Blast Injuries
Authors
Classifications of Explosions
- Low-order Explosions: Explosions that react by rapid burning and produce subsonic shock wave (e.g. gunpowder, Molotov cocktails, etc.).
- High-order Explosions: Explosions that produce extreme heat, energy, and pressure which rapidly produce a over-pressurized supersonic shock waves in the “positive phase” and then produces a longer period of decreasing pressure which causes a vacuum effect during the “negative phase” (e.g. TNT, C-4, ammonium nitrate fuel oil, etc.). These waves are made more complex, and lethal, when the blast occurs underwater or in an enclosed space which prolongs the blast wave.
High-order explosions are more likely to produce a “blast wave”. This refers to the over-pressurized wave shock produced after the explosion. Both high-order explosions and low-order explosions can produce a “blast wind”. This refers to the forced high heated air flow that propagates after the explosion.
Mechanism of Injuries
- Primary: Results from the impact of the pressurized blast wave on body surfaces and thus unique for high-order explosions. It is most likely to affect air filled anatomical structures like lungs, gastrointestinal system, and middle ear. The tympanic membrane is most sensitive to blast injury and can be used to triage the likelihood of blast injury to the rest of the body. Primary injuries can also occur in mortar and other large, conventional weapons operators repeatedly firing large caliber projectiles. Some examples include: blast lung injuries from pulmonary barotrauma, visceral and hollow organ perforation, tympanic membrane rupture, globe rupture, traumatic brain injuries, and others.
- Secondary: Results from projectile debris and fragments of the casing or contents of the explosive devices or secondary fragments of surrounding objects. Depending on its velocity, temperature, size, or shape, it can affect any part of the body. Some examples include: penetrating fragmentation or blunt injuries, and globe penetration.
- Tertiary: Results from victims being thrown away by the blast wind or objects falling onto individuals. This can also affect any part of the body. Some examples include: various open or closed fractures, skull fractures, crush injuries, and others.
- Quaternary: Results from all other blast-related chemical, burn or radiation injuries, sequela diseases and injuries that don’t fall into the above injuries including complications and exacerbations of primary, secondary, or tertiary injuries. These can also affect any part of the body. Some examples include: burns, crush injuries, inhalation injuries, intoxications, angina, and other medical problems.
Selected Blast Injuries
Patients should be treated in the standard ATLS protocol addressing Airway, Breathing, Circulation, Disability, and Exposure in that order before moving on to addressing other injuries (1).
One caveat to this is that exsanguinating hemorrhage should be addressed immediately, either by a tourniquet placed proximal to an extremity injury or by packing & direct pressure elsewhere.
Given the complex injuries resulting from blast injuries, several injuries are easy to miss and we thus highlight some common injuries below. The goal of surgical management of blast injuries is damage control surgery.
Stop or shunt the bleeding, control contamination and leave in discontinuity, debride necrotic tissue and sources of infection, stabilize any long bone fractures, and apply a temporary closure – whether it be for thoracic, abdominal, or extremity injuries. This gives the surgeon time to address the likely other injured patients while the previous patient is resuscitated and can later return to the operating room for definitive management.
- Ear Injuries: Tympanic membrane rupture is another common primary injury that is overlooked. Common presenting symptoms include hearing loss, bleeding from external ear canal, tympanic membrane rupture, vertigo, or otalgia.
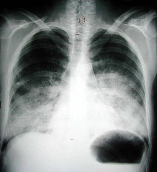
- Lung Injuries: (~15%). “Blast lung” is a major fatal primary injury among initial survivors unique to high-order explosions. This is characterized by clinical triad of apnea, bradycardia, and hypotension. Some of the presenting symptoms include dyspnea, shortness of breath, hemoptysis, or chest pain. A characteristic image finding is shown in figure 1, notably known as the “butterfly” pattern (or Bat wing appearance). Common pulmonary injuries include hemo/pneumothorax, pulmonary contusion, or pulmonary hemorrhage. Overt or occult pneumothoraces is another common injury. We recommend chest tube placement for occult pneumothoraces based on “the 35 mm rule”. Occult pneumothoraces measuring 35 mm or less on the axial CT scan (measuring the radial distance between the parietal/visceral pleura/mediastinum of the largest air pocket) can be safely observed with only 9% failure rate (2).
- Abdominal Injuries: (~20%). Hollow visceral injuries like the stomach, small or large intestines are most vulnerable to blast injuries. However, solid organ injuries like spleen (3) or hepatic injuries can also be included. They most likely cause bowel perforation, or rupture, hemorrhage, or mesenteric hematomas or shear injuries. Common presenting symptoms include abdominal pain, nausea, vomiting, hypotension, in addition to eFAST (4) findings of hemoperitoneum. Mesenteric injuries may present in a delayed fashion (days later).
- Extremity Injuries: (Arms ~40%, Legs ~50%). These are often in the form of “mangled” extremity injuries that involve complex injuries to the blood vessels, bones, and soft tissues of the extremity. Please see the corresponding module addressing these specific injuries.
- Brain Injuries: (~20%). Blast waves can cause primary or quaternary traumatic brain injuries as explained above. Common presenting symptoms include headache, confusion, or lethargy. Repeated blast injuries have been associated with cognitive impairment. Traumatic brain injuries in return have also been associated with increased risk of post-traumatic stress disorder (5, 6).
- Burns: Many patients injured in an explosion will have varying degrees of thermal injury. All burn wounds should be cleaned and dressed as sterilely as possible. It is also important to keep the patients warm as they will lose body heat in proportion to their burn size. Burns that involve the dermis or deeper (e.g. blister → desquamated → leathery → eschar) AND cover over 20% of the total body surface area (TBSA, approximately the surface area of the anterior chest & abdomen combined) should receive special resuscitation.
In a resource-limited setting, application of the “Rule of 10s” is advisable. Multiply the TBSA burned that involves the dermis or deeper by 10 and that is the hourly rate of lactated ringers to infuse (e.g. 35% TBSA x 10 = 350mL/hr). This should be titrated up or down by 25% to maintain a urine output of at least 0.5mL/kg/hr (>30kg/adults) or 1.0mL/kg/hr (<30kg/children). Total volumes exceeding the Ivy Index (250mL x weight in kg) over a 24 hour time period predict the risk of developing abdominal compartment syndrome. If transfer to a higher level of care/Burn Center is not immediately available, casualties with dermal burns exceeding 80% of TBSA may require being triaged as BLACK depending on resources available. Escharotomies (releasing of skin down to underlying adipose tissue) should be made along the same lines as fasciotomy incisions if circumferential on an extremity or in a box, “H”, or house shape if on the chest when they are impeding tidal volumes. Extremity escharotomies can be deepened to formal fasciotomies as indicated. Please see corresponding fasciotomy modules.
Triage of Blast Injury Patients
After a blast occurs, retrospective review has shown that 50% of casualties typically present within the first hour of the index patient, and ~75% by two hours. Typically half of patients presenting after a blast incident will require admission and up to 20% will require surgical intervention.
Patients should be triaged according to standard protocol into
- GREEN (walking wounded),
- YELLOW (delayed, non-life threatening),
- RED (immediate, likely to survive with intervention),
- BLACK (deceased/expectant, make comfortable).
RED patients should be treated first, followed by YELLOW. GREEN patients may be able to assist in the transport and care of other casualties. BLACK-triaged patients should be placed in a separate area with care focused on making the patients comfortable. It is important to remember that, when faced with a mass casualty situation, improperly over-triaging patients (e.g. triaging a patient as RED when they should be YELLOW or GREEN) will actually increase the overall mortality of all patients.
Suggested Blast Injury Triage Schema
Unexploded Ordnance (UXO) Management
Patients with retained UXO present a unique challenge to the treatment team. It should be first noted that, upon review of historical US casualty data, that all 31 known cases of retained UXO extraction were successful in safely removing and disposing of the munition (7).
UXOs come in a number of forms (e.g. mortars, rockets, RPGs, grenades, etc.) and have various triggering mechanisms (e.g. impact, time, distance, number of rotations, laser, and electromagnetic to name a few). If a patient is suspected to be injured with an embedded UXO, the designated UXO “bomb squad” should be notified immediately.
All providers, from the point-of-injury to surgical removal and controlled-detonation, should maintain precautions to include: flak jackets, ballistic eye protection and helmets, etc. If the patient is transported by vehicles they should be grounded to the vehicle so as not to electromagnetically trigger the device. This is particularly important when transporting by helicopter since the rotors create a very significant electrostatic charge.
The patient should be cared for as far as feasible from others (e.g. a parking lot) and should be triaged/operated on as non-emergent/last given the amount of time that will need to be devoted to that single patient. Sandbags should be placed surrounding the patient care area.
Avoid the following otherwise common medical treatment devices as they can trigger the device: ultrasound, CTs, monitors, electric pumps, defibrillator-type devices, “Bovie” electrocautery, etc.). However, x-ray machines have been used safely and can aid in diagnosing the type of weapon and likely injuries.
If possible, operate under regional or spinal anesthesia. Oxygen and other combustibles should be kept out of the operative area. The anesthesiologist should exit the area once the patient is induced. The surgeon should operate as gently as possible with minimal tissue/munition manipulation. Consider en bloc resection or amputation if appropriate.
Removing suspected biological and/or chemical munitions requires an even higher level discussion with the appropriate command authorities given the additional risks posed by such weapons beyond those of conventional munitions. The appropriate explosive disposal personnel should be immediately available at removal to safely dispose of the munition.
Practical Example of Injury Pattern
An unfortunate recent explosion that might help understand the blast-injury patterns is the “Beirut explosion”. On August 4th, 2020, Ammonium Nitrate, a high-order explosion, exploded in Beirut, Lebanon, resulting in the largest urban explosion since Hiroshima and Nagasaki, thus, taking away the lives of hundreds of victims and thousands of injuries (8). A study by Gebran, A, et al , described in their study entitled “The Beirut Port Explosion Injuries and Lessons Learned; Results of the Beirut Blast Assessment for Surgical Services (BASS) Multicenter Study” the different injury patterns observed in major hospital located at different distances from the port, the epicenter of the explosion.
They stated that most of the injuries treated in the victims were secondary injuries from shrapnel fragments, which is the common mechanism of injury seen in other explosions. Furthermore, the severity of the blast injuries were correlated with distance from the center of the explosion as a result of dissipation of the blast wave away from the explosion (9).
Summary
- Explosions can be broadly classified into Low-Order (subsonic) and High-Order (supersonic).
- High-Order explosions have a brief “positive phase” of high pressure followed by a longer “negative phase.”
- Blast injuries are classified into Primary (pressurized wave), Secondary (debris), Tertiary (victim thrown), & Quaternary (burns/chemical/other) categories.
- 50% of victims arrive in the 1st hour and 75% by 2 hours.
- When faced with a mass casualty situation, improperly over-triaging patients (e.g. triaging a patient as RED when they should be YELLOW or GREEN) will actually increase the overall mortality of all patients.
- The tympanic membrane is most sensitive to blast injury and can be used to triage the likelihood of blast injury to the rest of the body, especially lungs and hollow viscus.
- Burns should be cleaned, dressed, and the patient kept warm.
- Resuscitate burns that involve the dermis or deeper and are ≥ 20% TBSA using the “Rule of 10s.”
- Extraction & disposal of retained UXO is generally safe and feasible if performed with proper precautions.
References
- The ATLS Subcommittee, American College of Surgeons’ Committee on Trauma, and the International ATLS working group. Advanced trauma life support (ATLS®): The ninth edition. J Trauma Acute Care Surg [Internet]. 2013;74(5):1363–6. Available from: http://dx.doi.org/10.1097/ta.0b013e31828b82f5
- Bou Zein Eddine S, Boyle KA, Dodgion CM, Davis CS, Webb TP, Juern JS, et al. Observing pneumothoraces: The 35-millimeter rule is safe for both blunt and penetrating chest trauma. J Trauma Acute Care Surg [Internet]. 2019;86(4):557–64. Available from: http://dx.doi.org/10.1097/ta.0000000000002192
- Gill S, Hoff J, Mila A, Sanchez C, McKenney M, Elkbuli A. Post-traumatic splenic injury outcomes for nonoperative and operative management: A systematic review. World J Surg [Internet]. 2021;45(7):2027–36. Available from: http://dx.doi.org/10.1007/s00268-021-06063-x
- Canelli R, Leo M, Mizelle J, Shrestha GS, Patel N, Ortega R. Use of eFAST in patients with injury to the thorax or abdomen. N Engl J Med [Internet]. 2022;386(10):e23. Available from: http://dx.doi.org/10.1056/NEJMvcm2107283
- O’Neil ME, Carlson K, Storzbach D, Brenner L, Freeman M, Quiñones A, et al. Complications of mild traumatic brain injury in veterans and military personnel: A systematic review. 2013 [cited 2022 Mar 17]; Available from: https://www.ncbi.nlm.nih.gov/books/NBK189785/
- Rosenfeld JV, McFarlane AC, Bragge P, Armonda RA, Grimes JB, Ling GS. Blast-related traumatic brain injury. Lancet Neurol [Internet]. 2013;12(9):882–93. Available from: http://dx.doi.org/10.1016/S1474-4422(13)70161-3
- Gordon W, Talbot M, Fleming M, Shero J, Potter B, Stockinger ZT. High bilateral amputations and dismounted complex blast injury (DCBI). Mil Med [Internet]. 2018;183(suppl_2):118–22. Available from: http://dx.doi.org/10.1093/milmed/usy082
- Economist.-com. [cited 2022 Mar 17]. Available from: https://www.economist.com/graphic-detail/2020/08/05/the-beirut-blast-is-the-latest-tragedy-linked to-ammonium-nitrate
- Gebran A, Abou Khalil E, El Moheb M, Albaini O, El Warea M, Ibrahim R, et al. The Beirut port explosion injuries and lessons learned: Results of the Beirut blast assessment for surgical services (BASS) multicenter study. Ann Surg [Internet]. 2022;275(2):398–405. Available from: http://dx.doi.org/10.1097/sla.0000000000005322
- Dark lung fields [Internet]. Luc.edu. [cited 2022 Mar 17]. Available from: http://www.meddean.luc.edu/lumen/meded/medicine/pulmonar/cxr/atlas/butterfly.htm

