Клінічні рекомендації щодо ведення пацієнтів з лейоміомами стравоходу

Read in English

Вступ

Більшість пухлин стравоходу є злоякісними, і лише 1% з є доброякісними.[1] Саме лейоміоми стравоходу є найпоширенішим видом доброякісних пухлин стравоходу, на частку яких припадає близько 60-70% цих утворень.[1,2] Малігнізація є рідкісною і зустрічається лише в менш ніж 0,2% випадків.[3]
Лейоміоми стравоходу за походженням є мезенхімальними і, зазвичай, виникають у м’язовому шарі у дистальних 2/3 стравоходу.[1,2,3] Лейоміоми пов’язані з тріадою Карні, яка наразі є розширеною і включає шлунково-кишкову стромальну пухлину (GIST), легеневу хондрому (гамартома), позанадниркову парагангліому, аденому надниркових залоз і феохромоцитому.[4]
Більшість лейоміом є первинними, солітарними, інтрамуральними і мають розмір менше 10 см. Пухлини розміром більше 10 см класифікуються, як гігантські лейоміоми стравоходу, і частіше мають множинні первинні вогнища росту.[1,2,3]
Лейоміоми можуть виникати у будь-якому віці, з піком захворюваності між третім і п’ятим десятиріччями життя, середня тривалість життя становить 55,7 років. Спостерігається переважання виникнення патології у чоловіків у співвідношенні 2:1, порівняно з жінками.[1,2,3]
Загальний прогноз для пацієнтів з лейоміомою стравоходу є сприятливим, при належному лікуванні завдяки повільному росту пухлини та її доброякісній природі.

Клінічна картина

Більшість пацієнтів з лейоміомою стравоходу мають безсимптомний перебіг. Однак великий розмір пухлини асоціюється з появою симптомів, як правило, при пухлинах розміром більше 5 см.
Симптоми часто нечітко виражені і неспецифічні, пов’язані з компресією стравоходу і навколишніх структур середостіння. Симптоми включають дискомфорт в епігастральній ділянці, дисфагію, одинофагію, регургітацію, діарею, шлунково-кишкову кровотечу і втрату ваги.[5,6]

Діагностика

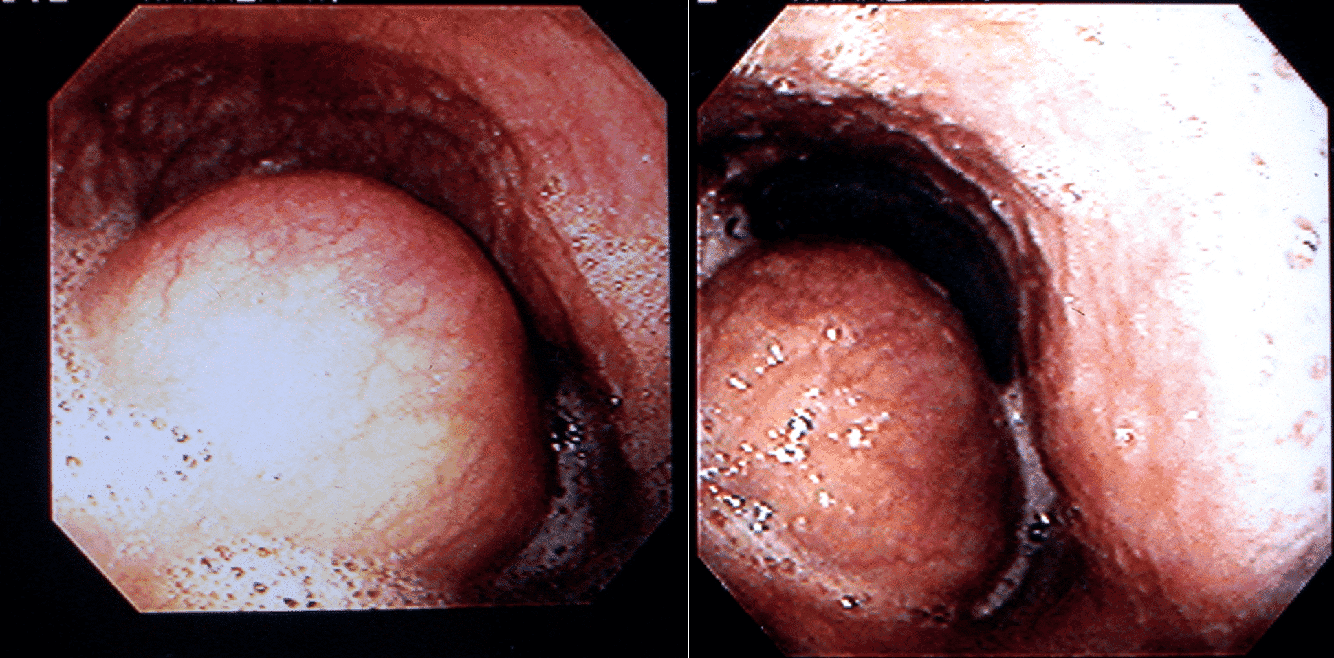
Лейоміоми стравоходу в основному діагностуються, як випадкові знахідки при різних методах візуалізації, під час рутинного скринінгу або обстеження з приводу іншої патології верхніх відділів шлунково-кишкового тракту. Езофагогастродуоденоскопія (ЕГДС) часто виявляє ексцентричне внутрішньопросвітне звуження стравоходу з інтактною слизовою оболонкою над ним (зобр. 1).
Зображення 1. На ЕГДС видно ексцентричне внутрішньопросвітне утворення, що звужує стравохід з інтактною слизовою оболонкою.
Езофагографія з барієвим контрастуванням може показати внутрішньопросвітне звуження від компресійного ефекту утворення, з плавно підвищеним дефектом наповнення, що виступає від просвіту і окреслює розмір пухлини (зобр. 2).[3,7]
Зображення 2. Езофагографія з барієвим контрастуванням, що демонструє внутрішньопросвітне звуження від компресійного ефекту утворення з підвищеним дефектом наповнення, що виступає від просвіту та окреслює розміри пухлини.
Ендоскопічне ультразвукове дослідження (ЕУЗД) набуває все більшої популярності, оскільки воно легко верифікує лейоміоми стравоходу від злоякісних новоутворень, через підтвердження локалізації утворення в інтрамуральному шарі та відсутності вузлового ураження.[1,3,7]
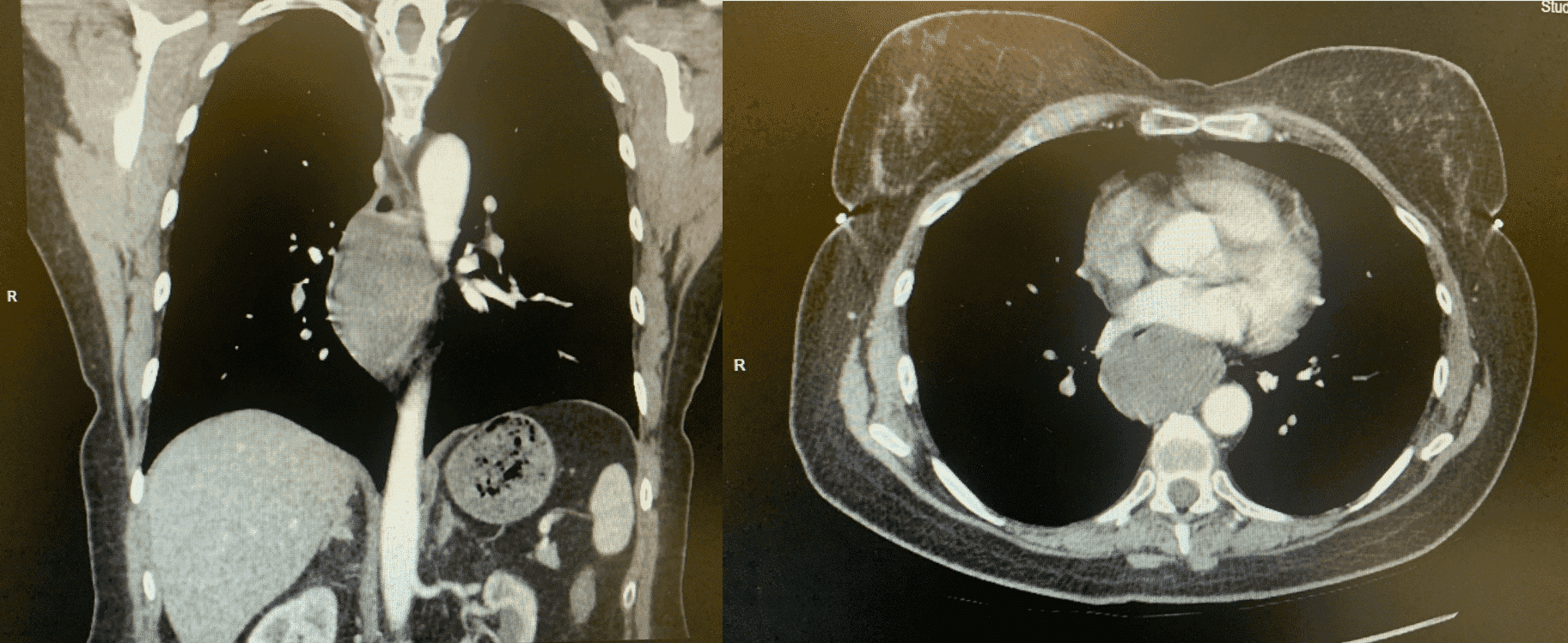
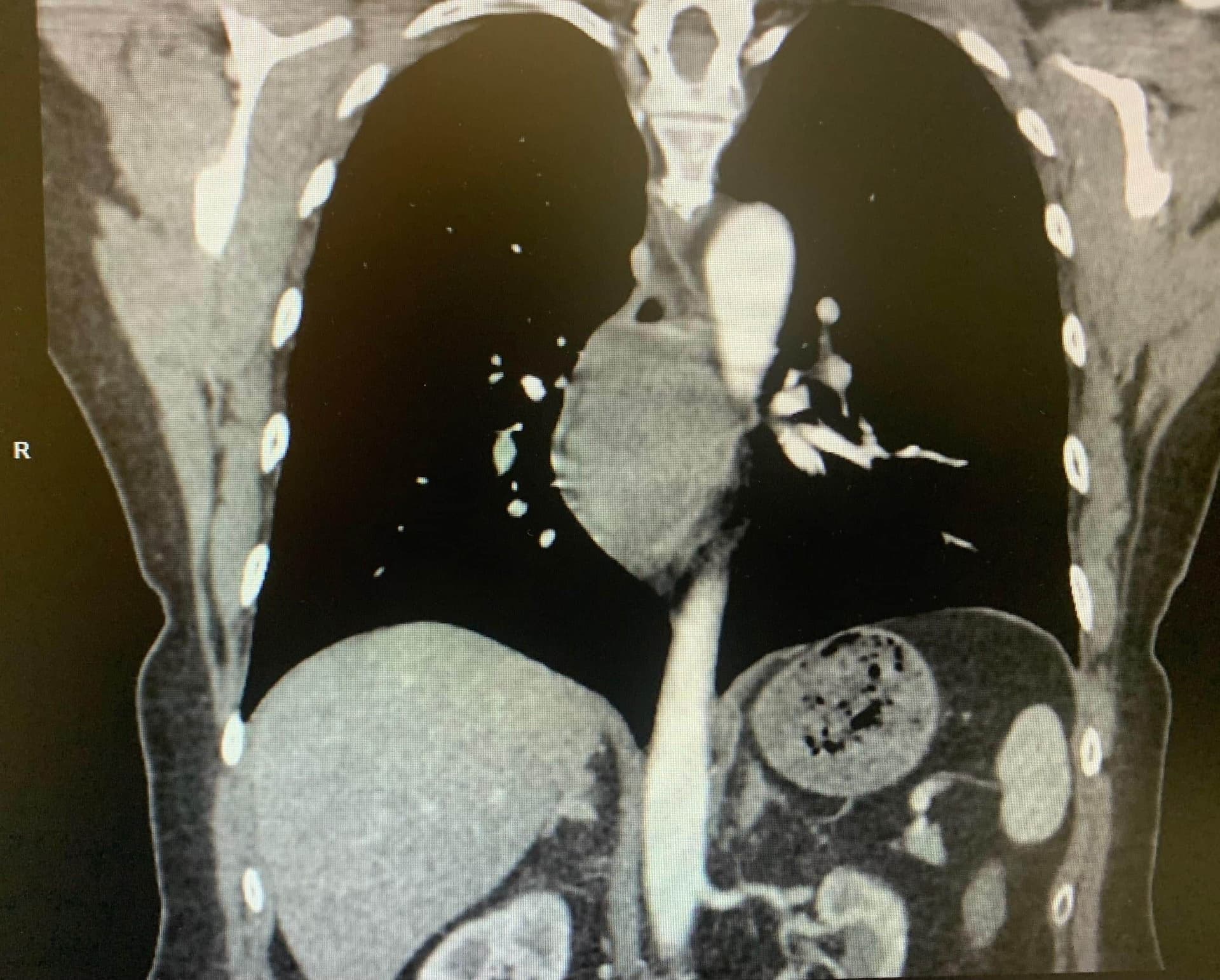
КТ з внутрішньовенним контрастуванням корисна для подальшого диференціювання утворення з іншими прилеглими структурами середостіння, а також визначення ступеня ураження довжини стравоходу. На КТ пухлина часто описується як округле, ексцентричне, рівномірно щільне, іноді долькове, гладке утворення навколо стінки стравоходу (зобр. 3).[3,7]
КТ-візуалізація може бути корисною для визначення проведення подальших діагностичних або хірургічних методів, якщо це показано.
Зображення 3. КТ з внутрішньовенним контрастуванням показує циркулярне, ексцентричне, рівномірно щільне, іноді долькове, гладке утворення навколо стінки стравоходу.
Проведення біопсії (ендоскопічна тонкоголкова аспіраційна біопсія під контролем УЗД або іншої візуалізації) часто не рекомендується при таких ураженнях через ризик інфікування та чіткі характерні рентгенологічні знахідки; однак її проведення може бути виправдане в тих випадках, коли результати візуалізаційних методів під час є непереконливими або існує діагностична невизначеність. У цих випадках при загальному аналізі зразків зазвичай виявляється обмежене та однорідне гладке утворення (зобр. 4).
Зображення 4. На макропрепараті видно обмежену гладку (ліворуч) та однорідну масу (праворуч).
Гістологічне дослідження покаже переплетення пучків веретеноподібних гладком’язових клітин з рясною цитоплазмою і мінімальними мітотичними фігурами або цитоплазматичною атипією.[3,8]
Імуногістохімія зазвичай негативна на CD117 і CD34 (зазвичай позитивна при пухлинах GIST), але позитивна на десмін і актин гладких м’язів.[9]

Лікування

Наразі не існує єдиної думки щодо лікування безсимптомних або невеликих (<5 см) пухлин. Однак, коли пухлина великого розміру (>5 см) або є симптоми, показана резекція за допомогою ендоскопічних або хірургічних методів.[10]
Ендоскопічна підслизова резекція може бути використана для короткосегментної лейоміоми стравоходу, тоді як хірургічна резекція шляхом проведення торакотомії справа, може бути використана для пухлин середньої третини стравоходу, а проведення торакотомії зліва – для пухлин дистальної третини стравоходу.[11]
Хірургічні методи все більше зосереджуються на відеоасистованій торакоскопічній або роботизованій техніці, хоча існують окремі занепокоєння щодо збільшення частоти виникнення стравохідних нориць після мінімально інвазивних підходів. Роботизовані методики можуть надавати додаткові переваги завдяки амбідекстерності, 3-хвимірній орієнтації та доступу до більш обмежених/малих просторів. Виконується енуклеація пухлини з міотомією стравоходу або резекція пухлини зі стравоходом.
Якщо езофагоміотомія перетинає шлунково-стравохідне з‘єднання, може знадобитися часткова фундоплікація. Езофагоектомія може бути показана при гігантських лейоміомах стравоходу або пухлинах, що охоплюють довгі сегменти стравоходу з високим ризиком травмування слизової оболонки.
Основні етапи хірургічного втручання включають: [10,12]
  1. Розсічення медіастинальної плеври для кращої візуалізації ураженого сегмента стравоходу.
  2. Міотомія зовнішнього поздовжнього м’язового шару стравоходу.
  3. Дисекція пухлини від підслизової оболонки стравоходу.
  4. Висічення пухлини.
  5. Закриття пошкодження слизової оболонки на стравохідному розширювачі розміром 44-54 Fr для запобігання стенозу ставоходу.
  6. Закриття м’язового шару.
  7. Закриття плевральним клаптем, міжреберним м’язом або шлунковою жировою подушечкою.
  8. Тест на герметичність.
  9. При позитивному тесті на герметичність може знадобитися повторне закриття та/або перехід на відкриту торакотомію
  10. Встановлення назогастрального зонда та плеврального дренажа на рівні відновленого стравоходу.
Пріоритетними напрямками післяопераційного ведення є знеболення та постійний моніторинг на предмет стравохідної нориці. У післяопераційному періоді зазвичай виконується барієва езофагограма для оцінки наявності затримки витоку контрасту. За винятком 2-тижневого післяопераційного спостереження, ці пацієнти не потребують довготривалого спостереження, оскільки операція, як правило, є лікувальною з повним видаленням пухлини, якщо це доброякісна лейоміома.
Спостереження продовжується, якщо операція не виконана або виконана неповна резекція, ЕУЗД зараз рекомендується як основна методика; однак, в даний час немає консенсусу щодо інтервалу для спостереження. В одному з досліджень відзначено середній приріст розміру лейоміоми стравоходу на 0,2 мм і 0,5 мм при 19-місячному і 70-місячному спостереженні, використовуючи ЕУЗД відповідно.[8] Таким чином, довгострокове спостереження зазвичай не показано, а загальний прогноз сприятливий.

Висновки

Лейоміоми стравоходу є найбільш поширеним видом доброякісних пухлин стравоходу, які зазвичай пов’язані з тріадою Карні. Більшість цих пухлин є первинними, солітарними, інтрамуральними, розміром менше 10 см.
Симптоми неспецифічні, але пов’язані зі здавленням стравоходу і навколишніх структур середостіння при великих розмірах пухлини. Лейоміоми стравоходу в основному діагностуються, як випадкові знахідки при різних методах візуалізації, зазвичай під час рутинного скринінгу або обстеження з приводу іншої патології верхніх відділів шлунково-кишкового тракту, і не потребують подальшої біопсії для постановки діагнозу.
Втручання показане при розмірах пухлини >5 см та/або наявній симптоматиці, і виконується шляхом ендоскопічної підслизової резекції або звичайної хірургічної резекції. Довготривале спостереження, як правило, не показане при сприятливому прогнозі.

Джерела

  1. Matthew G, Osueni A, Carter Y. Esophageal Leiomyoma. StatPearls Publishing. https://www.ncbi.nlm.nih.gov/books/NBK459298. 2022. Accessed September 5th, 2022.
  2. Jiang W, Rice TW, Goldblum JR. Esophageal leiomyoma: experience from a single institution. Diseases of the Esophagus. 2013;26(2):167–174.
  3. Elbawab H, Fahad AlOtaibi A, Binammar AA, et al. Giant Esophageal Leiomyoma: Diagnostic and Therapeutic Challenges. American Journal of Case Reports. 2021;22(1):e934557-1–e934557-6.
  4. Tansir G, Dash NR, Galodha S, Das P, Shamim SA, Rastogi S. Carney’s triad in an adult male from a tertiary care center in India: a case report. J Med Case Rep. 2021;15(1):559.
  5. Mutrie C, Donahue D, Wain J, et al. Esophageal Leiomyoma: A 40-Year Experience. Annals of Thoracic Surgery. 2005;179(1):1122-1125.
  6. Pham DH, Nguyen ND, Do ML, et al. Video-assisted thoracoscopy or laparoscopy for enucleation of esophageal leiomyoma: A seven-year single center experience of 75 cases. Journal of Visceral Surgery. 2022;159(2):108-113.
  7. Yang PS, Lee KS, Lee SJ, et al. Esophageal Leiomyoma: Radiologic Findings in 12 Patients. Esophageal Leiomyoma: Radiologic Findings in 12 Patients. 2001;2(3):132-137.
  8. Codipilly DC, Fang H, Alexander JA, Katzka DA, Ravi K. Subepithelial esophageal tumors: a single-center review of resected and surveilled lesions. Gastrointestinal Endoscopy. 2018:87(2):370-377.
  9. Kaveh Sharzehi, Amrita Sethi, Thomas Savides. AGA Clinical Practice Update on Management of Subepithelial Lesions Encountered During Routine Endoscopy: Expert Review. Clinical Gastroenterology and Hepatology. 2022.
  10. Ivey N, Rochester SN, Bolton W, Stephenson J, Ben-Or S. Robotic resection of an esophageal leiomyoma. Multimed Man Cardiothorac Surg. 2020.
  11. Zhu S, Lin J, Huang S. Successful en bloc endoscopic full-thickness resection of a giant cervical esophageal leiomyoma originating from muscularis propria. J Cardiothorac Surg. 2019;14:16.
  12. Gadelkarim M, Harpole B, Abdelsattar Z. Totally robotic enucleation of a mid-esophageal leiomyoma. Multimed Man Cardiothorac Surg. 2022
Клінічні рекомендації щодо ведення пацієнтів з лейоміомами стравоходу Пухлини верхніх відділів шлунково-кишкового тракту - GMKA - Global Medical Knowledge Alliance