Gastrointestinal Stromal Tumors
Authors
Introduction
Gastrointestinal Stromal Tumor (GIST) is the most common sarcoma, with an annual incidence ranging from 2.1 to 19.7 new cases per million persons globally [1]. While GIST represents 80% of all malignant mesenchymal tumors of the gut, it comprises only 1% of all GI tract tumors [2]. The average age of diagnosis is in the mid-60s, with a slightly higher incidence and mortality in males [3].
Most GIST arise in the stomach (55-60%) and small intestine (30%) with fewer tumors occurring in the rectum (4%), colon (1-2%), and esophagus (0.5-1%) [2,4]. In addition, GIST has been known to occur in extra-intestinal locations, including the pelvis, peritoneum, mesentery, and omentum [5].
Originally, there was a misconception that GIST was a soft tissue tumor of smooth muscle origin (i.e., leiomyomas, leiomyoblastomas, and leiomyosarcomas), or neural crest origin (i.e., nerve sheath tumors). Today, GIST is recognized as a distinct subtype of soft tissue sarcoma [6].
In 1983, the term “stromal tumor” was first used to describe GIST, thereby defining these tumors as a separate entity. In the 1990s, it was discovered that most (but not all GIST) express CD34, a myeloid progenitor cell antigen [7]. However, the critical observation that GIST express KIT (also known as CD117) allowed for better diagnosis of these tumors [8].
Based on these discoveries, it was hypothesized that GIST originated from the Interstitial Cell of Cajal (ICC), a cell with a fibroblastic and smooth muscle phenotype that also expresses CD34 and KIT. First described in 1893 by Santiago Ramon y Cajal, the ICC is thought to play a role in peristalsis and is known as the “pacemaker” cell of the GI tract. After the histopathologic characteristics of GIST were established, multiple studies focused on the molecular mechanisms of its tumorigenesis. It is now believed that most GIST arise due to gain of function oncogenic mutations in genes such as KIT, which subsequently leads to enhanced cell proliferation [9].
But it is important to note that even though >95% of GIST express KIT, this does not necessarily imply that a given tumor has an oncogenic KIT mutation. That said, these discoveries led to the therapeutic targeting of GIST with drugs like imatinib, which inhibit KIT signaling. This, in turn, ushered in the era of precision medicine for solid tumors. As will be discussed in this review, the diagnosis and management of GIST requires a multidisciplinary approach involving gastroenterologists, pathologists, radiologists, surgical oncologists and medical oncologists in order to optimize patient care.
Symptoms
The symptoms caused by GIST are variable. Patients can be asymptomatic and often have tumors incidentally discovered on imaging or during a workup for another medical issue. For patients who are symptomatic, initial symptoms may be vague and non-specific. Mild pain, bloating, and/or reflux are common. As the tumor progresses and grows, mass effect of the tumor may cause symptoms such as anorexia, nausea, vomiting, digestive problems, weight loss, epigastric fullness, and/or early satiety. Patients may also present with symptoms of an acute GI bleed, including melena, hematochezia, or hematemesis.
Alternatively, GI bleeding may be occult and chronic, resulting in symptoms of chronic anemia, including dizziness, malaise, fatigue, headaches, chest pain, or exertional dyspnea. Rarely, patients may present with peritonitis due to tumor perforation and/or intra-peritoneal bleeding. The tumor location and growth pattern of GIST may also result in different presentations. Esophageal GISTs can result in dysphagia, whereas duodenal and colorectal GISTs can cause obstructive symptoms such as jaundice or constipation, respectively [10].
Rectal GISTs may also result in urinary symptoms. Taken together, there are no specific symptoms leading to the diagnosis of GIST. Additional workup should be pursued to narrow the differential diagnosis.
Diagnostic workup
Imaging
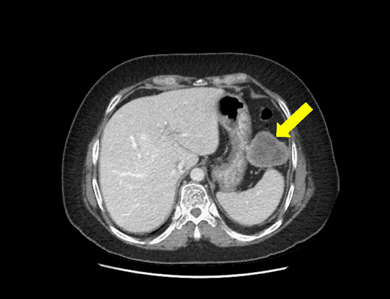
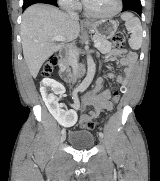
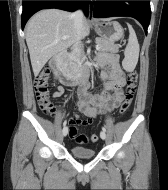
A proper workup of GIST requires imaging. GIST is best evaluated by cross-sectional imaging such as computed tomography (CT). They appear on CT scans as solid masses with smooth contours that are easily identified by IV contrast (Figure 1). Larger masses can show evidence of hemorrhage, necrosis, and degenerative areas on CT imaging, creating cavities or cysts that may contain air, air and fluid, or contrast medium. CT imaging can also assess for adjacent organ invasion and metastases [11].
GIST typically presents as protrusions arising from the bowel wall via either an endophytic or exophytic growth pattern. In cases where patients cannot receive IV contrast or have a primary rectal mass, magnetic resonance imaging (MRI) may prove useful. Positron emission tomography (PET) or PET-CT imaging is not frequently used to evaluate GIST or make a preoperative diagnosis. However, PET-CT is highly sensitive for monitoring treatment response, especially to drug therapy, in patients with metastatic GIST [12]. That said, CT alone is usually sufficient for following most patients unless there are diagnostic uncertainties.
Figure 1. Computed Tomography Scan of the Abdomen and Pelvis with IV Contrast.
Histology
Histology and immunohistochemistry (IHC) are essential tools for the diagnosis of GIST. This can safely be achieved via endoscopic ultrasound (EUS) with core needle biopsy (CNB, preferred) or with fine needle aspiration (FNA) of foregut and rectal GISTs. Tissue can also be safely obtained with a low risk of tumor track seeding via percutaneous biopsy of tumors that are not accessible by EUS.
When determining the diagnosis of GIST, both morphological characteristics, as well as immunohistochemical staining patterns, are considered. Generally, there are three major histologic morphology subtypes of GIST: spindeloid, epithelioid, and mixed (which contain both spindeloid and epithelioid features). Several immunostains are used to rule in and rule out the diagnosis of GIST. CD117 (i.e., KIT or c-KIT) and CD34 are currently used to diagnose GIST.
The majority of GISTs also express DOG-1 (Discovered on GIST-1), a calcium-activated chloride channel that is also known as ANO1 or TMEM16A. Typically, the diagnosis of GIST is made based on the association of positive immunostaining for KIT and DOG-1. Lastly, succinate dehydrogenase (SDH) B immunostaining is important for the detection of possible hereditary forms of GIST.
Both hereditary and non-hereditary SDH-deficient GISTs exhibit the loss of a functional SDH complex that eliminates the cell’s ability to convert succinate to fumarate during the Krebs cycle [13]. These tumors will lack staining for SDHB and are therefore termed SDH-deficient.
Oncogenic Mutations
GIST displays a complex molecular biology and genomic landscape due to the existence of different subgroups with distinct molecular hallmarks. Initially, the general consensus was that almost all GISTs were KIT mutant. However, over the past two decades, a number of other molecular driver mutations have been identified.
The most common mutation responsible for GIST (70-80%) is KIT. Among KIT mutants in GIST, two-thirds have mutations in exons 11, 15% in exon 9, and 1% in exons 13, 17, or 18. Approximately 10% are caused activating mutations in PDGFRA. About 5-7.5% of GIST can also be caused by mutations in SDHx (succinate dehydrogenase subunits A, B, C, and D). Mutations in the RAS pathway (i.e., BRAF, KRAS, and NF1) account for a relatively small fraction of tumors (3-5%). In recent years, gene fusions (i.e., ETV6-NTRK3, FGFR1-TACC1, FGFR1-HOOK3) have been discovered as additional drivers of GIST [14].
Different tumor biology results from these driver mutations, which subsequently affects therapeutic decision-making [15-17]. Because of this, both the National Comprehensive Cancer Network (NCCN) and European Society for Medical Oncology (ESMO) have deemed mutational analyses and genetic testing standard practice for GIST. Both guidelines strongly encourage including these tests in the diagnostic work-up for GIST, particularly in instances where systemic therapy is considered [18, 19].
Concerns about the cost-effectiveness of Next-Generation Sequencing (NGS) panels have also been studied. Overall, NGS-tailored therapy is more cost-effective and beneficial for GIST patients than an empiric one-size-fits-all approach [20]. However, not all countries and patients have equal access to molecular testing. Thus, additional clinical factors can be utilized to identify tumors that may possess mutations other than KIT.
Correlation between Tumor Location and Mutation Profile
Multiple studies have demonstrated that tumor location correlates with the mutational profile of GIST. Gastric GIST is predominantly affected by driver mutations in KIT (exon 11, spindeloid or mixed histology), PDGFRA (epithelioid or mixed histology), and SDHx (epithelioid or mixed histology). Meanwhile, GIST in the small bowel is more likely to contain mutations in KIT (exon 11 or 9), BRAF, and NF1, as well as gene fusions [21].
Colorectal GIST is almost exclusively KIT mutant. Even within the stomach and small intestine, there are correlations between location and mutational status. One study noted that within the stomach, proximal tumors in the cardia and fundus are predominantly KIT mutant, whereas tumors in the distal stomach are most often PDGFRA or SDHx mutant [22].
Within the small intestine, the duodenal-jejunal flexure, or Ligament of Treitz region, has been shown to be a hotspot for NF1 and BRAF mutations [23]. These correlations speak to likely differences in tumor biology and heterogeneity that are still under investigation.
Surgical management
Surgical Resection
Surgery is the mainstay of treatment for localized and locally advanced GIST. Complete surgical resection of GIST may provide long-term survival and excellent outcomes. The goals of resection include achieving complete histologic resection of the tumor with negative microscopic margins (R0 resection) and maximal organ preservation. In addition, total gross resection should be performed without tumor rupture. Because GIST is primarily known to spread hematogenously (the exception being SDH-deficient and gene fusion-positive GIST, which can spread through lymph nodes), lymphadenectomy is generally not recommended.
While R0 resections are ideal, positive microscopic margins (R1 resections) do not necessarily indicate an adverse outcome. In a study analyzing data from over 800 patients, it was determined that there was no difference in recurrence-free survival (RFS) whether postoperative (adjuvant) therapy was administered to those with R1 or R0 resections [24]. Accordingly, a resection specimen that shows microscopically positive margins is not recommended for re-excision in routine clinical practice. It is preferable to follow a watchful waiting approach, either with or without systemic adjuvant therapy.
Despite these findings, it is important to note that complete resection rates may decline with large tumors invading other organs, and recurrence rates may escalate due to intraoperative tumor rupture. With improved perioperative care, more extensive operations can be performed, but these are associated with higher morbidity [25].
Thus, the use of neoadjuvant imatinib (a tyrosine kinase inhibitor, TKI) therapy is recommended for patients with marginally resectable tumors or comorbidities that limit the extent of surgical procedures. This approach is a way to achieve R0 resection through local resection. To ensure negative surgical margins and minimize the risk of rupture, tumor shrinkage is essential in these scenarios. There should be a continuation of treatment until the maximal response is achieved or until further tumor shrinkage will not change the operative approach. While there is no consensus on the optimal duration of neoadjuvant imatinib therapy, most studies have used a course of treatment ranging from 3 to 12 months. In our practice, we usually treat for 8 to 9 months.
Patients with metastatic GIST can undergo cytoreductive surgery, leading to an improved RFS and overall survival (OS) when the disease is drug-responsive or stable on TKI therapy. Cytoreductive surgery aims to debulk visible disease in order to extend the period during which the disease is controlled by TKIs.
Postoperative Risk Stratification and Prognostication
It is important to consider the risk of recurrence following surgical resection. Following complete surgical resection of localized GIST, many guidelines and classification systems have been proposed to predict recurrence risk.
Fletcher et al. proposed the first accepted prognostic guidelines for GIST in 2002, which came to be known as the National Institutes of Health (NIH) criteria [26]. Tumors were classified into four risk categories based on size and mitotic index (MI)*: very low risk, low risk, intermediate risk, and high risk. The following year, Miettinen et al. found that the prognosis of GIST cases varies based on the location of the primary tumor, noting that non-gastric tumors have a greater chance of recurrence and metastasis compared to gastric tumors. Therefore, the Armed Forces Institute of Pathology (AFIP) risk classification system was developed, which incorporated this finding [27].
Later on, the presence of tumor rupture was found to be significantly associated with worse outcomes. Hence in 2008, Joensuu et al. proposed the modified NIH criteria, which includes tumor size, mitotic rate, tumor location (gastric or non-gastric), and the presence of tumor rupture [28] (Table 1).
*Mitotic Index (MI): Defined as mitoses per 50 high-power fields (older microscopes) = mitoses per 20 high-power fields (newer microscopes) = mitoses per 5 mm2.
Table 1. Overview of the Modified NIH Criteria for risk assessment in Gastrointestinal Stromal Tumors, including tumor size, mitotic rate, primary location (gastric or non-gastric), and tumor rupture.
Despite being reasonably accurate, the risk classification systems described above do not provide a quantitative assessment of patient risk. Instead, they categorize each patient according to their general risk of tumor recurrence. To mitigate this, Gold et al. developed a prognostic nomogram for RFS and help provide individual assessments of risk [29].
However, all these classification systems described above utilize categorical variables for MI and tumor size. This approach has potential for issues, in that a small change in one of these variables may result in a very large change in a patient’s predicted risk. For example, a 5.0 cm GIST in any location with MI of 5 is considered low risk, but a 5.1 cm GIST in any location with a MI of 6 is considered high risk. Thus, other approaches have been developed to address this problem. Instead of using categorical variables with specific cut-offs at 5 cm and MI >5, Joensuu et al. treated these factors as continuous nonlinear variables, and contour maps were developed to predict the risk of recurrence [30].
It has been found that this method is more effective than the AFIP or modified NIH criteria in predicting recurrence in patients with primary GIST who have undergone surgical resection. Even with these recent developments, however, the modified NIH criteria continues to be one of the most widely accepted and utilized prognostic and risk classification system for patients with GIST.
A final point to consider when determining risk of recurrence is that none of these systems were studied on patients who received neoadjuvant therapy. Therefore, in patients who receive neoadjuvant TKIs prior to resection, these systems are not appropriate to predict post-operative risk of recurrence.
Adjuvant Therapy for GIST
Imatinib is the FDA approved drug for the treatment of GIST in the adjuvant setting. This is effective for KIT exon 11 and KIT exon 9 mutant GIST. For patients who are deemed high risk (and sometimes intermediate risk) of recurrence as described above, adjuvant therapy is indicated. Adjuvant therapy has been shown to improve RFS and OS in patients with high-risk GIST who have undergone complete surgical resection. In a randomized phase 3 trial (SSGXVIII/AIO), 1 year and 3 years of adjuvant imatinib were compared. Three years of adjuvant imatinib resulted in higher RFS (71.0% vs 41.3%) and OS (97.3% vs 88.9%) [31].
A secondary analysis of this trial compared adjuvant imatinib administration for 3 years versus 1 year in patients with localized GIST after macroscopically complete resection. Based on a median follow-up time of 10 years after study entry, patients assigned to 3 years of imatinib had improved RFS and OS compared to those assigned to 1 year of imatinib. The 5 year and 10 year follow-up RFS were 71.4% and 52.5%, respectively, for the three-year adjuvant therapy group, and 53.0% and 41.8% for the one-year adjuvant therapy group. The 5 year OS and 10 year OS in the three-year group were 92.0% and 79.0%, respectively, and 85.5% and 65.3% in the 1 year group, respectively [32].
Soon thereafter, the PERCIST-5 trial, a prospective, single-arm, phase 2 clinical trial, was conducted. This trial investigated post-resection RFS and OS for GISTs treated with 5 years of adjuvant imatinib therapy. Overall, patients on 5 years of adjuvant therapy had a RFS of 90% and an OS of 95% [33].
Despite these findings, rates of recurrence increase 8-12 months after stopping therapy in most studies, suggesting that adjuvant treatment only suppresses the tumor but does not cure it. Thus, some GIST experts advocate for life-long imatinib in high-risk patients.
Drug therapies
Metastatic GIST
Metastatic GIST accounts for approximately 10 to 20% of cases. The majority of advanced GIST metastasizes to the liver (50–65%) and peritoneum (20–43%), and less frequently to bone (6%) and the lungs (2%) [34, 35]. As previously mentioned, GIST primarily spreads hematogenously, and rarely involves lymph nodes, except in SDHB-deficient GIST and gene fusion positive GIST.
The mainstay of treatment for metastatic GIST is systemic drug therapy. There are several agents that are available for the treatment of metastatic GIST. The choice of a biological agent depends on a tumor’s mutational status. Certain driver mutations are sensitive to different tyrosine kinase inhibitors (TKIs). As a result, all patients with metastatic disease, as well as those undergoing neoadjuvant or adjuvant systemic therapy, should undergo mutational profiling of their tumors to tailor therapy with the appropriate drug regimen.
Imatinib (Gleevec/Gleevac)
In 2001, Joensuu H et al. reported that STI571 (later called imatinib), which inhibits KIT tyrosine kinase activity, led to a dramatic response in a patient with advanced GIST [36]. Thus, an open-label, multicenter, randomized trial was conducted to evaluate imatinib’s effect on advanced GIST by Demetri GD et al. in 2002. Imatinib 400 mg or 600 mg was randomly assigned to patients. Both doses had a similar response rate. Overall, 79 patients (53.7%) had partial response (PR), while 41 patients (27.9%) had stable disease (SD). Treatment did not result in a complete response, and resistance was observed in 20 patients (13.6%) [37].
These results led to the FDA approval of imatinib for GIST. Interestingly, studies have suggested that imatinib treatment outcomes have improved over the past two decades. In one study, the Dutch GIST Registry (DGR) was utilized to evaluate progression-free survival (PFS) and OS in patients with advanced GIST treated with first-line imatinib, and compared these outcomes to those from the first randomized trials conducted 20 years ago. Overall, the DGR cohort demonstrated significantly longer OS and PFS compared to that of earlier trials (median OS 68 months vs 46.8 months; median PFS 33 months vs 19.5 months) [38]. Despite its efficacy, imatinib is not without some toxicities. Some of the side effects of imatinib include periorbital edema and swelling, as well as GI symptoms, musculoskeletal pain, arthralgia, blurry vision, flu-like symptoms, and sinus pain. In addition, patients receiving imatinib should be monitored for hypothyroidism.
Other TKI agents for GIST
Despite the efficacy of imatinib, many patients have tumors that either are refractory to imatinib due to primary resistance, or eventually develop secondary resistance through the acquisition of additional mutations in KIT. Ultimately, for those patients who are initially responsive to imatinib, approximately 50% of patients will develop resistance within 2 years of initiating therapy [39].
Sunitinib (Sutent) was FDA approved in 2006 as a second-line therapy for GIST. For patients with imatinib-resistant GIST, sunitinib provides longer PFS than placebo. A randomized, double-blind, placebo-controlled, multicenter, international trial (NCT00075218) demonstrated that sunitinib is effective in treating advanced GIST resistant to imatinib. There was a significant delay in tumor progression with sunitinib. Sunitinib treatment resulted in a median PFS of 27.3 weeks (95% confidence interval [CI] 16.0-32.1), whereas placebo treatment resulted in 6.4 weeks (95% CI 4.4-10.0) [40].
GIST patients are recommended to take sunitinib in a 6 week cycle, with 50 mg orally once daily for 4 weeks followed by 2 weeks off until the disease progression or toxicity is observed [41]. Adverse effects include abdominal pain, thrombocytopenia, bleeding events, hand-foot syndrome, mucositis, skin discoloration, and stomatitis.
Regorafenib (Stivarga) was FDA approved in the third-line setting in 2012 for use in patients with advanced GIST refractory to imatinib and sunitinib. The treatment plan is a 28 day cycle with oral administration of 160 mg once daily for 21 days followed by one week off [42].
The GRID trial, an international, multicenter, randomized, placebo-controlled phase 3 trial, recruited 240 GIST patients with advanced tumors and failure of previous imatinib or sunitinib therapy to determine their response to regorafenib or placebo [43]. Patients receiving regorafenib had improved median PFS (4.8 months vs 0.9 months for placebo) in the study. Furthermore, 75.9% of patients receiving regorafenib had either PR or SD, compared to 38.4% in the placebo arm. Adverse effects include pain (primarily abdominal), dysphonia, infection, hypertension, mucositis, rash, and fever.
Ripretinib (Qinlock) is the latest FDA approved TKI for adult patients with advanced GIST who previously received 3 or more TKIs. Ripretinib is a fourth-line treatment option for GIST patients who have not responded to three other prior treatment lines. It has a dual switch pocket inhibitory mechanism of action that blocks the kinase from achieving an active state. By switching on and off the tyrosine kinase, ripretinib inhibits a broad spectrum of KIT and PDGFRA mutations. A dose of 150 mg is recommended once daily. Ripretinib’s efficacy was evaluated in the INVICTUS trial. The trial included patients with GIST who had progressed on prior therapies with imatinib, sunitinib, or regorafenib [45].
Patients who received ripretinib demonstrated increased median PFS (median 6.3 months vs 1.0 months), increased OS (median 15.1 months vs 6.6 months), and superior overall response rate (ORR) (9% vs. 0%) compared to placebo. Ripretinib is generally well tolerated. However, adverse reactions may include alopecia, myalgia, decreased appetite, and palmar-plantar erythrodysesthesia. Increased lipase and decreased phosphate were the most common Grade 3 or 4 laboratory abnormalities.
Special Considerations: Avapritinib (Ayvakit)
The prevalence of PDGFRA mutations in GIST patients is approximately 10%. The PDGFRA exon 18 D842V mutation is the most common, and is characterized by primary resistance to imatinib and sunitinib. Therefore, it is not surprising that the survival rate of these patients with advanced disease was historically extremely low. In order to target KIT and PDGFRA, avapritinib was developed as a selective TKI [45, 46].
FDA approval for avapritinib was granted in January 2020. Oral administration of 300 mg once daily is recommended. The NAVIGATOR trial was a two-part, open-label, dose-escalation/dose-expansion phase 1 study, including 56 patients with PDGFRA D842V mutant tumors [45].
Following treatment with avapritinib in the PDGFRA D842V cohort, an 89% ORR was achieved, with an 8% complete response rate (CR) and an 82% PR rate. This study did not reach the median duration of response (DOR) (range: 1.9+ to 22+ months). Despite its efficacy, there are several side effects associated with avapritinib, including cognitive impairment, mood changes, hallucinations, hair color changes, increased lacrimation, and abdominal pain. Patients should be monitored for intracranial hemorrhage.
Tissue Agnostic Therapies:
Larotrectinib (Vitrakvi)/Entrectinib (Rozlytrek) & Dabrafenib (Tafinlar)/Trametinib (Mekinist)
In the past 5 years, there have been multiple drugs that have been approved based on the genomic alterations of a tumor, rather than the tissue from which a tumor originated from. These so-called “tissue agnostic therapies” highlight the importance of characterizing GIST by specific genomic features, and further emphasize the need to stop treating GIST as a one-size-fits-all disease. Below are a few such drugs or drug combinations that may be employed in GIST.
The ETV6-NTRK3 and FGFR1 gene fusions have been identified as potential targets for the treatment of GIST [16]. Inhibitors of the TRK family of proteins, larotrectinib (Vitrakvi), and entrectinib (Rozlytrek), are small-molecule inhibitors with high specificity. Approval for larotrectinib came following the trial by Drilon et al., where children and adults with unresectable, locally advanced, solid organ tumors with identified NTRK gene fusions were treated with larotrectinib in a histology-independent manner. According to RECIST criteria, the ORR was 75% (95% CI, 61-85%) [47].
The FDA recommends 100 mg twice a day, and 100 mg/m2 twice a day for pediatric patients. Monitoring is critical for cognitive deficits, fractures, and liver toxicity. Elevated ALT, AST, and alkaline phosphatase levels can occur. Anemia, hypoalbuminemia, neutropenia, leukopenia, hypocalcemia, lymphopenia, and pyrexia are other adverse reactions.
Meanwhile, entrectinib was evaluated in phase 1 and 2 trials (STARTRK-NG/NCT02650401, STARTRK-1/NCT02097810, and STARTRK-2/NCT02568267), where patients with metastatic or locally advanced solid tumors harboring NTRK1/2/3 fusion tumors were treated with the drug. Starting at 100 mg a day, entrectinib was gradually increased to 1600 mg. In the second trial, 800 mg was used, and in the third trial, 600 mg. The ORR was encouraging, with 7% achieving CR, and 50% achieving PR. The median DOR was 10 months [48]. The FDA recommends 600 mg once daily of entrectinib. Heart and central nervous system (CNS) effects should be monitored. Other side effects include vision disorders, arthralgia, pyrexia, cognitive impairment, and dysgeusia.
An FDA approved combination therapy, dabrafenib (Tafinlar) and trametinib (Mekinist), is one of the latest treatments approved in 2022 for unresectable BRAF V600E metastatic solid tumors, including GIST, that have not responded to any previous alternative treatment in adults and children aged 6 years and older. Clinical trials have demonstrated the efficacy of this combination therapy in patients with BRAF V600E mutations with a wide variety of histologies, including solid tumors, who have failed to respond or have progressed on prior therapies. A total of 131 patients with solid tumors that harbored a BRAF V600E mutation were enrolled as part of the BRF117019 (NCT02034110) [49, 50], and NCI-MATCH [51] trials, as well as 36 pediatric patients on the CTMT212X2101 trial [52]. The ORR was 41% (n=54 patients, 95% CI 33-50%) for adult patients and 25% (95% CI 12-42%) for pediatric patients.
One GIST patient was evaluated as part of the trials, but given the small sample size, no reliable outcome data was established. The most common adverse reactions to this combination therapy include new primary malignancies (cutaneous/non-cutaneous), hemorrhage, cardiomyopathy, ocular toxicities/uveitis, serious skin toxicities, inflammation or perforation of the stomach or intestines, and hyperglycemia. A unique adverse effect for these drugs is tumor promotion, where BRAF inhibitors may paradoxically increase MAPK signaling and thereby promote cell proliferation for tumors without BRAF mutations. Trametinib 2 mg orally once daily and dabrafenib 150 mg orally twice daily in the form of two 75 mg capsules are the recommended doses for adults. Pediatric patients are prescribed dabrafenib and trametinib based on their body weight. The combination is not recommended for patients under 26 kg (57.3 lbs.).
GIST Syndromes
About 5-10% of GIST may present as part of a syndrome or hereditary disease, depending upon the study.
Neurofibromatosis Type 1
Neurofibromatosis Type 1 (NF-1) is a common genetic disorder, classically associated with café au lait spots, axillary freckling, multiple dermal neurofibromas, and ocular hamartomas. Patients with NF-1 are at an increased risk of developing several tumors including GIST. The majority of GISTs associated with the NF1 gene mutation do not have mutations in KIT or PDGFRA [53, 54].
NF-1 related GIST are usually asymptomatic, small, mitotically inactive, and tend to grow in a multifocal pattern within the small intestine [55, 56]. These are resistant to the aforementioned TKIs.
Carney-Stratakis Syndrome / Carney Triad
SDH-deficient GIST can be either hereditary (i.e., Carney-Stratakis Syndrome or Familial Paraganglioma-GIST Syndrome) or sporadic (i.e., Carney Triad or so-called SDH epimutant). Carney-Stratakis Syndrome is an autosomal dominant disorder with germline SDHA, SDHB, SDHC, or SDHD mutations. This disorder primarily affects adolescents and young adults, with a median onset age of 19, but can occur throughout life. Patients may develop gastric GIST and/or paragangliomas.
The Carney Triad includes gastric GIST, paraganglioma, and pulmonary chondroma due to epigenetic silencing of the SDHC gene. It typically occurs in pediatric and adolescent females. These tumors behave indolently with a very low mortality rate [57].
Familial GIST
Familial GIST is the result of an autosomal dominant mutation in KIT or PDGFRA [58]. In most cases, it is diagnosed in mid-life when multiple GISTs are present, sometimes in a diffuse manner. It is possible for tumors to be indolent or aggressive, and patients may present with additional symptoms such as hyperpigmented skin, mastocytosis, and dysphagia [59].
Controversy over gist treatment
There remain several controversial areas in GIST management. Below are several topics that still require further investigation:
Length of Adjuvant Imatinib Therapy
As mentioned previously, adjuvant therapy with imatinib has been shown to improve outcomes in patients at high risk of recurrence. However, the duration of imatinib therapy after surgical resection remains up for debate. The SSGXVIII/AIO trial demonstrated that 3 years of adjuvant imatinib improves RFS and OS [60]. Another study, the PERCIST-5 study, took the SSGXVIII/AIO trial one step further and investigated 5 years of adjuvant imatinib therapy [33].
While early results indicated that 5 years of therapy improved outcomes, with a 5-year RFS of 90% and OS of 95%, the study itself had major issues, including no randomization structure or matched controls, making it difficult to conclude if 5 years of therapy is indeed superior to 3 years [33]. Ultimately, while 3 years of adjuvant therapy is the gold standard, many GIST experts will advocate for life-long adjuvant therapy in high-risk patients. These standards may change in the near future. Two clinical trials are underway, which aim to address the deficiencies of the PERCIST-5 trial. In one clinical trial (NCT02413736), patients with high-risk GIST who received adjuvant imatinib therapy will be randomized to receive 5 total years of imatinib vs the standard 3 years and compare risk of recurrence. In a second trial (NCT02260505), patients will be randomized to receive 3 additional years of therapy. Interestingly, this trial will also study whether the re-introduction of imatinib at relapse for those who discontinue therapy is still an efficient treatment for GIST.
Small GIST
Small GIST is defined as GIST smaller than 2 cm in size. Some studies have indicated that small GIST represents indolent disease, and only rarely metastasizes or represents malignant entities. As a result, some experts recommend observation. However, recent evidence suggests that even small GIST is subject to increased metastatic growth [61].
The malignant potential of small GIST depends on numerous factors, including location and characteristics on imaging or EUS. Small GIST within the stomach without worrisome features may be watched periodically, while those that are extra-gastric merit surgical resection.
Cytoreductive Surgery
Cytoreductive surgery (CRS) is another controversial treatment modality for metastatic GIST. It is thought that by performing CRS, one can reduce overall tumor burden, decrease the risk of developing secondary resistance mutations that may render TKIs ineffective, and thereby “reset the clock” for a tumor’s progression. There have been a few studies that have examined the efficacy of CRS. Fairweather et al. studied 323 patients with metastatic GIST treated with TKIs and underwent CRS. Patients were classified as having responsive disease (RD), stable disease (SD), unifocal progressive disease (UPD), or multifocal progressive disease (MPD) based on CT imaging. Patients with better radiographic responses to imatinib were found to have longer median PFS (RD 36 months, SD 30 months, UPD 11 months, MPD 6 months) from the time of surgery, as well as improved median OS (RD not reached, SD 110 months, UPD 59 months, MPD 24 months) [62].
Another study suggested that CRS may provide long-term control of disease when R0 or R1 resection can be performed (OS 8.7 years vs 5.3 years for those without R0/R1 resection) [63]. Despite these encouraging studies, randomized clinical trials have largely failed due to poor enrollment. However, the data suggests that CRS in patients with metastatic GIST may be considered, especially in those with disease responsive to TKIs who are earlier in their disease course.
Summary
GIST is the most common mesenchymal tumor of the GI tract, and is a genomically heterogeneous group of neoplasms that require careful diagnosis and mutational profiling before treatment. While surgery is the mainstay of treatment, systemic therapy is an important modality of treatment and should be highly tailored to the mutational status of the tumor itself.
Our understanding of GIST has dramatically changed over the past three decades, and has allowed for a precision-oriented, multi-disciplinary approach to treatment that has substantially improved patient outcomes for this disease.
References
- Coe TM, Fero KE, Fanta PT, Mallory RJ, Tang CM, Murphy JD, et al. Population-Based Epidemiology and Mortality of Small Malignant Gastrointestinal Stromal Tumors in the USA. J Gastrointest Surg. 2016;20(6):1132-40.
- Ma GL, Murphy JD, Martinez ME, Sicklick JK. Epidemiology of gastrointestinal stromal tumors in the era of histology codes: results of a population-based study. Cancer Epidemiol Biomarkers Prev. 2015;24(1):298-302.
- Rong J, Chen S, Song C, Wang H, Zhao Q, Zhao R, et al. The prognostic value of gender in gastric gastrointestinal stromal tumors: a propensity score matching analysis. Biol Sex Differ. 2020;11(1):43.
- Miettinen M, Lasota J. Gastrointestinal stromal tumors–definition, clinical, histological, immunohistochemical, and molecular genetic features and differential diagnosis. Virchows Arch. 2001;438(1):1-12.
- Miettinen M, Lasota J. Gastrointestinal stromal tumors: pathology and prognosis at different sites. Semin Diagn Pathol. 2006;23(2):70-83.
- Roland CL, BW F. History of GIST. In: Scoggins CR, Raut CP, Mullen JT, eds. Gastrointestinal Stromal Tumors: Bench to Bedside. Springer International Publishing; 2017:1-5. Accessed July 1, 2021.
- Miettinen M, Virolainen M, Maarit-Sarlomo-Rikala. Gastrointestinal stromal tumors–value of CD34 antigen in their identification and separation from true leiomyomas and schwannomas. Am J Surg Pathol. 1995;19(2):207-16.
- Sarlomo-Rikala M, Kovatich AJ, Barusevicius A, Miettinen M. CD117: a sensitive marker for gastrointestinal stromal tumors that is more specific than CD34. Mod Pathol. 1998;11(8):728-34.
- Corless CL, Fletcher JA, Heinrich MC. Biology of gastrointestinal stromal tumors. J Clin Oncol. 2004;22(18):3813-25.
- Caterino S, Lorenzon L, Petrucciani N, Iannicelli E, Pilozzi E, Romiti A, et al. Gastrointestinal stromal tumors: correlation between symptoms at presentation, tumor location and prognostic factors in 47 consecutive patients. World J Surg Oncol. 2011;9:13.
- Tateishi U, Hasegawa T, Satake M, Moriyama N. Gastrointestinal stromal tumor. Correlation of computed tomography findings with tumor grade and mortality. J Comput Assist Tomogr. 2003;27(5):792-8.
- Heinicke T, Wardelmann E, Sauerbruch T, Tschampa HJ, Glasmacher A, Palmedo H. Very early detection of response to imatinib mesylate therapy of gastrointestinal stromal tumours using 18fluoro-deoxyglucose-positron emission tomography. Anticancer Res. 2005;25(6C):4591-4.
- Burgoyne AM, Somaiah N, Sicklick JK. Gastrointestinal stromal tumors in the setting of multiple tumor syndromes. Curr Opin Oncol. 2014;26(4):408-14.
- Shi E, Chmielecki J, Tang C-M, Wang K, Heinrich MC, Kang G, et al. FGFR1 and NTRK3 actionable alterations in “Wild-Type” gastrointestinal stromal tumors. Journal of Translational Medicine. 2016;14(1):339.
- Hechtman JF, Zehir A, Mitchell T, Borsu L, Singer S, Tap W, et al. Novel oncogene and tumor suppressor mutations in KIT and PDGFRA wild type gastrointestinal stromal tumors revealed by next generation sequencing. Genes Chromosomes Cancer. 2015;54(3):177-84.
- Shi E, Chmielecki J, Tang CM, Wang K, Heinrich MC, Kang G, et al. FGFR1 and NTRK3 actionable alterations in “Wild-Type” gastrointestinal stromal tumors. J Transl Med. 2016;14(1):339.
- Brenca M, Rossi S, Polano M, Gasparotto D, Zanatta L, Racanelli D, et al. Transcriptome sequencing identifies ETV6-NTRK3 as a gene fusion involved in GIST. J Pathol. 2016;238(4):543-9.
- Casali PG, Blay JY, Abecassis N, Bajpai J, Bauer S, Biagini R, et al. Gastrointestinal stromal tumours: ESMO-EURACAN-GENTURIS Clinical Practice Guidelines for diagnosis, treatment and follow-up. Ann Oncol. 2022;33(1):20-33.
- Network NCC. Gastrointestinal Stromal Tumors (Version 1.2022) 2022 [Available from: https://www.nccn.org/professionals/physician_gls/pdf/gist.pdf.
- Banerjee S, Kumar A, Lopez N, Zhao B, Tang CM, Yebra M, et al. Cost-effectiveness Analysis of Genetic Testing and Tailored First-Line Therapy for Patients With Metastatic Gastrointestinal Stromal Tumors. JAMA Netw Open. 2020;3(9):e2013565.
- Szucs Z, Thway K, Fisher C, Bulusu R, Constantinidou A, Benson C, et al. Molecular subtypes of gastrointestinal stromal tumors and their prognostic and therapeutic implications. Future Oncol. 2017;13(1):93-107.
- Sharma AK, de la Torre J, IJzerman NS, Sutton TL, Zhao B, Khan TM, et al. Location of Gastrointestinal Stromal Tumor (GIST) in the Stomach Predicts Tumor Mutation Profile and Drug Sensitivity. Clin Cancer Res. 2021;27(19):5334-42.
- Burgoyne AM, Siena MD, Alkhuziem M, Tang C-M, Medina B, Fanta PT, et al. Duodenal-Jejunal Flexure GI Stromal Tumor Frequently Heralds Somatic NF1 and Notch Pathway Mutations. JCO Precision Oncology. 2017(1):1-12.
- McCarter MD, Antonescu CR, Ballman KV, Maki RG, Pisters PW, Demetri GD, et al. Microscopically positive margins for primary gastrointestinal stromal tumors: analysis of risk factors and tumor recurrence. J Am Coll Surg. 2012;215(1):53-9; discussion 9-60.
- Dematteo RP, Gold JS, Saran L, Gönen M, Liau KH, Maki RG, et al. Tumor mitotic rate, size, and location independently predict recurrence after resection of primary gastrointestinal stromal tumor (GIST). Cancer. 2008;112(3):608-15.
- Fletcher CD, Berman JJ, Corless C, Gorstein F, Lasota J, Longley BJ, et al. Diagnosis of gastrointestinal stromal tumors: A consensus approach. Hum Pathol. 2002;33(5):459-65.
- Miettinen M, Lasota J. Gastrointestinal stromal tumors: review on morphology, molecular pathology, prognosis, and differential diagnosis. Arch Pathol Lab Med. 2006;130(10):1466-78.
- Joensuu H. Risk stratification of patients diagnosed with gastrointestinal stromal tumor. Hum Pathol. 2008;39(10):1411-9.
- Gold JS, Gonen M, Gutierrez A, Broto JM, Garcia-del-Muro X, Smyrk TC, et al. Development and validation of a prognostic nomogram for recurrence-free survival after complete surgical resection of localised primary gastrointestinal stromal tumour: a retrospective analysis. Lancet Oncol. 2009;10(11):1045-52.
- Joensuu H, Vehtari A, Riihimäki J, Nishida T, Steigen SE, Brabec P, et al. Risk of recurrence of gastrointestinal stromal tumour after surgery: an analysis of pooled population-based cohorts. Lancet Oncol. 2012;13(3):265-74.
- Joensuu H, Wardelmann E, Sihto H, Eriksson M, Sundby Hall K, Reichardt A, et al. Effect of KIT and PDGFRA Mutations on Survival in Patients With Gastrointestinal Stromal Tumors Treated With Adjuvant Imatinib: An Exploratory Analysis of a Randomized Clinical Trial. JAMA Oncol. 2017;3(5):602-9.
- Joensuu H, Eriksson M, Sundby Hall K, Reichardt A, Hermes B, Schütte J, et al. Survival Outcomes Associated With 3 Years vs 1 Year of Adjuvant Imatinib for Patients With High-Risk Gastrointestinal Stromal Tumors: An Analysis of a Randomized Clinical Trial After 10-Year Follow-up. JAMA Oncol. 2020;6(8):1241-6.
- Raut CP, Espat NJ, Maki RG, Araujo DM, Trent J, Williams TF, et al. Efficacy and Tolerability of 5-Year Adjuvant Imatinib Treatment for Patients With Resected Intermediate- or High-Risk Primary Gastrointestinal Stromal Tumor: The PERSIST-5 Clinical Trial. JAMA Oncol. 2018;4(12):e184060.
- Li B, Chen H, Yang S, Chen F, Xu L, Li Y, et al. Advances in immunology and immunotherapy for mesenchymal gastrointestinal cancers. Mol Cancer. 2023;22(1):71.
- Yu X, Liang X, Wen K. Clinical characteristics and prognosis of gastrointestinal stromal tumors with rare site metastasis (Review). Oncol Lett. 2022;24(6):453.
- Joensuu H, Roberts PJ, Sarlomo-Rikala M, Andersson LC, Tervahartiala P, Tuveson D, et al. Effect of the tyrosine kinase inhibitor STI571 in a patient with a metastatic gastrointestinal stromal tumor. N Engl J Med. 2001;344(14):1052-6.
- Demetri GD, von Mehren M, Blanke CD, Van den Abbeele AD, Eisenberg B, Roberts PJ, et al. Efficacy and safety of imatinib mesylate in advanced gastrointestinal stromal tumors. N Engl J Med. 2002;347(7):472-80.
- Mohammadi M, IJzerman NS, Hollander DD, Bleckman RF, Oosten AW, Desar IME, et al. Improved Efficacy of First-Line Imatinib in Advanced Gastrointestinal Stromal Tumors (GIST): The Dutch GIST Registry Data. Target Oncol. 2023;18(3):415-23.
- Gramza AW, Corless CL, Heinrich MC. Resistance to Tyrosine Kinase Inhibitors in Gastrointestinal Stromal Tumors. Clin Cancer Res. 2009;15(24):7510-8.
- Demetri GD, van Oosterom AT, Garrett CR, Blackstein ME, Shah MH, Verweij J, et al. Efficacy and safety of sunitinib in patients with advanced gastrointestinal stromal tumour after failure of imatinib: a randomised controlled trial. Lancet. 2006;368(9544):1329-38.
- Goodman VL, Rock EP, Dagher R, Ramchandani RP, Abraham S, Gobburu JV, et al. Approval summary: sunitinib for the treatment of imatinib refractory or intolerant gastrointestinal stromal tumors and advanced renal cell carcinoma. Clin Cancer Res. 2007;13(5):1367-73.
- Ben-Ami E, Barysauskas CM, von Mehren M, Heinrich MC, Corless CL, Butrynski JE, et al. Long-term follow-up results of the multicenter phase II trial of regorafenib in patients with metastatic and/or unresectable GI stromal tumor after failure of standard tyrosine kinase inhibitor therapy. Ann Oncol. 2016;27(9):1794-9.
- Demetri GD, Reichardt P, Kang YK, Blay JY, Rutkowski P, Gelderblom H, et al. Efficacy and safety of regorafenib for advanced gastrointestinal stromal tumours after failure of imatinib and sunitinib (GRID): an international, multicentre, randomised, placebo-controlled, phase 3 trial. Lancet. 2013;381(9863):295-302.
- Blay JY, Serrano C, Heinrich MC, Zalcberg J, Bauer S, Gelderblom H, et al. Ripretinib in patients with advanced gastrointestinal stromal tumours (INVICTUS): a double-blind, randomised, placebo-controlled, phase 3 trial. Lancet Oncol. 2020;21(7):923-34.
- Heinrich MC, Jones RL, von Mehren M, Schoffski P, Serrano C, Kang YK, et al. Avapritinib in advanced PDGFRA D842V-mutant gastrointestinal stromal tumour (NAVIGATOR): a multicentre, open-label, phase 1 trial. Lancet Oncol. 2020;21(7):935-46.
- Jones RL, Serrano C, von Mehren M, George S, Heinrich MC, Kang YK, et al. Avapritinib in unresectable or metastatic PDGFRA D842V-mutant gastrointestinal stromal tumours: Long-term efficacy and safety data from the NAVIGATOR phase I trial. Eur J Cancer. 2021;145:132-42.
- Drilon A, Laetsch TW, Kummar S, DuBois SG, Lassen UN, Demetri GD, et al. Efficacy of Larotrectinib in TRK Fusion-Positive Cancers in Adults and Children. N Engl J Med. 2018;378(8):731-9.
- Doebele RC, Drilon A, Paz-Ares L, Siena S, Shaw AT, Farago AF, et al. Entrectinib in patients with advanced or metastatic NTRK fusion-positive solid tumours: integrated analysis of three phase 1-2 trials. Lancet Oncol. 2020;21(2):271-82.
- Subbiah V, Kreitman RJ, Wainberg ZA, Cho JY, Schellens JHM, Soria JC, et al. Dabrafenib and Trametinib Treatment in Patients With Locally Advanced or Metastatic BRAF V600-Mutant Anaplastic Thyroid Cancer. J Clin Oncol. 2018;36(1):7-13.
- Subbiah V, Kreitman RJ, Wainberg ZA, Gazzah A, Lassen U, Stein A, et al. Dabrafenib plus trametinib in BRAFV600E-mutated rare cancers: the phase 2 ROAR trial. Nat Med. 2023;29(5):1103-12.
- Salama AKS, Li S, Macrae ER, Park JI, Mitchell EP, Zwiebel JA, et al. Dabrafenib and Trametinib in Patients With Tumors With. J Clin Oncol. 2020;38(33):3895-904.
- Site NI. NCT02124772
Study to Investigate Safety, Pharmacokinetic (PK), Pharmacodynamic (PD) and Clinical Activity of Trametinib in Subjects With Cancer or Plexiform Neurofibromas and Trametinib in Combination With Dabrafenib in Subjects With Cancers Harboring V600 Mutations. Phase 1|Phase 2. ClinicalTrialgov. July 14, 2021. - Andersson J, Sihto H, Meis-Kindblom JM, Joensuu H, Nupponen N, Kindblom LG. NF1-associated gastrointestinal stromal tumors have unique clinical, phenotypic, and genotypic characteristics. Am J Surg Pathol. 2005;29(9):1170-6.
- Kinoshita K, Hirota S, Isozaki K, Ohashi A, Nishida T, Kitamura Y, et al. Absence of c-kit gene mutations in gastrointestinal stromal tumours from neurofibromatosis type 1 patients. J Pathol. 2004;202(1):80-5.
- Yantiss RK, Rosenberg AE, Sarran L, Besmer P, Antonescu CR. Multiple gastrointestinal stromal tumors in type I neurofibromatosis: a pathologic and molecular study. Mod Pathol. 2005;18(4):475-84.
- Ylä-Outinen H, Loponen N, Kallionpää RA, Peltonen S, Peltonen J. Intestinal tumors in neurofibromatosis 1 with special reference to fatal gastrointestinal stromal tumors (GIST). Mol Genet Genomic Med. 2019;7(9):e927.
- Carney JA. Gastric stromal sarcoma, pulmonary chondroma, and extra-adrenal paraganglioma (Carney Triad): natural history, adrenocortical component, and possible familial occurrence. Mayo Clin Proc. 1999;74(6):543-52.
- Nishida T, Hirota S, Taniguchi M, Hashimoto K, Isozaki K, Nakamura H, et al. Familial gastrointestinal stromal tumours with germline mutation of the KIT gene. Nat Genet. 1998;19(4):323-4.
- Beghini A, Tibiletti MG, Roversi G, Chiaravalli AM, Serio G, Capella C, et al. Germline mutation in the juxtamembrane domain of the kit gene in a family with gastrointestinal stromal tumors and urticaria pigmentosa. Cancer. 2001;92(3):657-62.
- Eisenberg BL. The SSG XVIII/AIO trial: results change the current adjuvant treatment recommendations for gastrointestinal stromal tumors. Am J Clin Oncol. 2013;36(1):89-90.
- Blackstein ME, Blay JY, Corless C, Driman DK, Riddell R, Soulières D, et al. Gastrointestinal stromal tumours: consensus statement on diagnosis and treatment. Can J Gastroenterol. 2006;20(3):157-63.
- Fairweather M, Balachandran VP, Li GZ, Bertagnolli MM, Antonescu C, Tap W, et al. Cytoreductive Surgery for Metastatic Gastrointestinal Stromal Tumors Treated With Tyrosine Kinase Inhibitors: A 2-institutional Analysis. Ann Surg. 2018;268(2):296-302.
- Bauer S, Rutkowski P, Hohenberger P, Miceli R, Fumagalli E, Siedlecki JA, et al. Long-term follow-up of patients with GIST undergoing metastasectomy in the era of imatinib — analysis of prognostic factors (EORTC-STBSG collaborative study). Eur J Surg Oncol. 2014;40(4):412-9.


