Зовнішня фіксація переломів верхньої кінцівки/нижньої кінцівки/навколосуглобових переломів за умови обмежених ресурсів

Read in English

I. Вступ

  • Зовнішню фіксацію переломів може бути виконано в обмежених умовах без використання рентгенологічного дослідження
  • В ідеалі штифти мають бути встановлені так, щоб мінімізувати вплив на майбутню внутрішню фіксацію

II. Встановлення штифтів

A. Має бути встановлено наступним чином:
Ознайомтеся з відео на Vimeo – Зовнішня фіксація – Joe Hsu, MD
  1. Зробіть невеликий вертикальний розріз у місці встановлення штифта
  2. Тупим шляхом розширте доступ до кістки
  3. Зарядіть штифт у дриль або ручний драйвер і введіть штифт у розріз, доки штифт не торкнеться кістки
  4. Використовуйте кінчик штифта для того, щоб визначити обидва краї кістки
    • Наприклад, бічне введення штифта в стегнову кістку має здійснюватися через середню частину діафіза
    • “Пройдіться” штифтом спереду та ззаду, щоб відчути краї кістки та визначити середню частину.
  5. Просувайте штифт через перший кортикальный шар; вчасно зупиніться після проходження  другого кортикального шару, щоб уникнути надмірного проникнення штифта за межі кістки (зобр 1. Уникайте надмірного проникнення штифта незалежно від місця його встановлення. Як тільки штифт зовнішнього фіксатора увійде в другий кортикальний шар, потрібно ще 4 або 5 оборотів, щоб просунути штифт належним чином без надмірного проникнення).
Зобр. 1
  1. Наступне встановлення штифтів на ту ж кістку слід проводити паралельно, щоб затискачі «штифт-стрижень» могли без проблем зафіксувати обидва елементи штифта; затискачі можуть використовуватися як орієнтири для встановлення штифтів
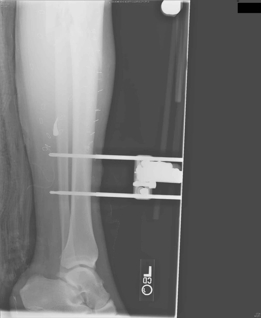
  2. Уникайте встановлення штифта занадто близько до місця перелому (штифти всередині самого перелому зменшать здатність зовнішнього фіксатора підтримувати стабільність перелому) (зобр. 2 і зобр. 3. Рентгенологічний знімок цієї гомілки у прямій проекції передбачає адекватне розміщення зовнішнього фіксатора, проте на бічному знімку видно, що проксимальний штифт дистальної групи штифтів знаходиться всередині перелому).
Зобр. 2
Зобр. 3
  1. Якщо переломи поширюються на суглобову поверхню, для охоплення суглобів можуть бути встановлені зовнішні фіксатори
B. Стегнова кістка
  1. Напівштифти можуть бути встановлені в будь-якій точці латеральної сторони стегнової кістки з низьким ризиком для нервово-судинних структур; надмірне проникнення в медіальний кортикальний шар може призвести до підвищеного ризику пошкодження глибокої стегнової артерії
  2. Передні напівштифти можуть бути використані в середній частині діафізу; проте задній кортикальний шар не повинен бути задіяний, щоб не травмувати сідничний нерв
  3. Трансфіксаційні штифти можуть бути встановлені дистально, проте необхідно забезпечити достатню проксимальну відстань від капсули колінного суглоба; штифти повинні бути встановлені медіально та латерально
  4. див. схему 1. Встановлення штифтів у безпечній зоні для середньої частини діафізу стегнової кістки. Латеральні штифти можуть також використовуватися проксимально.
Схема 1
  1. див схему 2Встановлення штифтів у безпечній зоні для дистального відділу стегнової кістки. Можна використовувати трансфіксацію, однак, встановлюйте штифти досить проксимально, щоб уникнути капсули суглоба (на 2-3 пальці вище надколінника).
Схема 2
  1. див. зобр. 4Рентгенологічний знімок у прямій проекції латерально розташованих напівштифтів у проксимальному відділі стегнової кістки.
Зобр. 4
  1. див. зобр. 5.Рентгенологічний знімок у прямій проекції латерально розташованих напівштифтів у дистальному відділі стегнової кістки.
Зобр. 5
C. Коліно
  1. Латеральні штифти в дистальному відділі стегнової кістки та передньомедіальні штифти в проксимальному відділі великогомілкової кістки можуть бути з’єднані додатковими затискачами типу «стержень до стержня»
  2. див. зобр. 6Ця клінічна фотографія демонструє, як можна з’єднати дистальний відділ стегна та проксимальний відділ гомілки при переломах колінного суглоба.
Зобр. 6
  1. див. зобр. 7. Передньозадня рентгенограма внутрішньосуглобового перелому коліна.
Зобр. 7
D. Великогомілкова кістка
  1. Напівштифти повинні знаходитись на передньомедіальній поверхні кістки; вона легко прощупується, оскільки знаходиться підшкірно по всій довжині кістки
  2. див. схему 3. Встановлення штифтів в безпечній зоні великогомілкової кістки. Дистально велико- і малогомілкову кістки може перетинати один трансфіксаційний штифт.
Схема 3
  1. див. зобр. 8. Переднезадня рентгенограма встановлення зовнішнього фіксатора з приводу перелому великогомілкової кістки.
Зобр. 8
  1. див. зобр. 9. Біпланарного контролю також можна досягти за допомогою напівштифтів, встановлених на передньомедіальній та передньолатеральний поверхні проксимального відділу великогомілкової кістки. Зверніть увагу на малогомілковий нерв збоку.
Зобр. 9
E. Гомілка
  1. Зовнішню фіксацію кісточок можна забезпечити за допомогою дельта-подібної конструкції або односторонньої конструкції
  2. Трансфіксаційні штифти можуть бути встановлені в п’яткову кістку медіально або латерально; переконайтеся, що початкова точка штифта знаходиться ззаду і дистально від медіального і латерального підошовних нервів
  3. Для проксимального діафізу першої плеснової кістки слід вводити штифти перпендикулярно довгій осі плеснової кістки; уникайте заходження в основу плеснової кістки, оскільки це може зашкодити сухожиллю переднього великогомілкового м’яза.
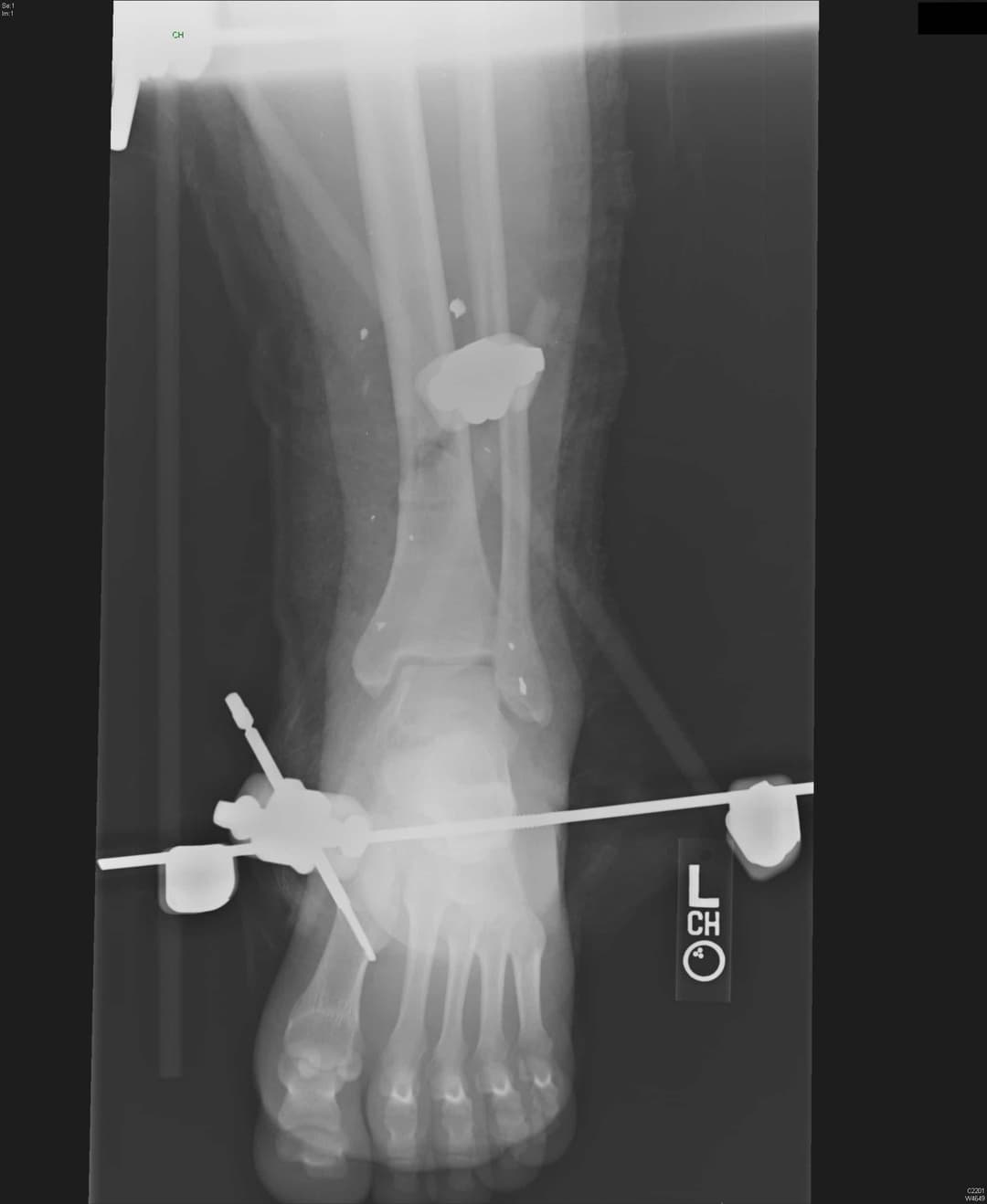
  4. див. зобр. 10. Передньозадня рентгенограма зовнішнього фіксатора гомілковостопного суглоба зі штифтом для трансфіксації п’яткової кістки таштифтом першої плеснової кістки.
Зобр. 10
F. Плечова кістка
  1. Використовуються бічні напівштифти; не слід надто проникати в медіальне окістя проксимально, щоб не пошкодити судинно-нервовий пучок
  2. Також можна використовувати передні напівштифти
    • Проксимально, уникайте дельтоподібного сухожилля, що добре пальпується
    • У середній частині діафізу, не проникайте надмірно в заднє окістя, щоб не пошкодити променевий нерв
  3. див схему 4. Надвиростки можуть бути трансфіксовані дистально або медіально зважаючи на проходження ліктьового нерва.
Схема 4
  1. див. зобр. 11Клінічна фотографія зовнішнього фіксатора плечової кістки.
Зобр. 11
  1. див. зобр. 12Рентгенограми того ж зовнішнього фіксатора плечової кістки.
Зобр. 12
G. Лікоть
  1. Напівштифти або штифти для трансфіксації можуть бути встановлені як латерально, так і медіально; слід уникати передніх нервово-судинних структур і борозни ліктьового нерва позаду і медіально від медіального надвиростка, шляхом встановлення штифтів в площині надвиростків, що пальпуються з кожного боку ліктя.
  2. див. зобр. 13. Клінічна фотографія зовнішнього фіксатора ліктьового суглоба.
Зобр. 13
  1. див. зобр. 14Рентгенограма того ж ліктьового суглоба із зовнішнім фіксатором.
H. Передпліччя
  1. Ліктьова кістка легко пальпується, і штифти зазвичай можуть бути встановлені вздовж будь-якого краю; зазвичай використовують латеральний доступ, зважаючи на ліктьовий нерв, що проходить проксимально
  2. Закрите розміщення штифта в проксимальній частині променевої кістки не рекомендується через ризик пошкодження заднього міжкісткового нерва; радіальні штифти можуть бути встановлені в дистальній частині.
  3. див зобр. 15. Передньозадня рентгенограма зовнішнього фіксатора ліктьової кістки. Висловлені тут точки зору належать авторам і не відображають офіційну політику чи позицію Медичного центру армії Брук, Медичного департаменту армії США, Офісу генерального хірурга армії США, Міністерства армії США, Міністерства оборони або уряду США.
Зобр. 15
Матеріали та підтримку для The Disaster Preparedness Toolbox надають підполковник Ky Kobayashi, MD доктор медичних наук, та полковник Benjamin Kam, MD.


Зовнішня фіксація переломів верхньої кінцівки/нижньої кінцівки/навколосуглобових переломів за умови обмежених ресурсів Невідкладна хірургія - GMKA - Global Medical Knowledge Alliance