ATLS Розділ 7: Травми хребта та спинного мозку

Медицина невідкладних станів
Хірургія
Військова медицина
Read in English

Цілі

Після прочитання цього розділу та розуміння компонентів знань курсу ATLS ви зможете:
  1. Охарактеризувати основну анатомію та фізіологію хребта.
  2. Описувати відповідну оцінку пацієнта з підозрою на ушкодження хребта та документи про травму.
  3. Визначати поширені типи ушкоджень хребта та рентгенологічні ознаки, які допомагають їх ідентифікувати.
  4. Описувати відповідне лікування хворих з ушкодженнями хребта протягом перших годин після травми.
  5. Визначити відповідну диспозицію хворих з травмою хребта.

Вступ

У пацієнтів із множинними ушкодженнями завжди необхідно враховувати травму хребта, з неврологічним дефіцитом або без нього. Приблизно 5% пацієнтів з травмою головного мозку мають пов’язану з ними травму хребта, тоді як 25% пацієнтів із травмою хребта мають принаймні легку черепно-мозкову травму. Приблизно 55% травм хребта трапляються в шийному відділі, 15% у грудному відділі, 15% у грудопоперековому з’єднанні і 15% у попереково-крижовому відділі. До 10% пацієнтів із переломом шийного відділу хребта мають другий, несуміжний перелом хребта
Лікарі та інші медичні працівники, що працюють із пацієнтами з травмами хребта повинні завжди враховувати той факт, що надмірні маніпуляції та неправильна іммобілізація таких пацієнтів може спричинити додаткові неврологічні розлади та вповільнити процес одужання.
Як мінімум 5% пацієнтів страждають від низки неврологічних симптомів або від погіршення загального стану після прибуття в пункт надання першої допомоги. Ці ускладнення зазвичай пов’язані з ішемією чи прогресуванням набряку спинного мозку, але можуть також бути результатом неправильної іммобілізації. Якщо хребет пацієнта захищений, його обстеження та виключення ушкодження хребта можна відкласти, особливо в разі нестабільного стану пацієнта, наприклад низького АТ чи дихальної недостатності.
Захист хребта не потребує тривалого перебування пацієнта на дошці для іммобілізації; достатньо забезпечити положення лежачи на спині на твердій поверхні й дотримання запобіжних заходів для хребта під час рухової активності.
Виключення наявності ушкоджень хребта є простим у пацієнтів без неврологічного дефіциту, болю чи зміни чутливості вздовж хребта, доказів інтоксикації чи додаткових болісних ушкоджень. У таких випадках відсутність болю чи змін чутливості вздовж хребта виключає наявність ушкоджень хребта в пацієнтів. Наявність ушкоджень спинного мозку може бути виключена шляхом використання клінічних інструментів, описаних у цьому розділі нижче.
Проте для пацієнтів у стані коми чи зі зниженим рівнем свідомості процес виключення діагнозу ушкоджень хребта не такий простий. У таких випадках лікар зобов’язаний провести рентгенологічне обстеження, щоб виключити ймовірність наявності травми хребта. Якщо результати рентгенологічних досліджень сумнівні, хребет пацієнта слід захищати до проведення наступних досліджень.
Пам’ятайте, що наявність шийного комірця та спінальної дошки може викликати хибне відчуття безпеки щодо того, що рух хребта обмежений. Якщо пацієнт неправильно зафіксований на дошці, а комірець не одягнений належним чином, рух усе ще можливий.
Хоча побічні ефекти неналежної іммобілізації достатньо добре задокументовані, довготривала іммобілізація пацієнтів на твердій поверхні, наприклад на спінальній дошці з використанням твердого шийного комірця, також може бути небезпечною.
Окрім того, що вони спричиняють серйозний дискомфорт для пацієнтів, що можуть рухатися, довготривала іммобілізація може призвести до утворення пролежнів та проблем із диханням у людей з травмами спинного мозку. Тому спінальні дошки слід використовувати лише під час транспортування та намагатись якнайшвидше перемістити пацієнтів.

Анатомія і фізіологія

Подальший огляд анатомії і фізіології хребта та спинного мозку охоплюватиме хребет, анатомію спинного мозку, сенсорні та моторні функції, міотоми, нейрогенний та спінальний шок та вплив на інші системи органів.

ХРЕБЕТ

Хребет складається із:
  • 7 шийних
  • 12 грудних
  • 5 поперекових хребців
  • а також крижових кісток та куприка (Зобр. 7-1).
Зобр. 7-1. Хребет
(А) хребет, вигляд справа і ззаду. (В) типовий грудний відділ, вид зверху.
Стандартний хребець складається з розташованого спереду тіла хребця, яке є частиною хребетного стовпа, що отримує основне вагове навантаження. Тіла хребців розділені міжхребцевими дисками, які спереду і ззаду з’єднані передньою поздовжньою і задньою поздовжньою зв’язками. Постеролатерально дві ніжки є основою, що тримає дах (пластину) спинномозкового каналу. Стабільність хребта залежить від фасеткових суглобів, міжостистих   зв’язок та паравертебральних м’язів.
Шийний відділ хребта найбільш вразливий до травм через свою рухливість та відкритість. Канал шийного відділу простягається від великого потиличного отвору до нижньої частини другого шийного хребця.
Більшість пацієнтів з травмами цього відділу хребта не мають неврологічних ушкоджень на час прибуття в лікарню. Проте приблизно третина пацієнтів з травмами верхніх шийних хребців помирають на місці нещасного випадку від зупинки дихання, спричиненого ушкодженням діафрагмальних нервів унаслідок травми верхнього шийного відділу хребта (тобто травма вище C3). Нижче рівня третього шийного хребця діаметр каналу є меншим порівняно з діаметром спинного мозку, і травми хребта значно частіше спричиняють ушкодження спинного мозку.
Шийний відділ хребта дитини помітно відрізняється від хребта дорослого приблизно до 8-річного віку. Ці відмінності включають більш гнучкі суглобові капсули і міжостисті зв’язки, а також плоскі фасетні суглоби і тіла хребців, які мають тенденцію ковзати вперед при згинанні. Відмінності поступово зменшуються приблизно до 12 років, коли шийний відділ хребта більше схожий на дорослий. (Див. Розділ 10: Дитяча травма.)
Грудний відділ, який має додаткову підтримку від грудної клітки, менш рухомий, ніж шийний. Тому ймовірність переломів у грудному відділі менша, вони переважно є клиновидними компресійними переломами, які не пов’язані з травмою спинного мозку.
Проте, якщо перелом або зміщення виникають у грудному відділі, то майже завжди спричиняють повне ушкодження спинного мозку через те, що канал грудного відділу має доволі невеликий діаметр. Тораколюмбальний перехід є точкою обертання менше нерухомого грудного відділу та більш рухомого поперекового відділу. Це і робить його вразливішим до травм, тому 15% усіх травм припадають на цей відділ.
АНАТОМІЯ СПИННОГО МОЗКУ
Спинний мозок бере початок на каудальному кінці довгастого мозку на рівні нижнього краю отвору потиличної кістки. У дорослих він зазвичай закінчується на рівні 1-го поперекового хребця конусоподібним звуженням. Нижче цього рівня, нерви, що йдуть донизу, формують пучок, який називається «кінський хвіст» (cauda equina, який є стійкішим до ушкоджень). З багатьох шляхів спинного мозку лише три можуть бути обстежені в клінічних умовах: латеральний кортикоспінальний тракт (tractus corticospinalis),  спиноталамічний тракт (tractus spinothalamicus), задні стовпи (columna posterior) (Зобр. 7.2).
Зобр. 7-2 A. Міжнародні стандарти неврологічної класифікації ушкоджень спинного мозку. Сенсорно-моторна оцінка спинного мозку.
Зобр. 7-2 B. Міжнародні стандарти неврологічної класифікації ушкоджень спинного мозку. Клінічна класифікація ушкоджень спинного мозку.
Кожен зі шляхів є парним і може бути пошкоджений з обох боків. Розташування в спинному мозку, функції та метод дослідження для кожного тракту наведені в таблиці 7-1. Якщо у пацієнта немає видимої сенсорної або моторної функції нижче певного рівня, кажуть, що він має повну травму спинного мозку. Неповна травма спинного мозку – це травма, при якій зберігається деякий ступінь рухової або сенсорної функції; у цьому випадку прогноз одужання значно кращий, ніж при повній травмі спинного мозку.
Таблиця 7-1. Клінічна оцінка шляхів спинного мозку
ШляхРозміщення в спинному мозкуФункція  Методика тестування
Кортикоспінальний трактУ передній і бічній частиніКонтролює моторну функцію на тій же стороні тілаШляхом скорочень м’язів або реакції на больові подразники
Спиноталамічний трактУ передньолатеральній стороніПередає біль і температурні відчуття з протилежного боку тілаПодразнення голкою
Дорсальні стовпиУ задньомедіальній ділянціПередає відчуття положення частин тіла (пропріоцепція), відчуття вібрації та деяке відчуття легкого дотику з тієї ж сторони тілаЗа відчуттям положення пальців ніг і пальців рук або відчуттям вібрації за допомогою камертона
ДЕРМАТОМИ
Дерматом — це ділянка шкіри, іннервована нервовими волокнами від однієї пари спинномозкових нервів.
Сенсорний рівень — це найнижчий дерматом з нормальною чутливою функцією, який часто може варіюватися залежно від сторони тіла. З практичного погляду верхні шийні дерматоми (С1–С4) є дещо змінними в розподілі на шкірі й не часто використовуються для локалізації. Зауважте, що надключичні нерви (С2–С4) забезпечують чутливу іннервацію ділянки, що покриває грудний м’яз. Наявність чутливості в цій ділянці може заплутати лікаря, коли той намагається визначити чутливий рівень у пацієнтів з ушкодженнями нижньої ділянки шиї. Основні сегменти спинномозкових нервів і зони іннервації наведені наведені в таблиці 7-2 і проілюстровані на зобр. 7-2:
Таблиця 7-2. Основні сегменти спинномозкових нервів та ділянки іннервації
Сегмент спинномозкових нервівДілянка ушкодження
С5ділянка дельтоподібного м’яза
С6великий палець
С7середній палець
С8мізинець
Т4сосок
Т8мечоподібний відросток
Т10пупок
Т12лобковий симфіз
L4медіальна сторона гомілки
L5павутинний простір між першим та другим пальцями стопи
S1латеральний край стопи
S3горбистість сідничної кістки
S4 і S5перианальна ділянка
Для запису оцінки рухової і чутливої функції використовують опитувальник ISNCSCI (International Standards for Neurological Classification of Spinal Cord Injury), опублікований Американською асоціацією ушкоджень хребта (American Spinal Injury Association – ASIA). Він забезпечує деталізовану інформацію про неврологічний огляд пацієнта. Деталі щодо того, як давати оцінку руховій функції, описані в згаданому документі.
МІОТОМИ
Кожен сегментарний нерв іннервує більш ніж один м’яз, і кожен м’яз може бути іннервований більш ніж одним нервом (зазвичай двома). Незважаючи на це, заради зручності, певні м’язи чи групи м’язів відповідають певному сегменту спинномозкових нервів. Основні міотоми показані на Зобр. 7-3.
Зобр. 7-3. Основні міотоми. Міотоми використовуються для оцінки рівня рухової функції.
Ключові м’язи слід перевіряти на силу з обох сторін. Кожен м’яз оцінюють за шестибальною шкалою від нормальних відчуттів до паралічу. До того ж зовнішній анальний сфінктер слід мануально перевірити на довільне скорочення. Запис сили основних груп м’язів допомагає оцінити неврологічне покращення або погіршення під час наступних оглядів.
НЕЙРОГЕННИЙ ШОК У ПОРІВНЯННІ ЗІ СПИНАЛЬНИМ ШОКОМ
Нейрогенний шок призводить до втрати вазомоторного тонусу та симпатичної іннервації серця. Пошкодження шийного або верхньогрудного відділів спинного мозку (Т6 і вище) може спричинити порушення низхідних симпатичних шляхів. Внаслідок цього втрата вазомоторного тонусу викликає вазодилатацію вісцеральних і периферичних кровоносних судин, застій крові і, як наслідок, гіпотензію.
Втрата симпатичної іннервації серця може викликати брадикардію або, принаймні, нездатність викликати тахікардічну відповідь на гіповолемію. Однак при наявності шоку все одно необхідно виключити інші джерела, оскільки гіповолемічний (геморагічний) шок є найпоширенішим типом шоку у пацієнтів із травмою і може бути присутнім на додаток до нейрогенного.
Фізіологічні ефекти нейрогенного шоку не вдасться стабілізувати лише інфузійною терапією, а значна регідратація може призвести до надлишку рідини та набряку легенів. Кров’яний тиск можна стабілізувати правильним вибором вазопресорних препаратів після помірного відновлення об’єму крові. Щоб запобігти гемодинамічно значущій брадикардії може бути використаний атропін.
«Спінальний шок» — це втрата тонусу м’язів та втрата рефлексів унаслідок травми спинного мозку. Через деякий час виникає спастичність.
ВПЛИВ ТРАВМИ ХРЕБТА НА ІНШІ СИСТЕМИ ОРГАНІВ
Коли у пацієнта травмується хребет, першочерговою проблемою повинна бути потенційна дихальна недостатність. Гіповентиляція може виникнути внаслідок паралічу міжреберних м’язів (тобто травми нижнього шийного або верхнього грудного відділів спинного мозку) або діафрагми (тобто пошкодження C3–C5). Нездатність сприймати біль може маскувати потенційно серйозну травму в інших частинах тіла, наприклад, звичайні ознаки гострого болю в животі або тазу, можуть бути пов’язані з переломом таза.

Класифікація ушкоджень спинного мозку

Пошкодження спинного мозку можна класифікувати за рівнем, тяжкістю неврологічних розладів, синдромами спинного мозку та морфологією.
РІВЕНЬ
Рівень ушкодження кісток відноситься до конкретного рівня хребця, на якому відбулося пошкодження кісток. Неврологічний рівень травми описує найбільш каудальний сегмент спинного мозку, який має нормальну сенсорну та моторну функцію з обох боків тіла. Неврологічний рівень травми визначається насамперед клінічним оглядом.
Термін “сенсорний рівень” використовується для позначення самого каудального сегмента спинного мозку з нормальною сенсорною функцією. Руховий рівень визначається аналогічним чином щодо рухової функції як найнижчий ключовий м’яз, який має оцінку сили м’язів щонайменше 3 за 6-бальною шкалою. Зона часткового збереження – це ділянка трохи нижче рівня травми, де виявлено деякі порушення сенсорної та/або моторної функції.
Часто існує невідповідність між кістковим і неврологічним рівнями травми, оскільки спинномозкові нерви входять у спинномозковий канал через отвір і піднімаються або опускаються всередині спинномозкового каналу, перш ніж фактично увійти в спинний мозок. Важливо визначити рівень травми з обох сторін.
Окрім початкових заходів стабілізації травм кісток, усі подальші висновки щодо рівня ушкодження роблять на основі неврологічного рівня травми.
ТЯЖКІСТЬ НЕВРОЛОГІЧНИХ РОДЛАДІВ
Травми спинного мозку можна класифікувати так:
  • Неповна чи повна параплегія (ураження грудного відділу)
  • Неповна чи повна тетраплегія (ураження шийного відділу)
Наявність будь-якої моторної чи сенсорної функції нижче рівня травми свідчить про неповне ушкодження і повинна бути належним чином описана. Ознаками неповного ушкодження є будь-які відчуття (зокрема відчуття просторового розміщення) чи довільний рух нижніх кінцівок, довільне скорочення сфінктера чи довільне згинання пальців ноги. Крижові рефлекси, такі як бульбокавернозний та анальний рефлекс не беруться до уваги.
СИНДРОМИ СПИННОГО МОЗКУ
Характерні синдроми неврологічних ушкоджень зустрічаються у пацієнтів з ушкодженнями спинного мозку, наприклад, синдром центрального мозку, синдром переднього відділу мозку та синдром Брауна-Секара. Ці закономірності корисно розпізнати, оскільки їхні прогнози відрізняються від повних і неповних ушкоджень спинного мозку.
Синдром центрального мозку характеризується непропорційно більшою втратою моторної сили у верхніх кінцівках, ніж у нижніх, з різним ступенем втрати чутливості. Цей синдром зазвичай виникає після травми гіперекстензії у пацієнта з уже існуючим стенозом шийного відділу спинномозкового каналу.
Механізм зазвичай полягає в падінні вперед, що призводить до травми обличчя. Синдром центрального мозку може виникати з переломом або вивихом шийного відділу хребта або без нього. Прогноз одужання при центральному ураженні пуповини дещо кращий, ніж при інших неповних ушкодженнях.
Прогнози щодо видужання за такої патології більш втішні, ніж у разі інших неповних ушкоджень. Ці травми часто зустрічаються у пацієнтів, особливо літніх людей, які мають основний стеноз хребта і страждають від падіння на землю.
Синдром переднього відділу спинного мозку виникає внаслідок пошкодження рухових і сенсорних шляхів у передній частині спинного мозку. Він характеризується параплегією та двосторонньою втратою болю і температурної чутливості. Однак відчуття від неушкодженої частини спинного мозку (тобто відчуття положення, вібрації та сильного тиску) зберігаються. Цей синдром має найгірший прогноз щодо неповних ушкоджень і найчастіше виникає після ішемії спинного мозку.
Синдром Брауна-Секара виникає внаслідок гемісекції спинного мозку, як правило, через проникаючу травму. У чистому вигляді синдром складається з іпсилатеральної моторної втрати (кортикоспінальний тракт) і втрати відчуття положення (дорсальна колона), пов’язаної з контралатеральною втратою болю і температурної чутливості, що починається на один-два рівня нижче рівня пошкодження (спіноталамічний тракт). Навіть коли синдром викликаний прямим проникаючим пораненням спинного мозку, зазвичай досягається деяке одужання.
МОРФОЛОГІЯ
До пошкоджень хребта можна віднести переломи, переломи-вивихи, ушкодження спинного мозку без рентгенологічних відхилень (SCIWORASpinal cord injury without radiographic abnormality) та проникаючі поранення. Кожну з цих травм можна описати як стабільну і нестабільну. Проте не завжди легко встановити стабільність певного виду травми, і навіть професіонали можуть розходитися в думках.
Однак, особливо на перших етапах лікування, усіх пацієнтів з травмами, підтвердженими рентгенологічним дослідженням, та пацієнтів з неврологічними розладами слід вважати нестабільними. Рухи хребта у цих пацієнтів повинні бути обмежені, а для повороту або зміни положення потрібен відповідний персонал, який використовує техніку логроллінгу, до консультації зі спеціалістом, як правило, нейрохірургом або хірургом-ортопедом.

Особливі види травм хребта

Пошкодження хребта, що викликають особливе занепокоєння у клініцистів при травмах, включають переломи шийного відділу хребта, переломи грудного відділу хребта, переломи грудопоперекового переходу, переломи поперекового відділу, проникаючі поранення та можливість пов’язаних з цим тупих ушкоджень сонних і хребцевих судин.
ПЕРЕЛОМИ ШИЙНОГО ВІДДІЛУ ХРЕБТА
Травми шийного відділу хребта можуть бути викликані одним або сукупністю нижче вказаних механізмів:
  • осьове навантаження;
  • згинання;
  • розгинання;
  • обертання;
  • латеральне згинання; розтягнення.
Пошкодження шийного відділу хребта у дітей є відносно рідкісною подією, зустрічається менше ніж у 1% випадків. Слід зазначити, що травми верхнього шийного відділу хребта у дітей (C1–C4) зустрічаються майже вдвічі частіше, ніж травми нижнього шийного відділу хребта. Крім того, анатомічні відмінності, емоційний стрес і нездатність спілкуватися роблять оцінку хребта ще більш складною в цій популяції. (Див. Розділ 10: Дитяча травма.)
Специфічними типами ушкоджень шийного відділу хребта, на які слід звернути увагу клініцистам при травмах, є атланто-потиличний вивих, перелом атланту (С1), ротаційний підвивих (С1) та переломи осі (С2).
АТЛАНТО-ПОТИЛИЧНИЙ ВИВИХ
Пошкодження черепно-шийного відділу є рідкісними і виникають у результаті серйозного травматичного згинання та дистракції. Більшість пацієнтів з цією травмою вмирають від руйнування стовбура мозку та апное або мають глибокі неврологічні порушення (наприклад, залежність від штучної вентиляції легенів та квадриплегія/тетраплегія). Пацієнти можуть вижити, якщо їх негайно реанімувати на місці травми. Атланто-потиличний вивих є частою причиною смерті у випадках синдрому струсу дитини (Shaken Baby Syndrome).
ПЕРЕЛОМ АТЛАНТА (C1)
Атлант являє собою тонке кісткове кільце з широкими суглобовими поверхнями. Переломи атланта становлять приблизно 5% гострих переломів шийного відділу хребта, і до 40% переломів атланта пов’язані з переломами осі (C2). Найпоширенішим переломом С1 є розривний перелом (перелом Джефферсона).
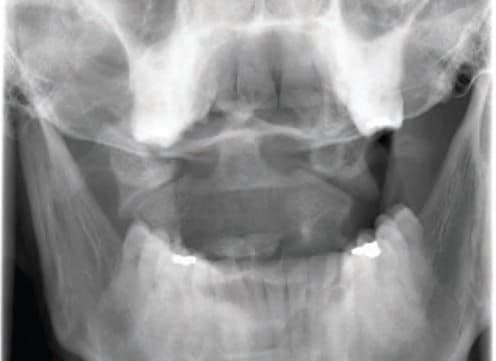
Типовим механізмом травми є осьове навантаження, яке виникає, коли воно падає вертикально на голову або пацієнт приземляється на маківку у відносно нейтральному положенні. Переломи Джефферсона пов’язані з розривом переднього і заднього кілець С1 з бічним зміщенням бічних утворень. Перелом найкраще видно при відкритому виді області С1-С2 та на осьовій комп’ютерній томографії (КТ) (Зобр. 7-4).
Зобр. 7-4 Перелом Джефферсона. Рентгенограма з відкритим ротом показує перелом Джефферсона. Цей перелом включає розрив як переднього, так і заднього кілець С1 з бічним зміщенням бічних утворень.
Ці переломи зазвичай не пов’язані з травмами спинного мозку; однак вони нестабільні, тому їх спочатку слід лікувати за допомогою жорсткого шийного коміра належного розміру. Односторонні переломи кільця або бічні переломи не є рідкістю і, як правило, є стабільними травмами. Проте розглядайте всі такі переломи як нестабільні, поки пацієнта не огляне спеціаліст, як правило, нейрохірург або хірург-ортопед.
РОТАЦІЙНИЙ ПІДВИВИХ С1
Ротаційний підвивих С1 найчастіше буває в дітей. Він може виникнути спонтанно, після великої або незначної травми, у випадку інфекції верхніх дихальних шляхів або при ревматоїдному артриті. У пацієнта спостерігається стійкий поворот голови (кривошия). При цій травмі зубоподібний відросток осьового хребця не рівновіддалений від двох бічних утворень C1. Не змушуйте пацієнта долати обертання, а обмежте його рухи в ротованому положенні й направте на подальше спеціалізоване лікування.
ПЕРЕЛОМИ ОСЬОВОГО ХРЕБЦЯ (С2)
Осьовий хребець є найбільшим шийним хребцем і має найбільш незвичайну форму. Отож, він сприйнятливий до різноманітних переломів залежно від сили та напрямку удару. Гострі переломи С2 становлять приблизно 18% від усіх травм шийного відділу хребта. Переломи осьового хребця, на які звертають увагу лікарі-травматологи, охоплюють переломи зубоподібного відростка та переломи задніх елементів.
ПЕРЕЛОМИ ЗУБОПОДІБНОГО ВІДРОСТКА
Приблизно 60% переломів С2 охоплюють зубоподібний відросток осьового хребця, кістковий виступ у формі кілочка, який виступає вгору і зазвичай перебуває в контакті з передньою дугою С1. Зубоподібний відросток осьового хребця переважно утримує на місці поперечна зв’язка. Переломи зубоподібного відростка I типу зазвичай охоплюють його верхівку і бувають відносно рідко. Переломи зубоподібного відростка II типу виникають у ділянці його основи і трапляються найчастіше (Зобр. 7-5).
Зобр. 7-5 Перелом зуба осьового хребця. Комп’ютерна томографія перелому зуба ІІ типу, який відбувається через основу зуба.
У дітей віком до 6 років епіфіз може виступати й нагадувати перелом на цьому рівні. Переломи зубоподібного відростка  III типу виникають біля його основи і поширюються косо в тіло осьового хребця.
ПЕРЕЛОМИ ЗАДНЬОГО ЕЛЕМЕНТА
Перелом заднього елемента другого шийного хребця, або так званий перелом шибеника, зачіпає задні елементи C2, частини хребця, розташовані між нижнім і верхнім суглобовими відростками — pars interarticularis (Зобр. 7-6).
Зобр. 7-6 Перелом шибеника (стрілки). Продемонстровано на КТ реконструкціях: A. осьова; B. сагітальна парамедіальна; і C. сагітальна середня лінія. Зверніть увагу на передній кут і надмірну відстань між остистими відростками С1 і С2 (подвійні стрілки)
Цей тип перелому зазвичай спричинений травмою від розтягнення. Переконайтеся, що пацієнтам із цим переломом накладено жорсткий шийний комір відповідного розміру, доки не буде доступна спеціалізована допомога.
ПЕРЕЛОМИ ТА ВИВИХИ (C3–C7)
Ділянка найбільшого згинання й розгинання шийного відділу хребта розташована в точці C5–C6 і, тому є найвразливіша для травм. У дорослих найпоширенішим рівнем перелому шийного відділу є С5, а найпоширенішим рівнем підвивиху — С5 на С6. Інші ушкодження охоплюють підвивих суглобових відростків (зокрема односторонні або двосторонні заблоковані фасетки) і переломи пластинок, остистих відростків, ніжок або бічних утворень. Рідко розрив зв’язок відбувається без переломів або фасеткових вивихів.
Частота неврологічних ушкоджень значно зростає в разі фасеткових вивихів і значно важча при двосторонніх заблокованих фасетках.
ПЕРЕЛОМИ ГРУДНОГО ВІДДІЛУ ХРЕБТА
Переломи грудного відділу хребта можна розділити на чотири великі категорії: передні клиноподібні компресійні травми, розривні травми, переломи Чанса та переломи-вивихи.
Осьове навантаження під час згинання викликає компресійну травму, яка може  призвести до руйнування передньої частини тіла хребця, утворюючи форму клина. Величина вклинювання зазвичай досить незначна, і передня частина тіла хребця рідко більш ніж на 25% коротша за задню. Через жорсткість грудної клітки більшість цих переломів є стабільними.
Розривна травма спричинена вертикально-осьовим стисненням.
Перелом Чанса — це поперечні переломи тіла хребця (Зобр. 7-7).
Зобр. 7-7 Перелом Чанса. Рентгенограма показує перелом Чанса (поперечний перелом тіла хребця)
Вони викликані згинанням навколо осі попереду від хребетного стовпа і найчастіше спостерігаються після автомобільних аварій, під час яких пацієнт був обмежений тільки неправильно пристібнутим поясним ременем безпеки. Можливі переломи можуть бути пов’язані із заочеревинними та вісцеральними травмами живота.
Через орієнтацію фасеткових суглобів переломи-вивихи відносно рідкісні в грудному та поперековому відділах хребта. Ці травми майже завжди є результатом сильного згинання або сильної тупої травми хребта, що спричиняє ушкодження задніх елементів (ніжок, фасеток і пластинки) хребця. Грудний хребетний канал вузький щодо спинного мозку, тому переломи-вивихи в грудному відділі хребта зазвичай призводять до повного неврологічного дефіциту.
Прості компресійні переломи здебільшого стабільні, їх часто лікують за допомогою жорсткого бандажа. Розривні переломи, переломи Чанса та переломи-вивихи надзвичайно нестабільні й майже завжди потребують внутрішньої фіксації.
ПЕРЕЛОМИ ГРУДОПОПЕРЕКОВОГО З’ЄДНАННЯ (від Т11 до L1)
Переломи на рівні грудопоперекового з’єднання виникають через відносну нерухомість грудного відділу хребта порівняно з поперековим. Оскільки ці переломи найчастіше відбуваються внаслідок поєднання гострого перезгинання та ротації, зазвичай вони нестабільні. Люди, які падають з висоти, та скуті паском безпеки водії, які мають сильне згинання з високою передачею кінетичної енергії, піддаються особливому ризику отримання травм такого типу.
Спинний мозок закінчується як conus medullaris приблизно на рівні L1, й ушкодження цієї частини мозку зазвичай призводить до дисфункції сечового міхура і кишечника, а також до зниження чутливості та сили в нижніх кінцівках. Пацієнти з переломами грудопоперекового відділу особливо вразливі до обертальних рухів, тому будьте вкрай обережні, коли їх повертаєте (див. відео).
ПЕРЕЛОМИ ПОПЕРЕКОВОГО ВІДДІЛУ
Рентгенологічні ознаки, пов’язані з переломом поперекового відділу, подібні до ознак переломів грудного та грудопоперекового  відділів. Однак, оскільки задіяний лише кінський хвіст (Сauda equina), імовірність повного неврологічного дефіциту у випадку цих ушкоджень значно нижча.
ПРОНИКНІ УШКОДЖЕННЯ
Проникні пошкодження часто призводять до повного неврологічного дефіциту через траєкторію залученого снаряда (найчастіше кулі або ножа). Цей дефіцит також може бути результатом передачі енергії, пов’язаної з високошвидкісним снарядом (наприклад, кулею), який проходить близько до спинного мозку, а не через нього. Проникні поранення хребта зазвичай стабільні, за винятком випадків, коли снаряд не руйнує значної частини хребця.
ТУПІ ТРАВМИ СОННИХ ТА ХРЕБТОВИХ АРТЕРІЙ
Тупа травма шиї може призвести до травм сонних і хребтових артерій; раннє розпізнавання та лікування цих ушкоджень може знизити ризик інсульту в пацієнта. Специфічними показаннями для скринінгу на ці ушкодження є переломи С1–С3, переломи шийного відділу хребта з підвивихом та переломи із залученням поперечного отвору.

Рентгенографічна оцінка

Як ретельний клінічний огляд, так і ретельна рентгенографічна оцінка мають вирішальне значення для виявлення значних ушкоджень хребта.
ШИЙНИЙ ВІДДІЛ ХРЕБТА
Багатьом пацієнтам із травмами служби швидкої медичної допомоги (ШМД) на місці події одягають шийний комірець. Сучасні рекомендації щодо обмеження руху хребта на догоспітальному етапі дозволяють гнучкіше використовувати довгі дошки для хребта та шийні комірці. Завдяки застосуванню інструментів для ухвалення рішень щодо клінічного скринінгу, таких як Canadian C-Spine Rule (CCR; Зобр. 7-8) і National Emergency X-Radiography Utilization Study (NEXUS; Зобр. 7-9), використання шийних комірців і блокад може бути припинено в багатьох із цих пацієнтів без необхідності рентгенологічного дослідження.
Зобр. 7-8. Canadian C-Spine Rule (CCR) – Канадське правило шийного відділу хребта. Клінічний інструмент прийняття рішень для оцінки шийного відділу хребта.
Адаптовано за Stiell IG, Wells GA, Vandemheen KL, et al. The Canadian C-Spine rule of radiography in alert and stable trauma patients. JAMA 2001;286:1841–1848.
Зобр. 7-9 Критерії та мнемонічне правило National Emergency X-Radiography Utilization Study (NEXUS). Клінічний інструмент прийняття рішень для оцінки шийного відділу хребта. Адаптовано з Hoffman JR, Mower WR, Wolfson AB, et al. Validity of a set of clinical criteria to rule out injury to the cervical spine in patients with blunt trauma. National Emergency X-Radiography Utilization Study Group. N Engl J Med 2000; 343:94–99.
Пояснення до зобр. 7-9:
Цей текст лише для наочності. Немає точних визначень для окремих критеріїв NEXUS, які підлягають інтерпретації окремими лікарями.
1. Чутливість шийного відділу хребта вздовж серединної лінії наявна, якщо пацієнт скаржиться на біль під час пальпації задньої серединної лінії шиї від потилиці до виступу першого грудного хребця, або якщо пацієнт скаржиться на біль під час прямої пальпації будь-якого шийного остистого відростка.
2. Пацієнтів слід вважати такими, що перебувають у стані інтоксикації , якщо вони мають будь-що з переліченого:
Недавній анамнез, отриманий від пацієнта або спостерігача, у якому йдеться про отруєння  або приймання всередину речовини, що викликає отруєння.
Докази сп’яніння під час фізикального огляду, як-от запах алкоголю, нечітка мова, атаксія, дисметрія або інші вестибулярні ознаки чи будь-яка поведінка, що відповідає інтоксикації. Пацієнти також можуть вважатися такими, що перебувають у стані сп’яніння, якщо аналіз секрецій організму позитивний на наркотики (включно із, але не обмежуючись, алкоголем), які впливають на рівень свідомості.
3. Змінений рівень свідомості стосується будь-чого, переліченого нижче:
Оцінка за шкалою коми Глазго 14 або менше.
Дезорієнтація стосовно людини, місця, часу чи події.
Нездатність запам’ятати 3 об’єкти за 5 хвилин.
Затримка або неадекватна реакція на зовнішні подразники.
Інше.
4. Будь-які вогнищеві неврологічні скарги (за даними анамнезу) або знахідки (у ході моторного чи сенсорного дослідження).
5. Неможливість точного виявлення відволікальної болючої травми. Це стосується будь-якого стану, який медичний працівник сприйматиме як такий, що здатен викликати достатній біль для відвернення уваги від іншої травми (шиї). Приклади можуть, зокрема, охоплювати:
Будь-який перелом довгої кістки.
Ушкодження внутрішніх органів, що потребує консультації хірурга.
Великі рвані рани, травми з відділенням верхніх шарів шкіри та прилеглих тканин, або травми від роздроблення.
Великі опіки.
Будь-яка інша травма, що спричиняє гострі функціональні порушення.
Лікарі також можуть класифікувати будь-яку травму як відволікальну, якщо вважається, що вона може погіршити здатність пацієнта оцінити інші травми.
Для пацієнтів, яким потрібна рентгенографічна оцінка шийного відділу хребта, існує два варіанти. Там, де технологія доступна, основним методом скринінгу є мультидетекторна КТ (МДКТ) від потилиці до Т1 із сагітальною та корональною реконструкцією. Якщо ж ця технологія недоступна, слід зробити звичайні рентгенографічні знімки від потилиці до Т1, зокрема бічні, передньо-задні та знімки зубовидного відростка осьового хребця з відкритим ротом.
На простих знімках основу черепа, усі сім шийних хребців і перший грудний хребець необхідно візуалізувати збоку. Щоб не пропустити травму нижньої частини шийного відділу хребта, може виникнути необхідність опустити плечі пацієнта вниз під час виконання такого рентгенівського знімка. Якщо всі сім шийних хребців не візуалізуються на бічній рентгенівській плівці, зробіть рентгенографію нижньої шийної та верхньої частини грудної клітки.
Рентгенографія зубовидного відростка  осьового хребця з відкритим ротом повинна охоплювати весь зубоподібний відросток та правий і лівий суглоби C1 і C2. Передньо-задня проєкція шийного відділу допомагає виявити односторонній фасетковий вивих у випадках, коли на бічному знімку  вивихів майже або зовсім не видно.
Якщо ці знімки мають хорошу якість і правильно інтерпретовані, нестабільні ушкодження шийного відділу хребта можна виявити з чутливістю понад 97%. Лікар, кваліфікований для інтерпретації таких знімків повинен переглянути повну серію рентгенограм шийного відділу хребта, перш ніж хребет можна буде вважати не пошкодженим. Не знімайте шийний комір, доки не буде проведено неврологічну оцінку та оцінку шийного відділу хребта, включно із пальпацією хребта з довільним рухом у всіх площинах, і не буде встановлено, що травм або немає, або вони не викликають занепокоєння.
У ситуації, коли нижній шийний відділ хребта недостатньо візуалізується на рентгенівських знімках чи виявлені потенційні зони ураження, альтернативою стане мультидетекторна КТ. Мультидетекторну КТ (MDCT) можна провести замість рентгену для оцінки шийного відділу хребта.
Існує ймовірність ізольованого ушкодження спінальних зв’язок, що спричиняє нестабільність без переломів та / або підвивихів, пов’язаних із цим. Пацієнтам з болем у шиї і нормальною рентгенографією слід призначити МРТ-обстеження або рентгенографію в позиціях згинання-розгинання. Рентгенівське дослідження в позиціях згинання-розгинання шийного відділу хребта може виявити приховану нестабільність чи визначити ступінь стабільності виявленого перелому.
У разі потреби переведення пацієнта до відповідного закладу візуалізацію хребта потрібно відкласти до прибуття пацієнта на місце; необхідно зберегти обмеження рухів хребта під час транспортування. За жодних умов лікарі не повинні розміщувати пацієнта в положенні, що посилює / викликає біль у шийному відділі. Усі рухи пацієнта мають бути добровільними. Проводьте рентгенологічне дослідження під безпосереднім наглядом і контролем досвідченого в читанні рентгенівських знімків лікаря.
У деяких пацієнтів із значним ушкодженням м’яких тканин параспінальний м’язовий спазм може суттєво обмежити ступені довільного згинання та розгинання. МРТ є найточнішим методом діагностики ушкодження м’яких тканин, якщо його провести протягом 72 годин з часу отримання травми. Однак немає достатніх даних щодо кореляції нестабільності в шийному відділі хребта та позитивними знахідками під час МРТ-досліджень.
Близько 10% пацієнтів з переломом шийного відділу хребта мають інший, несуміжний, перелом хребта. Цей факт є підставою для повного рентгенологічного дослідження всього хребта в пацієнтів з переломом у шийному відділі.
За наявності неврологічної недостатності рекомендоване проведення МРТ-дослідження для визначення компресивного ураження м’яких тканин, яке неможливо виявити на рентгені або МСКТ: наприклад, епідуральної гематоми спинного мозку або ж травматичної грижі міжхребцевого диску. МРТ-дослідження також може показати забій чи розрив спинного мозку, а також ушкодження навколохребтових зв‘язок і м’яких тканин. Однак, МРТ-дослідження часто неможливо провести для пацієнтів з гемодинамічною нестабільністю. У такому разі згадані специфічні дослідження слід проводити на розсуд нейрохірурга.
Вставка 7-1. Рекомендації щодо обстеження пацієнтів з підозрами на ушкодження хребта
Оскільки травмовані пацієнти можуть мати невиявлені ушкодження хребта, переконайтеся, що рухи хребта обмежено, поки не будуть проведені всі необхідні обстеження та зроблені знімки.
ІМОВІРНІ УШКОДЖЕННЯ ШИЙНОГО ВІДДІЛУ ХРЕБТА

1. Наявність параплегії або квадриплегії / тетраплегії є ймовірними доказами ушкодження хребта.

2. Використовуйте підтверджені / перевірені методики для ухвалення клінічних рішень, як-от алгоритм Canadian C-Spine Rule (CCR) та Nexus, щоб визначити потребу в рентгенологічній оцінці та клінічно виключити травми шийного відділу хребта. Пацієнти при свідомості, без ознак розладів орієнтації, мислення та інших неврологічних відхилень, без болю в шиї, чутливості вздовж середньої лінії хребта чи значних супутніх травм, мають надзвичайно низьку ймовірність перелому шийного відділу хребта чи його нестабільності. У пацієнта в положенні на спині обережно зніміть шийний комір та проведіть пальпацію. Якщо немає підвищеної чутливості, попросіть пацієнта порухати головою зі сторони в сторону, зігнути й розігнути шию. Ніколи не рухайте шию пацієнта з докладанням сили. Якщо болю немає, знімки шийного відділу хребта не потрібні, шийний комір можна безпечно зняти.

3. Пацієнти, які мають біль у шиї чи чутливість уздовж середньої лінії, потребують рентгенологічного дослідження. Відповідальність за виключення травми хребта лежить на клініцистові. Щойно з’явиться можливість, усі такі пацієнти повинні бути обстежені за допомогою мультиспіральної КТ, від потилиці до рівня Т1, із сагітальними та корональними реконструкціями. Якщо мультиспіральна КТ недоступна, пацієнти повинні пройти рентгенологічне обстеження в прямій, боковій проєкціях, а також їм роблять рентген через відкритий рот (одонтоїдна позиція) для діагностики шийного відділу хребта. Підозрілі чи погано видимі зони на рентген-знімках можуть потребувати мультидетекторної КТ.

Знімки шийного відділу хребта досліджують на предмет:
деформації / перелому тіла хребця або відростка;
втрати плавності лінії, утвореної задніми поверхнями тіл хребців (зміни передньої стінки хребтового каналу);
збільшення відстані між остистими відростками на одному рівні;
звуження хребтового каналу;
збільшення передхребцевого простору м’яких тканин.

Якщо ці знімки в нормі, можна зняти шийний комір для проведення рентгенологічного дослідження при згинанні-розгинанні шиї. Досвідчений лікар може виконати знімки шийного відділу хребта в боковій проєкції, при цьому пацієнт самостійно згинає та розгинає шию. Якщо знімки не виявили підвивихів, травму шийного відділу хребта можна виключити, а шийний комір більше не одягати. Однак, якщо хоч один зі знімків викликає підозру чи показує не до кінця зрозумілі зміни, шийний комір потрібно знову одягнути та проконсультуватися зі спеціалістом у галузі травм хребта.

4. Пацієнти у стані зміненої свідомості чи такі, що не можуть описати свої симптоми, потребують отримання знімків. Найкраще в таких випадках провести мультидетекторну КТ від потилиці до рівня Т1 хребця із сагітальною та корональною реконструкцією. Якщо немає можливості провести МДКТ, достатнім є рентген-дослідження в прямій, боковій проєкціях та через відкритий рот (одонтоїдна позиція) з додатковими КТ-знімками підозрілих або складних для візуалізації ділянок. У випадку дітей комп’ютерна томографія є необов’язковою. Якщо шийний відділ хребта добре і повністю візуалізується і не має патологічних змін, шийний комір можна зняти після відповідної оцінки лікаря-спеціаліста з травм хребта. Виключення травм шийного відділу хребта особливо важливе, якщо стратегії ведення пацієнта (пульмонологічні та інші) не можуть бути проведені без адекватної іммобілізації пацієнта.

5. У разі виникнення будь-яких сумнівів шийний комір  знімати заборонено.

ІМОВІРНІ УШКОДЖЕННЯ ГРУДО-ПОПЕРЕКОВОГО ВІДДІЛУ ХРЕБТА

1. Наявність параплегії чи втрати чутливості на певному рівні грудного чи поперекового відділу є ймовірними свідченнями спінальної нестабільності.

2. Пацієнти без неврологічних відхилень, змін свідомості, орієнтації, мислення, без істотних травмувальних факторів та без болю чи підвищеної чутливості вздовж середньої лінії хребта в грудо-поперековому відділі, мають низький шанс нестабільного ушкодження. Грудо-поперекові знімки можуть бути необов’язковими.

3. Пацієнти з болем у хребті чи підвищеною чутливістю під час пальпації, неврологічним дефіцитом, зміненим рівнем свідомості, значним травмувальним фактором, повинні пройти мультидетекторну КТ. Якщо МДКТ недоступна, зробіть рентген-знімки всього грудного і поперекового відділу хребта в прямій та боковій проєкції. Перед припиненням заходів із фіксації цих відділів хребта всі знімки повинні бути хорошої якості та інтерпретовані досвідченим лікарем як такі, що не мають патологічних відхилень.

4. Усім пацієнтам, у яких виявлена чи підозрюється травма хребта, необхідна консультація лікарів-спеціалістів із травм хребта.

5. Оперативно проведіть оцінку пацієнтів з чи без неврологічного дефіциту (наприклад, на наявність квадриплегії / тетраплегії чи параплегії) і перемістіть їх із транспортного медичного щита /жорстких нош, щойно це стане можливо. Пацієнти, що перебувають на жорстких ношах / щиті більше двох годин, мають високий ризик утворення пролежнів.

6. Травмовані пацієнти, що потребують термінової операції до того, як може бути виконане повне обстеження хребта, мають транспортуватися дуже обережно, враховуючи, що в них може бути нестабільна травма хребта. Залиште шийний комір і перекотіть пацієнта на операційний стіл, і потім — з нього. Не залишайте пацієнта на жорстких ношах /щиті протягом операції. Операційна команда має приділяти особливу увагу захисту шиї тією мірою, якою це можливо під час операції. Анестезіолог повинен мати повну інформацію про результати обстеження.  
ГРУДНИЙ І ПОПЕРЕКОВИЙ ВІДДІЛИ ХРЕБТА
Покази для скринінгу грудного й поперекового відділів хребта загалом є такими самими, як і для шийного відділу хребта. Якщо можливо, як первинний скринінг проводять мультидетекторну КТ грудного і поперекового відділів хребта. Надалі корисно буде отримати переформатовані знімки з МДКТ грудної клітки / черевної порожнини / тазу. Якщо неможливо провести мультидетекторну КТ, необхідно зробити рентген-знімки в прямій та боковій проєкціях; однак слід пам’ятати, що мультидетекторна КТ має вищу чутливість.
На рентген-знімках у прямій проєкції зверніть увагу на вертикальну лінію розташування ніжок дуг хребців та відстань між ніжками кожного хребця. Нестабільні переломи зазвичай спричиняють розширення відстані між ніжками хребця. Рентген-знімки у боковій проєкції допомагають виявити наявність підвивихів, компресійних та інших переломів.
КТ буде особливо корисною для виявлення переломів задніх відділів (хребцевих ніжок, пластини, остистих відростків) та визначення ступеня звуження хребтового каналу, спричиненого компресійними переломами значної сили (burst fracture). Потрібно виконати сагітальну й корональну реконструкцію осьових зображень КТ.
Так само як і з шийним відділом хребта, перш ніж скасувати іммобілізаційні заходи, відсутність ушкоджень повинен підтвердити досвідчений лікар на основі повної серії високоякісних рентгенологічних знімків. Проте задля уникнення пролежнів не чекайте остаточного висновку щодо рентгенівських знімків і перемістіть пацієнта з жорстких нош / щита.
Приховані загрозиПрофілактика
У випадку не досить ретельного вторинного огляду існує ймовірність пропустити ушкодження спинного мозку, зокрема неповний розрив.Забезпечте проведення ретельної неврологічної оцінки під час вторинного огляду чи після усунення загрози життю.
Наявність травми спинного мозку складно оцінити пацієнтів з порушеною свідомістю чи тих, що надходять у шоковому стані.Для таких пацієнтів повторну оцінку виконуйте особливо уважно, після вжиття заходів із усунення  станів, що загрожують життю.

Принципи ведення пацієнтів

Принципи ведення пацієнтів із травмами хребта та спинного мозку передбачають обмеження рухів хребта, введення рідин внутрішньовенно, медикаментів та переведення, якщо це доречно (Див. Додаток G).
ОБМЕЖЕННЯ РУХІВ ХРЕБТА
Медичні працівники на місці події зазвичай обмежують рухи хребта травмованого пацієнта перед транспортуванням у відділення невідкладної допомоги. Уникайте рухів хребта кожного пацієнта з підозрою на травму хребта вище і нижче місця, де ця травма може бути локалізована, допоки перелом не буде виключено. Таке завдання вирішується просто — поміщенням пацієнта на тверду поверхню в положенні на спині, без перевертань чи згинання хребта, з правильно накладеним жорстким шийним коміром (Шанца) відповідного розміру.
Пам’ятайте про те, що необхідно обмежити рухи хребта аж до моменту виключення ушкоджень. Якщо так сталося, що пацієнта доставили в лікарню / травмпункт без коміра для фіксації шиї, відповідальний лікар у кожному випадку має діяти згідно з відповідними клінічними рекомендаціями щодо прийняття рішення про призначення знімків шийного відділу хребта та накладання шийного коміра.
Лікарям заборонено робити спроби усунути видиму деформацію. У дітей може бути кривошия, у старших пацієнтів можуть бути важкі дегенеративні захворювання хребта, що спричиняють атравматичну кіфотичну деформацію хребта. Такі пацієнти мають залишатися в комфортній позиції, з обмеженням рухів хребта. Так само шийний комір може не підійти пацієнтам з ожирінням, тому варто використати опори / підкладки для підтримання шиї. Часто необхідні додаткові підкладки. Спроби вирівняти спину, щоб отримати бажане обмеження рухів хребта в положенні на щиті, не рекомендовані, якщо вони викликають біль.
Напівтвердий комір для фіксації шиї не гарантує повноцінної іммобілізації шийного відділу хребта. Додаткові опори та лямки для фіксації на щиті є ефективнішими. Водночас використання транспортних медичних щитів рекомендоване для  визволення під час порятункових операцій та швидкого переміщення пацієнтів (див. EMS Spinal Precautions and the use of the Long Backboard: Position Statement by the National Association of EMS Physicians and American College of Surgeons Committee on Trauma).
Маневр перевороту /перекочування пацієнта без згинання хребта виконують для обстеження хребта та для того, щоб забрати пацієнта з жорстких нош / транспортного щита, обмежуючи водночас рухи в хребті (Зобр. 7-10).
Зобр. 7-10 Перекочування чотирма особами. Щонайменше чотири людини необхідні для перекочування пацієнта, щоб забрати транспортний щит/ноші  та/або оглянути спину. А. Одна особа розміщується біля голови пацієнта для контролю голови та шийного відділу хребта, дві – збоку від  пацієнта для контролю тіла і кінцівок. В. Як тільки пацієнта перевернуть, три людини підтримують положення хребта, в той час як  С. четверта людина забирає щит та оглядає спину. D. Як тільки щит вилучений, три людини повертають пацієнта в положення на спині, весь час підтримуючи положення хребта.
Головний лікар у команді визначає, коли в ході реанімаційних заходів потрібно провести цю процедуру. Одна особа повинна фіксувати шию та голову пацієнта, щоб обмежити їхні рухи. Інші розташовуються з одного боку від тулуба пацієнта, руками попереджаючи ротацію сегментів тулуба, згинання, розгинання, бічне згинання чи провисання грудей або живота в процесі переміщення пацієнта. Ще одна людина відповідає за переміщення ніг пацієнта, четверта особа забирає щит та оглядає спину.
ВНУТРІШНЬОВЕННІ РІДИНИ
Якщо активна кровотеча не виявлена або немає підозр на неї, стійка гіпотензія вказує на нейрогенний шок. Пацієнти з гіповолемічним шоком зазвичай мають тахікардію, тоді як при нейрогенному шоці класично спостерігається брадикардія. Якщо артеріальний тиск пацієнта не покращується після інфузійної терапії і не знайдено ознак жодної прихованої кровотечі, може бути доцільним розсудливе використання вазопресорів. Рекомендовано використовувати фенілефрину гідрохлорид, допамін або норадреналін.
Надто активна інфузійна терапія може викликати набряк легенів у пацієнтів з нейрогенним шоком. Якщо точне визначення потреби пацієнта в рідині викликає труднощі, можуть допомогти УЗД-оцінка об’єму чи інвазивний моніторинг. Потрібно поставити сечовий катетер для контролю діурезу і уникнення перерозтягнення сечового міхура.
ЛІКАРСЬКІ ЗАСОБИ
Відсутня достатня доказова база щодо використання стероїдних препаратів у випадках ураження спинного мозку.
ПЕРЕВЕДЕННЯ ПАЦІЄНТІВ
Якщо є така необхідність, пацієнти з переломами хребта чи неврологічною недостатністю повинні бути переведені до закладу, де їм можуть надати спеціалізовану допомогу (Див. Розділ 13: Переведення до спеціалізованого закладу).
Найбезпечнішим є переведення пацієнта після консультації з керівником травматологічної команди та / або нейрохірургом закладу, куди переводять пацієнта. Стабілізуйте пацієнта, здійсніть необхідну іммобілізацію за допомогою шини, транспортного щита та / або напівжорсткого шийного коміра. Пам’ятайте, що ушкодження шийного відділу хребта вище хребця С6 може призвести до часткової або повної втрати респіраторної функції. Якщо є щонайменший сумнів щодо адекватної вентиляції, інтубуйте пацієнта перед транспортуванням. Завжди уникайте непотрібних затримок.

Командна робота

  • Травматологічна команда повинна бути впевнена в належному обмеженні рухів хребта під час первинного і вторинного оглядів, так само як і під час транспортування пацієнтів із доведеними травмами хребта чи з підозрою на них.
  • Якщо хребет пацієнта захищено від рухів, ретельніший огляд можна безпечно відкласти до моменту стабілізації стану пацієнта.
  • Хоча в багатьох випадках існує необхідність у різних суперечних один одному клінічних заходах, травматологічна команда насамперед повинна переконатися в повноті й компетентності  діагностичного огляду хребта. Головний лікар команди має визначити найкращий час для проведення такої діагностики.

Підсумки розділу

  1. Хребет складається з шийних, грудних та поперекових хребців. Спинний мозок містить три важливі тракти: кортико-спінальний, спіно-таламічний і дорсальні стовпи.
  2. Насамперед приділіть увагу травмам, що загрожують життю, шляхом мінімізації рухів хребта. Обмежте рухи хребта пацієнта, допоки не будуть виключені переломи хребців чи ушкодження спинного мозку. На ранніх етапах необхідно отримати консультацію нейрохіруга та / або ортопеда-травматолога в всіх випадках, коли є підозра чи підтвердження ушкоджень хребта.
  3. Документуйте анамнез пацієнта та дані фізикального огляду, щоб мати вихідну точку для стеження за змінами неврологічного стану.
  4. Якщо є показання, зробіть інструментальну візуалізацію одразу після усунення станів, що загрожують життю.
  5. Ушкодження спинного мозку можуть бути повні або часткові і можуть стосуватися будь-якого з його рівнів.
  6. За необхідності якомога швидше з дотриманням усіх заходів безпеки транспортуйте пацієнта з переломами хребців та ушкодженнями спинного мозку до закладу, що надає остаточну допомогу.

Список використаної літератури

  1. Biffl WL, Moore EE, Elliott JP, et al. Blunt cerebrovascular injuries. Curr Probl Surg 1999;36: 505–599.
  2. Bromberg WJ, Collier BC, Diebel LN, et al. Blunt cerebrovascular injury practice management guidelines: the Eastern Association for the Surgery of Trauma. J Trauma 2010;68:471–477.
  3. Brown CV, Antevil JL, Sise MJ, et al. Spiral computed tomography for the diagnosis of cervical, thoracic, and lumbar spine fractures: its time has come. J Trauma 2005;58(5):890–895; discussion 895–896.
  4. Coleman WP, Benzel D, Cahill DW, et al. A critical appraisal of the reporting of the National Acute Spinal Cord Injury Studies (II and III) of methylprednisolone in acute spinal cord injury. J Spinal Disord 2000;13(3):185–199.
  5. Como JJ, DIav JJ, Dunham CM, et al. Practice management guidelines for identification of cervical spine injuries following trauma: Update from the Eastern Association for the Surgery of Trauma practice management guidelines committee. J Trauma 2009;67:651–659.
  6. Cooper C, Dunham CM, Rodriguez A. Falls and major injuries are risk factors for thoracolumbar fractures: cognitive impairment and multiple injuries impede the detection of back pain and tenderness. J Trauma 1995;38:692–696.
  7. Cothren CC, Moore EE, Ray CE, et al. Cervical spine fracture patterns mandating screening to rule out blunt cerebrovascular injury. Surgery 2007;141(1):76–82.
  8. Diaz JJ, Cullinane DC, Altman DT, et al. Practice Management Guidelines for the screening of thoracolumbar spine fracture. J Trauma2007; 63(3):709–718.
  9. Ghanta MK, Smith LM, Polin RS, et al. An analysis of Eastern Association for the Surgery of Trauma practice guidelines for cervical spine evaluation in a series of patients with multiple imaging techniques. Am Surg 2002;68(6):563–567; discussion 567–568.
  10. Grogan EL, Morris JA, Dittus RS, et al. Cervical spine evaluation in urban trauma centers: lowering institutional costs and complications through helical CT scan. J Am Coll Surg 2005; 200(2):160–165.
  11. Guidelines for the Management of Acute Cervical Spine and Spinal Cord Injuries. Neurosurgery. 2013;72(Suppl 2):1–259.
  12. Guly HR, Bouamra O, Lecky FE. The incidence of neurogenic shock in patients with isolated spinal cord injury in the emergency department. Resuscitation 2008;76:57–62.
  13. Hadley MN, Walters BC, Aarabi B, et al. Clinical assessment following acute cervical spinal ord injury. Neurosurgery 2013;72(Suppl 2): 40–53.
  14. Hoffman JR, Mower WR, Wolfson AB, et al. Validity of a set of clinical criteria to rule out injury to the cervical spine in patients with blunt trauma. National Emergency X-Radiography Utilization Study Group. N Engl J Med 2000; 343:94–99.
  15. Holmes JF, Akkinepalli R. Computed tomography versus plain radiography to screen for cervical spine injury: a meta-analysis. J Trauma 2005; 58(5):902–905.
  16. Hurlbert RJ. Strategies of medical intervention in the management of acute spinal cord injury. Spine 2006;31(Suppl 11):S16–S21; discussion S36.
  17. Hurlbert J, Hadley MN, Walters BC, et al. Pharmacological therapy for acute spinal cord injury. Neurosurgery 2013;72(Suppl 2):93–105.
  18. Inaba K, Nosanov L, Menaker J, et al. Prospective derivation of a clinical decision rule for thoracolumbar spine evaluation after blunt trauma: An America Association for the Surgery of Trauma Multi-Institutional Trials Group Study. J Trauma 2015;78(3):459–465.
  19. Kirshblum S, Waring W 3rd. Updates for the International Standards for Neurological Classification of Spinal Cord Injury. Phys Med Rehabil Clin N Am 2014;25(3):505–517.
  20. Krassioukov AV, Karlsson AK, Wecht JM, et al. Assessment of autonomic dysfunction following spinal cord injury: Rationale for additions to International Standards for Neurological Assessment. J Rehabil Res Dev 2007;44:103–112.
  21. Mathen R, Inaba K, Munera F, et al. Prospective evaluation of multislice computed tomography versus plain radiographic cervical spine clearance in trauma patients. J Trauma 2007 Jun;62(6):1427.
  22. McGuire RA, Neville S, Green BA, et al. Spine instability and the logrolling maneuver. J Trauma 1987;27:525–531.
  23. Michael DB, Guyot DR, Darmody WR. Coincidence of head and cervical spine injury. J Neurotrauma 1989;6:177–189.
  24. Panacek EA, Mower WR, Holmes JF, et al. Test performance of the individual NEXUS low-risk clinical screening criteria for cervical spine injury. Ann Emerg Med 2001Jul;38(1):22–25.
  25. Patel JC, Tepas JJ, Mollitt DL, et al. Pediatric cervical spine injuries: defining the disease. J Pediatr Surg 2001;36:373–376.
  26. Pieretti-Vanmarcke R, Velmahos GC, Nance ML, et al. Clinical clearance of the cervical spine in blunt trauma patients younger than 3 years: a multi-center study of the American Association for the Surgery of Trauma. J Trauma 2009;67:543–550.
  27. Position statement. EMS spinal precautions and the use of the long backboard; National Association of EMS Physicians and American College of Surgeons Committee on Trauma. Prehospital Emergency Care 2013;17;392–393.
  28. Ryken TC, Hadley MN, Walters BC, et al. Guidelines for the management of acute cervical spine and spinal cord injuries. Chapter 5—Radiographic assessment. Neurosurgery 2013;72(3, Suppl 2): 54–72.
  29. Sanchez B, Waxman K, Jones T, et al. Cervical spine clearance in blunt trauma: evaluation of a computed tomography-based protocol. J Trauma 2005;59(1):179–183.
  30. Sayer FT, Kronvall E, Nilsson OG. Methylprednisolone treatment in acute spinal cord injury: the myth challenged through a structured analysis of published literature. Spine J 2006;6(3):335–343.
  31. Sixta S, Moore FO, Ditillo MF, et al. Screening for thoracolumbar spinal injuries in blunt trauma: An Eastern Association for the Surgery of Trauma practice management guideline. J Trauma 2012;73(5, Suppl 4):S326–S332.
  32. Stiell IG, Clement CM, Grimshaw J, et al. Implementation of the Canadian C-Spine Rule: prospective 12 centre cluster randomised trial. BMJ 2009;339:b4146.
  33. Stiell IG, Wells GA, Vandemheen KL, et al. The Canadian C-Spine rule of radiography in alert and stable trauma patients. JAMA 2001;286:1841–1848.
  34. Vaillancourt C, Stiell IG, Beaudoin T, et al. The out-of-hospital validation of the Canadian C-Spine Rule by paramedics. Ann Emerg Med 2009 Nov;54(5):663–671.
  35. Vicellio P, Simon H, Pressman B, et al. A prospective multicenter study of cervical spine injury in children. Pediatrics 2001 Aug;108(2):E20.


GMKA та American College of Surgeons (ACS) підписали меморандум про взаєморозуміння, який дозволив GMKA перекласти українською мовою 10-е видання посібника ATLS та розповсюдити його на нашому веб-сайті у відкритому доступі для українських лікарів.

Читати наступний розділ:
Травми хребта та спинного мозку: ATLS Розділ 7 – gmka.org - GMKA - Global Medical Knowledge Alliance