ATLS Розділ 6: Травма голови

Медицина невідкладних станів
Хірургія
Військова медицина
Read in English
Головною метою лікування пацієнтів з підозрою на черепно-мозкову травму є попередження вторинної черепно-мозкової травми.

Цілі

Після прочитання цього розділу та засвоєння матеріалу курсу ATLS ви зможете:
  1. Описувати основну внутрішньочерепну анатомію та фізіологічні принципи внутрішньочерепного тиску, доктрину Монро-Келлі та мозковий кровообіг.
  2. Проводити первинне обстеження та реанімацію хворих з черепно-мозковими травмами.
  3. Охарактеризовувати складові детального неврологічного обстеження.
  4. Пояснювати важливість відповідної реанімації для запобігання вторинних пошкоджень головного мозку.
  5. Визначати необхідність щодо переведення пацієнта до інших відділень, консультацій та виписки.

ТРАВМИ ГОЛОВИ

Травми голови — найпоширеніший вид травм, з якими стикаються відділення невідкладної допомоги (ВНД) в Північній Америці; їх кількість сягає близько 1 мільйона випадків щорічно. Багато пацієнтів з травмами голови тяжкого ступеня помирають, так і не потрапивши до лікарні, і майже 90% долікарняних смертей від травм спричинені саме черепно-мозковими травмами. Приблизно 70% черепно-мозкових травм у пацієнтів, яким надають медичну допомогу, можна охарактеризувати як травми голови легкого ступеня тяжкості, 15% — середнього ступеня, і 15% — тяжкого ступеня. За останніми даними в Сполучених Штатах щорічно трапляється 1 700 000 випадків черепно-мозкових травм (ЧМТ), у тому числі 275 000 госпіталізацій і 52 000 летальних випадків.
В осіб, що постраждали від ЧМТ, часто спостерігаються нервово-психічні порушення, які призводять до інвалідності, що впливає на робочу та соціальну діяльність. Щороку, за оцінками, від 80 000 до 90 000 людей у ​​Сполучених Штатах  на тривалий термін стають інвалідами внаслідок черепно-мозкової травми. В одній пересічній європейській країні (Данія) щорічно на кожен мільйон осіб приблизно 300 отримують травми голови середнього та тяжкого ступеня, і більше третини їх потребує реабілітації внаслідок травми головного мозку. З огляду на цю статистику стає зрозумілим, що навіть невелике зниження смертності та захворюваності внаслідок черепно-мозкової травми може мати серйозний вплив на здоров’я населення.
Головною метою лікування пацієнтів із підозрою на ЧМТ є запобігання вторинної травми головного мозку. Найважливішими способами обмежити вторинне пошкодження мозку і таким чином покращити результати для пацієнта є забезпечення адекватної оксигенації та підтримання кров’яного тиску на рівні, достатньому для перфузії мозку. Після обстеження за методом ABCDE потрібно негайно перевести в травматологічний центр пацієнтів, у яких за клінічним оглядом встановлено травму голови та які потребують допомоги. При наявному нейрохірургічному оснащенні дуже важливо виявити будь-яке об’ємне ураження, яке потребує хірургічного видалення; найкращим засобом виявлення такого новоутворення є комп’ютерна томографія (КТ) голови. Проте 
КТ голови не повинна перешкоджати переведенню пацієнта в травматологічне відділення, де можуть надати відповідне нейрохірургічне лікування. Встановлення послідовності надання допомоги постраждалим із травмою голови залежить від ступеня важкості травми та оснащення медичного закладу. Якщо відділення без нейрохірургічного обладнання, слід попередньо обговорити можливість переведення пацієнта у відповідні установи. У вставці 6–1 подано ключову інформацію, яку необхідно повідомити під час консультації нейрохірурга щодо пацієнта з ЧМТ.
Консультуючись із нейрохірургом щодо пацієнта з черепно-мозковою травмою, необхідно подати таку інформацію:
• Вік пацієнта.
• Як і коли він був травмований.
• Стан дихальної і серцево-судинної систем (особливо кров’яний тиск і насичення киснем).
• Неврологічний огляд, що складається зі шкали коми Глазго (ШКГ) (з особливим акцентом на рухові реакції), розміру зіниці та реакції на світло.
• Наявність будь-якого вогнищевого  неврологічного дефіциту.
• Наявність підозри на аномальний нервово-м’язовий стан
• Наявність і тип супутніх травм.
• Результати діагностичних досліджень, зокрема, КТ (якщо є)
• Лікування гіпотонії або гіпоксії
• Використання антикоагулянтної терапії
Вставка 6–1. Нейрохірургічна консультація пацієнтів із черепно-мозковими травмами

АНАТОМІЧНИЙ ОГЛЯД

Анатомічний огляд включає огляд шкіри голови, черепа, оболонок головного мозку, мозку, шлуночкової системи, спинномозкової рідини, мозочка (рис. 6–1) .
Рис. 6–1. Огляд анатомії черепа. Стрілки показують виробництво, циркуляцію та резорбцію спинномозкової рідини

Шкіра голови

Через те, що в скальпі є багато крові, рвані рани шкіри голови можуть призвести до значної втрати крові, геморагічного шоку і навіть смерті. Пацієнти, яким необхідне  тривале транспортування, мають більший ризик розвитку цих ускладнень.

Череп

Основа черепа має  увігнуту нерівну поверхню, що може сприяти травмам мозку, оскільки мозок рухається всередині черепа під час прискорення та уповільнення, які виникають під час травматичної події. У передній ямці розміщені лобові частки, у середній — скроневі, а в задній — нижній стовбур мозку та мозочок.

Оболонки головного мозку

Оболонки головного мозку вкривають мозок і складаються з трьох шарів: твердої мозкової оболонки, павутинної мозкової оболонки та м’язової мозкової оболонки (рис. 6–2). Тверда мозкова оболонка — це тверда волокниста оболонка, яка міцно прилягає до внутрішньої поверхні черепа. У певних місцях тверда оболонка розпадається на два «листки», які охоплюють великі венозні синуси, що забезпечують основний венозний дренаж від мозку. Середня лінія верхнього сагітального синуса впадає в двосторонні поперечні та сигмовидні синуси, які зазвичай більші з правого боку. Розрив цих венозних синусів може призвести до масивного крововиливу.
Рис. 6–2. Три прошарки оболонок головного мозку: тверда оболонка, павутинна оболонка і м’яка оболонка.
Менінгеальні артерії проходять між твердою оболонкою і внутрішньою поверхнею черепа (епідуральний простір). Переломи черепа можуть пошкодити ці артерії і викликати епідуральні гематоми. Менінгеальні судини, які травмуються найчастіше — це середня менінгеальна артерія, яка міститься над скроневою ямкою. Велика гематома в результаті пошкодження артерії в цьому місці може призвести до швидкого погіршення стану пацієнта і навіть смерті. Епідуральна гематома може також виникнути в результаті травми дуральних синусів та переломів черепа; як правило, вона розширюється повільніше й чинить менший тиск на мозок. Утім, більшість епідуральних гематом є надзвичайно загрозливими для життя, і слід якомога швидше звернутися до нейрохірурга.
Під твердою оболонкою міститься другий менінгеальний шар, або тонка прозора павутинна мембрана. Оскільки тверда оболонка не прикріплена до павутинної мембрани, між цими шарами існує простір (субдуральний простір), у якому може відбутися крововилив. У випадку ЧМТ сполучні вени, які проходять від поверхні мозку до венозних синусів твердої мозкової оболонки, можуть розірватися, що призведе до утворення субдуральної гематоми.
Третій шар, м’яка оболонка, міцно прикріплений до поверхні мозку. Спинномозкова рідина (ліквор) заповнює простір між павутинною водонепроникною мембраною і м’якою оболонкою (субарахноїдальний простір), оточуючи головний і спинний мозок. Кровотеча в цьому заповненому рідиною просторі (субарахноїдальний крововилив) часто спостерігається у випадку забою головного мозку або травми головних кровоносних судин біля основи мозку

Мозок

Мозок складається з головного мозку, мозочка і стовбура мозку. Головний мозок складається з правої і лівої півкуль, які розділяє серп мозку. Ліва півкуля містить мовні центри практично у всіх правшів і в більш ніж 85% лівшів. Лобова частка мозку відповідає за виконавчі функції, емоції, рухові функції, і на домінуючій стороні — за мовлення (мовна зона). Тім’яна частка відповідає за сенсорну функцію і просторову орієнтацію. Скронева частка регулює певні функції пам’яті. Практично у всіх правшів і в більшості лівшів ліва скронева частка містить ділянки, які відповідають за розуміння мови та інтеграцію. Потилична частка відповідає за зір.
Стовбур головного мозку складається із середнього мозку, моста і довгастого мозку. Середній мозок і верхній міст становлять ретикулярну активуючу систему, яка відповідає за концентрацію уваги. Життєво важливі кардіореспіраторні центри містяться в довгастому мозку, який згодом переходить у спинний мозок. Навіть незначні пошкодження стовбура головного мозку можуть призвести до серйозних неврологічних проблем.
Мозочок, який в основному відповідає за координацію та баланс, міститься в задній черепній ямці і з’єднується зі спинним мозком, стовбуром мозку і, зрештою, з півкулями.

Шлуночкова система мозку

Шлуночки — це система порожнин та каналів усередині мозку, які заповнені спинномозковою рідиною (СМР). Ця рідина виробляється всередині шлуночків і поглинається поверхнею мозку. Наявність крові в спинномозковій рідині може погіршити реабсорбцію СМР, у результаті виникає підвищення внутрішньочерепного тиску. Набряк і об’ємні новоутворення (наприклад, гематоми) можуть призвести до вкорочення або зсуву зазвичай симетричних шлуночків, що легко виявити на КТ головного мозку.

Внутрішньочерепні відділи

Тверді менінгеальні перегородки розділяють мозок на частини. Намет мозочка ділить внутрішньочерепну порожнину на над- і піднаметові відділи. Середній мозок проходить через великий отвір до мозочку, який називають вирізкою намету мозочка. Окоруховий нерв (III черепний нерв) проходить уздовж краю намету, і може відбутися защемлення у випадку скроневої грижі. Парасимпатичні волокна, які звужують зіниці, лежать на поверхні окорухового нерву. Защемлення цих поверхневих волокон у результаті грижі викликає розширення зіниць внаслідок безперешкодної симпатичної активності, що часто називають «розширеною або роздутою» зіницею (рис. 6–3).
Рис. 6–3. Неоднакові зіниці: ліва більша від правої.
Частина мозку, в якій зазвичай виникають грижі через вирізку намету мозочка, називається медіальною частиною скроневої частки, або ункусом (рис. 6–4). Ункальна (трансстенторіальна) грижа, у свою чергу, може спровокувати защемлення кортикоспінального (пірамідального) тракту в мозку. Моторний тракт переходить на протилежну сторону великого потиличного отвору, тому защемлення на рівні середнього мозку призводить до захворювань у протилежній стороні тіла (перехресний геміпарез). Іпсілатеральне розширення зіниць, пов’язане з перехресним геміпарезом, — це класичний синдром ункальної грижі. В поодиноких випадках об’ємні новоутворення можуть тиснути на протилежну сторону мозку вздовж краю мозочка, в результаті чого виникає геміпарез та розширення зіниці на тій же стороні, що й гематоми.
Рис. 6–4. Бічна (унікальна) грижа. Ураження середньої менінгеальної артерії внаслідок перелому скроневої кістки може викликати скроневу епідуральну гематому. Ункус стискає верхній стовбур мозку, залучаючи ретикулярну систему (зменшення ШКГ), окоруховий нерв (зміни зіниць) і кортикоспінальний тракт у середньому мозку (контралатеральний геміпарез).

ФІЗІОЛОГІЯ

Фізіологічні концепції, які стосуються черепно-мозкових травм, включають внутрішньочерепний тиск, доктрину Монро-Келлі та мозковий кровообіг.

Внутрішньочерепний тиск (ВЧТ)

Підвищений ВЧТ може спричинити зниження перфузії головного мозку і викликати або посилити ішемію. Нормальний ВЧТ у стані спокою становить приблизно 10 мм рт. ст. ВЧТ; такий, що перевищує 20 мм рт. ст., особливо на постійній основі і без належної терапії, може призвести до негативних наслідків.

Доктрина Монро-Келлі

Доктрина Монро-Келлі — це просте, але життєво важливе поняття, пов’язане з розумінням динаміки ВЧТ. У доктрині йдеться про те, що загальний обсяг внутрішньочерепного об’єму повинен залишатися незмінним, бо череп є твердою ємністю, яка не здатна збільшуватися. При перевищенні нормального внутрішньочерепного об’єму ВЧТ підвищується. Венозна кров і спинномозкова рідина може бути витіснена з ємності, що забезпечує нормалізацію тиску (рис. 6–5 і 6–6). Тож одразу після травми таке новоутворення як, скажімо, тромб, може збільшитися, а ВЧТ залишається нормальним. Однак, як тільки була досягнута межа витіснення СМР і внутрішньосудинної крові, ВЧТ різко зростає.
Рис. 6–5 Крива залежності тиску від розміру новоутворення. Внутрішньочерепний об’єм спочатку здатний компенсувати внутрішньочерепне новоутворення, таке як субдуральна чи епідуральна гематома. Після того, як обсяг цього новоутворення досягає граничного порогу, часто відбувається швидке збільшення внутрішньочерепного тиску, що може призвести до зниження або припинення мозкового кровотоку.
Рис. 6–6. Доктрина Монро-Келлі стосовно внутрішньочерепної компенсації новоутворення. Загальний внутрішньочерепний об’єм залишається незмінним. Якщо виникнення новоутворення, такого як гематоми, призводить до витіснення того ж об’єму СМР і венозної крові, ВЧТ залишається нормальним. Однак, коли цей компенсаційний механізм досягає граничного порогу, відбувається експоненціальне зростання ВЧТ навіть при невеликому додатковому збільшенні об’єму гематоми.
(Взято з: Narayan RK: Head Injury. In: Grossman RG, Hamilton WJ eds., Principles of Neurosurgery..New York, NY: Raven Press, 1991).

Мозковий кровообіг

Серйозні черепно-мозкові травми, що здатні викликати кому, можуть бути спричинені значним зниженням мозкового кровообігу (МКО) протягом перших кількох годин після травми. Як правило, МКО підвищується впродовж наступних 2-3 днів, але у пацієнтів, які залишаються в комі, МКО залишається нижчим за норму протягом декількох днів або тижнів після травми. Існує все більше доказів, що такий низький рівень МКО є недостатніми для задоволення метаболічних потреб головного мозку в ранні терміни після травми. Місцева, навіть загальна, церебральна ішемія часто зустрічається після ЧМТ важкого ступеня як з відомих, так і з невизначених причин.
Прекапілярна мозкова судинна мережа, як правило, має здатність рефлекторно звужуватися або розширюватися у відповідь на зміни перфузійного тиску мозку (ПТМ). В клінічних цілях ця величина визначається як середній артеріальний тиск мінус внутрішньочерепний тиск (ПТМ = САТ – ВЧТ). Для підтримки постійного МКО (авторегуляція тиску) необхідний ПТМ від 50 до 150 мм рт. ст. Черепно-мозкова травма тяжкого ступеня здатна порушити ауторегуляцію тиску до такої міри, що мозок не зможе належним чином компенсувати зміни ПТМ. Якщо показник САТ занадто низький, може розвинутися ішемія та інфаркт. Якщо САТ занадто високий, спостерігається виражений набряк мозку при підвищеному ВЧТ.
Кровоносні судини головного мозку також звужуються або розширюються у відповідь на зміни парціального тиску кисню (PaO2) і парціального тиску вуглекислого газу (PaCO2) в крові (хімічна регуляція). Тому вторинне пошкодження може виникнути внаслідок гіпотензії, гіпоксії, гіперкапнії та ятрогенної гіпокапнії.Необхідно докласти всіх зусиль для підвищення мозкової перфузії і кровопостачання за рахунок зниження підвищеного ВЧТ, підтримки нормального внутрішньосудинного об’єму, підтримки нормального CAT і відновлення нормальної оксигенації та вентиляції. Слід одразу ж лікувати гематоми та інші ушкодження, які збільшують внутрішньочерепний об’єм. Підтримання церебрального перфузійного тиску допомагає поліпшити МКО, хоча ПТМ не тотожний адекватному МКО. Як тільки компенсаторні механізми вичерпуються і ВЧТ збільшується в геометричній прогресії, перфузія мозку порушується.

КЛАСИФІКАЦІЯ ТРАВМ ГОЛОВИ

Черепно-мозкові травми діляться на кілька видів. Для практичних цілей ступінь тяжкості та морфологія травм подаються у формі класифікації в цьому розділі (табл. 6–1). (Також див.: «Класифікації травм головного мозку» в мобільному додатку MyATLS)
ТяжкістьЛегкий ступінь 
Середній ступінь  
Високий ступінь 
ШКГ 13-15
ШКГ 9-12
ШКГ 3-8
 
МорфологіяПереломи черепасклепіннялінійний/V-подібний перелом
  основиз/без витікання СМР 
з/без паралічу сьомого нерву
 Внутрішньочерепні ушкодженняФокальніЕпідуральні
Субдуральні
Внутрішньомозкові
  ДифузніСтрус мозку
Численні забої
Гіпоксичні/ішемічні ушкодження
Аксональна травма
Таблиця 6–1. Класифікація травм головного мозку
Взято з: Valadka AB, Narayan RK. Emergency room management of the head-injured patient. In: Narayan RK, Wilberger JE, Povlishock JT, eds. Neurotrauma. New York, NY: McGraw-Hill, 1996:120.

Ступені тяжкості травми

Показник за шкалою коми Глазго (ШКГ) використовується як об’єктивний клінічний ступінь тяжкості травми головного мозку (табл. 6–2). (Також див.: «Шкала коми Глазго» у мобільному додатку MyATLS.) Показник ШКГ, що становить менше 8 балів, став загальноприйнятим визначенням коми або важкої черепно-мозкової травми. Особи з черепно-мозковою травмою, у яких показник ШКГ становить від 9 до 12 балів, класифікуються як пацієнти з середнім ступенем тяжкості; ті, у кого показник ШКГ становить від 13 до 15 балів, класифікуються як пацієнти з помірним ступенем тяжкості. При визначенні балів за ШКГ, коли присутня права/ліва асиметрія, важливо використовувати в розрахунках найвищі показники рухових реакцій, тому що вони дають найнадійніший результат. Тим не менш, слід записати фактичну реакцію з обох сторін тіла, обличчя, верхніх та нижніх кінцівок.
Оригінальна шкалаПереглянута шкалаБали
Розплющування очей (Е, Eye response)
• Довільне
• На словесне звертання
• На больові подразники
• Відсутнє
Розплющування очей (Е, Eye response)
• Спонтанне
• На звук
• На дотик
• Немає 
• Не визначається

4
3
2
1
НВ
Мовна реакція (V, Verbal response)
• Орієнтованість повна
• Сплутана
• Незрозумілі слова
• Нечленороздільні звуки
• Відсутня
Мовна реакція (V, Verbal response)
• Орієнтована
• Сплутана
• Слова
• Звуки
• Немає
• Не визначається

5
4
3
2
1
НВ
Рухова реакція (М, Motor response)
• Виконує команди 
•Локалізує біль
• Згинання від болю
• Згинання (декортикація)
• Розгинання (декортикація)
• Відсутня (млявість)
Рухова реакція (М, Motor response)
• Підкоряється командам
• Локалізує
• Нормальне згинання
• Аномальне згинання
• Розгинання
• Немає
• Не визначається

6
5
4
3
2
1
НВ
Таблиця 6–2. Шкала коми Глазго (ШКГ). Оцінка ШКГ = (E[4] + V[5] + M[6]) = найвищий можливий бал 15; найгірший можливий бал 3.
*Якщо оцінку неможливо провести, числова оцінка не виставляється, і вона вважається такою, яка «не визначена».
Джерело: www.glasgowcomascale.org

Морфологія

Травма голови може включати переломи черепа та внутрішньочерепні ураження, такі як забої, гематоми, дифузні ушкодження та вторинні набряки (гіперемія).

Перелом черепа

Переломи черепа трапляються в ділянці склепіння або основи. Вони можуть бути лінійними або V-подібними, відкритими або закритими. Для виявлення базальних переломів черепа, як правило, потрібно провести КТ з особливим налаштуванням. До клінічних ознак належать синці під очима (періорбітальний екхімоз – очі єнота), синець у завушній області (ретроаурікулярний екхімоз – симптом Батла), витікання СМР з носа (ринорея) або вуха (оторея), дисфункція сьомого і восьмого нерва (параліч лицьового нерва та втрата слуху), які відбуваються одразу або за кілька днів після початкової травми. Наявність цих ознак дає підстави підозрювати перелом основи черепа та допомагає його виявити. Деякі переломи проходять через сонні канали і можуть пошкодити сонні артерії (дисекція, утворення псевдоаневризми або тромбоз). У таких випадках необхідно розглянути можливість проведення артеріографії головного мозку (КТ-ангіографії [КТ-А] або звичайної ангіограми).
Відкриті переломи черепа призводять до рваних ран на голові та поверхні мозку в результаті пошкодження твердої оболонки. Не слід недооцінювати переломи черепа, оскільки для таких переломів потрібна значна сила. Лінійний перелом склепіння у пацієнтів при свідомості збільшує ймовірність внутрішньочерепної гематоми приблизно в 400 разів.

Внутрішньочерепні пошкодження

Внутрішньочерепні пошкодження поділяють на дифузні та фокальні (вогнищеві), хоча ці дві форми часто співіснують. 

Дифузні травми головного мозку.

Дифузні травми головного мозку варіюються від легких струсів, при яких КТ голови, як правило, нормальна, до тяжких гіпоксичних ішемічних пошкоджень. У випадку струсу мозку в пацієнта спостерігається перехідне, нефокальне неврологічне порушення, яке часто супроводжується втратою свідомості. Важкі дифузні травми часто призводять до гіпоксії, ішемічного інсульту головного мозку через тривалий стан шоку або апное, що наступає відразу після травми. У таких випадках КТ-картина може спочатку бути нормальною або мозок може бути дифузно набряклим, із відсутністю нормального розмежування сіро-білої рідини. Дифузні пошкодження від високошвидкісних травм можуть спричинити множинні петехіальні (точкові) крововиливи у півкулях, які часто виникають між сірою та білою речовиною. Ці «дотичні ушкодження», або дифузні аксональні травми (ДАТ) визначають клінічний синдром важкої черепно-мозкової травми з несприятливим результатом.

Вогнищеві ураження головного мозку

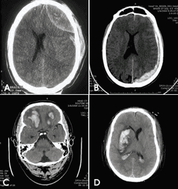
Вогнищеві ураження включають епідуральні гематоми, субдуральні гематоми, забої та внутрішньомозкові гематоми (рис. 6–7).
Рис. 6–7. КТ внутрішньочерепних гематом.
А. Епідуральна гематома.
В Субдуральна гематома.
С. Двосторонні забої з крововиливами.
D. Інтрапаренхімальний крововилив справа із зсувом серединної лінії справа наліво та вторинні бівентрикулярні крововиливи.
Епідуральні гематоми 
Епідуральні гематоми виникають відносно рідко; вони спостерігаються приблизно в 0,5% пацієнтів з травмами головного мозку і в 9% тих, хто перебуває в комі. Ці гематоми зазвичай мають двоопуклу або лінзовидну форму і витісняють тверду оболонку мозку від внутрішньої плоскої пластини черепа. Вони найчастіше виникають у скроневій або скронево-тім’яній області та нерідко призводять до розриву середньої менінгеальної артерії в результаті перелому. Ці згустки за походженням переважно артеріальні; однак вони також можуть виникнути і в результаті розриву великого венозного синуса чи кровотечі внаслідок перелому кісток черепа. Класична ознака епідуральної гематоми — це чітко виражений інтервал між моментом травми та неврологічним погіршенням.
Субдуральні гематоми. 
Субдуральні гематоми виникають частіше, ніж епідуральні, й спостерігаються приблизно в 30% важких травм мозку. Вони, як правило, виникають внаслідок розривання невеликих поверхневих і або мостових кровоносних судин кори головного мозку. На відміну від лінзовидної форми епідуральної гематоми, яку видно на КТ, субдуральна гематома частіше збігається з контурами мозку. Крім того, пошкодження головного мозку в результаті гострої субдуральної гематоми зазвичай набагато серйозніші, ніж у випадку епідуральної гематоми через наявність супутнього ураження паренхіми.
Забої і гематоми головного мозку 
Внутрішньомозкові забої трапляються досить часто (на сьогодні вони становлять від 20% до 30% важких травм головного мозку). Більшість забоїв виникає у лобній і скроневій областях, хоча вони можуть виникати в будь-якій частині мозку. Унаслідок забою за кілька години або днів можуть виникнути внутрішньомозкові гематоми або коалесцентний забій, що вимагає негайного хірургічного втручання. Це спостерігається на КТ голови у 20% пацієнтів із забоями. З цієї причини пацієнти із забоями повинні пройти КТ повторно, щоб оцінити зміни в структурі забою впродовж 24 годин після первинного сканування.

РЕКОМЕНДАЦІЇ З ЛІКУВАННЯ МЕТОДАМИ ДОКАЗОВОЇ МЕДИЦИНИ

Доступні рекомендації для лікування ЧМТ, засновані на наукових доказах. У вересні 2016 року в електронному вигляді було опубліковано 4-е видання «Рекомендацій Фонду травм головного мозку для лікування черепно-мозкової травми тяжкого ступеня», а друкований синопсис був опублікований в Journal of Neurosurgery у січні 2017 року. Нові рекомендації багато в чому відрізняються від опублікованих раніше. Тепер рівні доказів позначаються від найвищої до найнижчої якості: ​​рівні І, ІІА, IIB і III.
Перші рекомендації щодо ЧМТ, «Керівництво з лікування тяжкої черепно-мозкової травми», Фонд травм головного мозку опублікував у 1995 році, переглянув у 2000 році й востаннє оновив у 2016 році. З тих пір були опубліковані додаткові огляди, засновані на доказах щодо догоспітального лікування. ЧМТ; важка ЧМТ у немовлят, дітей та підлітків; ранні прогностичні показники при тяжкій ЧМТ та бойові травми головного мозку. Рекомендації Фонду травми головного мозку TBI, на які посилаються в цьому розділі, можна завантажити з веб-сайту фонду: http://www.braintrauma.org. Крім того, у 2015 році рекомендації щодо лікування ЧМТ опублікувала «Програму покращення якості травми Американського коледжу хірургів» (TQIP).Навіть пацієнти з ЧМТ очевидного руйнівного впливу можуть зазнати значного неврологічного відновлення. Невідкладне лікування та краще розуміння патофізіології тяжкої травми голови, особливо ролі гіпотензії, гіпоксії та церебральної перфузії, суттєво вплинули на результати лікування пацієнтів. У табл. 6–3 подано огляд лікування ЧМТ.
УСІ пацієнти: Проведіть ABCDE з особливою увагою до гіпоксії та гіпотонії.
Класифікація за ШКГШКГ 13–15
ЧМТ легкого ступеня
 ШКГ 9–12
ЧМТ середнього ступеня
ШКГ 3–8
ЧМТ тяжкого ступеня
Початкове лікуванняаЗбір анамнезу за AMPLE та неврологічний огляд: запитайте, зокрема, про використання антикоагулянтів
Примітка: AMPLE – Аллергії, ліки, попередній медичний анамнез, останній прийом їжі та інші необхідні дані  (Allergies, Medications, Past medical history, Last meal or other intake, and Events leading to presentation
 Потрібна нейрохірургічна оцінка або переведенняПотрібна термінова нейрохірургічна консультація або переведення
 Може бути виписаний, якщо наступні критерії не дотримані: 
Визначте механізм, час отримання травми, початкова оцінка ШКГ, сплутаність свідомості, інтервал втрати пам’яті, наявність судом, тяжкість головного болю тощо.
*Вторинне обстеження, включаючи прицільний неврологічний огляд
Госпіталізація за умови:
Відсутні дані КТ, аномальна картина КТ, перелом черепа, витік ліквору
Вогнищевий неврологічний дефіцит
ШКГ не повертається до 15 протягом 2 годин
*Первинне обстеження та реанімація
*Організувати переведення для нейрохірургічного обстеження та лікування
*Прицільний неврологічний огляд
*Повторний збір анамнезу за AMPLE
*Первинне обстеження та реанімація
*Інтубація та вентиляція для захисту дихальних шляхів
*Лікування гіпотензії, гіповолемії та гіпоксії
*Прицільний неврологічний огляд
*Повторний збір анамнезу за AMPLE
Діагностика*КТ-сканування відповідно до правил КТ голови (табл. 6–3)
* Токсикологічний аналіз та кров/сеча на вміст етанолу
КТ недоступна КТ аномальна, перелом черепа
Сильна інтоксикація (госпіталізація або спостереження)
*КТ у всіх випадках
*Оцінка на наявність інших травм
* Група та резус крові, коагулограма
*КТ у всіх випадках
*Оцінка на наявність інших травм
* Група та резус крові, коагулограма
Вторинне лікування*Ряд обстежень до досягнення ШК 15 і відсутності у пацієнта персеверацій або провалів у пам’яті
*Виключення показання до КТ (табл. 6–4)
*Ряд обстежень
*Повторне КТ, якщо перший результат відмінний від норми або ШКГ залишається менше 15 балів
*Повтор КТ (або переведення) при погіршенні неврологічного стану
*Повторне обстеження
*Контроль КТ через 12–18 годин
*Регулярні повторні 
неврологічні огляди з оцінкою за ШКГ
*PaCO2 35–40 мм рт. ст
*Манітол, короткочасна гіпервентиляція, не менше 25 мм рт. ст. при погіршенні
*PaCO2 не менше 25 мм рт. ст., за винятком ознак грижі головного мозку. Уникайте гіпервентиляції в перші 24 години після травми, коли церебральний кровотік може бути критично знижений. Коли використовується гіпервентиляція SjO2 (насичення яремної вени киснем) або PbTO2 (парціальний тиск тканини мозку O2), рекомендується проводити вимірювання для контролю доставки кисню.
*Усунення внутрішньочерепних уражень відповідним чином
Переведення*Виписка додому, якщо пацієнт не відповідає критеріям для госпіталізації
*Виписка з листком попередження про травму голови та узгодження подальших заході
Нейрохірургічна оцінка, якщо КТ або неврологічне обстеження не відповідає нормі або при погіршенні стану пацієнта
*За потреби організувати медичне спостереження та нейропсихологічну оцінку (може проводитися амбулаторно)
*Негайний повтор КТ у разі погіршення стану та лікування як при черепно-мозковій травмі тяжкого ступеня
*Переведення до травматологічного центру
*Невідкладне переведення для надання нейрохірургічної допомоги
Таблиця 6–3. Огляд лікування ЧМТ. 
аПункти, позначені зірочкою (*), вказують на необхідні дії.
Узято з: Valadka AB, Narayan RK, Emergency room management of the head-injured patient. In: Narayan RK, Wilberger JE, Povlishock JT, eds., Neurotrauma. New York, NY: McGraw-Hill, 1996).

НАДАННЯ МЕДИЧНОЇ ДОПОМОГИ ПАЦІЄНТАМ З ЧЕРЕПНО-МОЗКОВИМИ ТРАВМАМИ ЛЕГКОГО СТУПЕНЯ ВАЖКОСТІ (13-15 БАЛІВ ЗА ШКГ)

Черепно-мозкова травма легкого ступеня спостерігається при післяреанімаційній оцінці за ШКГ від 13 до 15 балів. Часто у цих пацієнтів реєструється струс головного мозку з тимчасовою втратою неврологічної функції після травми голови. Пацієнт із ЧМТ легкого ступеня при свідомості та з присутньою функцією мовлення може допомогти зрозуміти історію виникнення дезорієнтації, амнезії або тимчасової втрати свідомості. 
Буває складно підтвердити випадок однієї короткочасної втрати свідомості, і картина часто стирається в результаті вживання алкоголю або інших наркотичних речовин. Не рекомендується приймати рішення щодо причин зміни психічного стану при наявності відволікаючих факторів, поки травма мозку не буде остаточно виключена. Лікування пацієнтів із незначною травмою головного мозку описується на рис. 6–8. (Також див. «Алгоритм лікування ЧМТ легкого ступеня» в мобільному додатку MyATLS.
Приховані загрозиЗапобігання
У пацієнта розвивається повторна ЧМТ невдовзі після початку лікування черепно-мозкової травми легкого ступеня.• Навіть за відсутності неврологічних відхилень доцільно застерегти пацієнта щодо небезпеки дій, які потенційно можуть призвести до повторної травми мозку (наприклад, інтенсивні фізичні навантаження, контактні види спорту та інші види діяльності, які можуть викликати такі симптоми).
• Вторинне обстеження під час амбулаторного спостереження для визначення часу відновлення повної активності або необхідності реабілітації.
Більшість пацієнтів із легкою черепно-мозковою травмою одужує без ускладнень. Приблизно у 3% спостерігається раптове погіршення стану, що потенційно може призвести до серйозної неврологічної дисфункції, якщо вчасно не виявити зниження психічної активності.
Вторинне обстеження є особливо важливим для оцінки пацієнтів із ЧМТ легкого ступеня. Слід звернути увагу на механізм травми, особливо на такий фактор як втрата свідомості, а також на час, коли пацієнт не реагував на подразники, на будь-яку судомну активність і на подальшу реакцію пацієнта. Необхідно визначити тривалість амнезії до (ретроградної) і після (антероградної) травматичного інциденту. Повторне обстеження та документування балів ШКГ важливе для всіх пацієнтів. Комп’ютерна томографія є бажаним методом візуалізації, однак отримання зображень не повинно затримувати переведення пацієнта, який цього потребує.
КТ голови необхідне пацієнтам із підозрою на ЧМТ легкого ступеня (тобто тоді, коли спострігається втрата свідомості, часткова амнезія або дезорієнтація у пацієнта з оцінкою за ШКГ 13–15) у поєднанні з будь-яким із наступних факторів:
Високий ризик нейрохірургічного втручання:
• Оцінка за ШКГ менша 15 за 2 години після травми
• Підозра на відкритий або вдавлений перелом черепа
• Будь-які ознаки перелому базилярного черепа (наприклад, основи черепа, симптом окулярів, оторея або ринорея спинномозкової рідини, ознака Баттла)
• Блювота (більше двох епізодів)
• Вік більше 65 років
• Використання антикоагулянтів*
Помірний ризик травми головного мозку при КТ:
• Втрата свідомості (більше 5 хвилин)
• Амнезія до удару (більше 30 хвилин)
• Небезпечний механізм травми (наприклад, автомобільна аварія, пасажира викинуто з автомобіля, падіння з висоти більше ніж 1 м чи п’яти сходинок)
Таблиця 6–4. Показання до КТ у пацієнтів із ЧМТ легкого ступеня.
Узято з: Stiell IG, Wells GA, Vandemheen K, et al. The Canadian CT Head Rule for patients with minor head injury. Lancet 2001 357:1294..
*Правило щодо необхідності КТ голови не поширюється на пацієнтів із антикоагулянтною терапією.
Доцільним є проведення КТ-дослідження всім пацієнтам із черепно-мозковою травмою, у яких клінічно підозрюється відкритий перелом черепа, будь-які ознаки перелому кісток основи черепа та спостерігається більше двох епізодів блювання. Також доцільна КТ пацієнтам від 65 років (табл. 6–4). КТ також рекомендується у випадках втрати свідомості понад 5 хвилин, при ретроградній амнезії понад 30 хвилин, небезпечному механізмі травми, сильному болю голови, судомах, короткочасній втраті пам’яті, алкогольній або наркотичній інтоксикації, коагулопатії або вогнищевій неврологічній недостачі, пов’язаній з головним мозком.
Застосовуючи ці параметри до пацієнтів із 13 балами за ШКГ, приблизно у 25% випадків КТ підтвердить травми, а в 1,3% випадків — необхідне нейрохірургічне втручання. Застосовуючи ці параметри до пацієнтів із 15 балами за ШКГ, у 10% випадків КТ підтвердить травми і 0,5% — потребуватимуть нейрохірургічного втручання. 
Якщо на КТ спостерігаються відхилення від норми, або якщо у пацієнта й далі спостерігаються відповідні симптоми чи неврологічні порушення, його слід госпіталізувати і провести консультації у нейрохірурга.
Якщо пацієнти не мають симптомів, повністю при свідомості, реагують на подразники і не мають неврологічних порушень, за ними варто спостерігати протягом кількох годин, провести повторний огляд, і, якщо всі показники в нормі, їх можна виписувати. В ідеалі пацієнта виписують і за ним спостерігають удома протягом найближчих 24 годин. Інструкційний лист допомагає пацієнту та особі, яка за ним доглядає, проводити детальне спостереження, і якщо виникає головний біль, спостерігається зниження психічного стану або розвиваються координаційні неврологічні відхилення, слід повернутися до лікарні. У всіх випадках потрібно надавати письмові інструкції і детально їх розглянути з пацієнтом та/або з особою, яка за ним доглядатиме (рис 6–9).
Якщо пацієнт не вповні розуміє зміст письмових чи усних інструкцій, слід переглянути рішення про його виписку.
Рис. 6–9. Приклад інструкції з попередженням при виписці пацієнта з ЧМТ легкого ступеня.

НАДАННЯ МЕДИЧНОЇ ДОПОМОГИ ПАЦІЄНТАМ З ЧЕРЕПНО-МОЗКОВИМИ ТРАВМАМИ СЕРЕДНЬОГО СТУПЕНЯ ВАЖКОСТІ (9-12 БАЛІВ ЗА ШКГ)

Близько 15% пацієнтів із черепно-мозковими травмами, що потрапляють до травматологічних відділень, мають ушкодження середнього ступеня тяжкості. Вони, як і раніше, можуть виконувати прості команди, але, як правило, плутаються і є сонними, а також можуть мати координаційні неврологічні порушення, такі як геміпарез. Стан приблизно 10–20% таких пацієнтів може погіршуватися, декотрі можуть впасти в кому. Тому важливо провести низку неврологічних обстежень для лікування цих хворих.
Надання медичної допомоги пацієнтам із черепно-мозковими травмами середнього ступеня тяжкості описане на рис. 6–10. (Також див. «Алгоритм надання медичної допомоги пацієнтам з ЧМТ середнього ступеня» в мобільному додатку MyATLS.)
Рис. 6–10. Алгоритм дій у випадку черепно-мозкових травм середнього ступеня тяжкості. (Узято з: Valadka AB, Narayan RK, Emergency room management of the head-injured patient. In: Narayan RK, Wilberger JE, Povlishock JT, eds., Neurotrauma. New York, NY: McGraw-Hill, 1996.)
Коли пацієнт поступає до відділення невідкладної допомоги, слід скласти коротку історію і забезпечити його кардіо-пульмональну стабільність перед неврологічною оцінкою. Такий пацієнт потребує госпіталізації для спостереження у відділенні під відповідним наглядом медсестри, а також проведення повторного неврологічного обстеження впродовж перших 12–24 годин. Повторна КТ голови в період до 24 годин є доцільною, якщо початкова КТ виявила аномальні явища, або на більш ранньому етапі, якщо відбулося погіршення неврологічного стану пацієнта.
Приховані загрозиПрофілактика
Стан пацієнта з 12 балами за ШКГ погіршується до 9 балів за ШКГ.• Повторна оцінка стану пацієнта для виявлення будь-якого зниження психічної активності. 
• Продумане використання наркотичних та заспокійливих засобів.
• У разі необхідності — моніторинг газів крові або капнографія для забезпечення адекватної вентиляції.
• При недостатній вентиляції — інтубація пацієнта.

НАДАННЯ МЕДИЧНОЇ ДОПОМОГИ ПАЦІЄНТАМ З ЧЕРЕПНО-МОЗКОВИМИ ТРАВМАМИ ВАЖКОГО СТУПЕНЯ (3-8 БАЛІВ ЗА ШКГ)

Приблизно 10% пацієнтів із черепно-мозковими травмами тяжкого ступеня мають серйозні ушкодження. Такі пацієнти не можуть виконувати прості команди, навіть після кардіопульмональної стабілізації. Хоча це визначення включає в себе широкий спектр черепно-мозкових травм, воно ідентифікує пацієнтів із найбільшим ризиком вторинних ускладнень та летального кінця. Зволікання з наданням невідкладної допомоги у таких потерпілих може мати катастрофічні наслідки, тож на цьому етапі надзвичайно важливими є оперативна діагностика і лікування. Не зволікайте з переведенням пацієнта у відділ інтенсивної терапії для проведення КТ.
Надання медичної допомоги пацієнтам із черепно-мозковими травмами важкого ступеня описане на рис. 6–11. (Також див. «Алгоритм надання медичної допомоги пацієнтам з ЧМТ тяжкого ступеня» в мобільному додатку MyATLS.)

ПЕРВИННИЙ ОГЛЯД ТА РЕАНІМАЦІЯ

Черепно-мозкова травма часто призводить до вторинних ускладнень. Смертність хворих із тяжкою черепно-мозковою травмою, які страждають на гіпотонію при поступленні, удвічі вища, ніж у хворих, які не страждають на гіпотонію. При гіпоксії та гіпотонії смертність становить приблизно 75%. Тому вкрай важливо стабілізувати гемодинаміку у хворих із тяжкою черепно-мозковою травмою. Див. табл. 6–2 щодо пріоритетів первинного обстеження та встановлення послідовності надання допомоги постраждалим із тяжкими черепно-мозковими травмами. (Також див. Додаток G: «Навички з обмеженими можливостями».)

Дихальні шляхи та дихання

У таких випадках часто спостерігається переривчасте дихання та гіпоксія, що може призвести до вторинних пошкоджень головного мозку. Коматозним пацієнтам необхідно провести ендотрахеальну інтубацію. Необхідно провести оксигенацію 100% киснем, поки не нормалізується показник кисню в крові, а потім — коригувати частку кисню в повітрі, яке вдихається (FiO2), у відповідності з нормою. Додатково можна провести пульсоксиметрію, бажане насичення киснем становить >98%. Встановіть параметри вентиляції, щоб підтримувати РСO2 приблизно на рівні 35 мм рт. ст. Гіпервентиляцію слід застосовувати з обережністю у хворих із тяжкою черепно-мозковою травмою — тільки у випадку гострого неврологічного погіршення або при ознаках грижі головного мозку. Не рекомендується тривала гіпервентиляція з РСO2 <25 мм рт.ст. (Рекомендації IIB).
Вставка 6–2. Пріоритети для первинної оцінки та класифікації пацієнтів із черепно-мозковою травмою важкого ступеня
1. Усі пацієнти повинні пройти первинне обстеження за ABCDE. Насамперед доцільно провести оцінку дихальних шляхів. Якщо пацієнтові необхідний контроль дихальних шляхів, перед введенням препаратів для інтубації проведіть та занотуйте дані короткого неврологічного огляду. Далі оцініть відповідність дихання і проконтролюйте насичення киснем.

2. Одразу після стабілізації артеріального тиску (AT) слід провести неврологічне обстеження, а саме: визначити показник балів за ШКГ і реакцію зіниць на світло. Якщо неможливо стабілізувати артеріальний тиск, слід провести неврологічне обстеження і зафіксувати наявність гіпотонії.

3. Якщо, незважаючи на інтенсивну інфузійну терапію, неможливо довести систолічний артеріальний тиск пацієнта до >100 мм рт. ст., спочатку необхідно встановити причину гіпотонії, нейрохірургічне обстеження відходить на другий план. У таких випадках пацієнту проводять детальне УЗ-обстеження при травмі (FAST) або діагностичний лапароцентез (ДЛЦ) у відділенні; є ймовірність, що буде потрібно перейти безпосередньо до операційної для лапаротомії. КТ голови проводять після лапаротомії. Якщо є клінічні ознаки внутрішньочерепного об’ємного процесу, одночасно з лапаротомією в операційній можна провести трепанацію черепа.

4. Якщо після реанімації систолічний артеріальний тиск пацієнта є >100 мм рт. ст. і пацієнт має клінічні ознаки можливого внутрішньочерепного об’ємного процесу (неоднаковість зіниць, несиметричні результати тесту на моторику), ключовим пріоритетом є проведення КТ голови. Можна провести обстеження FAST або ДЛЦ в різних відділеннях, але не слід зволікати з неврологічним обстеженням або лікуванням пацієнта.

5. У неоднозначних випадках, тобто коли систолічний AT тимчасово стабілізований, проте, як правило, має тенденцію до повільного зниження, необхідно передовсім провести КТ голови перед переведенням пацієнта до інтенсивної терапії чи операційної для проведення лапаротомії або торакотомії. У таких випадках травматолог і нейрохірург повинні тісно співпрацювати, щоб надати об’єктивну клінічну оцінку стану пацієнта.

Кровообіг

Гіпотонія, як правило, виникає не через саму травму головного мозку, за винятком пізніх стадій спинномозкової недостатності або наявної супутньої травми спинного мозку. Внутрішньочерепний крововилив не викликає геморагічний шок. Якомога швидше необхідно досягнути стану нормоволемії за допомогою продуктів крові або ізотонічних розчинів, якщо у пацієнта спостерігається гіпотонія.
Слід наголосити, що неврологічне обстеження хворих з гіпотонією не завжди є ненадійним. Пацієнти з гіпотонією, які не реагують на жодні подразники, можуть повернутися до майже нормального неврологічного стану після нормалізації артеріального тиску. В такому випадку слід визначити та лікувати основне джерело гіпотонії.
Рекомендується підтримувати систолічний артеріальний тиск (САТ) на рівні ≥100 мм рт. ст. для пацієнтів віком від 50 до 69 років або на рівні ≥110 мм рт. ст. і вище для пацієнтів від 15 до 49 років або понад 70 років; це може знизити ризик смертності й покращити результати (III).Цілі лікування включають клінічні, лабораторні та моніторингові параметри (табл. 6–5).
КатегоріяПараметрНорма значення
Клінічні параметриСистолічний АТ> 100 мм рт. ст
 Температура36–38°С
Лабораторні параметриГлюкоза80–180 мг/дл
 Гемоглобін> 7 г/дл
 Міжнародне нормалізоване
співвідношення (INR)
< 1.4
 Na135–145 мекв/дл
 PaO2> 100 мм рт. ст
 PaCO235-45 мм рт. ст
 рН7,35–7,45
 Тромбоцити> 75 X 103/мм3
Фізикальні параметриМОК> 60 мм рт. ст.*
 Внутрішньочерепний тиск5-15 мм рт. ст.*
 Рівень O2 в мозковій тканині> 15 мм рт. ст.*
 Пульсоксиметрія> 95%
Таблиця 6–5. Цілі лікування ЧМТ: клінічні, лабораторні та фізикальні параметри.
*Навряд чи будуть доступні в ED або в налаштуваннях із низькими ресурсами. 
Дані з: ACS TQIP Best Practices in Management of Traumatic Brain Injury. ACS Committee on Trauma, January 2015..

НЕВРОЛОГІЧНЕ ОБСТЕЖЕННЯ

Щойно стан пацієнта стабілізується, необхідно провести швидке неврологічне обстеження. Таке обстеження насамперед полягає у визначенні показника балів за ШКГ, реакції зіниць на світло та фокального неврологічного дефіциту.
При визначенні черепно-мозкової травми важливо взяти до уваги фактори, які маскують картину хвороби, наприклад, наявність в організмі наркотиків, алкоголю та одурманюючих речовин, а також інші травм. Не слід виключати можливість тяжкої травми головного мозку через факт стану сп’яніння.
Постіктальний стан після травматичного нападу, як правило, погіршує реакцію пацієнта протягом кількох хвилин або годин. У коматозного пацієнта рухові реакції можна викликати пощипуванням трапецієподібного м’язу чи натисканням нігтевої пластини. Якщо пацієнт демонструє змінну реакцію на стимуляцію, найкраща рухова реакція буде точнішим прогностичним індикатором, ніж найгірша рухова реакція. Феномен «лялькових очей» (окулоцефалічний рефлекс), холодову стимуляцію вестибулярного апарату (окуловестибулярний рефлекс) та тестування реакції рогівки ока варто довірити нейрохірургу. Не можна проводити тестування на феномен «лялькових очей», доки не було виключено травму шийного відділу хребта.
Необхідно визначити показник балів за ШКГ і провести обстеження зіниці, перш ніж вводити пацієнтові седативні чи паралітичні препарати (нейром’язові блокатори), оскільки інформація щодо його клінічного стану є важливою для визначення подальшого лікування. Не можна застосовувати паралітичні та седативні препарати пролонгованої дії під час первинного огляду. Не слід застосовувати седативні препарати, за винятком випадків, коли хворий може завдати собі шкоди, перебуваючи у перезбудженому стані. За необхідності фармакологічної релаксації або короткотривалої седації для безпечної ендотрахеальної інтубації або для отримання діагностичних даних необхідно застосовувати препарати з найкоротшою дією.
Якщо пацієнтові потрібна інтубація через порушення дихальних шляхів, слід провести і задокументувати короткий неврологічний огляд перед введенням будь-яких седативних або паралітичних засобів.
Приховані загрозиПрофілактика
У пацієнта з ЧМТ виникають судоми, коли паралітичний агент тривалої дії закінчується.• Уникайте паралітичних засобів тривалої дії, оскільки параліч м’язів ускладнює неврологічне обстеження
• Слід використовувати бензодіазепіни для оперативного лікування судом; міорелаксанти маскують, а не контролюють судоми.

Анестетики, знеболюючі та седативні засоби

Для лікування пацієнтів із підозрою на черепно-мозкову травму або з підтвердженою травмою слід обережно застосовувати анестетики, седативні та знеболюючі засоби. Надмірне їх використання може ускладнити розпізнавання прогресування серйозної травми мозку, погіршити дихальну функцію або призвести до зайвого лікування (наприклад, до ендотрахеальної інтубації). Замість цього використовуйте короткочасні засоби, легко оборотні, у мінімальній дозі, необхідній для полегшення болю та легкої седації. Можливе введення низьких доз внутрішньовенних наркотичних засобів для знеболення та, за необхідності, відміна їх дії налоксоном. Бензодіазапіни в/в короткої дії, такі як мідазолам (Versed), можна використовувати для седації, їх дію відміняють флумазенілом.
Незважаючи на те, що дипрован (пропофол) рекомендований для контролю ВЧТ, його не слід застосовувати для покращення виживання або після 6 місяців лікування. Дипрован може підвищити захворюваність при застосуванні у високих дозах (IIB).

ПОВТОРНЕ ОБСТЕЖЕННЯ

Необхідно провести низку обстежень (визначення показника балів за ШКГ, латеральні ознаки та реакція зіниць на світло), щоб якомога раніше виявити неврологічні погіршення. Першою ознакою грижоутворення в скроневій долі є розширення зіниці та втрата реакції зіниць на світло. Проте травма ока також є потенційною причиною аномальної реакції зіниць і може ускладнити діагностування. Тим не менш, насамперед слід розглядати можливість черепно-мозкової травми. Потрібно провести ще один неврологічний огляд під час повторного обстеження. (Також див. додаток G: «Навички з обмеженими можливостями».)

ДІАГНОСТИЧНІ ПРОЦЕДУРИ

Після нормалізації гемодинаміки необхідно одразу ж провести КТ голови у пацієнтів з ЧМТ середнього та тяжкого ступеня. КТ також слід повторити, коли є зміни в клінічному стані пацієнтів, а також упродовж 24 годин після травми для пацієнтів, у яких виявили субфронтальні/скроневі інтрапаренхіматозні забої, які отримують антикоагулянтну терапію, старших за 65 років та з внутрішньочерепними крововиливами об’ємом >10 мл. (Див. додаток G: «Навички» — доповнення.)
Важливими результатами КТ голови є набряк шкіри або підапоневротична гематома в області травми. Переломи черепа можна діагностувати, застосувавши на КТ режим найкращої візуалізації (bone window), хоча їх видно навіть у режимі для м’яких тканин. Важливими результатами на КТ голови є також внутрішньочерепна гематома, забої, зрушення серединної лінії (ефект новоутворення) та облітерація базальних цистерн (Див. рис. 6–7). Зміщення на 5 мм або більше часто свідчить про необхідність хірургічного видалення тромбу або забою, що викликає зміщення.

МЕДИЧНІ МЕТОДО ЛІКУВАННЯ ЧЕРЕПНО-МОЗКОВОЇ ТРАВМИ

Головна мета інтенсивної терапії — запобігання вторинного ушкодження вже ураженого мозку. Ключовий принцип полягає в тому, що якщо ураженим нервовим тканинам забезпечується оптимальне середовище, вони можуть відновити нормальне функціонування. До медичних методів лікування черепно-мозкової травми входять: корекція антикоагулянтів, тимчасова гіпервентиляція, манітол (Osmitrol), гіпертонічний фізіологічний розчин, барбітурати та протисудомні препарати.

Внутрішньовенна інфузійна терапія

Внутрішньовенні розчини слід вводити при необхідності реанімації пацієнта і підтримки нормоволемії.Гіповолемія для цих хворих є небезпечною. Проте не слід перевантажувати організм пацієнта рідинами. Не можна застосовувати гіпотонічні рідини. Крім того, використання рідин, що містять глюкозу, може призвести до гіперглікемії, що є шкідливим для пацієнтів із черепно-мозковими травмами. Тому рекомендується використовувати Рінгера лактат розчин або фізіологічний розчин для реанімації. У хворих із травмами голови необхідно контролювати рівень сироваткового натрію та слід запобігати виникненню гіпонатріємії, яка може викликати набряки головного мозку.

Корекція антикоагулянтної терапії

Особливої обережності вимагає оцінка та лікування пацієнтів із ЧМТ, які отримують антикоагулянтну або антитромбоцитарну терапію. Після отримання показника міжнародного нормалізованого відношення (МНВ) клініцисти повинні негайно зробити КТ цих пацієнтів за показаннями. Необхідна швидка нормалізація антикоагуляції (табл. 6–6).
АнтикоагулянтиЛікуванняКоментарі
Антиагреганти (наприклад, аспірин, плавікс)ТромбоцитиМожливо повторно; як альтернатива десмопресину ацетат (деаміно-дельта-D-аргінін вазопресин)
Кумадин (варфарин)Свіжозаморожена плазма (СЗП), вітамін К, концентрат протромбінового комплексу (Кцентра), фактор VIIaНормалізуйте МНВ; уникайте перевантаження рідиною у пацієнтів літнього віку та пацієнтів із травмами серця
ГепаринПротаміну сульфатКонтроль часткового тромбопластинового часу (ЧТПЧ)
Низькомолекулярний гепарин, наприклад, Ловенокс (еноксапарин)Протаміну сульфатН/В
Прямі інгібітори тромбіну дабігатрану етексилат (Прадакса)Ідаруцизумаб (праксбінд)Варто розглянути концентрат протромбінового комплексу (напр. ксентра)
Ксарелто (ривароксабан)Н/ВВарто розглянути концентрат протромбінового комплексу (напр. ксентра)
Таблиця 6–6. Антикоагуляторна терапія
СЗП: свіжозаморожена плазма; МНВ: міжнародне нормалізоване відношення; ЧТПЧ: частковий тромбопластиновий час.

Гіпервентиляція

Для більшості пацієнтів важливо підтримувати нормокарбію. Гіпервентиляція — це зменшення РаСO2, що спричиняє звуження судин головного мозку. Інтенсивна та пролонгована гіпервентиляція в результаті може викликати церебральну ішемію через надмірне звуження судин головного мозку і таким чином призвести до порушення мозкового кровопостачання. Ризик суттєво збільшується, якщо РаСO2 падає нижче 30 мм рт. ст. (4,0 кПа). Гіперкарбія (РаСO2 > 45 мм рт. ст.) сприятиме вазодилатації та підвищенню внутрішньочерепного тиску, тому його слід тримати під контролем.
Профілактична гіпервентиляція (pCO2 < 25 мм рт. ст.) не рекомендується (IIB).
Гіпервентиляцію слід застосовувати тільки в помірних кількостях і протягом обмеженого періоду часу. Загалом необхідно підтримувати РаСO2 на рівні 35 мм рт. ст. тобто, на нижній межі нормального діапазону (35 мм рт.ст. до 45 мм рт.ст.). Короткі періоди гіпервентиляції (РаС02 від 25 до 30 мм рт. ст.) теж можливі, особливо у випадку раптового неврологічного погіршення стану пацієнта, поки застосовуються інші методи лікування. Гіпервентиляція знижує ВЧТ у пацієнтів із погіршенням стану з внутрішньочерепною гематомою, що розширюється, доки лікарі не зможуть провести екстрену трепанацію черепа.

Манітол

Манітол застосовується для зниження підвищеного ВЧТ. Препарат зазвичай використовується у вигляді 20%-го розчину (20 г манітолу на 100 мл розчину). Великі дози манітолу не можна призначати пацієнтам із гіпотонією, бо манітол є потужним осмотичним сечогінним засобом. Цей стан у подальшому може посилити гіпотензію та мозкову ішемію. Гостре неврологічне погіршення стану пацієнта, таке як розширення зіниці, геміпарез або втрата свідомості під час лікування, є показанням для введення манітолу при нормоволемії. У цьому випадку слід оперативно (до 5 хвилин) ввести манітол (1 г/кг) і негайно направити пацієнта на КТ або безпосередньо до операційної, якщо показано хірургічне лікування. Якщо оперативне лікування недоступне, слід перевести пацієнта на остаточне лікування.
Використовуйте 0,25–1 г/кг для контролю підвищеного ВЧТ. Слід уникати артеріальної гіпотензії (систолічний артеріальний тиск <90 мм рт. ст.).
Використовуйте з монітором ВЧТ, за винятком випадків защемлення; утримуйте осмоляльність сироватки <320 мOсм; підтримуйте нормоволемію та використовуйте болюсне, а не безперервне крапельне введення.

Гіпертонічний фізіологічний розчин

Гіпертонічний фізіологічний розчин також слід використовувати для зниження підвищеного ВЧТ у концентраціях від 3% до 23,4%; це найкращий засіб для пацієнтів із гіпотонією, він не має діуретичної дії. Однак між манітом та гіпертонічним фізіологічним розчином немає різниці у зниженні ВЧТ, оскільки обидва засоби ефективно не знижують ВЧТ у пацієнтів із гіповолемією.

Барбітурати

Барбітурати є більш ефективними для зниження ВЧТ, порівняно з іншими препаратами. Проте не слід використовувати барбітурати у випадку гіпотонії або гіповолемії. Крім того, саме використання барбітуратів часто призводить до гіпотонії, тому барбітурати протипоказані під час гострої фази реанімації  пацієнта. Тривалий період напіввиведення більшості барбітуратів подовжує час для визначення смерті мозку, що враховується у пацієнтів із руйнівними та не сумісними з життям травмами.
Барбітурати не рекомендуються для індукції придушення сплеску, що вимірюється за допомогою ЕЕГ з метою запобігання розвитку внутрішньочерепної гіпертензії. «Введення високих доз барбітуратів рекомендується для контролю підвищеного ВЧТ, рефрактерного до допустимого стандартного медикаментозного та хірургічного лікування. Гемодинамічна стабільність важлива до та під час терапії барбітуратами (IIB)».

Протисудомні препарати

Посттравматична епілепсія трапляється приблизно у 5% пацієнтів, які поступили в лікарню із закритими черепно-мозковими травмами, та в 15% тих, які поступили в лікарню з тяжкими травмами голови. Високий рівень захворюваності на епілепсію пов’язаний з трьома головними факторами: нападами, що відбуваються протягом першого тижня, внутрішньочерепними гематомами та втиснутим переломом черепа. Гострі судоми слід контролювати за допомогою протисудомних препаратів, але раннє застосування цих засобів не змінює довгостроковий травматичний результат судом. Протисудомні засоби можуть уповільнювати відновлення мозку, тому їх слід застосовувати лише в разі крайньої необхідності. Нині фенітоїн або фосфенітоїн зазвичай використовуються в гострій фазі реанімації пацієнта. Для дорослих ударна доза становить 1 г фенітоїну внутрішньовенно зі швидкістю не більше, ніж 50 мг/хв. Зазвичай доза становить 100 мг/8 годин з титруванням для досягнення терапевтичних рівнів у сироватці. Для припинення безперервних судом може виникнути необхідність загального наркозу. Важливо якомога швидше стабілізувати стан пацієнта з судомами, тому що тривалі напади (від 30 до 60 хвилин) можуть призвести до вторинного пошкодження мозку.
Профілактичне застосування фенітоїну або вальпроату (вальпроат натрію та вальпроєва кислота) не рекомендується для запобігання пізніх посттравматичних судом (ПТС). Фенітоїн рекомендовано для зниження частоти раннього ПТС (протягом 7 днів після травми), коли загальна користь переважає ускладнення, пов’язані з таким лікуванням. Однак ранній ПТС не пов’язаний з гіршими результатами (ІІА).

ХІРУРГІЧНЕ ЛІКУВАННЯ

Хірургічне лікування може бути необхідним у випадку ран шкіри голови, вдавлених переломів черепа, внутрішньочерепних об’ємних утворень і проникаючих черепно-мозкових травм.

Скальповані рани

Важливо ретельно очистити рану перед накладенням швів. Найпоширенішою причиною інфікованих ран шкіри голови є недостатнє очищення і неправильна хірургічна обробка ран. Втрата крові при ранах волосистої частини голови може бути доволі великою, особливо в дітей та літніх людей (рис. 6–12).
Щоб зупинити кровотечу з ран шкіри голови, доцільно притиснути, коагулювати або лігувати великі судини. Можна використовувати відповідні шви, затискачі, скоби. Уважно огляньте рану на наявність ознак перелому черепа або чужорідного тіла. Витік СМР вказує на розрив твердої оболонки. У всіх випадках відкритих або вдавлених переломів черепа слід проконсультуватися з нейрохірургом. Часто підапоневротична гематома може бути схожою на перелом черепа. У таких випадках наявність перелому можна підтвердити або виключити рентгеном і/або КТ.
Рис. 6–12. Крововтрата від ран шкіри голови може бути значною, особливо у дітей.

Втиснені переломи кісток черепа

У пацієнтів із втисненими переломами кісток черепа КТ-сканування може визначити ступінь втиснення та, що більш важливо, наявність гематоми або внутрішньочерепної контузії. Як правило, у випадку втиснених переломів черепа необхідне оперативне втручання, щоб визначити, чи ступінь втиснення більший, ніж товщина прилеглої стінки черепа, чи перелом відкритий, чи забруднений. Незначні втиснені переломи часто можна лікувати, закривши рвані рани голови, якщо такі є.

Внутрішньочерепні об’ємні утворення

Внутрішньочерепні об’ємні утворення, як правило, видаляє чи лікує нейрохірург. Якщо у лікарняному відділенні немає нейрохірурга, пацієнта з внутрішньочерепним об’ємним утворенням слід перевести в лікарню, де є нейрохірург. За виняткових обставин внутрішньочерепна гематома, що швидко розповсюджується, буває небезпечною для життя, і може не вистачати часу, наприклад, у сільській місцевості, щоб перевести пацієнта в лікарню, де є нейрохірург.
Екстрену трепанацію черепа у пацієнта, стан якого швидко погіршується, лікарем позанейрохірургічної спеціальності слід розглядати лише у виняткових випадках. Хірурги з відповідною підготовкою повинні виконувати цю операцію, але тільки після попереднього обговорення ураження і консультації з нейрохірургом.
Особі, яка не є нейрохірургом, трепанацію черепа краще не виконувати. Ця процедура є виправданою тільки тоді, коли нейрохірург узагалі недоступний. Комітет із питань травми рекомендує тим, хто проводитиме таку процедуру, отримати належний інструктаж від нейрохірурга.

Проникаючі травми головного мозку

Рекомендується провести КТ голови з метою правильної оцінки стану пацієнта з проникаючими черепно-мозковими травмами. Можна провести оглядову неприцільну рентгенограму голови для визначення траєкторії кулі та наявності великих сторонніх тіл чи внутрішньочерепного повітря.
Однак, коли можливо провести КТ, рентгенографія не є обов’язковою. КТ-А і/або звичайна ангіографія рекомендується при підозрах на судинні ушкодження, наприклад, коли траєкторія проходить через або поблизу основи черепа чи твердої мозкової оболонки великого венозного синуса. Істотний субарахноїдальний крововилив або вторинна гематома повинні пришвидшити візуалізацію судин.
Пацієнтам із проникаючими черепно-мозковими травмами в орбітально-лицевій або птеріональній області необхідно провести ангіографію для виявлення травматичних внутрішньочерепних аневризм чи артеріовенозних (AB) свищів.
У випадку аневризм артеріовенозних свищів рекомендується хірургічне або ендоваскулярне лікування. На цьому етапі в оцінці проникаючої травми, завданої дерев’яними або іншими немагнітними предметами, стане в пригоді МРТ; проте, як правило, при осколкових травмах немає необхідності в МРТ.
При наявності на КТ великих забоїв, гематом або внутрішньо-шлуночкового крововиливу, особливо в ситуаціях, коли мова йде про обидві півкулі, реєструється дуже високий рівень смертності.
Рекомендується профілактичне застосування антибіотиків широкого спектру дії для хворих із проникаючими черепно-мозковими травмами, відкритими переломами черепа та витоком ЧМР. (Рекомендації з лікування проникаючої травми головного мозку, рекомендація L3). Рекомендується стежити за ВЧТ, якщо лікар не в змозі провести відповідне неврологічне обстеження та якщо неможливо визначити необхідність видалення об’ємного утворення або підтверджується підвищений ВЧТ.
У пацієнтів, чия шкіра голови не девіталізована, і які не мають серйозної внутрішньочерепної патології, доцільно лікувати дрібні кульові вхідні поранення на голові закриттям ран з місцевим доглядом.
Не можна витягувати предмети, які проникають у внутрішньочерепний відділ або підскроневу ямку і залишаються частково назовні (наприклад, стріли, ножі, викрутки); їх залишають на місці, поки не оцінено можливі пошкодження судин і поки немає остаточного нейрохірургічного обстеження. Порушення або передчасне видалення проникаючих предметів може призвести до смертельної травми судин або внутрішньочерепного крововиливу.
Краніостомія/краніотомія, яка передбачає розміщення отвору діаметром 10-15 мм в черепі, визначається як метод екстреної діагностики доступних гематом у пацієнтів зі стрімким погіршенням неврологічного стану, які перебувають у віддалених регіонах, де недоступна нейрохірургічна допомога або методи візуалізації.
На жаль, навіть спеціалісти з дуже великим досвідом можуть розташувати такі отвори неправильно, тому вони рідко призводять до достатнього дренування гематоми в такому обсязі, щоб поліпшити клінічну картину. У пацієнтів, які потребують видалення, краніотомія з кістковим клаптем (у порівнянні з отворами) є остаточною рятівною процедурою для декомпресії головного мозку. Члени травматологічної бригади повинні докласти всіх зусиль, щоб цю процедуру провів фахівець з умінням та досвідом її виконання.

Прогноз

Усім пацієнтам необхідно надати невідкладну медичну допомогу під час очікування консультації нейрохірургом. Особливо це стосується дітей, які іноді мають дивовижну здатність одужувати, здавалося б, навіть після смертельних травм.

Смерть мозку

Діагноз «смерть мозку» передбачає повне та незворотне припинення всіх його функцій. Більшість експертів сходяться на думці, що діагностують смерть мозку такі критерії:
  • Показник балів за ШКГ = 3
  • Відсутність реакції зіниць на світло
  • Відсутність рефлексів стовбура мозку (наприклад, окулоцефалічні рефлекси, рефлекси рогівки, «очі ляльки» чи блювотні рефлекси)
  • Відсутність спонтанного дихання при тесті апное
  • Відсутність інших факторів, таких як алкогольна або наркотична інтоксикація чи переохолодження
Допоміжні дослідження, які можна провести для підтвердження діагнозу смерті мозку:
  • Електроенцефалографія: Немає активності при високому коефіцієнті
  • Тести МКО: відсутність МКО (наприклад, ізотопні дослідження, Доплер УЗД, ксенонові тести МКО)
  • ВЧТ: перевищує середній тиск на 1 годину і довше
  • Церебральна ангіографія
Деякі зворотні стани, такі як гіпотермія або барбітуратова кома, можуть імітувати смерть мозку, тому такий діагноз слід ставити лише після того, як усі фізіологічні параметри стабілізовано і жодні препарати не впливають на функції ЦНС. До діагностики в них смерті мозку влід зважити на дивовижну здатність до одужання у дітей від прогнозовано смертельних травм головного мозку. Якщо виникають будь-які сумніви стосовно стану пацієнта, особливо у випадку дітей, необхідно провести низку повторних тестів упродовж кількох годин для підтвердження діагнозу. Обов’язково про всіх хворих із підтвердженим або ймовірним діагнозом смерті мозку повідомляють місцеві органи до вимкнення всіх апаратів штучного підтримання життя.

Командна робота

Керівник групи повинен:
  • Переконатися, що команда здатна керувати первинною черепно-мозковою травмою з найкращим можливим результатом, запобігаючи вторинній травмі мозку.
  • Визначати важливість ведення дихальних шляхів, щоб у пацієнтів із травмами голови не розвивалася зайва гіпоксія.
  • Виявляти необхідність своєчасного залучення фахівця-нейрохірурга на певному етапі, особливо коли пацієнт потребує хірургічного втручання.
  • Забезпечувати при необхідності своєчасне переведення хворих з ЧМТ до травматологічного центру.
  • Також керівник групи повинен забезпечити переведення пацієнтів зі значними травмами голови до відповідних закладів для подальшого спостереження на предмет ознак погіршення стану.
  • Оскільки деякі пацієнти потребують нейрохірургічного втручання на ранніх стадіях, слід визначити пріоритет у лікуванні черепно-мозкової травми перед іншими травмами, що загрожують життю, наприклад, крововиливом.
Комунікація між фахівцями різних хірургічних спеціальностей потрібна для забезпечення лікування травм пацієнта в правильній послідовності. Наприклад, пацієнт, який втрачає кров унаслідок перелому кісток тазу, потребує проведення гемостазу перед переведенням на нейрохірургічне лікування.

Висновки до розділу

  1. Знання основної внутрішньочерепної фізіології є ключем до надання медичної допомоги при травмах голови.
  2. Навчіться правильно обстежувати пацієнтів та діагностувати черепно-мозкові травми. Коматозному пацієнту слід підтримувати функцію дихальних шляхів і провести інтубацію трахеї. Виконайте неврологічне обстеження після нормалізації артеріального тиску до введення паралітичних препаратів. Обстежте пацієнта на наявність вторинних ушкоджень головного мозку та майте на увазі, що гіпотонія може впливати на результати неврологічного огляду.
  3. Члени бригади повинні бути знайомі з основами ШКГ і мати досвід її застосування, так само як і в проведення швидкого і цілеспрямованого неврологічного обстеження. Регулярно проводьте повторні обстеження неврологічного стану пацієнта.
  4. Відповідна реанімація є важливою для обмеження виникнення вторинних ушкоджень головного мозку. Запобігайте випадкам гіповолемії та гіпоксемії. Проводьте інтенсивне лікування шокового стану і шукайте його причини. Проводьте реанімацію, застосовуючи Рінгера лактат, фізіологічний розчин або аналогічний ізотонічний розчин без декстрози. Не використовуйте гіпотонічні розчини. Мета реанімації пацієнта з черепно-мозковими травмами полягає у запобіганні вторинних ушкоджень головного мозку.
  5. Визначте потребу в переведенні пацієнта до відповідного відділення, прийому до лікарні, консультації або виписці. Проконсультуйтеся з нейрохірургом якомога швидше. Якщо нейрохірурга немає у вашому відділенні, переведіть пацієнта з середніми або тяжкими травмами голови до відповідного відділення.


GUMKA та American College of Surgeons (ACS) підписали меморандум про взаєморозуміння, який дозволив GUMKA перекласти українською мовою 10-е видання посібника ATLS та розповсюдити його на нашому веб-сайті у відкритому доступі для українських лікарів.

Читати наступний розділ:
 
Травма голови: ATLS Розділ 6 – gmka.org - GUMKA - Global Ukrainian Medical Knowledge Alliance