Read in English
Неконтрольована або нерозпізнана втрата крові від абдомінальних та тазових ушкоджень може призвести до смерті, яку можна попередити.

Цілі

Після вивчення цього розділу ви зможете:
  1. Визначати анатомічні області живота, що мають критичне значення в оцінці і веденні травмованого пацієнта.
  2. Виявляти пацієнтів з високим ризиком травми живота і тазу за механізмом ушкодження.
  3. Ідентифікувати пацієнтів, які потребують консультації хірурга і, можливо, хірургічного і/або катетерного втручання.
  4. Застосовувати належні діагностичні процедури для виявлення кровотечі, що триває і/або інших травм, які можуть у подальшому спричинити ускладнення з летальним наслідком.
  5. Описувати процедуру невідкладної допомоги при травмі живота і тазу.
Оцінка кровообігу під час первинного обстеження травмованого включає виявлення потенційних інтраабдомінальних і/або тазових кровотеч у пацієнтів із тупою травмою. Проникаючі ушкодження тулуба нижче лінії сосків та вище промежини слід вважати потенційними причинами внутрішньочеревних травм. Першочерговість та найдієвіші методи оцінки стану живота й тазу визначаються за механізмом ушкодження, факторами, що призвели до ушкодження, можливостями його локалізації та гемодинамічним станом пацієнта. 
У ситуації, коли пошкоджено тулуб, недіагностовані абдомінальні й тазові ушкодження можуть призвести до смерті, якій реально запобігти. Розпізнати розрив порожнистих органів та кровотечу з паренхіматозних органів непросто; окрім того, діагностика ускладнюється, коли пацієнт перебуває в стані алкогольного сп’яніння, вжив заборонені наркотичні речовини, має травму головного та спинного мозку, а також тоді, коли в нього ушкоджений хребет.
Черевна порожнина може бути наповнена значним об’ємом крові, й при цьому зовнішній вигляд чи розміри живота можуть майже не змінитися, а також не буде жодних очевидних ознак подразнення очеревини. Допоки не доведено протилежне, припускається, що кожен пацієнт, який зазнав значної тупої травми тулуба (внаслідок прямого удару, гальмування, вибуху) або проникаючого ушкодження, має пошкодження органів живота, тазу або судин.

АНАТОМІЯ ЧЕРЕВНОЇ ПОРОЖНИНИ

Огляд анатомії черевної порожнини, з акцентом на структури, що є критичними в оцінці та веденні травмованих пацієнтів, подано на зобр 5-1.
Зобр. 5–1. Анатомія живота.
A. Передня частина живота і грудно-черевна ділянка. B. Фланки. C. Задня частина. D. Тазова порожнина.
Живіт частково огороджений нижньою частиною грудної клітки. Передня стінка живота — це ділянка, яка зверху обмежена реберною дугою, знизу — паховою зв’язкою та лобковим симфізом, а з боків — передніми пахвовими лініями. У разі травми передньої стінки живота більшість порожнистих органів черевної порожнини можуть бути ушкодженими.
Торако-абдомінальна зона — ділянка нижче лінії сосків спереду та підлопаткової лінії позаду і вище реберної дуги. Ця ділянка включає в себе діафрагму, печінку, селезінку, шлунок і до певної міри захищена кістками грудної клітки. За рахунок того, що діафрагма піднімається до четвертого міжребер’я під час повного видиху, переломи нижніх ребер та проникні рани нижче лінії сосків можуть спричинити ушкодження органів черевної порожнини.
Бічні ділянки живота — це ділянки між передніми і задніми пахвовими лініями від шостого міжребер’я до клубового гребня.
Задня ділянка живота — це ділянка, яка розташована за задніми пахвовими лініями, між вершинами лопаток та клубовими гребнями. Вона включає в себе задню торако-абдомінальну ділянку. М’язи бічних ділянок живота, спини та вертебральної ділянки є частковим захистом від вісцеральної травми.
Бічні і задня ділянки живота містять заочеревинний простір — анатомічну зону, що обмежена задньою частиною парієтальної очеревини та внутрішньочеревною фасцією.
Тут розташовані черевна аорта, нижня порожниста вена; більша частина дванадцятипалої кишки, підшлункова залоза, нирки та сечоводи; задня поверхня висхідної та низхідної ободової кишок; ретроперитонеальні компоненти тазової порожнини.
Травми заочеревинних структур важко помітити, адже ця ділянка майже не піддається фізикальному обстеженню, а самі травми спочатку не супроводжуються ознаками чи симптомами перитоніту. Крім того, ушкодження заочеревинного простору не виявляються під час діагностичного перитонеального лаважу і погано візуалізуються за допомогою УЗД (FAST protocol).
Тазова порожнина, яку обмежують кістки тазу, є по суті нижньою частиною заочеревинного та внутрішньочеревного просторів. У ній розташовані пряма кишка, сечовий міхур, загальні клубові судини та внутрішні органи репродуктивної системи у жінок. Значна крововтрата може бути спровокована як ушкодженням органів тазової порожнини, так і безпосередньо ушкодженням кісток тазу.

МЕХАНІЗМ УШКОДЖЕННЯ

Розгляд механізму травми сприяє ранній ідентифікації потенційних ушкоджень, визначає, які діагностичні процедури можуть знадобитися для оцінки, а також потенційну потребу в подальшому переведенні пацієнта.
У цьому розділі описані поширені види ушкоджень внаслідок тупих і проникаючих травм.

Тупа травма

Прямий удар, наприклад, об нижню частину ободу керма, кермом велосипеда чи мотоцикла, або вм’яті двері під час автомобільної пригоди можуть спричинити стиснення та розчавлення органів черевної порожнини й тазових кісток. Такі удари деформують паренхіматозні та порожнисті органи і можуть викликати розрив із вторинним крововиливом або зараженням вісцеральним вмістом, що призводить до перитоніту.
Якщо утримуючий пристрій (наприклад, ремінь безпеки) налаштований неправильно, можуть виникнути травми в результаті розчавлювання (зобр. 5–2A).
Зобр. 5–2. Травми пояса та «ручки відра».
A. Травми можуть бути більш імовірними, якщо утримуючий пристрій був розміщений неправильно.
Пацієнти, які постраждали в автомобільних аваріях або впали зі значної висоти, можуть отримати травми внаслідок гальмування, коли рух нерухомих і рухомих частин тіла відбувається в різних напрямках. Приміром, розриви печінки та селезінки — обидва ці органи здатні до руху, але фіксовані за допомогою підтримуючих зв’язок. Пошкодження на кшталт «ручки відра» (відрив брижі від петлі тонкого кишківника, а отже, порушення її кровопостачання) також є прикладом травми внаслідок гальмування (зобр. 5–2B).
Зобр. 5–2. Травми пояса та «ручки відра».
B. Ушкодження «ручки відра» тонкої кишки.
У пацієнтів, які зазнали тупої травми, найчастіше ушкоджень зазнають селезінка (40–55%), печінка (35–45%) та тонкий кишківник (5–10%). Окрім цього, у 15% пацієнтів, які мали тупу травму живота й перенесли лапаротомію, було виявлено заочеревинну гематому. Хоча подушки й ремені безпеки запобігають отриманню багатьох травм, вони також можуть спричинити специфічні ушкодження, які вказані в табл. 5–1. Подушка безпеки не запобігає травмам живота.
Утримуючий пристрійТравма
Колінний ремінь безпеки
• Стиснення
• Гіперфлексія
• Розрив або відрив брижі кишки («ручка відра»)
• Розрив тонкої або товстої кишки
• Тромбоз клубової артерії або черевної аорти
• Можливий перелом поперекових хребців
• Травма підшлункової або дванадцятипалої кишки
Плечовий ремінь
• Ковзання під ремінь безпеки («підводний хід»)
• Стиснення
• Розрив нутрощів верхньої частини живота
• Розрив або тромбоз інтими в безіменних, сонних, підключичних або хребетних артеріях
• Перелом або вивих шийного відділу хребта
• Переломи ребер
• Забій легень
Подушка безпеки
• Контакт
• Контакт/уповільнення
• Згинання (необмежене)
• Гіперекстензія (нестримна)
• Садна на обличчі та очах
• Травми серця
• Переломи хребта
Таблиця 5–1. Травми, пов’язані з утримуючими пристроями

Проникаюча травма 

Колоті рани та вогнепальні поранення з низькою кінетичною енергією пошкоджують тканини, розриваючи та розсікаючи їх. Високоенергетичні вогнепальні рани діють на органи черевної порожнини з більшою кінетичною енергією. Вони можуть спричинити значні ушкодження тканин вздовж лінії руху кулі в тілі внаслідок тимчасової кавітації.
Колоті рани пошкоджують суміжні структури черевної порожнини, серед яких найчастіше травм зазнають печінка (40%), тонкий кишківник (30%), діафрагма (20%) та ободова кишка (15%) (зобр. 5–3).
Зобр. 5–3. Колоті рани найчастіше пошкоджують печінку, тонку кишку, діафрагму та товсту кишку.
Вогнепальні поранення можуть спричинити й додаткові внутрішньочеревні ушкодження, на тяжкість яких впливатиме траєкторія кулі, величина кінетичної енергії, ймовірність рикошету уламків кісток та розриву кулі. Вогнепальні поранення здебільшого ушкоджують тонкий кишківник (50%), ободову кишку (40%), печінку (30%) та внутрішньочеревні судини (25%). Тип зброї, тип кулі та її початкова швидкість є важливими факторами, що визначають ступінь ураження тканин. У випадку з рушницями тяжкість отриманих ушкоджень визначається відстанню між рушницею та жертвою.

Вибухова травма

Ушкодження від вибухових пристроїв відбувається за рахунок кількох механізмів, включаючи проникаючі осколкові поранення та тупі травми, яких пацієнт зазнав унаслідок вибухової хвилі чи удару снарядом. Медичний працівник повинен враховувати можливість комбінованого проникаючого та тупого ураження у цих пацієнтів.
Особи, що опинилися поблизу джерела вибуху, можуть отримати додаткові пошкодження барабанної перетинки, легень і кишківника, пов’язані з надлишковим тиском вибуху. Ці травми можуть мати відтерміновану клінічну картину. Ймовірність того, що пацієнт отримав травми через надмірний тиск після вибуху, не має впливати на системний підхід медперсоналу до виявлення та лікування тупих і проникаючих поранень.
Приховані загрозиЗапобігання
Пропущена травма живота• Проаналізуйте роль, яку відіграє механізм травми при ушкодженні саме живота. Не варто недооцінювати обсяг енергії, спрямованої живіт при тупій травмі.
• Невеликі низькоенергетичні рани (наприклад, колоті та осколкові) можуть спричинити вісцеральні та/або судинні ушкодження.
• Виконуйте повторні огляди живота, оскільки одноразовий огляд не повністю виключає наявність ушкодження.
• Високоенергетичні снаряди можуть завдати ушкодження органів та тканин, розміщених по дотичній до траєкторії кулі.
• Траєкторія кулі може змінюватися шляхом «перекидання» чи рикошету після удару по кістці або після фрагментації. Це може призвести до уражень органів та тканин, що не відповідатимуть передбачуваній траєкторії.

ОЦІНКА СТАНУ ПАЦІЄНТА 

Якщо у пацієнта виявлено гіпотензію, медичний персонал повинен негайно з’ясувати, чи наявна травма живота і чи ця травма не є причиною гіпотензії. Аналізуючи інформацію про отримання травми, можна зробити певні припущення, а фізикальне обстеження, разом із іншими засобами діагностики, може підтвердити наявність травм живота й тазу, які потребують негайного контролю кровотечі.
Гемодинамічно стабільних пацієнтів, які не мають ознак подразнення очеревини, слід оглянути більш детально, щоб з’ясувати, чи немає в них певних травм, які в майбутньому можуть спричинити захворюваність або смерть. Необхідно провести повторне фізикальне обстеження, яке дозволить визначити, чи не з’явилися з часом ознаки кровотечі або подразнення очеревини.

АНАМНЕЗ

Під час оцінки стану постраждалого, який зазнав травми в ДТП, слід брати до уваги таку інформацію про отримання травми: швидкість транспортного засобу, тип зіткнення (наприклад, лобове, бокове зіткнення, удар збоку, зіткнення ззаду, перекидання транспортного засобу), різновиди засобів безпеки, які використовувалися, розкриття подушки безпеки, місцеперебування постраждалого в транспортному засобі, стан інших пасажирів.
Обстежуючи пацієнта, який постраждав унаслідок падіння, необхідно звернути увагу на висоту, оскільки є велика ймовірність травм, пов’язаних із гальмуванням (при падінні з великої висоти).
Пацієнт, інші пасажири автомобіля, свідки, правоохоронні органи та персонал швидкої медичної допомоги можуть надати важливу інформацію щодо деталей події. На догоспітальному етапі повинна надаватись інформація щодо життєво важливих показників, очевидних травм та реакції пацієнтів на догоспітальне лікування. 
Обстежуючи пацієнта, який зазнав проникаючих поранень, слід звертати увагу на час, коли було отримано поранення, тип зброї (наприклад, ніж, легка вогнепальна зброя, гвинтівка, дробова рушниця), відстань між нападником і постраждалим (ця інформація особливо важлива у випадку вогнепальних поранень з рушниці, оскільки ймовірність виникнення обширних пошкоджень внутрішніх органів зменшується, якщо ця відстань становить понад 3 метри), число колотих або вогнепальних ран, об’єм крові, яку втратив постраждалий на місці отримання травми. Якщо така інформація відома, також слід з’ясувати, де саме і як сильно у постраждалого болить живіт.
У випадку, коли травми спричинені вибуховим пристроєм, імовірність виникнення травм внутрішніх органів унаслідок дії вибухової хвилі дуже висока, якщо вибух відбувся у замкнутому приміщенні та на невеликій відстані від постраждалого.

ФІЗИКАЛЬНЕ ОБСТЕЖЕННЯ ПАЦІЄНТА 

Обстеження живота має бути ретельним, систематичним та послідовним: спершу — огляд пацієнта, після цього — аускультація, перкусія та пальпація. Потім слід перевірити стан тазу та сідниць; здійснити ректальний огляд, огляд промежини та сечовивідного каналу, вагінальний огляд. Результати обстежень, позитивні вони чи негативні, повинні бути задокументовані в медичній картці пацієнта.
Огляд, аускультація, перкусія і пальпація
У більшості випадків пацієнт має бути повністю роздягнутий. Передню та задню стінки живота, нижню частину грудної клітки та промежину оглядають, щоб з’ясувати, чи немає потертостей, забоїв та слідів від утримуючих засобів, розривів, проникаючих поранень, проникнення сторонніх тіл, випадіння сальника чи тонкого кишківника, а також — вагітності. 
Огляньте бічні ділянки живота, калитку, вічко уретри і промежину на наявність крові, набряку та синців. Розрив промежини, піхви, прямої кишки або сідниць може бути пов’язаний з відкритим переломом тазу в пацієнтів із тупою травмою. Шкірні складки у пацієнтів із ожирінням можуть маскувати проникаючі поранення та ускладнювати оцінку живота й тазу. Пацієнта слід обережно перевернути на бік, щоб забезпечити умови для повноцінного огляду спини (див. відео).
Після швидкого фізикального огляду пацієнта слід накрити теплою ковдрою, щоб уникнути переохолодження.
Хоча аускультація необхідна, наявність або відсутність кишкових шумів не обов’язково корелює з травмою, а звуків кишківника можна не почути в шумному відділенні невідкладної допомоги.
Перкусія викликає незначний рух очеревини і може проявити ознаки її подразнення. Якщо наявні симптоми Щоткіна-Блюмберга, не перевіряйте інші симптоми, оскільки це може викликати у пацієнта непотрібний додатковий біль.
Результати огляду можуть бути недостовірними, якщо пацієнт навмисно напружує м’язи живота. Натомість мимовільне захисне напруження м’язів є безперечною ознакою подразнення очеревини. Завдяки пальпації можна виявити і відрізнити поверхневу (стінка живота) й глибоку болючість. Також можна визначити наявність і термін вагітності.
Оцінка стану тазу
Масивна тазова кровотеча може виникнути швидко, і медичний персонал повинен оперативно її виявити, щоб розпочати відповідне інтенсивне лікування. Незрозуміла артеріальна гіпотензія може бути єдиною початковою ознакою серйозного ураження органів малого тазу. Механічну нестабільність тазового кільця слід припускати у пацієнтів, які мають переломи тазу з гіпотензією та відсутністю іншого джерела крововтрати. Фіксація тазу є пріоритетом і в цій ситуації може врятувати життя.
Результати фізикального обстеження, що свідчать про перелом тазу, включають ознаки розриву уретри (гематома калитки або кров у вічку уретри), невідповідність довжини кінцівки та ротаційну деформацію гомілки без явного перелому. Уникайте ручних маніпуляцій із тазом у таких пацієнтів, оскільки це може зрушити наявний згусток крові та спричинити подальшу кровотечу.
Обережна пальпація кісткового тазу може дати корисну інформацію про наявність перелому в цій ділянці. Діагностичне розведення верхньопередніх остей клубових кісток не рекомендується під час ранньої оцінки травм, оскільки це може погіршити або викликати повторну тазову кровотечу.
Механічно нестабільна половина тазу зміщується краніально за рахунок м’язових сил і обертається назовні внаслідок впливу на нього сили тяжіння. Зовнішній поворот нестабільного тазу призводить до збільшення його об’єму, який, як результат, може вмістити більший об’єм крові. Таз можна стабілізувати за допомогою тазової шини або простирадла, щоб обмежити це розширення. Пристрій фіксації має бути розміщений над великими вертлюгами, а не над гребенями клубових кісток.
Наявність неврологічних аномалій нижніх кінцівок або відкритих ран у бічній ділянці живота, промежині, піхві або прямій кишці може свідчити про нестабільність тазового кільця. Рентгенографія кісток тазу в передньо-задній проєкції є корисним доповненням для виявлення перелому тазу, враховуючи обмеження клінічного обстеження. (Див. додаток G «Навички циркуляції».)
Приховані загрозиЗапобігання
Повторні маніпуляції з тазом, що зазнав перелому, можуть посилити крововиливОбережна пальпація тазу може дати корисну інформацію про наявність перелому; уникайте багаторазових оглядів і розведення кісток тазу.
Правильно та завчасно фіксуйте таз, щоб обмежити крововилив
Шкірні складки у пацієнтів з ожирінням можуть маскувати проникаючі поранення та ускладнювати оцінку органів черевної порожнини та тазуОгляньте складки шкіри на наявність ран, сторонніх тіл і пошкоджень
Огляд органів черевної порожнини у дітей важко інтерпретуватиВикористовуйте діагностичні дослідження (наприклад, FAST, КТ або інші види візуалізації), щоб оцінити сумнівні результати
Огляд промежини, прямої кишки, піхви та сідниць
Наявність крові на вічці уретри є важливою ознакою її ушкодження. Огляд калитки та промежини може виявити синці та гематоми, що є ознаками цього ж ушкодження, але вони можуть бути відсутні безпосередньо після отримання травми. 
У пацієнтів, які отримали тупу травму, мета ректального огляду полягає в тому, щоб оцінити тонус сфінктера, цілісність слизової прямої кишки та встановити наявність переломів кісток тазу. Пальпація простати не є надійним методом виявлення ушкодження уретри. У пацієнтів, які зазнали проникаючого поранення, ректальний огляд здійснюється для того, щоб оцінити тонус сфінктера та перевірити, чи немає кровотечі внаслідок розриву кишківника. 
Не встановлюйте сечовий катетер пацієнтові з гематомою промежини або кров’ю у вічці уретри до повної оцінки ушкодження уретри.
Уламки кісток від перелому тазу або проникаючі поранення можуть викликати розрив піхви. Виконайте вагінальний огляд при підозрі на ушкодження, наприклад, за наявності складного розриву промежини, перелому тазу або тазової вогнепальної рани. У жінок без свідомості огляньте піхву на наявність тампонів; залишені на місці, вони можуть викликати відстрочений сепсис.
Сідниці розташовані між гребнями клубових кісток та сідничними складками. Проникаючі травми цієї ділянки у 50% випадків пов’язані зі значними пошкодженнями внутрішніх органів черевної порожнини, включаючи ректальні травми нижче Дугласового простору. За наявності поранень сідниць необхідно виключити всі вищевказані ураження.

ДОДАТКОВІ ДІАГНОСТИЧНІ ЗАСОБИ 

Шлункові зонди та сечові катетери часто використовують як доповнення до первинного огляду, коли виявлені та усунуті проблеми з дихальними шляхами, диханням та кровообігом.
Шлункові зонди та сечові катетри
Шлунковий зонд використовують із терапевтичною метою на початкових етапах допомоги для декомпресії у випадку гострого розширення шлунку, перед проведенням діагностичного перитонеального лаважу (якщо є показання). У таких випадках шлунковий зонд зменшує ризик аспірації. Однак він може викликати блювання у пацієнтів з активним блювотним рефлексом. Наявність крові у вмісті шлунку є ознакою пошкодження стравоходу чи верхнього відділу травного тракту, якщо носоглоткове та/або ротоглоткове походження травми виключене. Якщо наявні чи ймовірні складні переломи кісток обличчя або перелом основи черепа, зонд потрібно вводити через рот з метою запобігання його потрапляння в черепну коробку через решітчасту кістку.
Сечовий катетер, встановлений під час реанімації, вирішує проблему затримки сечі, вказує на наявність кровотечі, дозволяє контролювати виділення сечі як показника тканинної перфузії та спорожнити сечовий міхур перед ДПЛ (якщо проводиться). Наповнений сечовий міхур покращує зображення тазу під час виконання FAST-протоколу. Тому, якщо планується виконання FAST, відкладіть встановлення сечового катетера до завершення виконання УЗД-протоколу.
Значна гематурія є ознакою травми сечостатевих шляхів, включаючи нирки, сечоводи та сечовий міхур.Відсутність гематурії не виключає травми сечостатевих шляхів. Ретроградна уретрограма є обов’язковою, якщо пацієнт не в змозі здійснити акт сечовипускання, потребує фіксації тазу або має кров у вічку уретри, гематому калитки чи крововиливи в ділянці промежини.
Щоб зменшити ризик ускладнення травми уретри, перед введенням сечового катетера потрібно переконатися, що уретра не пошкоджена. Ушкодження уретри, виявлені під час первинного або вторинного огляду, може потребувати проведення надлобкової цистостомії досвідченим лікарем.
Приховані загрозиЗапобігання
У пацієнта з переломами кісток середньої частини обличчя назогастральний зонд може помилково потрапити в пазухи і порожнину черепаУникайте постановки назогастрального зонда у пацієнтів з травмою середньої частини обличчя; замість цього використовуйте орогастральний зонд
У дітей спостерігається висока частота гострого розтягнення шлунка після травми.Шлунковий зонд може бути корисним у дітей для зниження ризику аспірації та стимуляції блукаючого нерва
Проходження шлункового зонда може бути неможливим у пацієнтів з грижами діафрагми (частіше у літніх людей)Щоб уникнути ятрогенної травми, не продовжуйте спроби введення назогастрального зонда, якщо кілька спроб виявилися невдалими. Врешті-решт може виникнути необхідність рентгенологічних або інших методів постановки зонду.

ІНШІ ОБСТЕЖЕННЯ

Завдяки підготовці та організованому командному підходу фізикальне обстеження можна провести дуже швидко.
У пацієнтів із порушеннями гемодинаміки необхідно оперативно виключити наявність кровотечі в черевній порожнині (FAST або ДПЛ). Єдиним протипоказанням до цих досліджень є наявність показань до лапаротомії.
Пацієнти з такими ознаками потребують подальшого обстеження черевної порожнини для виявлення або виключення таких показників інтраабдомінального ушкодження:
  • Зміни в свідомості
  • Парестезії 
  • Травма сусідніх структур, таких як нижні ребра, таз і поперековий відділ хребта
  • Неоднозначні результати фізикального обстеження
  • Очікувана тривала втрата контакту з пацієнтом, наприклад загальна анестезія при позачеревних травмах або тривалі рентгенографічні дослідження
  • Відбиток ременя безпеки з підозрою на травму кишківника
При підозрі на внутрішньочеревне ушкодження корисну інформацію може надати ряд досліджень. Однак, якщо показання для переведення пацієнта вже є, не проводьте тривалі обстеження, включаючи КТ черевної порожнини. У табл. 5–2 узагальнені показання, переваги та недоліки використання ДПЛ, FAST і КТ для оцінки тупої травми живота.
ДПЛFASTКТ
Переваги• Раннє оперативне визначення
• Виконується швидко
• Може виявити пошкодження кишківника
• Немає необхідності транспортування з реанімаційної зони
• Раннє оперативне визначення
• Неінвазивний
• Виконується швидко
• Повторюваність
• Немає необхідності транспортування з реанімаційної зони
• Анатомічний діагноз
• Неінвазивний
• Повторюваність
• Візуалізує заочеревинні структури
• Візуалізує кісткові та м’які тканини
• Візуалізує позапросвітне повітря
Недоліки• Інвазивні
• Ризик травми, пов’язаної з процедурою
• Потрібна декомпресія шлунку та сечовипускання для профілактики ускладнень
• Не повторюється
• Заважає інтерпретації наступної КТ або FAST
• Низька специфічність
• Може пропустити травми діафрагми
• Залежний від оператора
• Кишкові гази та підшкірне повітря спотворюють зображення
• Може пропустити травми діафрагми, кишківника та підшлункової залози
• Не повністю оцінює заочеревинні структури
• Не візуалізує позапросвітне повітря
• Габітус може обмежити чіткість зображення
• Вища вартість і триваліша процедура
• Променеве та IV контрастне опромінення
• Може пропустити травми діафрагми
• Може пропустити деякі травми кишківника та підшлункової залози
• Потрібне транспортування із зони реанімації
Показання• Аномальна гемодинаміка при тупій травмі живота
• Проникаюча травма живота без інших показань до негайної лапаротомії
• Аномальна гемодинаміка при тупій травмі живота
• Проникаюча травма живота без інших показань до негайної лапаротомії
• Нормальна гемодинаміка при тупій або проникаючій травмі живота
• Проникаюча травма спини/боку без інших показань до негайної лапаротомії
Таблиця 5–2. Порівняння ДПЛ, FAST і КТ при травмі живота
Рентгенографія при абдомінальній травмі
Для оцінки пацієнтів із мультисистемною тупою травмою рекомендується рентгенографія грудної клітки в прямій проєкції. Гемодинамічно нестабільні пацієнти з проникаючими пораненнями живота не потребують скринінгового рентгенівського обстеження у відділенні невідкладної допомоги.
Якщо пацієнт гемодинамічно стабільний і має проникаюче поранення над пупком або підозрювану торакоабдомінальну травму, є показання до проведення рентгенографії грудної клітки у вертикальному положенні з метою виключення асоційованого гемотораксу чи пневмотораксу або для визначення наявності внутрішньочеревного повітря.
За допомогою рентгеноконтрастних маркерів або затискачів, нанесених на всі вхідні та вихідні отвори рани, можна отримати рентгенівський знімок живота гемодинамічно стабільного пацієнта з наскрізними травмами у положенні лежачи на спині, щоб прослідкувати шлях кулі та визначити наявність ретроперитонеального повітря.
Рентгенографія в двох проєкціях (у прямій та бічній) дає розуміння щодо положення сторонніх тіл у порожнині. Рентгенографія органів малого тазу може допомогти встановити джерело крововтрати у пацієнтів із гемодинамічними порушеннями та у пацієнтів із тазовим болем або болючістю.
Пацієнт при свідомості без скарг у ділянці тазу не потребує рентгенограми тазу.
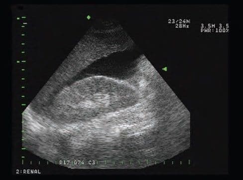
Фокусна ультразвукова оцінка при травмі (Focused Assessment with Sonography for Trauma, FAST)
За належного виконання досвідченою особою FAST є прийнятним, швидким і надійним дослідженням для виявлення рідини в черевній порожнині (зобр. 5–4). Як спосіб оцінки, що може бути повторений у динаміці потрібну кількість разів, FAST дозволяє також виключити тампонаду серця як одну з негіповолемічних причин гіпотензії.
Зобр. 5–4. Сфокусована оцінка за допомогою сонографії на предмет травми (FAST). У FAST для виявлення наявності гемоперитонеуму використовується ультразвукова технологія.
FAST включає дослідження чотирьох ділянок: перикарду, простору між печінкою та правою ниркою, селезінково-ниркового простору та простору Дугласа (зобр. 5–5. A).
Зобр. 5–5. A. Розташування зондів.
Після проведення первинного дослідження медичний працівник може виконати одне або кілька повторних, щоб виявити прогресуючий гемоперитонеум (зобр. 5–5. B).
Зобр. 5–5. B. FAST-зображення правого верхнього квадранту, що показує печінку, нирки та вільну рідину.
FAST можна проводити біля ліжка у місці надання допомоги одночасно з іншими діагностичними або терапевтичними процедурами. Див. додаток G «Навички циркуляції» та FAST відео.
Приховані загрозиЗапобігання
Хибнонегативне дослідження FAST• Зважте на те, що ожиріння може погіршити зображення, отримані за допомогою FAST.
• Будьте максимально пильні.
• Використовуйте альтернативні діагностичні тести та/або повторні оцінки.
• Зважте на те, що FAST нечутливий для діагностики травми порожнистих органів.
Діагностичний перитонеальний лаваж (ДПЛ)
ДПЛ — оперативне дослідження для виявлення кровотечі (зобр. 5–6). Оскільки це дослідження може значно змінити подальшу тактику, ДПЛ повинна виконувати хірургічна команда. Зверніть увагу, що ДПЛ вимагає декомпресії шлунка та сечового міхура для запобігання ускладнень.
Зобр. 5–6. Діагностичне промивання очеревини (DPL). DPL — це швидка інвазивна процедура, чутлива до виявлення внутрішньоочеревинних крововиливів.
Метод є найбільш корисним у гемодинамічно нестабільних пацієнтів із тупою травмою живота або у пацієнтів із проникаючим пораненням з множинними кавітаційними або наявними дотичними траєкторіями. ДПЛ може бути корисним і для оцінки органів черевної порожнини у гемодинамічно стабільних пацієнтів, якщо FAST і КТ недоступні. Коли КТ та/або FAST доступні, ДПЛ використовується рідко, оскільки метод є інвазивним і вимагає хірургічного досвіду.
Відносними протипоказаннями до ДПЛ є попередні операції на черевній порожнині, морбідне ожиріння, прогресуючий цироз та наявність коагулопатії. Відкритий, напіввідкритий або закритий (Seldinger) інфрапупковий метод допускається до виконання лише кваліфікованими медичними працівниками. У пацієнтів із переломами кісток тазу перевага надається відкритому надпупковому доступу, щоб уникнути проникнення в передню передочеревинну гематому тазу.
У пацієнтів із явною вагітністю використовуйте відкритий надпупковий доступ, щоб уникнути пошкодження збільшеної матки. Аспірація шлунково-кишкового вмісту, рослинних волокон або жовчі через промивний катетер вимагає проведення лапаротомії. Аспірація 10 куб. см або більше крові у гемодинамічно нестабільних пацієнтів вимагає лапаротомії. (Див. додаток G «Навички циркуляції».)
Комп’ютерна томографія (КТ)
Комп’ютерна томографія — метод діагностики, який потребує транспортування пацієнта до томографа (тобто переміщення з місця реанімації), використання контрастних речовин, сканування тазу і верхнього та нижнього відділів черевної порожнини. Ця процедура займає багато часу і повинна застосовуватися лише у гемодинамічно стабільних пацієнтів, які не мають показань для термінової лапаротомії. Не виконуйте КТ, якщо це затримує переведення пацієнта в заклад, де йому можуть надати допомогу більш високого рівня.
Об’єктом комп’ютерної томографії є дослідження травм окремих органів та обсяг цих пошкоджень. Також її застовують для діагностики травм органів черевної і тазової порожнини, які важко виявити за допомогою фізикального обстеження, FAST чи ДПЛ. Відносними протипоказаннями до використання комп’ютерної томографії є надто довгий термін очікування процедури, неможливість безпечно провести седацію пацієнта й алергія на контрастні речовини.
Однак комп’ютерна томографія може і не виявити деякі шлунково-кишкові травми, пошкодження діафрагми та травми підшлункової залози. Якщо травми печінки чи селезінки відсутні, наявність рідини у черевній порожнині є ознакою травми шлунково-кишкового тракту та/або брижі. Чимало хірургів-травматологів вважають це достатньою підставою для раннього хірургічного втручання.
Діагностична лапароскопія або торакоскопія
Діагностична лапароскопія є загальноприйнятим методом оцінки гемодинамічно стабільного пацієнта з проникаючою травмою із потенційним супутнім ушкодженням і без показань до лапаротомії. Лапароскопія корисна для діагностики пошкодження діафрагми та очеревини. Необхідність загальної анестезії зменшує ступінь її корисності.
Дослідження з контрастуванням
Дослідження з контрастуванням можуть допомогти в діагностиці конкретно підозрюваних ушкоджень, але вони не повинні затримувати надання допомоги гемодинамічно нестабільним пацієнтам. До цих досліджень належать:
  • Уретрографія
  • Цистографія
  • Внутрішньовенна пієлографія
  • Шлунково-кишкові дослідження з контрастуванням
Перед введенням сечового катетера повинна бути виконана уретрографія, якщо є підозра на пошкодження уретри. Уретрограма виконується за допомогою сечового катетера №8, закріпленого у вході в уретру балонною інфляцією до 1,5–2 мл. Приблизно 30–35 мл нерозведеної контрастної речовини вводять із легким натиском. У чоловіків рентгенограма робиться в передньо-задній проєкції і з невеликим відтягуванням статевого члена в напрямку до одного з плечей пацієнта. Адекватне дослідження показує рефлюкс контрасту в сечовий міхур.
Цистограма або КТ-цистографія є найбільш ефективним методом діагностики інтра- або ретроперитонеального розриву сечового міхура. До сечового катетера прикріплюють тубус шприца і тримають на висоті 40 см над пацієнтом. Потім 350 мл водорозчинного контрасту вливають у сечовий міхур доти, доки потік не припиниться, а пацієнт не здійснить спонтанний акт сечовипускання або не повідомить про дискомфорт. Для забезпечення розтягнення сечового міхура вводять додатково 50 мл контрасту.
Передньо-задні переддренажні із заповненим міхуром і постдренажні рентгенограми є достатніми для остаточного виключення травми сечового міхура. КТ-оцінка сечового міхура і тазу (КТ-цистограма) — альтернативне дослідження, яке дає додаткову інформацію про нирки та кістки тазу. Потенційні ушкодження сечовидільної системи найкраще оцінювати за допомогою КТ з контрастуванням.
Якщо КТ недоступна, альтернативою є екскреторна урографія (ЕУГ). Швидка ін’єкція ниркового контрасту у великій дозі («скринінгова ЕУГ») проводиться з використанням йодовмісної контрастної речовини з розрахунку 200 мг/кг маси тіла. Візуалізація ниркових чашечок на рентгенограмі черевної порожнини повинна з’явитися за 2 хвилини після завершення ін’єкції.
Однобічна відсутність візуалізації нирки виникає при відсутності нирки, тромбозі або відриві ниркової артерії та масивному розриві паренхіми. Відсутність візуалізації може вимагати подальшої рентгенологічної оцінки.
Ізольовані пошкодження заочеревинних структур шлунково-кишкового тракту (наприклад, дванадцятипалої кишки, висхідної або низхідної товстої кишки, прямої кишки, жовчовивідних шляхів і підшлункової залози) здатні не відразу викликати перитоніт і не можуть бути виявлені за допомогою ДПЛ або FAST.
Якщо є підозра на пошкодження однієї з цих структур, можуть бути корисними КТ з контрастуванням, специфічні дослідження з внутрішньовенним контрастуванням верхніх і нижніх відділів шлунково-кишкового тракту та панкреатобіліарна візуалізація. Однак призначати ці обстеження повинен хірург, що займається лікуванням пацієнта.
Приховані загрозиЗапобігання
Запізніле розпізнавання внутрішньочеревної або тазової травми, що призводить до ранньої смерті від крововиливу або пізньої смерті від вісцеральної травми.• Проаналізуйте механізми травми, які можуть призвести до внутрішньочеревної травми.
• Встановіть фактори, які можуть обмежити інформативність фізичного огляду.
• Використовуйте діагностичні допоміжні засоби, такі як FAST, DPL та CT, щоб допомогти в діагностиці травми.
Оцінка за допомогою фізичного огляду та допоміжних засобів, таких як ультразвукове дослідження та рентген, може бути неточною у випадках, коли в пацієнта спостерігається ожиріння.• Будьте дуже прискіпливими, встановлюючи ушкодження черевної порожнини/тазу у пацієнтів із ожирінням з можливістю травми живота, незалежно від механізму отримання цієї травми.
• Зважте на потенційні обмеження допоміжних засобів візуалізації.
Здавалося б, незначні травми живота й тазу можуть призвести до сильної кровотечі у літніх, слабких людей, а також в осіб, які отримують антикоагулянтну терапію.• Рання та агресивна терапія необхідна для досягнення оптимальних результатів.
• Завчасно визначте ступінь коагулопатії та розпочніть реверсію, якщо це необхідно.

ОЦІНКА СПЕЦИФІЧНИХ ПРОНИКАЮЧИХ ПОРАНЕНЬ

Етіологія поранення (наприклад, колото-різане або вогнепальне поранення), анатомічна локалізація (наприклад, торакоабдомінальна, передня, задня або бокова частина) та наявні ресурси впливають на оцінку проникаючої травми живота. При колото-різаних пораненнях передньої частини живота варто розглянути виконання фізикального обстеження, FAST і ДПЛ у динаміці.
Діагностична лапароскопія є надійним дослідженням для визначення наявності пенетрації очеревини та діафрагми при торакоабдомінальних ушкодженнях, на додаток до подвійного (перорального та внутрішньовенного) і потрійного (перорального, внутрішньовенного та ректального) КТ з контрастуванням.
КТ з подвійним або потрійним контрастуванням є корисними при травмі бічних та задньої ділянок живота. У всіх випадках проникаючого поранення може виникнути необхідність у невідкладному хірургічному втручанні для діагностики та лікування.
Приховані загрозиЗапобігання
Переведення відкладається для виконання КТ черевної порожнини.• Коли пацієнт потребує вищого рівня допомоги, КТ не повинна відкладати переведення.
• КТ має бути виконана, якщо це змінить лікування у закладі направлення або полегшить стабілізацію пацієнта для переведення.
Більшість вогнепальних поранень живота потребує виконання діагностичної лапаротомії. Частота значних ушкоджень органів черевної порожнини наближається до 98% за наявності пенетрації очеревини. Колоті рани живота можна лікувати більш вибірково, але приблизно 30% викликають ушкодження органів черевної порожнини. Отже, показання до лапаротомії у пацієнтів з проникаючими пораненнями живота включають:
  • Порушення гемодинаміки
  • Вогнепальне поранення з трансперитонеальною траєкторією
  • Ознаки подразнення очеревини
  • Ознаки перитонеальної пенетрації (наприклад, евісцерація)
Приховані загрозиЗапобігання
Несвоєчасна діагностика внутрішньочеревної травми у хворого з дотичним вогнепальним пораненням живота.• Тангенціальні вогнепальні поранення насправді можуть лише видаватися тангенціальними (наприклад, проникати в порожнину очеревини).
• Високошвидкісні проникаючі поранення можуть бути без проникнення в очеревину — в таких ситуаціях шкоди завдає вибуховий ефект. Найчастіше це трапляється при вибухах або з пораненнями на війні.
Торакоабдомінальні поранення
Варіанти оцінки стану пацієнтів без показань до негайної лапаротомії, але з можливими пошкодженнями діафрагми та верхніх структур черевної порожнини, включають торакоскопію, лапароскопію, ДПЛ та КТ.
Фронтальні поранення живота: неоперативне лікування
Приблизно від 55% до 60% усіх пацієнтів із колото-різаними ранами, що пошкоджують передню частину очеревини, мають гіпотензію, перитоніт або евісцерацію сальника чи тонкої кишки. Такі пацієнти потребують екстреної лапаротомії. Безопераційне лікування можна розглядати у гемодинамічно стабільних пацієнтів без ознак подразнення очеревини або евісцерації.
Менш інвазивні варіанти діагностики для цих пацієнтів (які можуть відчувати біль у місці колото-різаної рани) включають повторні фізикальні обстеження протягом 24-годинного періоду (± повторний FAST), ДПЛ, КТ або діагностичну лапароскопію. Хоча позитивний FAST може бути корисним у цій ситуації, негативний FAST не виключає можливості вісцеральної травми без великого об’єму інтраперитонеальної рідини. Повторні фізикальні обстеження є доволі трудомісткими, але мають загальну точність 94%.
КТ та ДПЛ дозволяють швидко діагностувати травми у пацієнтів із відносно безсимптомним перебігом. Діагностична лапароскопія може підтвердити або виключити проникнення в очеревину, але вона є менш ефективною у виявленні конкретних ушкоджень. Рішення про час виконання ДПЛ і лапароскопії приймає хірург.
Травми бокових та задньої ділянки живота: неоперативне лікування
Товщина м’язів боків і спини захищає внутрішні органи від багатьох колотих і деяких вогнепальних поранень. Для тих, у кого немає показань до негайної лапаротомії, менш інвазивні варіанти діагностики включають повторні фізикальні обстеження (з або без повторення FAST-протоколу), КТ з подвійним або потрійним контрастуванням і ДПЛ. У хворих із ранами позаду передньої пахвової лінії повторне обстеження щодо перитоніту є дуже точним у виявленні заочеревинних та внутрішньоочеревинних ушкоджень. 
КТ з подвійним або потрійним контрастуванням — це дослідження, що займає багато часу, але може більш детально оцінити стан заочеревинної товстої кишки з боку рани. Точність обстеження відповідає точності серйозних фізикальних обстежень, однак, за належного виконання, КТ забезпечує більш ранню діагностику ушкодження.
Трапляються поодинокі випадки, коли заочеревинні ушкодження можна пропустити навіть після серії фізикальних обстежень та проведення КТ з контрастуванням. Ранній амбулаторний нагляд є обов’язковим після 24-годинного періоду стаціонарного спостереження через можливі незначні початкові прояви певних травм товстої кишки.
Приховані загрозиЗапобігання
Вибухові та тупі травми можуть спричинити внутрішньоочеревинну травму без проникнення в очеревину.• З’ясуйте, чи є травми живота/тазу в постраждалих від вибухової та тупої травми, навіть якщо відсутні зовнішні рани.
Оцінка за допомогою фізикального огляду, УЗД та рентгенівських знімків може бути неточною для пацієнта з ожирінням. Якість зображення на всіх рентгенограмах знижується. Виконати ДПЛ складно, якщо взагалі можливо у відділенні невідкладної допомоги.• Підтримуйте високий рівень настороженості щодо травми живота/тазу у пацієнтів з ожирінням незалежно від механізму травми.
• КТ може бути найкращим потенційним методом візуалізації.
• У деяких випадках для діагностики може знадобитися операція.
Відтерміноване обстеження гемодинамічно нестабільного пацієнта із колотою раною живота.• Усім гемодинамічно нестабільним пацієнтам необхідно провести лапаротомію.
• Повторі фізикальні огляди не є варіантом для гемодинамічно нестабільних пацієнтів та для пацієнтів із перитонітом або евісцерацією.
• КТ, ДПЛ і FAST не показані гемодинамічно нестабільним пацієнтам або пацієнтам з перитонітом або евісцерацією, із проникаючою травмою живота.
ДПЛ можна розглянути як раннє скринінгове обстеження. Позитивні результати ДПЛ є показанням до термінової лапаротомії. Однак заочеревинні ушкодження товстої кишки можуть бути не виявлені під час виконання ДПЛ.
Показання до лапаротомії
Щоб визначити час і необхідність лапаротомії, необхідна хірургічна оцінка (зобр. 5–7).
Зобр. 5–7. Лапаротомія. Для визначення термінів та необхідності лапаротомії необхідне хірургічне рішення.
Для полегшення процесу прийняття рішень у таких ситуаціях зазвичай враховують наявність наступних ознак:
  • Тупа травма живота з гіпотензією, з позитивним FAST або клінічними ознаками внутрішньочеревної кровотечі, або без іншого джерела кровотечі.
  • Гіпотонія з пораненням живота і передньої фасції.
  • Вогнепальна рана, яка наскрізь проходить черевну порожнину.
  • Евісцерація.
  • Кровотеча зі шлунку, прямої кишки або сечостатевих шляхів після проникаючого поранення.
  • Перитоніт.
  • Вільне повітря у черевній порожнині, заочеревинне повітря або розрив діафрагми.
  • На КТ з контрастуванням помітні ознаки порушення цілісності шлунково-кишкового тракту, інтраперитонеальне пошкодження сечового міхура, пошкодження ниркової ніжки або важке ушкодження вісцеральної паренхіми після тупої травми або проникаючого поранення.
  • Тупа травма або проникаюче поранення живота, якщо при ДПЛ наявна аспірація шлунково-кишкового вмісту, рослинних волокон або жовчі, або аспірація 10 куб. см чи більше крові у пацієнтів із гемодинамічними порушеннями.
Оцінка інших специфічних травм
Печінка, селезінка та нирки найчастіше бувають вражені під час тупої травми, хоча відносна частота перфорації порожнистих органів та ушкоджень поперекового відділу хребта збільшується при неправильному використанні ременів безпеки (див. табл. 5–1). Діагностика ушкоджень діафрагми, дванадцятипалої кишки, підшлункової залози, сечостатевої системи та тонкої кишки може бути складною, більшість проникаючих поранень діагностується під час лапаротомії.
Травми діафрагми
Розриви можуть виникнути в будь-якій частині діафрагми, хоча найчастіше травмується лівий купол. Зазвичай це пошкодження довжиною від 5 до 10 см, що охоплює задньобокову частину лівого куполу.
Аномалії на первинній рентгенограмі грудної клітки включають підйом або «розмитість» куполу, гемоторакс, аномальну газову тінь, яка закриває половину діафрагми, або шлунковий зонд, розташований у грудній клітці. При цьому первинна рентгенографія грудної клітки у невеликого відсотка пацієнтів може бути нормальною. Варто запідозрити пошкодження діафрагми, коли наявне проникаюче поранення торакоабдомінальної ділянки; підтвердити його можна методами лапаротомії, торакоскопії або лапароскопії.
Травми дванадцятипалої кишки
Розрив дванадцятипалої кишки класично зустрічається при фронтальній ДТП у водіїв, що не були пристебнуті, а також у пацієнтів, які зазнали прямих ударів у живіт, наприклад, об кермо велосипеда. Наявність крові при аспірації шлункового вмісту або повітря в заочеревинному просторі на рентгенограмі черевної порожнини або КТ є підставою для того, щоб підозрювати цю травму.
Пацієнти з високим ризиком мають показання до проведення рентгенівського обстеження верхніх відділів шлунково-кишкового тракту, КТ з подвійним контрастуванням або невідкладної лапаротомії.
Травми підшлункової залози
Пошкодження підшлункової залози часто виникають внаслідок прямого удару в епігастрій, який притискає підшлункову залозу до хребця. Нормальний рівень амілази в сироватці крові на початковій стадії не виключає серйозної травми підшлункової залози.І навпаки: рівень амілази може бути підвищений не за рахунок травми підшлункової залози.
КТ з подвійним контрастуванням може не виявити значної травми підшлункової залози безпосередньо після травми (протягом 8 годин). Якщо є підозра на травму, його можна повторити або провести інший метод візуалізації підшлункової залози. Після неоднозначних результатів діагностичних досліджень стає доречним проведення хірургічного дослідження підшлункової залози.
Травми сечостатевої системи
Забої, гематоми та крововиливи на задній або бокових ділянках живота є маркерами потенційного ураження нирок і вимагають оцінки (КТ або ЕУГ) сечовивідних шляхів. Макрогематурія є показанням для візуалізації сечовивідних шляхів. Макро- та мікрогематурія у пацієнтів у стані шоку є маркерами підвищеного ризику ниркових ушкоджень при травмі живота.
Комп’ютерна томографія черевної порожнини з внутрішньовенним контрастуванням може виявити наявність і ступінь тупої травми нирок, яку зазвичай лікують без хірургічного втручання. Тромбоз ниркової артерії та пошкодження ніжки нирки внаслідок аварійного гальмування є рідкісними ушкодженнями, при яких гематурія може бути відсутня, незважаючи на скарги пацієнта на сильний біль у животі.
При будь-якій травмі в діагностиці може бути корисною ЕУГ, КТ або ангіографія нирок. У пацієнтів із пошкодженням уретри зазвичай також діагностується перелом кісток переднього відділу тазу. Пошкодження уретри поділяються на такі, що містяться над (задні) або під (передні) сечостатевою діафрагмою.
Травма задньої уретри зазвичай пов’язана з мультисистемними ушкодженнями та переломами тазу, тоді як травма передньої уретри виникає в результаті удару в пах; вона може бути ізольованим пошкодженням.
Травми порожнистих внутрішніх органів
Тупа травма кишківника, як правило, є результатом раптового гальмування з подальшим розривом поблизу фіксованої точки прикріплення, особливо якщо ремінь безпеки пацієнта був розміщений неправильно.
Поперечний лінійний синець на черевній стінці (ознака впливу ременя безпеки) або дистракційний перелом поперекового відділу хребта (так званий перелом Чанса) на рентгенівському знімку повинні попередити клініцистів про можливість травми кишківника. Хоча у деяких пацієнтів наявні ранні болі та чутливість при пальпації живота, діагностика ушкоджень порожнистих органів може бути складною, оскільки такі травми не завжди супроводжуються кровотечею.
Травми цілісних органів
Показаннями до невідкладної лапаротомії є травми печінки, селезінки та нирок, які призводять до шоку, порушення гемодинаміки або ознаки кровотечі, що триває. Пошкодження паренхіматозних органів у гемодинамічно стабільних пацієнтів часто можна лікувати консервативно. Госпіталізуйте цих пацієнтів з метою ретельного спостереження, обов’язковим є огляд хірурга. Супутнє ураження порожнистих органів зустрічається менше ніж у 5% пацієнтів, у яких спочатку діагностовано ізольовані пошкодження цілісних органів.
Приховані загрозиЗапобігання
Пропущене поранення діафрагми при проникаючому торакоабдомінальному пораненні• Слід виключити діагноз проникаючого поранення діафрагми за допомогою лапаротомії, торакоскопії або лапароскопії
Пропущена травма кишківника• Додаткові оцінки (наприклад, повторні фізикальні огляди, повторна КТ, повторне ультразвукове дослідження, ДПЛ, лапароскопія та лапаротомія) часто призначаються, коли травма кишківника є клінічною проблемою

ПЕРЕЛОМИ ТАЗА ТА ПОВ’ЯЗАНІ З НИМИ УШКОДЖЕННЯ

Пацієнти з гіпотонією та переломами тазу мають високий рівень летальності. Прийняття зважених рішень вирішальне для оптимального результату лікування пацієнта. Переломи кісток тазу з супутнім крововиливом зазвичай пов’язані з розривом заднього кістково-зв’язкового комплексу (тобто крижово-клубової, крижово-остистої, крижово-горбової зв`язок та фіброзно-м’язового дна порожнини тазу), що свідчить про перелом крижової кістки, крижово-клубовий перелом та/або вивих крижово-клубового суглоба.
Механізм та класифікація травми
Пошкодження тазового кільця може виникнути під час ДТП за участю автомобіля, мотоцикла, наїзду на пішохода, прямого розчавлення або падіння. Переломи кісток тазу діляться на чотири типи, ґрунтуючись на моделях сили травми: передньо-задній компресійний перелом, бічний компресійний перелом, вертикальний зсувний перелом і комбінований механізм перелому (зобр. 5–8).
Зобр. 5–8. Переломи тазу.
A.
Передньо-задній компресійний перелом.
B. Бічний компресійний перелом.
C. Вертикальний зсувний перелом.
Компресійна травма часто пов’язана з мотоциклом або лобовим зіткненням. Цей механізм викликає зовнішню ротацію тазу з відривом лобкового симфізу та розривом заднього зв’язкового комплексу. Пошкоджене тазове кільце розширюється, розриваючи заднє венозне сплетіння і розгалуження внутрішньої клубової артеріальної системи. У цьому випадку кровотеча може бути важкою і небезпечною для життя.
Бічний компресійний перелом, викликаний силою, що спрямована в бік тазу, є найпоширенішим механізмом перелому тазу при ДТП. На відміну від передньо-заднього компресійного перелому, під час бічного стиснення половина тазу обертається всередині, зменшуючи об’єм тазу та тиск на судинні структури тазу.
Така внутрішня ротація може перемістити лобкову кістку до нижньої частини сечостатевої системи, що потенційно може призвести до пошкодження сечового міхура та/або уретри. Кровотеча та інші наслідки травми, пов’язаної з бічним стисненням, рідко призводять до смерті, але можуть потребувати тривалого лікування, а у пацієнтів літнього віку може розвинутися значна кровотеча внаслідок бічного компресійного перелому кісток тазу. В цьому випадку пацієнти потребують ранніх методів контролю кровотечі, таких як ангіографічна емболізація. 
Вертикальне зміщення крижово-клубового суглоба також може порушити клубову судинну мережу і спричинити сильну кровотечу. У цьому механізмі високоенергетична зсувна сила виникає уздовж вертикальної площини через передню і задню сторони тазового кільця. Цей вертикальний зсув пошкоджує крижово-остисту та крижово-горбову зв’язки і призводить до значної нестабільності тазу. Падіння з висоти більше ніж 3,5 м зазвичай призводить до травми від вертикального зсуву.Серед пацієнтів з усіма типами переломів тазу летальний кінець стається приблизно у кожного шостого травмованого (діапазон 5%–30%).
Смертність зростає приблизно до кожного четвертого (діапазон 10%–42%) у пацієнтів із закритими переломами тазу та гіпотонією. У пацієнтів із відкритими переломами тазу смертність становить приблизно 50%. Кровотеча є основним потенційно зворотнім фактором, що сприяє смертності. (Див. додаток G «Навички циркуляції».)

ЛІКУВАННЯ

Початкове лікування гіповолемічного шоку, пов’язаного зі значною травмою тазу, вимагає швидкого контролю кровотечі та інтенсивного введення рідин. Контроль кровотечі досягається шляхом механічної стабілізації тазового кільця та зовнішнього протитиску. Пацієнти з цими ушкодженнями можуть бути спочатку обстежені та стабілізовані в закладах, які не мають ресурсів надання кінцевої допомоги щодо зупинки асоційованої кровотечі. У таких випадках члени травматологічної бригади можуть використовувати прості методи для стабілізації тазу перед переведенням пацієнта.
Оскільки травми тазу, пов’язані з великим крововиливом, призводять до ротації кісток тазу, внутрішня ротація нижніх кінцівок може допомогти контролювати кровотечу за рахунок зменшення об’єму тазу. Накладання шини на пошкоджений таз може зменшити потенційну тазову крововтрату. Простирадла, тазова шина або інший пристрій може забезпечити достатню тимчасову фіксацію для нестабільного тазу, якщо його накласти на рівні великих вертлюгів стегнової кістки (зобр. 5–9).
У випадках травми від вертикального зсуву поздовжнє витягування через шкіру або скелет також може допомогти забезпечити стабільність. Робити це слід після консультації ортопеда.
Зобр. 5–9. Стабілізація тазу.
A. Тазовий стабілізатор. B. Стабілізація тазу за допомогою простирадла.
C. Перед застосуванням тазового стабілізатора. D. Після застосування тазового стабілізатора.
Зовнішні тазові шини — це тимчасова невідкладна процедура. Правильне застосування є обов’язковим, і такі пацієнти потребують ретельного догляду. Довготривале або надто щільне розміщення апаратів фіксації тазу може спричинити пошкодження шкіри та утворення виразок над кістковими виступами.
Оптимальний догляд за пацієнтами з порушеннями гемодинаміки, пов’язаними з переломами кісток тазу, потребує командних зусиль хірургів-травматологів, хірургів-ортопедів та інтервенційних радіологів або судинних хірургів.
Приховані загрозиЗапобігання
Несвоєчасне лікування тазової кровотечі.• Слід досягти раннього контролю кровотечі шляхом застосування тазового фіксатора, ангіоемболізації та/або оперативних втручань.
У пацієнта з’являється виразки під тиском над вертлюгом після того, як тазовий фіксатор залишається на місці протягом 24 годин.• Уважно спостерігайте за пацієнтами з тазовими фіксаторами на предмет утворення виразок на шкірі.
• Слід розробити план раннього остаточного контролю кровотечі.
Незрозуміла гіпотензія у літнього пацієнта з падінням в анамнезі.• Уважно шукайте ознаки підшкірної кровотечі.
• Зважте на те, що у слабких пацієнтів переломи тазу внаслідок низько енергетичної травми можуть викликати кровотечу, яка потребує лікування та переливання крові.
Ангіографічна емболізація часто використовується для зупинки артеріального крововиливу, пов’язаного з переломами кісток тазу. Передочеревинне тампонування тазу (Preperitoneal pelvic packing) застосовується як альтернативний метод контролю тазової кровотечі, коли ангіоемболізація затримується або недоступна. Досвідчений хірург-травматолог має скласти терапевтичний план для пацієнта з тазовою кровотечею на основі наявних ресурсів.
Хоча остаточна допомога пацієнтам із геморагічним шоком і переломами тазу відрізняється, один із алгоритмів лікування показано на зобр. 5–10.
Зобр. 5-10. Алгоритм лікування переломів таза та геморагічного шоку.
Для успішного лікування пацієнта зі складним переломом кісток тазу потрібні значні ресурси. Важливо завчасно розглянути питання про переведення в спеціалізований травматологічний центр. Якщо йдеться про клініку з обмеженими ресурсами, де відсутні хірургічні та/або ангіографічні можливості лікування гемодинамічно нестабільних пацієнтів із переломами тазу або гемодинамічно стабільних пацієнтів зі значним ушкодженням паренхіматозних органів, слід невідкладно перевести пацієнта до спеціалізованого травматологічного центру.

КОМАНДНА РОБОТА

Завданням медичної команди є визначення пріоритетів лікування та вибір доступних методів дослідження, які потрібно виконати — бажано одночасно.
Керівник групи має визначити необхідність застосування фіксаційного апарату тазу та забезпечити його правильне розміщення, продовжуючи оцінювати реакцію пацієнта на реанімацію.
Члени команди мають працювали ефективно та оперативно, щоб уникнути затримок у переведенні пацієнта з травмою живота до спеціалізованого центру.

ВИСНОВКИ ПО РОЗДІЛУ

  1. Три окремі області живота — це черевна порожнина, заочеревинний простір і тазова порожнина. Порожнина малого тазу містить компоненти як черевної порожнини, так і заочеревинного простору.
  2. Пацієнтові з можливою внутрішньочеревною травмою необхідна невідкладна консультація хірурга. Після відновлення життєво важливих функцій пацієнта методи обстеження та лікування змінюються залежно від механізму травми.
  3. Гемодинамічно нестабільні пацієнти із множинними тупими травмами мають бути негайно обстежені на наявність внутрішньочеревної кровотечі або зараження вмістом шлунково-кишкового тракту; для цього слід виконати FAST або ДПЛ.
  4. Пацієнтів, які потребують переведення в спеціалізовані центри, слід розпізнати на ранньому етапі та стабілізувати без проведення менш важливих обстежень.
  5. Показаннями до КТ у гемодинамічно стабільних пацієнтів є неможливість достовірно оцінити живіт за допомогою фізикального обстеження, а також наявність болю чи болючості живота. Під час прийняття рішення про хірургічне втручання зважають на те, який саме орган вражено, та на тяжкість травми.
  6. Усі пацієнти з проникаючими пораненнями черевної порожнини та супутніми гіпотензією, перитонітом або евісцерацією потребують невідкладної лапаротомії. Якщо вогнепальні поранення, за результатами фізикального обстеження або звичайних рентгенологічних досліджень, очевидно проходять через черевну порожнину або вісцеральну/судинну область заочеревинної області, то такі пацієнти також зазвичай потребують лапаротомії. Безсимптомні пацієнти, які зазнали колото-різаних поранень передньої частини живота, що пошкоджують фасцію або очеревину під час локального дослідження рани, потребують подальшого обстеження; є кілька прийнятних альтернатив.
  7. Безсимптомним пацієнтам із колото-різаними ранами в бокових та задній ділянках живота, що не є явно поверхневими, проводять повторне фізикальне обстеження або КТ з контрастуванням.
  8. Лікування тупої та проникаючої травми живота й тазу включає:
    • Уточнення механізму травми.
    • Відновлення життєво важливих функцій і оптимізація оксигенації та перфузії тканин.
    • Своєчасне розпізнавання джерел кровотечі, його зупинка.
    • Ретельне первинне фізикальне обстеження, що повторюється в динаміці.
    • Стабілізацію тазу.
    • Лапаротомію.
    • Ангіографічну емболізацію та передочеревинне тампонування тазу.
    • Вибір спеціальних діагностичних процедур, що виконуються з мінімальними втратами часу.
    • Настороженість щодо прихованих судинних та заочеревинних ушкоджень.


GMKA та American College of Surgeons (ACS) підписали меморандум про взаєморозуміння, який дозволив GMKA перекласти українською мовою 10-е видання посібника ATLS та розповсюдити його на нашому веб-сайті у відкритому доступі для українських лікарів.

Читати наступний розділ:
ATLS Розділ 5: Абдомінальна та тазова травма - GMKA - Global Medical Knowledge Alliance