удару та гіповолемії внаслідок втрати рідини через травний тракт.
Якщо після врахування вказаних можливих причин шоку інфекція та сепсис все ще залишаються основними у списку диференційної діагностики, слід здійснити цілеспрямоване обстеження, яке описано нижче. Усіх пацієнтів, які мають ознаки сепсису або септичного шоку, слід негайно віднести до категорії невідкладної евакуації.
Анамнез та фізикальне обстеження
Мінімум: Збір анамнезу за схемою “SAMPLER” (S — Symptoms/subjective complaints – Симптоми/суб’єктивні скарги; A — Allergies to medications /Алергічні реакції на медикаменти; M — Medications taken or prescribed/Медикаменти, які призначені пацієнту/які приймає пацієнт; P — Past Medical and surgical History/Попередній медичний та хірургічний анамнез; L — Last meal/Oral Intake/Останнє вживання їжі та/чи води); E — Events leading up to presentation/Події, які призвели до виникнення цієї ситуації; і R – Recent travel/Нещодавні подорожі).
Початкові показники життєвих функцій при появі симптомів. Динаміка життєвих показників (напр., відмічена на Схемі PFC, яку можна знайти на сайті Форм JTS).
Ознаки важкої інфекції: лихоманка або гіпотермія; збільшення частоти серцевих скорочень; збільшення частоти дихання; і, загалом як пізня ознака, зниження артеріального тиску. Додатково варто моніторувати стан свідомості, рівень сатурації крові киснем та час наповнення капілярів. Проведіть вторинний огляд пацієнта. Шукайте ознаки синдрому системної запальної відповіді (ССЗВ), наявність критеріїв за шкалою швидкої оцінки органної недостатності, асоційованої з сепсисом (qSOFA), та/або високий показник за шкалою NEWS2, що наведені нижче. Шукайте потенційні джерела інфекції. Визначіть групу крові пацієнта за допомогою спеціальної картки.
- Краще: Вищевказане, а також: Проведення простих лабораторних тестів: аналіз сечі за допомогою тест-смужок, BinaxNOW (тест на малярію), показники i-STAT (або іншого портативного лабораторного устаткування для діагностики “біля ліжка” хворого) разом з відстеженням динаміки показників життєвих функцій, згаданих вище (Дивіться додаток B: Портативний аналізатор i-STAT). Якщо можливо, стежте за рівнем лактату.
- Найкраще: Вищевказане, а також: Мікроскопічне дослідження товстої краплі та тонкого мазка крові (малярія), лабораторні показники (включаючи лактат), дані бактеріологічного посіву з імовірного джерела інфекції.
Чим більше індикаторів системної інфекції спостерігається, тим більша має виникати підозра у медика. Це називається “цілісний (холістичний) підхід до пацієнта”. Докладний список порушень є корисним для організації надання допомоги пацієнту. Якщо наявна підозра на сепсис, слід негайно розпочати телемедичну консультацію (якщо це можливо) для допомоги в діагностиці та лікуванні. Постійно відстежуйте показники життєвих функцій для змін в лікуванні при необхідності.
Синдром системної запальної відповіді (ССЗВ) є ознакою запальної реакції на масивне фізіологічне пошкодження. Хоча він більше не є частиною визначення сепсису, ССЗВ є корисним інструментом для виявлення пацієнтів, які мають ризик гострої декомпенсації. Критерії ССЗВ включають чотири показники:
- тахікардія (частота серцевих скорочень >90 ударів/хв)
- тахіпное (частота дихання >20 вдихів/хв або PaCO2 <32 мм рт. ст.)
- лихоманка або гіпотермія (температура> 38°C або <36°C)
- лейкоцитоз або лейкопенія (рівень лейкоцитів >12 000/мм³, <4 000/мм³; або >10% паличкоядерних лейкоцитів).
У суворих, не пристосованих для цього умовах не завжди можна визначити всі ці показники (особливо рівень лейкоцитів), але розуміння ознак раннього сепсису може сприяти ранньому виявленню хвороби та прискорити своєчасне лікування.
qSOFA – це більш новий інструмент для скринінгу сепсису, який має на меті виявити пацієнтів з підвищеним ризиком смерті. Присутність двох або більше з наступних трьох показників qSOFA повинна підвищити підозру про наявність сепсису:
- змінений рівень свідомості,
- тахіпное (частота дихання більше 22 за хвилину),
- гіпотензія (САТ <100 мм.рт.ст.).
Більш поглиблений інструмент, який використовується для прогнозування госпіталізації до відділення інтенсивної терапії та виявився ефективнішим за qSOFA, – це шкала NEWS2, яка базується тільки на клінічній оцінці. NEWS2 включає більше показників, що робить її менш “швидкою”, ніж qSOFA. Хоча вона не застосовується в клінічній практиці виключно для оцінки сепсису, вона може бути дуже корисним інструментом для прогнозування клінічного погіршення. Клінічні показники, необхідні для розрахунку оцінки за шкалою NEWS2, включають частоту дихання, гіперкапнічну дихальну недостатність (так/ні), сатурацію крові киснем (та необхідність додаткового кисню), температуру, частоту серцевих скорочень, систолічний тиск та загальний рівень свідомості.
Ці параметри записуються за допомогою шкали, призначаючи бали від 0 до 3 для кожного параметра. Даний інструмент демонструє переваги над qSOFA для виявлення сепсису з порушенням функції органів у відділеннях екстреної медичної допомоги.[8]
Результати наступної клінічної оцінки – анамнез та фізикальне обстеження – повинні викликати підозру на ранній сепсис:
⚠️ УВАГА
Гіпотензія є пізньою ознакою сепсису. Не чекайте зниження артеріального тиску, щоб розпочати лікування та ресусцитацію пацієнта, у якого наявні численні ознаки системної інфекції (лихоманка, тахікардія, тахіпное, порушення свідомості, зниження кількості виділеної сечі). Затримка втручання до падіння артеріального тиску може ускладнити контроль системної запальної реакції та збільшити ризик смерті.
Гіпотензія є пізньою ознакою сепсису. Не чекайте зниження артеріального тиску, щоб розпочати лікування та ресусцитацію пацієнта, у якого наявні численні ознаки системної інфекції (лихоманка, тахікардія, тахіпное, порушення свідомості, зниження кількості виділеної сечі). Затримка втручання до падіння артеріального тиску може ускладнити контроль системної запальної реакції та збільшити ризик смерті.
Суб’єктивний огляд
- Пацієнти з сепсисом можуть мати скарги, не пов’язані з видимими неінфекційними причинами (наприклад, кровотеча, черепно-мозкова травма, теплова травма).
- Озноб та дрижання
- Сплутаність свідомості
- Нездужання: відчуття слабкості, відсутності сил.
Об’єктивний огляд
Фізикальні ознаки в пацієнта з сепсисом можуть включати:
- Підозрілі (або очевидні) джерела інфекції:
- Рани з ознаками інфекції (біль, почервоніння, підвищення температури шкіри в ділянці рани, гнійні виділення, набряк).
- Катетери (ВВ/ВК/сечові) або пристрої, введені в нестерильних/польових умовах.
- Температура >38° або <36°C.
- Холодна шкіра, ціаноз, затримка часу наповнення капілярів (>3 секунд).
- Відхилення від норми показників життєвих функцій, зокрема тахікардія (>90 уд/хв), стійка гіпотензія (систолічний артеріальний тиск <90 мм.рт.ст.), тахіпное (>20/хв).
- Зниження виділення сечі (олігурія).
- Змінений або погіршений стан свідомості (сплутаність, в’ялість).
- Висип, пурпура (менінгококова інфекція, плямиста гарячка Скелястих Гір, інші рідкісні етіології).
- Відповідність критеріям ССЗВ; присутні критерії за шкалою qSOFA та/або високий бал за шкалою NEWS2 (див. вище).
- Лабораторні показники, що мають клінічне значення. (Див. додаток В.)
Зверніть увагу: Типові симптоми можуть бути відсутні в деяких груп пацієнтів. Ознаки сепсису можуть бути стертими та невиразними в літніх людей; проявлятися з запізненням у дуже молодих; або бути прихованими під час вагітності через нормальні фізіологічні зміни та відсутність лихоманки у 50% вагітних пацієнток.
Визначення джерела інфекції
Мета: Встановити ймовірну причину інфекції, щоб забезпечити найбільш відповідне лікування.
Підхід до визначення джерела інфекції:
- Зібрати повний анамнез пацієнта щодо нещодавніх та/або наявних зараз захворювань.
- Провести детальний огляд з голови до ніг, щоб знайти ознаки інфекції – рани, укуси тощо. Переконайтеся, що оглянули сечостатеву та перианальну ділянки, оскільки це поширені місця, де можна пропустити інфекцію.
- При перебуванні в ендемічному районі проведіть швидкі тести на малярію, лихоманку денге та інші підозрювані патогени. Зробіть аналіз сечі, використовуючи тест-смужки, та отримайте лабораторні показники аналізатора i-STAT.
Сепсис може бути бактеріального, грибкового, вірусного або паразитарного походження. Бактеріальні інфекції є найбільш поширеними причинами сепсису, після них за поширеністю йдуть паразитарні (головним чином малярія), вірусні (наприклад, гарячка денге, грип, COVID-19), і, нарешті, грибкові захворювання. Поширеність кожної з них безпосередньо залежить від регіону.
Визначення причини сепсису є складною задачею на етапі PFC, де немає доступу до широкого спектру діагностичних тестів, противірусного та протигрибкового лікування. Ці настанови з клінічної практики зосереджуються на найбільш поширених причинах сепсису та лікуванні тих форм сепсису, з якими медичний персонал може впоратися в непристосованих умовах.
Детальна підготовка є важливою, тому перед подорожжю варто провести медичне дослідження даного регіону та/або аналіз моделі медичних загроз з метою збору даних про мікроорганізми, які є характерними для цього регіону.
У випадку кожного конкретного регіону бактеріальний сепсис найчастіше спричинений обмеженою кількістю поширених збудників, до яких входять стрептококи (включаючи S. pneumoniae, які спричиняють пневмонію та менінгіт), стафілококи, Neisseria meningitidis (також спричиняє менінгіт, особливо поширена у регіонах Африки на південь від Сахари) та грам-негативні бактерії, що є частиною флори кишківника. Лікування багатьох з цих інфекцій ускладнене через швидке поширення резистентності до антибіотиків по всьому світу.
При проведенні диференційної діагностики потрібно приділити значну увагу малярії, оскільки вона є провідною причиною усіх хвороб, що супроводжуються лихоманкою, в ендемічних регіонах. У типового пацієнта з індустріальної країни, який не мав попереднього контакту зі збудником, малярія може мати фульмінантний перебіг та закінчитись смертю, якщо не розпочати раннє специфічне лікування.
Значно менша частина випадків сепсису (до 15%) спричинена грибковими інфекціями. Гриби роду Candida є нормальною мікрофлорою кишківника і піхвового каналу. Вони є найбільш поширеною причиною грибкового сепсису, після яких наступними є інвазивні інфекції пліснявих грибів, таких як Aspergillus, та ендемічні гриби, що спричиняють негоспітальні ураження (Histoplasma, Coccidioides та Talaromyces).
На етапі тривалої допомоги в польових умовах інфекції, спричинені дріжджовим грибком Candida, можуть розвиватися після проникаючої травми черевної порожнини з перфорацією кишківника, тоді як інфекції, спричинені інвазивними пліснявими грибами, можуть виникнути після вибухових травм зі значною кількістю змертвілих тканин (наприклад, після високої ампутації нижньої кінцівки). На етапі PFC терапевтичні можливості для обох таких сценаріїв дуже обмежені.
Оскільки бойові рани вважаються сильно забрудненими, їх необхідно ретельно обробляти. Необроблені рани можуть призвести до гострої інфекції та сепсису протягом декількох днів (або можливо протягом декількох годин для дуже великих та забруднених ран).
Якісний догляд за раною є невід’ємною частиною профілактики інфекцій та сепсису, що детально описано в Настановах з клінічної практики “Лікування гострих травматичних пошкоджень під час тривалої допомоги в польових умовах” JTS (JTS Acute Traumatic Wound Management in the Prolonged Field Care Setting CPG).
Лікування
Протимікробна терапія
Мета: Використовувати прицільну та найбільш відповідну антибіотикотерапію, якщо це можливо.
Схеми антибіотикотерапії: Див. Настанови з клінічної практики “Лікування гострих травматичних пошкоджень під час тривалої допомоги в польових умовах” JTS (JTS Acute Traumatic Wound Management in the Prolonged Field Care Setting CPG)
- Мінімум: Моксифлоксацин 400 мг ПО щоденно (або левофлоксацин 750 мг ПО щоденно – є більш активним проти бактерій вологих територій/у джунглях).
- Краще: Ертапенем (Invanz) 1 грам ВВ/ВК один раз на день (кожні 24 год), вводячи протягом 5-10 хвилин або ВМ (не бажано), АБО цефтріаксон (Rocephin) 2 грами ВВ/ВК, вводячи протягом 10 хвилин кожні 24 години.
- Найкраще: цефтріаксон (Rocephin) 2 грами ВВ/ВК кожні 24 год, вводячи протягом 30 хвилин, ПЛЮС ванкоміцин (Vancocin) 1,5 мг/кг ВВ/ВК кожні 12 год. (вводити після цефтріаксону, протягом 2 годин) ПЛЮС метронідазол (Flagyl) 500 мг ВВ/ПО/ВК кожні 8 годин, вводячи протягом однієї години.
Протипаразитарні схеми
Якщо сепсис підозрюється в ендемічному на малярію районі і немає інших очевидних джерел інфекції, слід провести швидкий тест на малярію BINAX Now® та виконати мікроскопію товстої краплі і тонкого мазка крові, якщо це можливо. У разі позитивного результату, введіть антибіотики та антималярійні засоби разом.
Якщо неможливо зробити тест на малярію, також можна розглянути емпіричну антималярійну терапію. Крім того, в ендемічному на малярію районі, коли пацієнт на початковому етапі не реагує на антибіотикотерапію, до неї додають антималярійні засоби.
- Мінімум: Атоваквон/прогуаніл (Malarone) за схемою 4х3 – 4 таблетки ПО один раз на день протягом 3 днів.
- Найкращий варіант: Артеметер/люмефантрин (Coartem) у початковій дозі 4 таблеток ПО, потім 4 таблетки через 8 годин, потім 4 таблетки ПО двічі на день протягом ще 2 днів (всього 24 таблетки).
- Важка малярія: Для оптимального лікування важкої малярії (з порушенням свідомості, ацидозом з рівнем лактату >5 ммоль/л, вираженою слабкістю, гіпоглікемією, паразитемією >10%, гемоглобіном <70 г/л, креатиніном >3 мг/дл (>265 мкмоль/л), набряком легень, шоком або патологічною кровотечею), препаратом вибору є ВВ артесунат у дозі 2,4 мг/кг ВВ/ВК, введений в 0, 12, 24 і 48 годину (4 дози), з наступним 3-денним курсом атоваквону/прогуанілу (Malarone) (4 таблетки ПО, протягом 3 днів) або артеметеру/люмефантрину (Coartem) (початкова доза 4 таблетки, потім 4 таблетки через 8 годин, потім по 4 таблетки двічі на день протягом наступних 2 днів; загальна кількість таблеток – 24).
- ПРИМІТКА 1: Хоча артесунат може бути доступний у тропічних країнах, якість препарату може не відповідати стандартам FDA. Для важкої малярії рекомендується телемедична допомога та ініціювання евакуаційного процесу.
- ПРИМІТКА 2: Якщо неможливо отримати артесунат, ми рекомендуємо використання Coartem або Malarone, телемедичну допомогу та ініціювання евакуаційного процесу.
Протигрибкові схеми
НЕ призначайте без телемедичної консультації. У випадку рекомендацій телемедичного консультанта, разом із антибіотиками, згаданими вище, призначаються протигрибкові засоби.
- Мінімум: Флуконазол 400 мг ПО або ВВ щоденно (зауважте, що ПО та ВВ шляхи введення еквіпотентні, тобто однаково ефективні).
- Краще/Найкраще: Через складність та токсичність багатьох протигрибкових препаратів, ці настанови обмежуються “мінімальними” рекомендаціями.
Ресусцитація
Мета: Досягнення адекватної перфузії шляхом відновлення внутрішньосудинного об’єму та використання додаткових медикаментів (таких як вазопресори), якщо це показано.
***ЗАУВАЖЕННЯ: Якщо ви лікуєте сепсис в умовах травми, проводьте ресусцитацію пацієнта цільною кров’ю або компонентами крові, як і потрібно для травми. (Див. PFC CPG “Ресусцитація за принципом контролю критичних пошкоджень” JTS Damage Control Resuscitation – PFC CPG.)
Особливості рідинної ресусцитації
- Мінімум: Якщо немає можливості ВВ/ВК введення розчинів, необхідно давати пацієнту пити воду та стежити за кількістю виділеної сечі (мета – в середньому 0,3-0,5 мл/кг/год). Пацієнтам, які не можуть споживати їжу, але можуть пити воду, слід давати оральні регідратаційні розчини (готові або самостійно приготовані – 6 чайних ложок цукру та 1/2 чайної ложки столової солі на 1 літр води. Див. PFC CPG “Заходи з догляду за хворими” (JTS Nursing Intervention – PFC CPG).
Пацієнтам, які не можуть приймати пероральні розчини, можна вводити рідини через пряму кишку (починаючи зі 100 мл/год і збільшуючи швидкість до максимуму 500 мл/год). Для введення через пряму кишку застосовуйте оральні регідратаційні розчини, згадані вище. - Краще: Болюс кристалоїдів ВВ/ВК (до 30 мл/кг кристалоїдів протягом перших 3 годин) до досягнення діурезу 0,3-0,5 мл/кг/год. Моніторинг можна проводити за допомогою будь-якого вимірювального засобу – пляшок для води, градуйованої ємності/сечоприймача тощо.
- Найкраще: Та ж сама стратегія рідинної ресусцитації, що й вище, з додаванням сечового катетера для більш точного вимірювання кількості виділеної сечі (переконайтеся, що перша порція після введення катетера утилізована та не враховується при розрахунках загальної кількості виділеної сечі).
Перший крок у ресусцитації пацієнта з сепсисом/септичним шоком – відновлення внутрішньосудинного об’єму (“повний бак”), ідеально – з використанням ВВ/ВК введення кристалоїдів.
Найкращі розчини для ВВ/ВК ресусцитації у порядку пріоритетності: Рінгера лактат (РЛ) (або Плазмаліт А), а потім – фізіологічний розчин. Розчини, що мають низький вміст хлоридів (РЛ/Плазмаліт А) ідеально підходять для великих болюсів (> 3-4 л) або для тривалої ресусцитації.
При введенні великої кількості ВВ/ВК розчинів, слід зважати на можливість надмірної ресусцитації та виникнення набряку легень, про який будуть свідчити наступні ознаки: аускультаційна картина (крепітація/дрібноміхурцеві хрипи або “вологі легені”), підвищені дихальні зусилля/зниження сатурації крові киснем, а також ознаки набряку на рентгенограмі грудної клітки або при ультразвуковому дослідженні (якщо доступно).
Цільовий діурез 0,3-0,5 мл/кг/год слід вважати показником достатньої інфузійної терапії у пацієнта з нормальною функцією нирок. Однак у деяких пацієнтів з септичним шоком може виникнути гостре пошкодження нирок (ГПН). Тому початкова порція кристалоїдів не повинна перевищувати 2-3 літри, а подальша інфузійна терапія повинна ґрунтуватися на значенні артеріальному тиску та показниках перфузії (часу капілярного наповнення), а також на кількості виділеної рідини (через шлунково-кишковий тракт тощо).
Вищий обсяг виділеної сечі (>0,5 мл/кг/год) свідчить про надмірну інфузійну терапію. Крім того, якщо є лабораторні дані, нормалізація рівня лактату в сироватці також буде свідчити про позитивну динаміку. Дуже важливо контролювати рівень електролітів в сироватці, оскільки патологічні рівні натрію та калію є особливо поширеними під час рідинної ресусцитації.
Негативна динаміка гіпоперфузії, спричиненої сепсисом, може включати низький та/або такий, що постійно знижується, систолічний артеріальний тиск (САТ) та/або затримку наповнення капілярів (>3 секунд) – важливий показник для оцінки перфузії. У відповідь на негативні зміни гемодинаміки пацієнта — падіння САТ нижче 90 мм рт.ст. та/або середній артеріальний тиск (СерАТ), який падає нижче 65 мм рт. ст. – початково збільшіть обсяг інфузійної терапії на 20 відсотків (при цьому слід слідкувати за ознаками надмірної ресусцитації).
Основний момент: Надмірна ресусцитація несе значний ризик, включаючи ацидоз, розведення факторів згортання крові, набряк легень, асцит, гіпернатріємію та периферичний набряк. Якщо артеріальний тиск та дисфункція органів (наприклад, виділення сечі та свідомість) “не реагують” на рекомендований максимум для ресусцитації – 30 мл/кг протягом перших 2-4 годин після початку лікування, зверніться за телемедичною консультацією щодо можливості обережної додаткової інфузії розчинів або початку використання вазопресорів.
Особливості використання препаратів
📞 Вазопресори: Розгляньте можливість використання вазопресорів у випадку, якщо після початкової рідинної ресусцитації (досягнення початкового цільового діурезу або введення рідини в максимальному обсязі (30 мл/кг) протягом перших 2-4 годин) не спостерігається позитивної динаміки САТ, СерАТ, діурезу та/або стану свідомості (рефрактерний до розчинів шок). Якщо вазопресори використовуються після початкової рідинної ресусцитації, не вводьте більше інфузійних розчинів, оскільки це може призвести до небезпечних порушень балансу рідин; скористайтеся телемедичною консультацією.
Розгляньте можливість початкового застосування вазопресорів у низькій дозі ТІЛЬКИ під керівництвом телемедичного консультанта, використовуючи норадреналін (препарат першого вибору) або адреналін (альтернативний варіант). Див. додаток F.
Контроль джерела інфекції
Мета: Усунення джерела інфекції.
Деякі джерела інфекції можна лікувати лише антибіотиками, тоді як інші можуть вимагати хірургічного втручання з метою видалення або дренування. Слід провести повний огляд пацієнта для пошуку джерел інфекції, які не були виявлені при початковому обстеженні. Слід також проводити повторні огляди в рамках безперервної оцінки пацієнта щодо появи фізичних ознак поширення інфекції або відповіді на лікування. У випадку ранового сепсису якісний догляд за раною є критично важливим для лікування та профілактики інфекції та сепсису, як це детально описано в PFC CPG Лікування гострих травматичних пошкоджень. (JTS Acute Wound Management – PFC CPG.)
Усі виявлені потенційні джерела інфекції, такі як сторонні тіла; катетери, які введені досить давно (включно з ВВ/ВК, сечовим тощо); змертвіла або відмираюча тканина – повинні бути негайно оцінені. Усі раніше введені сечові, ВВ/ВК або інші катетери слід видалити та замінити на нові, якщо можливо. Слід розглянути видалення без повторного встановлення нових для тих катетерів, які не є необхідними для невідкладної допомоги. Всі ранові пов’язки слід зняти; будь-яка ознака інфекції потребуватиме хірургічного дослідження рани. Змертвілі інфіковані тканини слід видалити, включаючи ампутацію за необхідності. Будь-які абсцеси або інфіковані простори повинні бути повністю дреновані. Підозрювані джерела інфекції в грудній або черевній порожнині повинні бути негайно оглянуті хірургом. Завжди розпочинайте антибіотикотерапію та рідинну ресусцитацію перед хірургічним втручанням.
📞 Агресивний належний хірургічний контроль джерела інфекції є фундаментально важливим для виживання пацієнта. Отримайте телемедичну консультацію хірурга.
Спостереження за пацієнтом
Стежте за станом пацієнта в динаміці, оцінюючи показники життєвих функцій, виділення сечі, капілярного наповнення та результати додаткових методів обстеження (ультразвукове та/або лабораторне дослідження, якщо вони доступні).
Мета: Встановити вихідний рівень та оцінити реакцію на медичні втручання.
- Мінімум: Серійне визначення показників життєвих функцій, діурезу, проведення оцінки стану свідомості. Динаміка показників життєвих функцій та медичні втручання фіксуються у Схемі тривалої допомоги в польових умовах.
- Краще: Додати вимірювання лактату “біля ліжка хворого” кожні 6 годин до нормалізації показника.
- Найкраще: Додати ультразвуковий моніторинг для оцінки та визначення динаміки наповнення нижньої порожнистої вени та лівого шлуночка серця, зменшення ознак “гіпердинамічної” серцевої фізіології.
Показано, що раннє проведення конкретних цільових втручань зменшує смертність. Підхід до лікування має бути продиктований цілями, вказаними нижче. Медичні працівники повинні скласти список усіх порушень стану з визначенням їх пріоритетності, після чого розробити відповідний план лікування, щоб досягнути терапевтичних цілей:
- Систолічний артеріальний тиск (САТ) > 90 мм рт. ст. та/або наявний пальпований пульс на зап’ясті (якщо немає можливості виміряти артеріальний тиск). САТ є найбільш відповідним і доступним методом для моніторингу стану перфузії пацієнта.
- Середній артеріальний тиск (СерАТ)> 65. СерАТ обчислюється вручну за формулою (Систолічний тиск + [2 х Діастолічний тиск])/3. Більшість електронних моніторів автоматично розраховують СерАТ. Іноді СерАТ може бути нормальним навіть тоді, коли САТ низький. Утім, можна використовувати САТ, у випадку, якщо його легше відстежувати.
- Капілярне наповнення є простим навиком фізикального обстеження, важливим індикатором адекватної перфузії, а також високоточним маркером ефективної ресусцитації. Вимірювання капілярного наповнення повинне проводитись та записуватись щонайменше раз на 30 хвилин для нестабільних септичних пацієнтів. Правильний спосіб вимірювання капілярного наповнення полягає у натисканні на нігтьову пластину до посвітління (вона має стати білого кольору), а після припинення тиску – оцінки часу відновлення кольору нігтя (порівняйте з іншими нігтями). Нормальний показник – повернення до початкового кольору в межах трьох секунд або менше. Подовження цього часу свідчить про те, що нормальна перфузія не відновилась.
- Якщо є підозра на інфекцію м’яких тканин, огляньте та спостерігайте за цим місцем (наприклад, за целюлітом, тобто запаленням шкіри та підшкірної клітковини) для оцінки покращення. Використовуйте маркер/ручку, щоб позначити (обвести) межі почервоніння; зазначте час та дату. Спостерігайте за поширенням за позначені лінії. Якщо почервоніння погіршується після 24 годин або не покращується протягом 48 годин, розгляньте можливість зміни антибіотиків або необхідності хірургічної санації після телемедичної консультації.
- Добовий діурез повинен підтримуватися, в середньому, на рівні 0,3-0,5 мл/кг/год.
- Проводьте повторне визначення доступних лабораторних показників (за показами). Діагностика: тест-смужки для аналізу сечі, тест на малярію. Динаміка: i-STAT, лактат.
- Проводьте ранні та часті телемедичні консультації та звітуйте про динаміку.
- Проводьте моніторинг стану дихальної системи. Багато пацієнтів, які перебувають у критичному стані з сепсисом, у певним момент будуть потребувати штучної вентиляції — див. Настанови з клінічної практики “Забезпечення прохідності дихальних шляхів під час Тривалої допомоги в польових умовах” (Airway Management – PFC CPG), а також «MSMAID» – застосування анестезіологічного чек-листа в медицині ССО (“MSMAID” Applying an Anesthesia Checklist to SOF Medicine). Завжди будьте готові до розширених заходів із забезпечення прохідності дихальних шляхів у пацієнтів з сепсисом. Також див. CPG Штучна вентиляція легень під час повітряного транспортування пацієнтів з невідкладними станами (CCAT Mechanical Ventilation CPG)
Рання телемедична консультація
Мета: Отримати потрібну інформацію та залучити на допомогу реаніматолога та/або хірурга на ранніх етапах допомоги.
Якщо це можливо, для забезпечення найефективної телемедичної підтримки, наступна інформація має бути надана в першу чергу: дані суб’єктивного огляду; об’єктивні дані – показники життєвих функцій (ЧСС, ЧД, систолічний АТ, СерАТ, діурез); психічний стан; стан шкіри, лактат (якщо доступний); проведене або доступне лікування – антибіотики; усі інші ліки, а також кількість і тип розчинів, що були введені до цього моменту.
- Надайте повну історію хвороби та документацію попередніх подій.
- Повідомте про ваші можливості на місці надання допомоги (наприклад, заповнивши «контрольний список можливостей» (шаблон розміщений на prolongedfieldcare.org) та відправивши електронною поштою/ текстовим повідомленням, якщо це можливо, перед дзвінком до консультанта).
- Задокументуйте будь-які інфіковані рани, укуси або інші потенційні джерела інфекції тощо. Надсилайте фотографії або відео в реальному часі, якщо це можливо.
Евакуація для проведення повноцінного лікування
Мета: Пацієнтів, які мають ознаки сепсису, слід віднести до найвищого евакуаційного пріоритету та негайно евакуювати на більш високий рівень медичної допомоги.
Пацієнтів з сепсисом або ризиком розвитку сепсису найкраще лікувати в стаціонарних умовах, з можливістю моніторингу, лікування поліорганної недостатності та пов’язаних ускладнень. Також дивіться PFC CPG “Заходи з догляду за хворими” (JTS Nursing Intervention – PFC CPG) та CPG PFC “Знеболення та седація під час тривалої допомоги в польових умовах” (JTS Analgesia and Sedation Management – PFC CPG).
Особливості харчування
Септичні пацієнти найчастіше перебувають у гіперметаболічному стані через боротьбу організму з інфекцією. Живлення не є найважливішим питанням на початкових етапах лікування. Однак, оскільки деякі пацієнти можуть потребувати подальшого лікування в непристосованих до цього умовах, можуть мати попередньо існуючі порушення травлення або можуть потребувати лікування після тривалого сепсису, слід звернути увагу на їхнє харчування як частину плану лікування. Це може бути складно, якщо пацієнт має нудоту та/або блювання, якщо джерело інфекції розташоване в черевній порожнині, ваші ресурси дуже обмежені або стан свідомості/психічний стан пацієнта створює складнощі щодо споживання їжі та рідини.
Більшість пацієнтів не потребують харчової підтримки, якщо евакуація очікується в межах 72 годин. Коли евакуація затримується понад 72 години або неможлива, слід забезпечити достатнє харчування, як описано нижче.
Мета: 25-30 ккал/кг/день + 1-1,2 г/кг білка. Більшість пацієнтів без порушення свідомості/психічного стану можуть харчуватись самостійно без встановлення зонда для харчування.
- Ентеральне харчування (оральне або за допомогою орогастрального або назогастрального зонда) повинно бути припинено у гемодинамічно нестабільних пацієнтів (тобто тих, що отримують високі або зростаючі дози вазопресорів) через ризик виникнення ішемічного ушкодження ШКТ, включаючи перфорацію.
- Назогастральний зонд слід встановлювати пацієнтам, для яких критично необхідна декомпресія шлунка. Якщо медична евакуація значно затримується (більше 48 – 72 годин) або пацієнт не отримував потрібної кількості калорій більше 3 днів (відтерміноване звернення), розгляньте можливість ентерального харчування (орально, якщо він може безпечно приймати їжу; зонд – якщо ні). Якщо пацієнт потребує постійного застосування вазопресорів, уникайте болюсного введення нутрієнтів та виберіть нижчу швидкість інфузії (10-20 мл/год).
- Як мінімум, підтвердіть розміщення зонда в шлунку шляхом аускультації над обома легенями та животом, а також аспірації вмісту шлунка. Найкраще отримати рентгенограму органів грудної клітки, щоб підтвердити правильне розташування ДО ПОЧАТКУ введення будь-яких речовин через зонд.
- Перед початком ентерального харчування переконайтеся, що нормальна перистальтика кишок збережена (нормальні кишкові шуми).
- Ентеральне харчування протипоказане в разі вираженого розтягнення черевної порожнини, болю в животі та/або шлунково-кишкової кровотечі.
- Достатнім варіантом харчування є висококалорійні напої (харчові добавки у вигляді напою/нутрідрінки). 1 пляшка Muscle Milk Light містить 150 ккал та 28 г білка у 500 мл.
- Іншим варіантом (більш концентрованим) є використання комерційного протеїнового порошку (з подібним вмістом калорій / білка на мірну ложку), у кількості ¼ від рекомендованої концентрації, розчиненого у воді до однорідної густини без грудочок.
- Годуйте через зонд невеликими порціями (наприклад, 60 мл за допомогою шприца Тумея [Toomey]) кожні 2-4 години з метою забезпечення споживання білка 1 г/ кг/день.
- Якщо виникає блювання або розтягнення черевної порожнини, зупиніть харчування через зонд на 6 годин, а потім спробуйте знову.
- Для отримання додаткової інформації дивіться CPG “Харчова підтримка шляхом ентерального чи парентерального харчування” (JTS Nutrition Support Using Enteral and Parenteral Methods CPG).
Пероральне харчування чи харчування через зонд
Якщо пацієнт не має порушення свідомості/психічного стану, він, швидше за все, зможе приймати їжу через рот – не вводьте назогастральний зонд. Якщо пацієнт не контактний або не може приймати їжу через рот, а евакуація є малоймовірною або неможливою в межах 72 годин, розгляньте можливість використання введення зонда. Якщо харчування розпочато і можливості перевірити розміщення зонда в шлунку шляхом рентгенографії немає, дуже уважно спостерігайте за виникненням ознак неправильного розміщення зонда або кишкової непрохідності (наприклад, нудота, розтягнення живота або біль у животі) та припиніть годування у разі їх виникнення. Пацієнти потребують постійної гідратації. Ті, хто отримує достатню кількість рідини, не матимуть клінічно значущих негативних наслідків від голодування в межах кількох днів аж до тижня.
Якщо пацієнт не має порушення свідомості/психічного стану, він, швидше за все, зможе приймати їжу через рот – не вводьте назогастральний зонд. Якщо пацієнт не контактний або не може приймати їжу через рот, а евакуація є малоймовірною або неможливою в межах 72 годин, розгляньте можливість використання введення зонда. Якщо харчування розпочато і можливості перевірити розміщення зонда в шлунку шляхом рентгенографії немає, дуже уважно спостерігайте за виникненням ознак неправильного розміщення зонда або кишкової непрохідності (наприклад, нудота, розтягнення живота або біль у животі) та припиніть годування у разі їх виникнення. Пацієнти потребують постійної гідратації. Ті, хто отримує достатню кількість рідини, не матимуть клінічно значущих негативних наслідків від голодування в межах кількох днів аж до тижня.
Тяжка харчова недостатність
Якщо в когось є ознаки тяжкої харчової недостатності/недоїдання (наприклад, місцеві жителі в умовах голоду, заручники), перед початком ентерального харчування слід отримати телемедичну консультацію. Синдром відновлення харчування (рефідинг-синдром) це загрозливе для життя метаболічно-електролітне порушення, що може виникнути в пацієнтів з важким недоїданням, коли вони отримають занадто багато їжі за занадто короткий час. Виявити його на етапі тривалої допомоги в польових умовах дуже складно. Першою ознакою може бути зупинка серця внаслідок електролітних порушень. Такого пацієнта майже неможливо реанімувати.
Якщо в когось є ознаки тяжкої харчової недостатності/недоїдання (наприклад, місцеві жителі в умовах голоду, заручники), перед початком ентерального харчування слід отримати телемедичну консультацію. Синдром відновлення харчування (рефідинг-синдром) це загрозливе для життя метаболічно-електролітне порушення, що може виникнути в пацієнтів з важким недоїданням, коли вони отримають занадто багато їжі за занадто короткий час. Виявити його на етапі тривалої допомоги в польових умовах дуже складно. Першою ознакою може бути зупинка серця внаслідок електролітних порушень. Такого пацієнта майже неможливо реанімувати.
Моніторинг покращення ефективності
Досліджувана група
Поранені, яким тривало надавалася допомога в польових умовах
Мета (очікувані результати)
Догоспітальна документація всіх пацієнтів з досліджуваної групи, отримана JTS .
Показники результативності/дотримання рекомендацій
- Пацієнт із сепсисом, який отримував допомогу на догоспітальному етапі >2 годин і був доставлений на 2 чи 3 етап медичної допомоги інтубованим.
- Пацієнт із сепсисом, який отримував допомогу на догоспітальному етапі >2 годин і потребує діалізу на 3 чи 4 етапі медичної допомоги.
- Пацієнт із сепсисом, який отримував допомогу на догоспітальному етапі >2 годин та помер в перші 30 днів.
Джерела інформації
- Медична картка пацієнта
- Реєстр травм Міністерства оборони США (DoDTR)
- Схема тривалої допомоги в польових умовах
Системна звітність та її частота
Згідно з даними настановами, вказане вище становить мінімальні критерії моніторингу ПЕ. Системна звітність проводитиметься щороку; додатковий моніторинг ПЕ та системну звітність можна проводити залежно від потреб.
Системний огляд та аналіз даних виконуватиме керівник JTS та відділ ПЕ JTS.
Обов’язки
Відповідальність щодо забезпечення ознайомлення, відповідного дотримання та моніторингу покращення ефективності на місцевому рівні за цим CPG лежить на керівнику команди з надання допомоги при травмі.
Література
- Rhodes, A., Evans, L.E., Alhazzani, W. et al. Surviving sepsis campaign: international guidelines for management of sepsis and septic shock: 2016. Intensive Care Med 43, 304–377 (2017).
- Ma XY, Tian LX, Liang HP. Early prevention of trauma-related infection/sepsis. Mil Med Res.
2016;3:33. Published 2016 Nov 8. doi:10.1186/s40779-016-0104-3 - Chung S, Choi D, Cho J, et al. Timing and associated factors for Sepsis-3 in severe trauma patients: a 3-year single trauma center experience. Acute Crit Care. 2018;33(3):130-134.
- Long B, Koyfman A. Clinical mimics: an emergency medicine-focused review of sepsis mimics. J Emerg Med 2017 Jan;52(1):34-42
- Quick sepsis related organ failure assessment. qSOFA.org.
- National Early Warning Score (NEWS) 2. Determines the degree of illness of a patient and prompts critical care intervention. https://www.mdcalc.com/national-early-warning-score-news-2 Accessed Oct 2020.
- Balk RA. Systemic Inflammatory Response Syndrome (SIRS): where did it come from and is it still relevant today? Virulence. 2014;5(1):20-26.
- Mellhammar L, Linder A, Tverring J, et al. NEWS2 is superior to qSOFA in detecting sepsis with organ dysfunction in the emergency department. J Clin Med. 2019 Jul 29; 8(8):1128.
- CCAT. The i-STAT Portable Blood Analyzer in Austere Locations CPG. Joint Trauma System, 2020. https://jts.health.mil/index.cfm/PI_CPGs/cpgs. Accessed Oct 2020.
- Lin GL, McGinley JP, Drysdale SB, Pollard AJ. Epidemiology and immune pathogenesis of viral sepsis. Front Immunol. Sep 27 2018; 9:2147.
- Rudd, K.E., Kissoon, N., Limmathurotsakul, D, et al. The global burden of sepsis: barriers and potential solutions .Crit Care 22, 2018; 232.
- Falagas ME, Karageorgopoulos DE, Leptidis J, Korbila IP. MRSA in Africa: filling the global map of antimicrobial resistance. PLoS One. 2013; 8(7):e68024. Jul 29 2013
- World Health Organization Authors. World Malaria Report, 2018. World Health Organization.
- Petersen K, Riddle MS, Danko JR, et al. Trauma-related infections in battlefield casualties from Iraq. Ann Surg. May 2007; 245(5):803-11.
- JTS Acute Traumatic Wound Management in the Prolonged Field Care Setting CPG. Jul 24 2017. https://jts.health.mil/index.cfm/PI_CPGs/cpgs. Accessed Oct 2020.
- Fisher AD, Washburn G, Powell D, et al. Damage control resuscitation in prolonged field care. Journal of Special Operations Medicine. Sep 1, 2018; 109-119
- JTS. Nursing Intervention in Prolonged Field Care CPG, Jul 22 2018.
https://jts.health.mil/index.cfm/PI_CPGs/cpgs. - Finfer S, Bellomo R, Boyce N, et al. A comparison of albumin and saline for fluid resuscitation in the intensive care unit. N Engl J Med. 2004 May 27;350(22):2247-56.
- Levy MM, Evans LE, Rhodes A. The surviving sepsis campaign bundle: 2018 update. Intensive Care Med. 2018 Jun;44(6):925-928.
- Chawla, L.S., Ostermann, M., Forni, L. et al. Broad spectrum vasopressors: A new approach to the initial management of septic shock? Crit Care 23 Apr 16 2019; 124.
- JTS. Airway Management in Prolonged Field Care CPG, May 1 2020.
https://jts.health.mil/index.cfm/PI_CPGs/cpgs. - Prolonged Field Care Working Group. M.S.M.A.I.D. Applying the Pre- Anesthesia Checklist to SOF Medicine MSMAID Applying the Pre- anesthesia Checklist to SOF Medicine, 2015.
- CCAT Mechanical Ventilation CPG, Oct 22 2013. https://jts.health.mil/index.cfm/PI_CPGs/cpgs Accessed Oct 2020.
- Vasios WN 3rd, Pamplin JC, Powell D, et al. Teleconsultation in prolonged field care position paper. J Spec Oper Med. 2017 Fall; 17(3):141-144.
- JTS Analgesia and Sedation Management during Prolonged Field Care CPG, May 11 2017.
https://jts.health.mil/index.cfm/PI_CPGs/cpgs Accessed Oct 2020. - JTS Nutrition Support Using Enteral and Parenteral Methods CPG, Aug 4 2016.
https://jts.health.mil/index.cfm/PI_CPGs/cpgs Accessed Oct 2020.
ДОДАТОК A: Контрольний список лікування пацієнта з сепсисом
Якщо є підозра на сепсис, для початку лікування та підготовки до надання подальшої допомоги пацієнту слід використовувати наступний контрольний список (чек-лист) :
- ▢ Постановка двох венозних катетерів (ВВ/ВК великого розміру).
- ▢ Бактеріальний посів крові x2 (якщо можливо).
- ▢ Початок ВВ інфузії розчинів, максимально 30 мл/кг струминно (зазвичай близько 2-3 літрів) до досягнення адекватного виділення сечі, до). Див. рекомендації щодо ресусцитації.
- ▢ Розгляньте можливість встановлення обладнання для розширеного моніторингу (якщо таке є).
- ▢ Введіть катетер Фолея.
- ▢ Ведіть моніторинг усіх показників життєвих функцій та відмічайте динаміку частоти серцевих скорочень, артеріального тиску, частоти дихання та рівня свідомості у Схемі тривалої допомоги в польових умовах (див. Настанови з Документації PFC – JTS Documentation PFC CPG) кожні 15 хвилин. Необхідно щогодини вимірювати та записувати температуру та кількість виділеної сечі.
- ▢ Надайте кисневу підтримку, якщо є покази та можливість (для SpO2 <92%).
- ▢ Забезпечте прохідність дихальних шляхів або переконайтеся, що обладнання для надійного забезпечення прохідності дихальних шляхів у вас під рукою, як і інші елементи згідно зі схемою M.S.M.A.I.D. (MSMAID – Machine, Suction, Monitor, Airway, Intravenous access, Drugs; укр. ААМДВМ – апаратура, аспірація, моніторинг, дихальні шляхи, венозний доступ, медикаменти) (див. JTS CPG Забезпечення прохідності дихальних шляхів під час Тривалої допомоги в польових умовах. – JTS Airway Management for Prolonged Field Care CPG)
- ▢ Шукайте джерело інфекції. Проведіть відповідні втручання (догляд за раною, видалення інфікованих катетерів, консультація хірурга тощо).
- ▢ Призначте найбільш відповідні антибіотики.
- ▢ Проводьте ранні та часті телемедичні консультації.
- ▢ Підхід “Оглянь/Введи”: “Оглянь” – життєві показники, неврологічний огляд, огляд ран/інфекції шкіри, рівень лактату в сироватці, виділення сечі (катетер Фолея), швидкі тести. “Введи”- антибіотики, інфузійні розчини, кисень (якщо доступний), вазопресори (за підтримки телемедичного консультанта).
- ▢ Якщо забезпечується годування, слід стежити за ознаками порушення травлення або обструкції травного тракту: виникнення нудоти, болю в животі та розтягнення живота.
- ▢ Постановка двох венозних катетерів (ВВ/ВК великого розміру).
- ▢ Бактеріальний посів крові x2 (якщо можливо).
- ▢ Початок ВВ інфузії розчинів, максимально 30 мл/кг струминно (зазвичай близько 2-3 літрів) до досягнення адекватного виділення сечі, до). Див. рекомендації щодо ресусцитації.
- ▢ Розгляньте можливість встановлення обладнання для розширеного моніторингу (якщо таке є).
- ▢ Введіть катетер Фолея.
- ▢ Ведіть моніторинг усіх показників життєвих функцій та відмічайте динаміку частоти серцевих скорочень, артеріального тиску, частоти дихання та рівня свідомості у Схемі тривалої допомоги в польових умовах (див. Настанови з Документації PFC – JTS Documentation PFC CPG) кожні 15 хвилин. Необхідно щогодини вимірювати та записувати температуру та кількість виділеної сечі.
- ▢ Надайте кисневу підтримку, якщо є покази та можливість (для SpO2 <92%).
- ▢ Забезпечте прохідність дихальних шляхів або переконайтеся, що обладнання для надійного забезпечення прохідності дихальних шляхів у вас під рукою, як і інші елементи згідно зі схемою M.S.M.A.I.D. (MSMAID – Machine, Suction, Monitor, Airway, Intravenous access, Drugs; укр. ААМДВМ – апаратура, аспірація, моніторинг, дихальні шляхи, венозний доступ, медикаменти) (див. JTS CPG Забезпечення прохідності дихальних шляхів під час Тривалої допомоги в польових умовах. – JTS Airway Management for Prolonged Field Care CPG)
- ▢ Шукайте джерело інфекції. Проведіть відповідні втручання (догляд за раною, видалення інфікованих катетерів, консультація хірурга тощо).
- ▢ Призначте найбільш відповідні антибіотики.
- ▢ Проводьте ранні та часті телемедичні консультації.
- ▢ Підхід “Оглянь/Введи”: “Оглянь” – життєві показники, неврологічний огляд, огляд ран/інфекції шкіри, рівень лактату в сироватці, виділення сечі (катетер Фолея), швидкі тести. “Введи”- антибіотики, інфузійні розчини, кисень (якщо доступний), вазопресори (за підтримки телемедичного консультанта).
- ▢ Якщо забезпечується годування, слід стежити за ознаками порушення травлення або обструкції травного тракту: виникнення нудоти, болю в животі та розтягнення живота.
ДОДАТОК B: Портативний аналізатор I-STAT
У таблиці наведені лабораторні показники, які можна визначити за допомогою певних картриджів портативного аналізатора i-STAT. На сепсис можуть вказувати: підвищений рівень молочної кислоти (лактату), прокальцитоніну (PCT) та лейкоцитів (WBC).
Див. CPG “Використання портативного аналізатора крові i-STAT в суворих непристосованих умовах” (i-STAT Portable Blood Analyzer in Austere Locations CPG).
Для аналізу береться периферична венозна кров. Результати лабораторних досліджень повинні порівнюватися з нормами, визначеними для i-STAT та наведеними в таблиці референтних показників. (З дозволу Abbott Labs, липень 2020 року)
ДОДАТОК C: Виявлення відхилень від норми
Тест-смужки для аналізу сечі: Тест-смужка – це тонка пластикова паличка з нанесеними на поверхні хімічними реагентами. Для проведення аналізу її слід занурити в сечу. Нанесені у вигляді смужок хімічні реагенти змінюють колір, якщо в сечі присутні певні речовини, або якщо їх рівень змінений. Вираженість зміни кольору свідчить про те, наскільки вираженим є відхилення. Тест-смужки для аналізу сечі – це ще один інструмент, яким можна оцінити стан пацієнта. Результати проведення аналізу за допомогою тест-смужок мають інтерпретуватися в контексті “цілісного підходу до пацієнта”. За допомогою тест-смужок можна визначити наступні показники:
- Кислотність (pH). Рівень pH вказує на кількість кислоти в сечі. Зміни рівня pH можуть вказувати на патологію нирок чи сечовивідних шляхів або потенційну системну інфекцію — сепсис.
- Концентрація. Концентрація, або відносна густина, показує, наскільки концентрованими є розчинені частинки в сечі. Підвищена концентрація зазвичай є наслідком недостатнього споживання рідини. У випадку сепсису це є ознакою клінічно значущої втрати об’єму.
- Білок. Низький рівень білка в сечі є нормою. Невелике збільшення рівня білка в сечі зазвичай не є причиною для занепокоєння, але більші кількості можуть вказувати на порушення роботи нирок.
- Цукор. Зазвичай кількість цукру (глюкози) в сечі занадто низька для виявлення. Дуже високі рівні глюкози, особливо при підвищенні рівня кетонів та зниженні рівня рН, можуть свідчити про діабетичний кетоацидоз, який може клінічно виглядати як сепсис. Діабетичний кетоацидоз виникає в людей, яким не було перед тим діагностовано діабет та які не знали про свій стан. Діабетичний кетоацидоз загрозливий для життя: слід отримати телемедичну консультацію.
- Кетони. Як і з цукром, високі рівні кетонів, виявлені в сечі, можуть свідчити про діабетичний кетоацидоз. Кетони в сечі також можуть свідчити про харчову недостатність та дефіцит білків і калорій у пацієнта з сепсисом. У такому випадку слід розглянути питання про прийом додаткових калорій або початок ентерального харчування.
- Білірубін. Білірубін утворюється внаслідок розпаду еритроцитів або синтезується у печінці, входячи до складу жовчі. Зазвичай білірубін переноситься кров’ю і потрапляє в печінку, де він кон’югується і стає частиною жовчі. Білірубін у сечі може свідчити про пошкодження печінки, обструкцію жовчовивідних шляхів або гемоліз (наприклад, при дисемінованому внутрішньосудинному згортанні).
- Докази інфекції. Якщо в сечі виявляються нітрити або лейкоцитарна естераза — продукт життєдіяльності лейкоцитів, — це може бути ознакою інфекції сечовивідних шляхів або системної інфекції — сепсису.
- Кров. Наявність крові в сечі потребує додаткового дослідження – це може бути ознакою пошкодження нирок, інфекції, каменів у нирках або сечовому міхурі, раку нирок або сечового міхура, або захворювань крові.
ДОДАТОК D: Швидкий тест на мікроскопічне дослідження крові на наявність збудника малярії
Наведено з дозволу Abbott Labs, липень 2020 року.
BINAXNOW®
Тест на малярію BinaxNOW® – це швидкий та простий діагностичний тест, який може відрізнити смертельну інфекцію P. falciparum від інших малярійних інфекцій, спричинених P. vivax, P. ovale або P. malariae за 3 прості кроки, використовуючи 1 реагент. Зазвичай, обмежувальним фактором для масштабного тестування є кількість наявного реагенту.
- Результати можна отримати через 15 хвилин
- Чутливість: 99,7% (P.falciparum); 93,5% (P.vivax)
- Специфічність: 94,2% (P.falciparum); 99,8% (P.vivax)
Інструкція щодо використання BinaxNOW
Крок 1
Нанесіть 15 мкл крові на нижню половину фіолетової смужки.
Нанесіть 15 мкл крові на нижню половину фіолетової смужки.
Крок 2
Нанесіть 2 краплі реагенту на білу смужку безпосередньо нижче місця, де було нанесено кров.
Нанесіть 2 краплі реагенту на білу смужку безпосередньо нижче місця, де було нанесено кров.
Крок 3
Крапніть 4 краплі Реагенту в комірку, розташовану у верхній лівій частині тестової картки.
Крапніть 4 краплі Реагенту в комірку, розташовану у верхній лівій частині тестової картки.
Крок 4
Коли зразок крові досягне основи білої поглинальної подушечки на верхівці тест-смужки, закрийте пристрій. Інтерпретуйте результат через 15 хвилин.
Коли зразок крові досягне основи білої поглинальної подушечки на верхівці тест-смужки, закрийте пристрій. Інтерпретуйте результат через 15 хвилин.
Табличка результатів Binaxnow
Позитивний
P. Falciparum
Змішаний результат
P. Falciparum
Змішаний результат
Позитивний
P. Falciparum
P. Falciparum
Позитивний
P. Vivax
P. Ovale
P. Malariae
P. Vivax
P. Ovale
P. Malariae
Негативний
Мікроскопічне дослідження крові
Правильно проведене мікроскопічне дослідження товстої краплі та тонкого мазка крові є найбільш надійним тестом для діагностики малярії. Матеріал для аналізу (кілька крапель крові) зазвичай беруть з пальця. Товста крапля та тонкий мазок крові дозволяють безпосередньо побачити паразитів та їх репродуктивні похідні – шизонти – при малярії.
Див. U.S. Department of Defense. Special Operations Forces Medical Handbook. 2011.
- “Товста” крапля – це цільна крапля крові на предметному скельці. Товсті краплі є найбільш корисними для виявлення наявності паразитів, оскільки вони досліджують більший об’єм зразка крові. (Часто в крові знаходиться мало паразитів у момент проведення тесту).
- “Тонкий” мазок – це крапля крові, яка розподілена по всій площі предметного скельця тонким шаром. Тонкі мазки допомагають медичним працівникам виявити, який вид малярії викликав інфекцію.
- Ці два методи корисно використовувати одночасно. Такий підхід дозволяє медичному працівнику розглянути товсту краплю та тонкий мазок крові та знайти щільність крові, яка найбільш вірогідно дозволить побачити паразита.
- Якщо у пацієнта високий ризик малярії, але мікроскопія не виявляє очевидної малярійної інфекції, можна виконувати повторні серійні мікроскопічні дослідження товстої краплі та тонкого мазка крові кожні 8 або 24 години в залежності від тяжкості випадку.
Підготовка товстої краплі та тонкого мазка крові
Крок 1
Чисте скельце зі шліфованими краями тримайте під кутом 45° до предметного скельця, на якому розташована крапля крові. Поставте чисте скельце на краєчок краплі крові, зберігаючи кут 45°.
Чисте скельце зі шліфованими краями тримайте під кутом 45° до предметного скельця, на якому розташована крапля крові. Поставте чисте скельце на краєчок краплі крові, зберігаючи кут 45°.
Крок 2
Зачекайте, щоб кров розподілилася вздовж краю шліфованого скельця.
Зачекайте, щоб кров розподілилася вздовж краю шліфованого скельця.
Крок 3
Тримаючи шліфоване скельце під тим самим кутом, швидко й плавно протягніть його вперед.
Тримаючи шліфоване скельце під тим самим кутом, швидко й плавно протягніть його вперед.
Крок 4
Дочекайтеся повного висихання мазка. Зафіксуйте тонкий мазок 100% (абсолютним) метанолом.
Дочекайтеся повного висихання мазка. Зафіксуйте тонкий мазок 100% (абсолютним) метанолом.
Крок 5
Коли мазок повністю висохне, зафарбуйте його 7,5% барвником Романовського-Гімзи протягом 15 хвилин.
Коли мазок повністю висохне, зафарбуйте його 7,5% барвником Романовського-Гімзи протягом 15 хвилин.
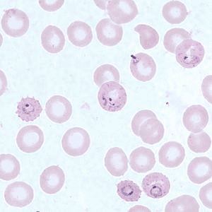
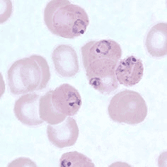
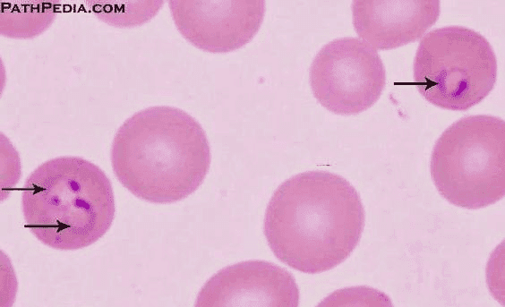
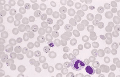
Товста крапля та тонкий мазок крові повинні бути висушені на повітрі, зафіксовані 100% (абсолютним) метанолом та повністю висушені перед фарбуванням 7,5% барвником Романовського-Гімзи протягом 15 хвилин. Плазмодії завжди знаходяться всередині клітини (внутрішньоклітинні паразити). Правильно зафарбовані, вони мають синю цитоплазму з червоною плямою хроматину (див. зображення 1-4 нижче).
Поширеними помилками при оцінці зразків можуть бути тромбоцити, що перекривають еритроцит; пропуск поля зору, що містить плазмодії; та оцінка артефактів як плазмодіїв. Найкраще читати скельце, починаючи з тонкого кінця мазка та рухаючись до товстішої частини, де еритроцити лежать щільно, притуляючись один до одного, але НЕ перекриваються. Таким чином дослідник отримає найбільшу концентрацію еритроцитів у полі зору та найвищу ймовірність ідентифікації паразита.
Пересувайте скельце вздовж цієї “щільної” ділянки, щоб точно визначити наявність чи відсутність малярійної паразитарної інфекції (Зображення 1). Якщо виявлений малярійний збудник, відразу розпочніть відповідне протималярійне/протипаразитарне лікування в поєднанні з антибіотикотерапією (парадигма “мінімум, краще, найкраще”), згаданою вище.
Збудники малярії
Зображення 2-4 демонструють плазмодіїв усередині клітин з характерним виглядом “каблучки”.
Зображення 2 і 4 отримані з cdc.gov; зображення 3 з pathpedia.com
ДОДАТОК E: Лактат
Лактат можна виміряти за допомогою картриджа CG4 портативного аналізатора i-STAT. Цей картридж повинен зберігатися у середовищі з контрольованим температурним режимом. Лактат також можна виміряти за допомогою спеціально призначених для цього пристроїв, але багато з них не схвалені для роботи з пацієнтами, які мають невідкладні стани.
Врахування лактату разом з іншими показниками ресусцитації корисне, однак до спостереження та лікування пацієнта слід застосовувати “цілісний підхід”. Пацієнт може мати задовільний клінічний стан з достатнім артеріальним тиском та наповненням капілярів, нормальним виділенням сечі та поступовою відміною вазопресорів, але при цьому продовжуючи мати підвищений рівень лактату. Є багато причин для цього, деякі з яких не вимагають клінічної реакції, а лише додаткового моніторингу. Рівні лактату мають прямий вплив на pH пацієнта (ацидоз). Головні негативні наслідки ацидозу полягають у:
- а) зменшенні серцевого викиду та судинного тонусу, що проявляється стійкою гіпотензією;
- б) у порушенні згортання крові, що проявляється кровотечею, незважаючи на достатню ресусцитацію продуктами крові та заходи з зупинки кровотечі.
Загалом, цього не трапляється при рівні pH понад 7,2 (що не має прямої кореляції з рівнем лактату).
Якщо можна виміряти рівень лактату, його слід інтегрувати у моніторинг пацієнта наступним чином:
- Стежити за динамікою рівня лактату, визначаючи його кожні 4-6 годин. Нормалізація показників лактату буде відставати від покращення показників життєвих функцій, стану свідомості та виведення сечі.
- Якщо ресусцитація проводиться в недостатньому об’ємі або пацієнт не реагує на ресусцитацію, показники життєвих функцій та роботи органів будуть і надалі порушені, без помітних змін. Рівень лактату також залишиться підвищеним.
- Якщо з’являються показники успішної ресусцитації, клінічний стан пацієнта покращується, але рівень лактату не зменшується або збільшується, це може свідчити про реперфузію тканин (відновлення кровообігу в тих ділянках, у яких було недостатнє/відсутнє кровопостачання через шок). Продовжуйте відстежувати динаміку рівня лактату, і якщо він залишається підвищеним або збільшується, це може свідчити про присутнє джерело інфекції, яке не було адекватно сановане та може потребувати зміни антибіотиків та/або хірургічного втручання. Отримайте телемедичну консультацію.
ДОДАТОК F: Адреналін (норадреналін) — довідник вазопресорів
Розгляньте можливість застосування низьких доз вазопресорів – адреналіну (епінефрину) або норадреналіну (норепінефрину), якщо доступно – після введення 30 мл/кг ВВ інфузійних розчинів та відсутності змін у СерАТ, виділенні сечі та стані свідомості.
Адреналін може покращити артеріальний тиск:
- а) внаслідок вазоконстрикції
- б) та посиленням скоротливої функції серця, покращуючи серцевий викид.
Вазопресори рідко використовуються поза відділенням інтенсивної терапії, а їх застосування в суворих непристосованих умовах свідчить про критичну ситуацію і вимагає надзвичайної уваги. Доза адреналіну або норадреналіну однакова для розрахунків щодо краплинного введення. Надалі буде йти мова про адреналін, оскільки він значно доступніший у суворих непристосованих умовах. У даних настановах подано початкові низькі дози. Будь-які корективи слід вносити лише під прямим керівництвом телемедичного консультанта. Варто зазначити: при використанні адреналіну як вазопресора рівень лактату може зрости.
Адреналін: ВВ чи ВК струминна ін’єкція: шприц об’ємом 10 мл, що містить 9 мл фізіологічного розчину (0,9% NaCl) та 1 мл адреналіну “серцевої” концентрації (1:10 000 або 100 мкг/мл). Використовується для негайного підвищення артеріального тиску, який свідчить про шок (систолічний тиск <90). Введіть швидкодіючу короткочасну дозу (0,5 – 1 мл), поки готуєте тривалодіючу крапельну інфузію (нижче).
- Концентрація: 10 мкг адреналіну/мл
- Початок дії: 1 хвилина
- Тривалість дії: 5 – 10 хвилин
- Доза: 0,5 – 2 мл кожні 2 – 5 хвилин (5 – 20 мкг)
- Введення: дуже повільне ВВ введення через шприц. 1 мл/хв протягом 10 хвилин. Швидке введення може спричинити тахікардію, гіпертензивний криз та зупинку серця.
Адреналін: краплинне введення. Адреналін вводиться зі швидкістю 4 мкг/хв (використовуйте таблицю, наведену нижче). Це початкова/підтримувальна доза при краплинному введенні адреналіну (вазопресора) — так зване “адреналінове випробування” (Epinephrine Challenge).
Золотим стандартом в госпітальних умовах є використання центрального венозного доступу для цього втручання; проте в суворих непристосованих умовах допускається використання периферичного доступу (в вени ліктьового згину) (внутрішньокісткове введення в плечову, великогомілкову кістки та грудину також можна використати, якщо вдасться точно регулювати швидкість потоку).
Швидкість краплинної інфузії необхідно прискорити, сповільнити або припинити залежно від стану перфузії чи показників життєвих функцій пацієнта. Після початку введення вазопресорів за пацієнтом необхідно постійно спостерігати. Якщо можливо, перед початком використання вазопресорів слід обов’язково розпочати телемедичну консультацію.
Таблиця розрахунку швидкості краплинної інфузії адреналіну 1:10 000 або норадреналіну
**Це найменш рекомендований підхід, оскільки він передбачає введення великої кількості адреналіну в великому пакеті. Якщо показники життєвих функцій пацієнта (АТ/СерАТ/ЧСС) стабілізуються, введення слід припинити, пакет викидається. Так медик ризикує втратити частину своїх ресурсів – “Ви можете додати ліки в розчин для інфузії, але не можете їх звідти забрати”.
Ключовий момент: Якщо інфузія адреналіну здійснюється через периферичний венозний доступ, слід оглядати місце введення під час кожної перевірки показників життєвих функцій на наявність ознак почервоніння, набряку або індурації (відчуття твердого тяжа при пальпації судини вище місця введення). Якщо хоча б одна з цих ознак присутня, можливо, адреналін виходить поза межі судини («екстравазація»), що може спричинити подальше рубцювання та пошкодження судини. Негайно зупиніть інфузію та отримайте телемедичну консультацію.
Якщо адекватна рідинна ресусцитація та терапія вазопресорами не можуть відновити гемодинамічну стабільність у випадку септичного шоку, використовуйте ВВ гідрокортизон у дозі 100 мг кожні 8 годин протягом принаймні 3 днів (для середньостатистичного чоловіка 18-60 років). Зважаючи на недостатні обсяг та якість доказів щодо цього втручання, перед використанням гідрокортизону для лікування септичного шоку рекомендовано проконсультуватись з телемедичним експертом.
УВАГА!
Вазопресори – надзвичайно потужні препарати. Окрім ризику, пов’язаного з периферичними інфузіями, дозування повинно бути суворо контрольовано. Слід забезпечити безперервне введення правильної дози. Медичні працівники повинні очікувати збільшення як частоти серцевих скорочень, так і артеріального тиску, але дуже висока тахікардія (як ознака злоякісних серцевих ритмів) повинна спонукати до припинення інфузії та телемедичної консультації. Потрібно зібрати детальний анамнез, щоб виявити пацієнтів з гіпертензією та/або ішемічною хворобою серця, яким ці препарати повинні вводитися лише під суворим наглядом.
Вазопресори – надзвичайно потужні препарати. Окрім ризику, пов’язаного з периферичними інфузіями, дозування повинно бути суворо контрольовано. Слід забезпечити безперервне введення правильної дози. Медичні працівники повинні очікувати збільшення як частоти серцевих скорочень, так і артеріального тиску, але дуже висока тахікардія (як ознака злоякісних серцевих ритмів) повинна спонукати до припинення інфузії та телемедичної консультації. Потрібно зібрати детальний анамнез, щоб виявити пацієнтів з гіпертензією та/або ішемічною хворобою серця, яким ці препарати повинні вводитися лише під суворим наглядом.
Джерела:
- Russell J, Gordon A, Walley K. Early may be better: early low-dose norepinephrine in septic shock. American Journal of Respiratory and Critical Care Medicine Vol. 199, No. 9 May 01, 2019; 1049–1051.
- Farkas J. Epinephrine Challenge in Sepsis: An Empiric Approach to Catecholamines. EMCrit 2016. https://emcrit.org/pulmcrit/epi/ Accessed Oct 2020.
- Gibbison B, López-López JA, Higgins JP, et al. Corticosteroids in septic shock: a systematic review and network meta-analysis. Crit Care. 2017 Mar 28;21(1):78.
ДОДАТОК G: Додаткова інформація щодо не передбаченого інструкцією застосування лікарських засобів у настановах з клінічної практики
Мета
Мета цього Додатка — надати роз’яснення політики та практики Міністерства оборони США щодо включення в Настанови з клінічної практики «незатверджених» показів для продуктів, які були схвалені Управлінням з контролю якості продуктів харчування і лікарських засобів США (FDA). Це стосується використання препаратів не за призначенням для пацієнтів, які належать до Збройних сил США.
Вихідна інформація
Незатверджене (тобто «не за призначенням» – “off-label”) використання продуктів, схвалених FDA, надзвичайно поширене в медицині США і зазвичай не регулюється окремими нормативними актами.
Проте, згідно з Федеральним законодавством, за деяких обставин застосування схвалених лікарських засобів за незатвердженими показами регулюється положеннями FDA про «досліджувані нові ліки». До цих обставин належить використання в рамках клінічних досліджень, а також, у військовому контексті, використання за незатвердженими показами згідно з вимогами командування. Деякі види використання за незатвердженими показами також можуть підлягати окремим нормативним актам.
Додаткова інформація щодо застосування за незатвердженими показами у настановах з клінічної практики
Включення до Настанов з клінічної практики використання медикаментів за незатвердженими показами не належить до клінічних випробувань і не є вимогою командування. Більше того, таке включення не передбачає, що Військова система охорони здоров’я вимагає від медичних працівників, які працюють в структурах Міноборони США, застосовувати відповідні продукти за незатвердженими показами або вважає це «стандартом медичної допомоги».
Швидше, включення до CPGs використання засобів «не за призначенням» має поглиблювати клінічне судження відповідального медичного працівника шляхом надання інформації щодо потенційних ризиків та переваг альтернативного лікування. Рішення приймається на основі клінічного судження відповідальним медичним працівником у контексті відносин між лікарем і пацієнтом.
Додаткові процедури
Виважений розгляд
Відповідно до цієї мети, в обговореннях використання медикаментів «не за призначенням» в CPG конкретно зазначено, що це використання, яке не схвалено FDA.
Крім того, такі обговорення є збалансованими у представленні даних клінічних досліджень, включаючи будь-які дані, які свідчать про обережність у використанні продукту, і, зокрема, включаючи усі попередження, видані FDA.
Моніторинг забезпечення якості
Що стосується використання «не за призначенням», діяльність Міністерства оборони США полягає у підтримці регулярної системи моніторингу забезпечення якості результатів і відомих потенційних побічних ефектів.
З цієї причини підкреслюється важливість ведення точних клінічних записів.
Інформація для пацієнтів
Належна клінічна практика передбачає надання відповідної інформації пацієнтам. У кожних Настановах з клінічної практики, де йдеться про використання засобу «не за призначенням», розглядається питання інформування пацієнтів.
За умови практичної доцільності, слід розглянути можливість включення додатка з інформаційним листком для пацієнтів, що видаватиметься до або після застосування продукту. Інформаційний листок має в доступній для пацієнтів формі повідомляти наступне:
- a) що дане застосування не схвалене FDA;
- b) причини, чому медичний працівник Міністерства оборони США може прийняти рішення використати продукт з цією метою;
- c) потенційні ризики, пов’язані з таким застосуванням.