ATLS Розділ 8: Травми опорно-рухового апарату
Цілі
Опрацювавши цей розділ та засвоївши викладений матеріал від авторів курсу ATLS, ви зможете:
- Пояснювати важливість ушкоджень опорно-рухового апарату у потерпілих із множинними травмами.
- Окреслювати пріоритети під час первинного огляду та реанімації пацієнтів із травмами кінцівок, швидко виокремлюючи ушкодження, які потенційно загрожують життю.
- Визначати допоміжні заходи для негайного лікування небезпечної для життя кровотечі з ран на кінцівках.
- Описувати основні складові вторинного огляду пацієнтів із травмами опорно-рухового апарату, включно зі збором анамнезу та медичним обстеженням.
- Пояснювати принципи початкового лікування травм опорно-рухового апарату, коли є загроза втрати кінцівки.
- Описувати огляд та первинне лікування пацієнтів із забоями, рваними ранами, ушкодженнями суглобів і зв’язок, а також із переломами.
- Застосовувати принципи іммобілізації у пацієнтів із травмами опорно-рухового апарату.
У багатьох пацієнтів із тупими травмами наявні супутні ушкодження опорно-рухового апарату. Такі ушкодження часто виникають несподівано, проте у рідкісних випадках відразу становлять загрозу життю чи кінцівці. Водночас травми опорно-рухового апарату можуть відволікати членів команди від пріоритетів реанімації.
Передусім під час первинного огляду клініцисти повинні розпізнати небезпечні для життя ушкодження кінцівок, а також зрозуміти їхній зв’язок із тяжкими торакальними та абдомінальними травмами. Лікарі повинні знати анатомію кінцівок для запобігання інвалідності, передбачати та попереджувати розвиток ускладнень.
Тяжкі травми опорно-рухового апарату свідчать, що тіло зазнало потужного удару (зобр. 8.1). Наприклад, дуже ймовірно, що постраждалий із переломами довгої трубчастої кістки має супутні внутрішні ушкодження тулуба. Нестабільні переломи таза та відкриті переломи стегна можуть супроводжуватися сильною кровотечею.
Тяжкі розтрощені рани призводять до викиду міоглобіну, який може проникати у ниркові канальці та спричиняти ниркову недостатність. Набряк, який проникає у неушкоджений м’язово-фасціальний футляр, може спричинити гострий компартмент-синдром, який, своєю чергою, може сильно нашкодити кінцівці та призвести до повної її втрати, якщо його вчасно не діагностувати і не розпочати лікування.
Жирова емболія — поодиноке, проте летальне ускладнення переломів великої трубчастої кістки, яке може спричинити дихальну недостатність та порушення функцій головного мозку.
Травми опорно-рухового апарату не дають підстав для зміни пріоритетів реанімації ABCDE. Проте наявність у постраждалого важкого ушкодження опорно-рухового апарату створює труднощі для лікаря.
Травми опорно-рухового апарату не слід ігнорувати, а лікування не можна відкладати на потім. Для забезпечення повного одужання лікар повинен лікувати постраждалого повністю, включно з травмами опорно-рухового апарату. Незважаючи на детальну діагностику множинних ушкоджень і надання медичної допомоги, переломи та ушкодження м’яких тканин не завжди можна розпізнати на ранніх стадіях.
Постійне проведення повторних обстежень постраждалого є необхідним для виявлення усіх травм.
Первинний огляд та реанімація у пацієнтів із потенційно небезпечними для життя ушкодженнями кінцівок
Під час первинного огляду обов’язково треба виявити та зупинити кровотечу, яка виникла внаслідок травми. До ушкоджень кінцівок, які потенційно загрожують життю, належать велика артеріальна кровотеча, двобічні переломи стегнових кісток і синдром тривалого стиснення. (Порушення цілісності тазового кільця — див. Розділ V. Травми живота і таза.)
Глибокі розриви м’яких тканин можуть зачепити великі судини та спричинити сильну кровотечу. Найефективніше кровотечу можна спинити шляхом прямого тиску на судину. Кровотеча від перелому великої трубчастої кістки може бути дуже сильною, а певні переломи стегна можуть призвести до значного внутрішнього крововиливу в стегно. Правильне накладання шини на перелом може значно зменшити кровотечу за рахунок обмеження рухливості кінцівки та створення м’язами ефекту тампона. Якщо перелом відкритий, то зазвичай кровотечу зупиняють накладанням стерильних стискаючих пов’язок. Належна інфузійна терапія є важливим доповненням до всіх перелічених механічних заходів допомоги постраждалому.
| Приховані загрози | Запобігання |
| Не завжди можна одразу виявити крововтрату при травмах опорно-рухового апарату | Слід пам’ятати, що переломи стегнової кістки та будь-які відкриті переломи довгих трубчастих кісток із залученням м’яких тканин є потенційними ділянками сильної кровотечі |
Велика артеріальна кровотеча та травматична ампутація
При проникаючих ранах кінцівок може спостерігатися серйозне ушкодження артерій. Ушкодження артерій також можливе при тупій травмі, що спричинила перелом кінцівки або вивих суглоба безпосередньо поруч із артерією. Ці травми можуть призвести до сильної зовнішньої кровотечі або масивного крововиливу в м’які тканини. Вкрай високий ризик небезпечної для життя кровотечі в пацієнтів із травматичною ампутацією. Такі пацієнти можуть потребувати накладання турнікета.
Оцінка
Оцініть, чи є зовнішня кровотеча, чи зберігається наявна раніше пульсація, чи змінюються властивості пульсу, показники допплерівського дослідження, гомілковостопний-плечовий індекс. Для визначення гомілковостопно-плечового індексу потрібно поділити систолічний АТ на гомілковостопному суглобі травмованої ноги на систолічний АТ не травмованої руки. Холодна, бліда кінцівка без пульсу вказує на порушення кровопостачання. Гематома, що швидко збільшується, свідчить про значну травму судин.
Допомога
Поетапна зупинка артеріальної кровотечі починається з прямого ручного притискання рани. (Bleedingcontrol.org проводить навчання із зупинки кровотеч для широкого загалу.) Після цього накладається стискаюча пов’язка: товстий шар складеної марлі міцно прибинтовують еластичним бинтом, щоб зосередити тиск на ушкодженій ділянці. Якщо кровотеча триває, притисніть рукою артерію проксимальніше від рани. Якщо це не дає ефекту, розгляньте доцільність застосування ручного (наприклад джгут-турнікет) або пневматичного турнікета, який накладають безпосередньо на шкіру (зобр. 8.2).
Затягуйте турнікет, допоки кровотеча не зупиниться. Правильно накладений турнікет перекриває артеріальний потік крові; перекриття лише венозного потоку може посилити кровотечу, спричинити набряк та ціаноз кінцівки. У разі використання пневматичного турнікета на верхній кінцівці тиск може становити до 250 мм рт. ст., а на нижній — до 400 мм рт. ст. Переконайтеся, що зафіксували час накладання турнікета. У випадках, коли пацієнт потребує негайної консультації хірурга, слід розглянути доцільність раннього транспортування до травматологічного центру.
Якщо час до оперативного втручання перевищує годину, можна одноразово послабити турнікет при стабільному стані пацієнта. У випадку накладання турнікета ризик зростає пропорційно до часу. Якщо для порятунку життя пацієнта необхідне тривале застосування турнікета, пріоритетним є збереження життя, а не кінцівки.
Артеріографію та інші діагностичні методи виконують тільки у реанімованих пацієнтів без порушення гемодинаміки. Решта пацієнтів потребує ургентного хірургічного втручання. Якщо є підозра або підтверджене тяжке ушкодження артерії, потрібна негайна консультація хірурга, який спеціалізується на травмах судин і кінцівок.
Накладання судинних затискачів на відкриту рану з кровотечою у пацієнтів, які перебувають у відділенні невідкладної допомоги, не рекомендоване, крім випадків чіткої візуалізації поверхневої судини. Якщо у пацієнта наявний перелом і відкрита рана з кровотечою, слід накласти шину на зафіксовану в необхідному положенні кінцівку; одночасно інший член команди виконує пряме притискання відкритої рани. За можливості потрібно вправити вивихи суглобів. За неможливості вправлення пацієнт може потребувати екстреної операції.
Ампутація, тяжкі відкриті переломи, які призводять до втрати кінцівки, травмують пацієнта фізично й емоційно. У випадку травматичної ампутації може знадобитися накладання турнікета. Необхідна консультація хірурга й оперативне втручання. При множинній травмі кінцівки з тривалою ішемією, ушкодженням нервів і м’язів, можливо, буде потрібна ампутація, яка може врятувати життя, якщо нестабільність гемодинаміки виникла внаслідок травми.
Слід розглянути можливість реплантації верхньої кінцівки залежно від наявності у пацієнта інших травм. Реплантацію не виконують у пацієнтів із множинними травмами, за необхідності інтенсивної терапії та/або ургентних оперативних втручань на кінцівці або інших травмованих ділянках. Зазвичай реплантація рекомендована пацієнтам з ізольованим ушкодженням кінцівки. Для ухвалення рішення щодо реплантації та подальшого лікування пацієнта з травматичною ампутацією верхньої кінцівки слід транспортувати до відповідної хірургічної бригади з досвідом реплантації.
Ампутовану частину кінцівки потрібно ретельно промити ізотонічним розчином (наприклад, розчином Рінгера лактатом) та загорнути у вологу стерильну марлю. Потім — загорнути у вологий стерильний рушник, покласти у поліетиленовий пакет. Ампутовану кінцівку транспортують у термоізольованому холодильнику з колотим льодом водночас із транспортуванням пацієнта. Потрібно бути обережними, щоб не заморозити ампутовану частину.
Двобічні переломи стегнових кісток
У пацієнтів із двобічними переломами стегнових кісток значно вищий ризик ускладнень і смерті. Такі переломи вказують на те, що пацієнт зазнав потужного удару, а також попереджають клініцистів про можливість пов’язаних травм. Пацієнти з двобічними переломами стегнових кісток мають вищий ризик значної крововтрати, тяжких супутніх травм, легеневих ускладнень, поліорганної недостатності та смерті порівняно з пацієнтами з однобічними переломами стегнової кістки. Обстеження і тактика ведення таких пацієнтів є такими ж, як і для пацієнтів із однобічними переломами. Розгляньте раннє транспортування до травматологічного пункту.
| Приховані загрози | Запобігання |
| Несвоєчасне транспортування до травмпункту | Транспортувати пацієнтів з ушкодженням судин та супутніми переломами до травматологічного центру з можливостями судинної та ортопедичної хірургії При двобічних переломах стегнових кісток суттєво зростає ризик ускладнень і смерті; рекомендоване раннє транспортування до травматологічного центру |
Синдром тривалого стиснення
Синдром тривалого стиснення (або травматичний рабдоміоліз) належить до клінічних наслідків ушкодження м’язів, які можуть призвести до гострої ниркової недостатності та шоку, якщо не здійснювати лікування. Цей стан спостерігається в осіб з компресійною травмою значної м’язової маси, здебільшого — стегна чи гомілки. М’язовий інсульт — це поєднання прямого ушкодження м’язів, ішемії м’язів і загибелі клітин із вивільненням міоглобіну.
Оцінка
Міоглобін забарвлює сечу у темно-бурштиновий колір, дає позитивний тест на гемоглобін. Для підтвердження виконують аналіз на міоглобін. Якщо неможливо визначити рівень міоглобіну в сечі, на рабдоміоліз вказує бурштиновий колір сечі при рівні креатинкінази сироватки крові понад 10 000 Од/л. Рабдоміоліз може спричинити метаболічний ацидоз, гіперкаліємію, гіпокальціємію та дисеміноване внутрішньосудинне згортання крові.
Допомога
Вирішальне значення для захисту нирок і попередження ниркової недостатності у пацієнтів із рабдоміолізом має рання «агресивна» інфузійна терапія під час реанімації. З метою попередження міоглобін-індукованої ниркової недостатності проводять збільшення об’єму внутрішньосудинної рідини, інфузію бікарбонарбонату для підлужнення сечі, а також — осмотичний діурез.
Додаткові елементи первинного огляду
Додаткові елементи первинного огляду пацієнта з травмами опорно-рухового апарату включають іммобілізацію переломів та рентгендіагностику при підозрі, що перелом є причиною шоку.
Іммобілізація переломів
Мета початкової іммобілізації зламаної кінцівки полягає у тому, щоб вирівняти її та надати їй якомога природнішого положення і в такий спосіб запобігти надмірній рухливості ділянки перелому. Здійснюють її шляхом випрямлення кінцівки, застосувавши горизонтальне витягування кінцівки та іммобілізаційні матеріали (зобр. 8.3). Правильне накладання шин допоможе зупинити кровотечу, зменшить біль і попередить подальше ушкодження м’яких тканин. Якщо у потерпілого відкритий перелом, лікар не повинен вправляти в рану кістки, які випнулись назовні, оскільки всі відкриті переломи вимагають хірургічної обробки. Слід усунути сильне забруднення, видалити тверді частки з рани та якомога раніше призначити антибіотики у дозуванні залежно від маси тіла пацієнта. (Див. Додаток G. Практичні навички при порушенні гемодинаміки, кровотечі.)
A. Укорочення та зовнішня ротація правої ноги внаслідок перелому середини діафіза стегнової кістки.
B. Застосування горизонтального витягування кінцівки зі стабілізацією ноги у нормальному анатомічному положенні
Кваліфіковані лікарі-клініцисти можуть спробувати виконати репозицію при вивихах суглобів. Якщо вдалося успішно виконати закриту репозицію суглоба, то іммобілізацію кінцівки у природному положенні можна здійснювати шляхом накладання шин та гіпсу, щоб зберегти кінцівку вправленою.
Якщо репозиція неуспішна, зміщені суглоби іммобілізують у тому положенні, в якому їх виявили. Шини слід накласти якнайшвидше, оскільки це може допомогти спинити кровотечу та зменшити біль.
Однак накладання шин не має затримувати реанімацію постраждалого. Оцініть іннервацію, кровопостачання кінцівки до і після маніпуляцій та шинування.
Рентгендіагностика
Хоча рентгендіагностика більшості ушкоджень кісток є частиною вторинного огляду, її можна виконувати і під час первинного огляду, якщо є підозра, що шок викликаний переломом. Коли проводити рентгендослідження та яких частин тіла, визначають за результатами перших безсумнівних клінічних висновків, гемодинамічного стану постраждалого та механізму ушкоджень.
Вторинний огляд
Вторинний огляд постраждалого з травмою опорно-рухового апарату включає анамнез та медичний огляд.
Анамнез хворого
Ключові аспекти анамнезу хворого включають механізм ушкодження, місце пригоди, стан постраждалого до травми, індивідуальні особливості хворого та долікарське обстеження і допомогу.
Механізм ушкодження
Отриману інформацію від медичних працівників, що здійснювали транспортування постраждалого, від самого постраждалого, його рідних та очевидців пригоди слід записати та додати до історії хвороби. Надзвичайно важливим є визначити механізм травмування, який може вказати на ймовірність інших складних у негайному виявленні ушкоджень. (Див. Біомеханізм ушкодження.) Лікар повинен візуалізувати в уяві картину травмування, визначити інші потенційні супутні травми, а також отримати максимальний обсяг такої інформації:
- На якому місці в машині перебував постраждалий до моменту аварії? У разі ДТП місце розташування пацієнта до зіткнення (водій або пасажир) може вказати на тип перелому — наприклад, боковий перелом таза зі здавленням унаслідок бокового зіткнення автомобіля.
- Де перебував постраждалий після аварії — усередині автомобіля чи назовні? Чи був він пристебнутий та чи спрацювала подушка безпеки? Визначивши це, лікар зможе з’ясувати, які частини тіла були ушкоджені. Якщо пасажира викинуло з машини, то з’ясуйте, на яку відстань та які умови приземлення. Зазвичай такий розвиток подій призводить до підвищення тяжкості травм та появи непередбачуваних ділянок ушкодження.
- Чи був автомобіль пошкоджений зовні — наприклад, деформація передньої частини внаслідок лобового зіткнення? Така інформація може свідчити про ймовірну травму стегна.
- Чи був автомобіль пошкоджений зсередини — наприклад, деформація передньої панелі? Така інформація свідчить про ймовірність ушкодження нижніх кінцівок.
- Чи падав постраждалий? Якщо так, то якою була відстань падіння та приземлення? Це допоможе визначити діапазон ушкоджень.
- Чи був постраждалий придавлений чимось? Якщо так, визначте вагу предмета, місце ушкодження та тривалість стиснення. Залежно від того, що було притиснуте — підшкірна поверхня кістки чи м’язові ділянки, можуть виникати різні ступені ушкодження м’яких тканин, від звичайного забиття до тяжких травм кінцівок із компартмент-синдромом та некрозом тканин.
- Чи був факт вибуху? Якщо так, то якою була сила вибуху та на якій відстані від нього перебував постраждалий? Ті, хто перебуває близько до центру вибуху, можуть отримати первинні вибухові поранення, спричинені силою вибухової хвилі. Вторинні вибухові поранення можуть з’явитися внаслідок поранення осколками та іншими предметами (уламками) від вибуху. Йдеться про такі травми: проникаючі рани, рвані рани та забиття. Пацієнта також може сильно відкинути вибуховою хвилею на землю чи на інші об’єкти. А це своєю чергою може призвести до ушкоджень опорно-рухового апарату та інших травм (третинні вибухові ушкодження).
- Чи постраждалий був пішоходом? Ушкодження опорно-рухового апарату можуть також залежати від віку та габаритів постраждалого (зобр. 8.4).
Навколишнє середовище
Поцікавтеся у персоналу, який надавав першу медичну допомогу, про місце події, зокрема:
- Забруднення навколишнього середовища у момент, коли постраждалий отримав відкритий перелом.
- Вплив на постраждалого високих температур.
- Наявність скляних уламків (які також можуть поранити того, хто здійснює огляд постраждалого).
- Наявність джерел бактеріального зараження (наприклад, бруд, екскременти тварин, звичайна чи солона вода).
Така інформація допоможе лікареві виявити потенційні проблеми та призначити першочергову антибіотикотерапію.
Стан постраждалого до отримання травми та індивідуальні особливості потерпілого
Рекомендовано за можливості визначити стан постраждалого до травмування, оскільки ця інформація прискорить процес оцінки стану постраждалого, визначення курсу лікування та одужання. Потрібно зібрати анамнез за алгоритмом AMPLE, а також дані про толерантність до фізичного навантаження та рівень активності, вживання алкоголю та/чи ліків, емоційні проблеми чи хвороби та попередні ушкодження опорно-рухового апарату.
Догоспітальне обстеження та допомога
Необхідно повідомити та задокументувати всі дані стосовно огляду та допомоги на догоспітальному етапі. Отримані після огляду місця пригоди відомості, які можуть допомогти лікареві розпізнати потенційні ушкодження, інформують про:
- Час травми, особливо при безперервній кровотечі, відкритому переломі, пізній госпіталізації
- Положення, в якому знайшли постраждалого
- Кровотеча чи скупчення крові на місці події та її приблизна кількість
- Кістки чи переломи, які видніються з ран
- Відкриті рани з ймовірними чи видимими переломами
- Помітні деформації або зміщення
- Механізм травми, який може призвести до розвитку синдрому тривалого стиснення
- Наявність чи відсутність моторної та сенсорної функції у кожній кінцівці
- Затримки в евакуації чи транспортуванні постраждалого
- Зміну у функціях кінцівок, перфузії чи неврологічних показниках, особливо після іммобілізації чи під час транспортування до лікарні
- Репозицію переломів чи вивихів під час евакуації, накладання шин на місці події
- Накладання бинтів та шин, з особливою увагою на надмірний тиск на кісткові виступи, який може спричинити ушкодження периферійних нервів та синдром здавлювання
- Час, протягом якого накладений турнікет
Медичний огляд
Щоб провести обстеження всього тіла, постраждалого треба повністю роздягнути. Водночас важливо не допустити гіпотермії. Кінцівки з видимими ушкодженнями часто іммобілізують ще до того, як пацієнта доправлять до відділення невідкладної медичної допомоги. Обстеження травм кінцівок постраждалого має на меті:
- Визначити, чи травма становить загрозу для життя постраждалого (первинний огляд).
- Визначити, чи травма становить загрозу для кінцівки (вторинний огляд).
- Систематичний огляд з метою не пропустити жодного супутнього ушкодження опорно-рухового апарату (систематичні повторні огляди).
Діагностику травм опорно-рухового апарату здійснюють шляхом огляду та опитування постраждалого, а також шляхом пальпування кінцівок та проведення систематичної перевірки кожної кінцівки. Є чотири компоненти, які слід перевірити під час обстеження: шкіра, яка захищає постраждалого від надмірного зневоднення та інфекцій; нейром’язова функція; стан циркуляції крові; цілісність скелета та зв’язок. (Див. Додаток G. Вторинний огляд.)
Огляд та опитування постраждалого
Візуально оцініть колір кінцівок, перфузію, рани, деформації (неприродні викривлення та скорочення), опухлості та синці.
Швидкий візуальний огляд усього тіла постраждалого є необхідним для визначення місця наймасивнішої внутрішньої кровотечі. Бліда чи зовсім біла кінцівка свідчить про нестачу притоку артеріальної крові. Кінцівки, що набрякли в ділянці груп великих м’язів, можуть вказувати на розтрощені рани та потенційний синдром тривалого стиснення. Набряк чи крововилив у суглобі чи навколо нього та/чи над підшкірною поверхнею кістки сигналізують про травми опорно-рухового апарату. Деформація кінцівки — це явна ознака серйозної травми кінцівки. У табл. 8.1 наведено приклади типових вивихів та деформацій суглобів.
Огляньте все тіло постраждалого на наявність рваних ран та ран із стертою шкірою. Відкриті рани на тильній стороні тіла можуть бути помічені не одразу. Для того, щоб виявити приховані травми, постраждалого слід обережно перевернути. (Див. Logroll video у мобільному додатку MyATLS.) Будь-яку відкриту рану кінцівки із пов’язаним переломом розцінюють як відкритий перелом до спростування хірургом.
Ведіть спостереження за моторною функцією кінцівки. Це допоможе вам визначити будь-які неврологічні та/чи м’язові розлади. Якщо постраждалий непритомний, то відсутність спонтанних рефлексів у кінцівках може стати єдиним сигналом порушення роботи моторної функції. Якщо постраждалий перебуває при свідомості, то функції м’язів мимовільних рухів та периферійних нервів можна перевірити, попросивши постраждалого спробувати скоротити групи великих м’язів. Здатність необмежених рухів усіма суглобами зазвичай вказує на те, що нервово-м’язовий апарат є неушкодженим, а суглоби — не зміщені.
Таблиця 8.1. Типові вивихи та деформації суглобів
| Суглоб | Вид вивиху | Тип деформації |
| Плече | Передній Задній | У формі квадрата Закріплене у внутрішній ротації |
| Лікоть | Задній | Ліктьовий відросток виступає назад |
| Стегно | Передній Задній | Стегно фіксоване відведене повернуте назовні/ Суглоб зігнутий, повернутий всередину |
| Коліно | Передньо-задній | Втрачено природний контур; видовжене *можливе спонтанне зменшення перед оцінюванням |
| Гомілковостопний | Найпоширеніший — боковий | Повернутий назовні, виступає внутрішня кісточка |
| Підтаранний суглоб | Найпоширеніший — боковий | П’яткова кістка зміщена набік |
Пальпування
Проведіть пальпування кінцівок, щоб визначити чутливість шкіри (неврологічну функцію) та ідентифікувати болісні ділянки, які можуть вказувати на перелом. Втрата чутливості до болю та дотику свідчить про наявність ушкоджень хребта та периферійних нервів. Болючі місця навколо м’язів можуть вказувати на забиття м’язів чи перелом. За наявності болю, підвищеної чутливості, набряку, які супроводжуються деформацією та нетиповою рухливістю кістки варто запідозрити перелом. Проте спроби домогтися крепітації чи продемонструвати неприродні рухи кінцівки не рекомендовані.
Стабільність суглобів можна визначити лише шляхом медичного огляду. Неприродна рухливість частин суглоба свідчить про розриви сухожилля або зв’язок. Проведіть пальпування суглоба, щоб ідентифікувати будь-які набряки та підвищену чутливість зв’язок, а також оцінити стан внутрішньосуглобової рідини. Після цього можна обережно напружити певні з’язки. Сильний біль може приховати неприродний рух зв’язок через рефлекторне напруження при м’язових скороченнях чи спазмі, тому слід пізніше провести повторне обстеження.
Оцінка кровообігу
Проведіть пальпування дистального пульсу кожної кінцівки та оцініть капілярне наповнення. Якщо через гіпотонію важко визначити пульс постраждалого, то притік крові до кінцівки можна перевірити за допомогою зонда Допплера. Сигнал Допплера має бути трьохфазним, щоб виключити проксимальні ураження. Втрата чутливості у долонях та стопах є раннім симптомом ушкодження судин.
У пацієнтів із нормальним АТ про ушкодження артерій можуть свідчити порушення пульсу, відчуття холоду в кінцівках, блідість, парестезії і навіть порушення моторної функції. Відкриті рани та переломи біля артерій також можуть вказувати на артеріальні ушкодження. Вивихи колінного суглоба можуть вправлятися спонтанно та не проявлятися жодними грубими зовнішніми чи рентгенологічними аномаліями. Нестабільність можна виявити лише клінічно під час медичного огляду. Гомілковостопний-плечовий індекс менший ніж 0,9 вказує на порушення притоку артеріальної крові на фоні ушкодження чи хвороби периферійних судин. Гематоми, що збільшуються, та пульсуючі кровотечі від відкритих ран також є сигналом наявності ушкоджень артерій.
Рентгендіагностика
Медичний огляд постраждалого з травмами опорно-рухового апарату зазвичай передбачає проведення рентгендіагностики. Будь-яке місце навколо кістки, яке є чутливим та деформованим, може вказувати на перелом. Постраждалі без гемодинамічних порушень повинні пройти рентгендіагностику. Випіт у суглобі, його неприродна чутливість чи деформація є ознаками ушкодження або вивиху і також є приводом для рентгендіагностики. Єдиною причиною відмови від проведення рентгену до початку лікування вивиху чи перелому є судинні порушення та руйнування шкірних покривів, яке може незабаром виникнути. Це часто спостерігається при зміщеному переломі гомілковостопного суглоба (зобр. 8.5).
Якщо рентгендіагностику не вдасться провести найближчим часом, то слід виконати негайну репозицію чи витяжіння кінцівки для того, щоб відновити притік артеріальної крові та зменшити тиск на шкіру. Витяжіння можна підтримувати за допомогою іммобілізаційних заходів.
Травми, які становлять загрозу для кінцівки
Травми кінцівок, які вважають потенційно небезпечними для кінцівки, це відкриті переломи та ушкодження суглобів, ішемічні ушкодження судин, компартмент-синдром та неврологічні ушкодження на фоні перелому або вивиху.
Відкриті переломи та відкриті ушкодження суглобів
Відкритий перелом та відкрите ушкодження суглоба — це контакт кістки або порожнини суглоба із зовнішнім середовищем (зобр. 8.6). При ньому також є ушкоджені шкіра та м’язи. Ступінь ушкодження м’яких тканин пропорційний силі удару. Така травма разом із бактеріологічним зараженням робить відкритий перелом вразливим до впливу інфекцій та проблем із процесом загоєння і відновленням функції.
Діагностика
Відкритий перелом або відкрите ушкодження суглоба необхідно виявити якомога раніше. Діагноз відкритого перелому встановлюють на основі результатів медичного огляду кінцівки, які демонструють відкриту рану на тому ж сегменті кінцівки, що й перелом. У жодному разі не дозволяється зондувати рану.
Письмове фіксування інформації про відкриту рану починається ще на догоспітальному етапі та включає початковий опис травми і будь-яку допомогу, надану на місці події. Якщо відкрита рана розташована навколо чи біля суглоба, можна припускати, що вона пов’язана із суглобом або зачіпає його. Відкриті ушкодження суглобів можна виявити за допомогою КТ. Наявність внутрішньосуглобового газу на КТ травмованої кінцівки є високочутливою та специфічною ознакою відкритого ушкодження суглоба. Якщо зробити КТ неможливо, слід розглянути внутрішньосуглобове введення ізотонічного розчину або барвника. Таким чином можна визначити, чи сполучається порожнина суглоба з раною. Якщо є підозра на відкрите ушкодження суглоба, потрібна консультація хірурга-ортопеда, оскільки це може бути показанням до хірургічного огляду та очищення рани.
Допомога
Тактика лікування ґрунтується на повному анамнезі травми та оцінці ушкодження. Усім пацієнтам із відкритими переломами слід негайно розпочати внутрішньовенне застосування антибіотиків у відповідному до маси тіла дозуванні. Усі пацієнти з відкритими переломами повинні отримувати цефалоспорини І покоління (табл. 8.2). Затримка введення антибіотиків у більше ніж три години пов’язана з підвищеним ризиком інфікування.
Таблиця 8.2. Рекомендації з дозування внутрішньовенного введення антибіотиків залежно від маси тіла пацієнта
| Відкриті переломи | Цефалоспорини І покоління (грампозитивна мікрофлора) Цефазолін | При анафілактичній реакції на пеніциліни (замість цефалоспоринів І покоління) Кліндаміцин | Аміноглікозиди (грамнегативна мікрофлора) Гентаміцин | Піперацилін/ тазобактам (широкий спектр, грампозитивна та грамнегативна мікрофлора) |
| Рани < 1 см; мінімальна контамінація та ушкодження м’яких тканин | < 50 кг: 1 г кожні 8 год 50-100 кг: 2 г кожні 8 год > 100 кг: 3 г кожні 8 год | < 80 кг: 600 мг кожні 8 год > 80 кг: 900 мг кожні 8 год | ||
| Рани 1–10 см; помірне ушкодження м’яких тканин; уламковий перелом | < 50 кг: 1 г кожні 8 год 50-100 кг: 2 г кожні 8 год > 100 кг: 3 г кожні 8 год | < 80 кг: 600 мг кожні 8 год > 80 кг: 900 мг кожні 8 год | ||
| Тяжке ушкодження м’яких тканин, виражена контамінація, яка супроводжується ушкодженням судин | < 50 кг: 1 г кожні 8 год 50-100 кг: 2 г кожні 8 год > 100 кг: 3 г кожні 8 год | < 80 кг: 600 мг кожні 8 год > 80 кг: 900 мг кожні 8 год | Навантажувальна доза у відділенні невідкладної допомоги: 2,5 мг/кг у дітей (або пацієнтів <50 кг) 5 мг/кг у дорослих | |
| Сільськогоспода-рське подвір’я, ґрунт, стояча вода, незалежно від розміру та тяжкості рани | 3,375 г кожні 6 год (< 100 кг)4,5 г кожні 6 год (> 100 кг) *при анафілактичній реакції на пеніциліни зверніться до інфекційного відділення або аптеки |
Значні забруднення та тверді частки потрібно видалити якомога раніше; накрийте рану вологою стерильною пов’язкою. Проведіть правильні іммобілізаційні заходи після точного опису рани та виявлення пов’язаних ушкоджень м’яких тканин, кровоносної та нервової систем. Є обов’язковою негайна хірургічна консультація. Потрібно провести реанімаційні заходи та стабілізувати гемодинамічні показники, якщо це можливо. Потім слід оперативно очистити рани, стабілізувати переломи та перевірити дистальний пульс. Також здійснюють профілактику правця. (Див. Вакцинація проти правця.)
| Приховані загрози | Запобігання |
| Несвоєчасне застосування антибіотиків у пацієнтів із відкритими переломами | Візьміть до уваги, що інфекція становить суттєвий ризик для пацієнтів із відкритими переломами. Якщо є підозра на відкритий перелом, призначте належну антибіотикопрофілактику у відповідному до маси пацієнта дозуванні |
Ушкодження судин
Судинна недостатність, пов’язана із стисненням, розтрощенням, скручуванням або проникаючими травмами та вивихами кінцівок, часто свідчить про ушкодження судин.
Оцінка
На початковому етапі кінцівка часто може здаватися життєздатною, оскільки вона має певну колатеральну циркуляцію, яка забезпечує достатнє кровопостачання. Ушкодження судини без оклюзії, наприклад, розрив інтими, призводить до охолодження кінцівки та сповільнення наповнення капілярів у дистальній частині кінцівки, а також — до зниженого периферійного пульсу та порушеного гомілковостопного-плечового індексу. В іншому разі дистальна частина кінцівки може бути холодною, блідою та повністю позбавленою пульсу та притоку крові.
Допомога
Якщо кінцівка сильно знекровлена, слід негайно розпочати лікування.
Для відновлення артеріального кровопостачання ішемізованої кінцівки необхідна рання хірургічна реваскуляризація. Некроз м’язів починається за відсутності артеріального кровотоку понад 6 год. Нерви можуть бути ще більш чутливими до безкисневого середовища. У випадку деформації зламаної кінцівки обережно витягніть кінцівку до належної довжини, вирівняйте зламану ділянку, накладіть шину. Таким чином можна відновити кровотік до ішемізованої кінцівки, якщо був перегин артерії унаслідок вкорочення та деформації зламаної ділянки.
Якщо артеріальна кровотеча супроводжується вивихом суглоба, лікар може спробувати його обережно вправити. В іншому разі необхідно накласти шини на зміщений суглоб та негайно проконсультуватися з хірургом. КТ-ангіографія може допомогти оцінити судинні ушкодження кінцівки, за умови, що вона не призведе до затримки процесу відновлення артеріального потоку крові. Її призначають лише після консультації з хірургом.
Порушення судинної системи також може виникнути, коли на поранену кінцівку накладають шини. Отже, важливо проводити та документувати результати неврологічного обстеження ураженої кінцівки до та після накладання шини. Порушення роботи судинної системи визначають за втратою чи зміною дистального пульсу. Якщо під час накладання шини виникає надмірний біль, слід з’ясувати його причину. Судинні порушення також можуть виникати під час гіпсування. Шина, гіпс чи будь-який інший іммобілізаційний матеріал необхідно якнайшвидше зняти та повторно перевірити кровопостачання.
Компартмент-синдром
Компартмент-синдром розвивається, коли тиск у межах м’язово-фасціального стиснення спричиняє ішемію та подальший некроз. Така ішемія може бути спричинена збільшенням розмірів стисненої ділянки (наприклад, крововилив у зону стиснення чи набряк на фоні реваскуляризації кінцівки з ішемією) або зменшенням розмірів стиснення (наприклад, стискаюча пов’язка). Синдром тривалого стиснення може виникати в будь-якому місці, де є м’язи у межах замкнутого фасціального простору. Пам’ятайте, що у певних випадках шкіра також може слугувати обмежувальною мембраною. Найчастіше компартмент-синдром виникає у гомілці, передпліччі, стопі, кисті руки, у ділянці сідниць та в стегні (зобр. 8.7).
Наслідки невиявленого компартмент-синдрому катастрофічні. Це неврологічні розлади, некроз м’язів, ішемічна контрактура, інфекції, повільне загоєння перелому та можлива ампутація.
Оцінка
Будь-яке ушкодження кінцівки може спричинити компартмент-синдром. Високий ризик становлять:
- Переломи гомілки та передпліччя
- Ушкодження, від іммобілізації після накладання тугих пов’язок чи гіпсу
- Тяжкі розтрощені травми м’язів
- Тривалий місцевий зовнішній тиск на кінцівку
- Підвищена капілярна проникність на фоні реперфузії м’язів з ішемією
- Опіки
- Надмірне фізичне навантаження
Вставка 8–1 детально описує ознаки, що вказують на симптоми компартмент-синдрому. Запорукою успішного лікування компартмент-синдрому є його рання діагностика. Високий рівень обізнаності дуже важливий, особливо якщо постраждалий має зміни свідомості й не може адекватно реагувати на біль. Відсутність дистального пульсу — рідкісна або ж пізня ознака, не обов’язкова для діагностики компартмент-синдрому. Також не варто покладатися на час наповнення капілярів. Слабкість чи параліч м’язів ушкодженої кінцівки є пізніми характеристиками синдрому і свідчать про ушкодження нервів або м’язів. Клінічна діагностика ґрунтується на анамнезі ушкодження, фізичних ознаках та високому індексі підозри. При аномаліях пульсу слід розглянути ймовірність ураження проксимальних судин.
Вимірювання субфасціального тиску може допомогти у діагностуванні ймовірного компартмент-синдрому. Тиск у м’яких тканинах, що перевищує 30 мм рт. ст., свідчить про зниження притоку капілярної крові, яке може стати результатом ускладнення ушкоджень м’язів та нервів, спричинених гіпоксією. Важливим є системний артеріальний тиск: що нижчий системний тиск, то менший м’язово-фасціальний тиск, який спричиняє компартмент-синдром.
Компартмент-синдром є клінічним діагнозом. Вимірювання тиску — лише допоміжний метод діагностики.
Вставка 8.1
| Ознаки компартмент синдрому: |
| Посилення болю більше, ніж очікувалося, та його нетипова сила у відповідь на подразник. Біль під час пасивного розтягування ушкоджених м’язів. Напружений набряк ураженої ділянки. Парестезії або зміни у чутливості дистальніше ушкодженої ділянки. |
Допомога
Компартмент-синдром залежить від часу та сили стискання. Що вищий ступінь стискання та що довше він утримується на такому рівні, то вищим буде ступінь нервово-м’язового ушкодження та порушення функцій кінцівки. Якщо є підозра на компартмент-синдром, негайно зніміть усі стискаючі пов’язки, гіпси й шини та без зволікань зверніться до хірурга. Єдиний метод лікування — фасціотомія (зобр. 8.8). Затримка у проведенні фасціотомії може спричинити міоглобінурію, яка своєю чергою призведе до погіршення ниркової функції. Негайно проконсультуйтеся з хірургами щодо діагностованого чи ймовірного компартмент-синдрому.
A. Інтраопераційна фотографія, показана фасціотомія при компартмент-синдромі верхньої кінцівки, вторинному до розтрощеної травми.
B. Післяопераційна декомпресія компартмент-синдрому гомілки, серединний розріз.
Неврологічні ушкодження на фоні перелому або вивиху
Переломи та особливо вивихи можуть спричинити серйозні неврологічні ушкодження через анатомічну зв’язаність та близькість нервів до кісток і суглобів — наприклад, стиснення сідничного нерва внаслідок заднього вивиху стегна чи ушкодження пахвового нерва в результаті переднього вивиху плеча. Якщо ці ушкодження не виявити та не почати лікування на ранніх стадіях, оптимальний результат хвороби опиняється під загрозою.
| Приховані загрози | Запобігання |
| Запізніла діагностика компартмент-синдрому | Постійно розглядати ймовірність компартмент-синдрому у пацієнтів зі значними травмами опорно-рухового апарату. Пам’ятати, що компартмент-синдром складно розпізнати у пацієнтів з порушенням свідомості. Регулярно проводити повторний огляд пацієнтів із порушеннями свідомості на наявність ознак компартмент-синдрому. |
Оцінка
У пацієнтів із травмами опорно-рухового апарату необхідною є детальна перевірка неврологічних показників. Важливо виявляти та фіксувати неврологічні розлади.
Обстеження зазвичай демонструє деформацію кінцівки. Оцінка нервової функції здебільшого вимагає отримання інформації від самого постраждалого. Необхідно систематично перевіряти периферійні нерви, активну моторну функцію та чутливість. У таблицях 8.3 та 8.4 наведено обстеження периферійних нервів верхніх та нижніх кінцівок відповідно. (Також див. Peripheral Nerve Assessment of Upper Extremities та Peripheral Nerve Assessment of Lower Extremities у мобільному додатку MyATLS.) Перевірка м’язів включає їх пальпування при скороченні.
У більшості постраждалих із множинними травмами складно перевірити нервову функцію на ранніх етапах. Тому обстеження слід постійно повторювати, особливо після стабілізування стану хворого. Прогресування неврологічних симптомів свідчить про продовження стискання нервів. Найважливішим аспектом будь-якого неврологічного ушкодження є фіксування прогресуючої зміни неврологічних показників. Також це важливий момент для прийняття рішення про хірургічне втручання.
Допомога
Ушкоджену кінцівку потрібно іммобілізувати у вправленому положенні. Кваліфікований лікар може спробувати обережно вправити кінцівку. Після вправлення слід знову перевірити неврологічні показники та накласти на кінцівку шини. У разі успішної репозиції потрібно повідомити лікарю, який буде надалі вести пацієнта, що кінцівка була вивихнута і її успішно вправили.
Таблиця 8.3. Обстеження периферійних нервів верхньої кінцівки
| Нерв | Моторика | Відчуття | Ушкодження |
| Ліктьовий | Відведення вказівного та мізинного пальця | Мізинець | Ушкодження ліктя |
| Серединний, дистальний сегмент | Опір при скороченні м’язів великого пальця кисті | Кінчик вказівного пальця | Вивих або перелом зап’ястя |
| Передній міжкістковий нерв передпліччя (гілка серединного нерва) | Згинання кінчика вказівного пальця | жодного | Надвиростковий перелом плечової кістки (у дітей) |
| Шкірно-м’язовий нерв | Згинання ліктя | Бокова частина передпліччя | Передній вивих плеча |
| Променевий нерв | Розтягнення п’ястно-фалангового суглоба великого пальця | Перший міжпальцевий проміжок, тильна поверхня | Перелом дистального кінця плечової кістки, передній вивих плеча |
| Пахвовий нерв | Дельтоподібний м’яз | Бокова частина плеча | Передній вивих плеча, проксимальний перелом плечової кістки |
Таблиця 8.4. Обстеження периферійних нервів нижньої кінцівки
| Нерв | Моторика | Відчуття | Ушкодження |
| Стегновий | Розгинання коліна | Передня частина коліна | Перелом гілки лобкової кістки |
| Запірний | Аддукція стегна | Середина стегна | Перелом замикаючого кільця тазу |
| Задній великогомілковий | Згинання пальців ніг | Підошва ноги | Вивих коліна |
| Поверхневий малогомілковий | Вивертання гомілковостопного суглоба | Боковий тил стопи | Перелом шийки малогомілкової кістки, вивих коліна |
| Глибокий малогомілковий | Згинання назад гомілковостопного суглоба/пальця ноги | Тильна частина першого і другого міжпальцевого проміжку | Перелом шийки малогомілкової кістки, компартмент-синдром |
| Сідничний | Згинання підошви назад | Стопа | Задній вивих стегна |
| Верхній сідничний | Відведення стегна | Верхня частина сідниці | Переломи вертлюгової западини |
| Нижній сідничний | Розгинання великого сідничного м’яза | Нижня частина сідниці | Переломи вертлюгової западини |
Інші травми кінцівок
Інші серйозні травми кінцівок включають забиття та рвані рани, ушкодження суглобів та переломи.
Забої та рвані рани
Слід обстежити звичайні забої та/чи рвані рани, щоб виключити неврологічні ушкодження та/чи ушкодження судин. Загалом рвані рани необхідно промити та перев’язати. Якщо рвана рана поширюється глибше фасціального рівня, вона вимагає хірургічного втручання, щоб її повністю очистити та перевірити наявність інших ушкоджень під нею.
Забої розпізнають за больовими відчуттями, локальним набряканням і підвищеною чутливістю під час пальпації. Якщо пацієнт вчасно звернеться до лікаря, закриті травми лікують обмеженням рухливості ушкодженої ділянки і застосуванням холодних компресів.
Розтрощені та внутрішні скальповані рани можуть бути дуже підступними, їх слід постійно враховувати при окремих механізмах ушкодження. У разі розтрощення можуть виникати деваскуляризація та некроз м’язів. Відрив м’яких тканин може відокремити шкіру від глибокої фасції. Це призведе до значного накопичення крові в утвореній порожнині (наприклад, ушкодження Мореля-Лаваллє). Крім того, шкіра може бути позбавлена кровопостачання і некротизуватися протягом декількох днів. На цій ділянці можуть спостерігатися садна або синці, які вказують на тяжче ушкодження м’язів і потенційний компартмент-синдром або розтрощення. Такі ушкодження м’яких тканин найкраще оцінювати при відомому механізмі травми, пальпуючи конкретний задіяний компонент. Розгляньте необхідність консультації хірурга, оскільки може бути показання до дренування або хірургічної обробки рани.
Через травми, які виникли більше ніж 6 годин тому, такі, що виникли через забій чи здирання шкіри, мають глибину більше ніж 1 см, спричинені високошвидкісними снарядами, опіки чи обмороження, мають значний рівень контамінації, особливо рани з денервованою чи ішемізованою тканиною, зростає ризик розвитку правця. (Див. Вакцинація проти правця.)
Ушкодження суглобів і зв’язок
Якщо суглоб не вивихнений (тобто має нормальну анатомічну конфігурацію, проте зв’язки травмовані), то загрози кінцівкам не виникає. Однак своєчасна діагностика та лікування є важливими для оптимізації функціонування кінцівки.
Оцінка
При травмах суглоба пацієнт зазвичай розповідає про нетипове навантаження на суглоб. Наприклад, удар спереду по великогомілковій кістці може спричинити задній вивих колінного суглоба, удар у бічну частину ноги може призвести до вальгусної деформації колінного суглоба, а падіння на витягнуту руку призведе до надмірного згинання (гіперфлексії) ліктя.
Під час огляду виявляють надмірну чутливість ураженої зв’язки. Зазвичай наявний гемартроз, проте якщо суглобова сумка розірвана, кровотеча поширюється у м’які тканини. Пасивний огляд зв’язок ураженого суглоба свідчить про його нестійкість. Рентген зазвичай не показує серйозних ушкоджень. Проте під час рентгенографії можуть спостерігатися невеликі відривні переломи.
Допомога
При травмах суглоба ушкоджену ділянку треба знерухомити. Повторно здійсніть оцінку судинного і неврологічного стану дистальної частини ушкодженої кінцівки. Вивихи колінного суглоба часто самостійно вправляються до майже анатомічного положення, та можуть бути ледве помітними при огляді. При ушкодженні декількох зв’язок коліна може трапитися вивих із ризиком судинно-нервового ушкодження кінцівки. У таких випадках зазвичай призначають консультацію хірурга.
Переломи
Переломи — це порушення цілісності коркового шару кістки. Вони характеризуються неприродним рухом, певною формою травми м’яких тканин, крепітацією і болем. Перелом може бути відкритий або закритий.
Оцінка
Під час медичного огляду кінцівки визначаються біль, набряк, деформація, надмірна чутливість, крепітація і неприродний рух у місці перелому. Дослідження крепітації та неприродних рухів є досить болючим і може підвищити ризик ушкодження м’яких тканин. Такі діагностичні дослідження рідко потрібні для діагностики, їх не слід виконувати рутинно та повторювати без необхідності. Якщо на місці перелому накладена шина, треба періодично перевіряти стан судинно-нервових структур кінцівки.
Рентгенограма, зроблена під правильним кутом, підтверджує анамнез і результати медичного огляду (зобр. 8.9). Залежно від гемодинамічного стану пацієнта рентгенологічне обстеження, можливо, доведеться відкласти, поки стан пацієнта не стабілізується. Треба також зробити рентгенограми суглобів над і під місцем можливого перелому з метою виключення можливості прихованих вивихів і супутніх ушкоджень.
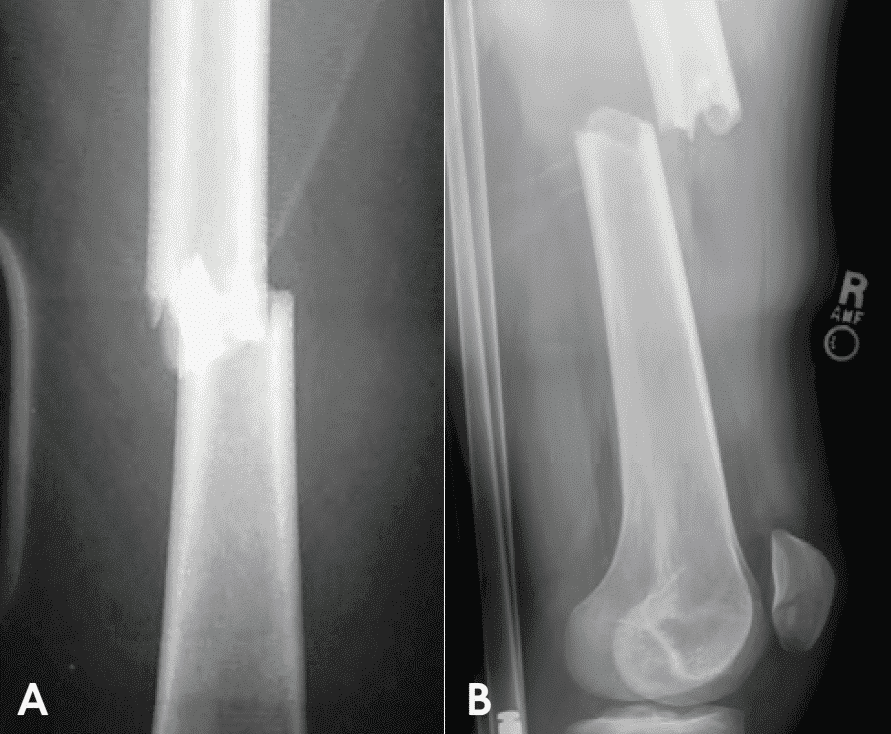
A. Дистальний відділ стегнової кістки у прямій проєкції.
B. Дистальний відділ стегнової кістки у бічній проєкції.
Рентгенографію ушкоджених довгих трубчастих кісток потрібно виконувати у двох ортогональних проєкціях, необхідна візуалізація усієї кістки. Одного знімка недостатньо
Допомога
Іммобілізація ушкодженої частини тіла повинна охоплювати суглоби над і під місцем перелому. Після накладання шини треба перевірити неврологічний і судинний стан кінцівки. Для подальшого лікування необхідна консультація хірурга.
Правила іммобілізації
Накладання шини на ушкоджену кінцівку зазвичай можна виконати під час вторинного обстеження за умови, що травма не загрожує життю. Проте шину слід накладати перед транспортуванням пацієнта. Треба перевіряти неврологічний і судинний стан пацієнта до та після накладання шин чи вправляння перелому.
Переломи стегна
Переломи стегнової кістки фіксують тимчасово за допомогою шини з витяжкою (див. зобр. 8.3; також див. відео Traction Splint у мобільному додатку MyATLS). Сила шини з витяжкою прикладається дистально до гомілковостопного суглоба. Проксимально штифт поміщається в сідничну складку, здійснює тиск на сідниці, промежину і пах. Надмірне витягування може спричинити ушкодження шкіри ноги, гомілковостопного суглоба чи промежини. Оскільки нервово-м’язові порушення також можуть виникати внаслідок накладання шини з витяжкою, лікарі повинні оцінити стан нервів та судин кінцівки до та після накладання шини. Не виконуйте маніпуляції з витяжкою у пацієнтів з іпсилатеральним переломом діафіза великогомілкової кістки. Переломи шийки стегна можуть бути іммобілізовані аналогічно за допомогою шини з витяжкою, проте кращий варіант іммобілізації — витяжіння шкіри або витяжіння пінопластовим чобітком із легким згинанням коліна. Найлегший метод накладання шини — це прив’язати ушкоджену ногу до іншої ноги.
Ушкодження коліна
Застосування комерційно доступних фіксаторів колінного суглоба чи задньої довгої гіпсової шини допомагає підтримувати комфорт і стабільність. Ногу треба фіксувати не повністю розігнутою, а так, щоб залишалося принаймні 10° для її згинання з метою зменшення тиску на нервово-судинні структури.
Переломи великогомілкової кістки
Іммобілізуйте переломи великогомілкової кістки для мінімізації болю та подальшого ушкодження м’яких тканин, а також зниження ризику компартмент-синдрому. За можливості перевагу надають гіпсовим лонгетам, які іммобілізують стегно, коліно та гомілковостопний суглоб.
Переломи гомілковостопного суглоба
Переломи гомілковостопного суглоба можна фіксувати за допомогою шини з м’якою підкладкою, щоб зменшити біль та уникнути тиску на кісткові виступи (зобр. 8.10).
A. Задню та U-подібну шину закріплюють еластичним бинтом.
B. Остаточний вигляд шини.
| Приховані загрози | Запобігання |
| Витяжіння кінцівки з переломом великогомілкової/ малогомілкової кістки може викликати ушкодження нервово-судинних структур | Уникайте витяжіння при поєднаних переломах стегнової та великогомілкової/малогомілкової кісток. Використовуйте довгу задню шину разом з U-подібною шиною для гомілки. |
Ушкодження верхніх кінцівок і кисті
На руку можна накласти тимчасову шину, яка б підтримувала її в анатомічно функціональній позиції. Для цього зап’ясток має бути злегка вигнутий назад, а пальці обережно зігнені під кутом 45° у п’ястно-фалангових суглобах. Такої позиції можна досягнути шляхом обережної фіксації руки на великому згортку марлі й накласти шину довжиною до ліктя.
Передпліччя і зап’ястя фіксують на м’яких чи надувних шинах. Лікоть зазвичай фіксують у зігненій позиції або за допомогою м’яких шин, або шляхом прямої фіксації до тіла, використовуючи підтримувальну пов’язку. Плече зазвичай фіксують до тулуба бинтом або використовують підтримувальну пов’язку, яку можна доповнити грудною і плечовою пов’язкою. Переломи плечового суглоба фіксують за допомогою спеціальних шин.
Знеболення
Правильне накладання шин, за допомогою якого можна контролювати рухливість травмованих частин тіла, суттєво зменшує дискомфорт пацієнта. Якщо біль не зменшується або виникає знову, слід зняти шину та виконати подальше обстеження кінцівки. Знеболювальні препарати застосовують у пацієнтів із переломами та ушкодженнями суглобів. Пацієнти, які на перший погляд не відчувають болю і дискомфорту від великого перелому, можуть мати інші супутні ушкодження, наприклад, внутрішньочерепні чи спинномозкові ураження, або можуть бути під впливом алкоголю і/або наркотичних речовин.
Для ефективного полегшення болю необхідним є призначення наркотичних анальгетиків, які слід застосовувати в малих дозах внутрішньовенно і повторювати в разі потреби. Заспокійливі засоби слід з обережністю призначати пацієнтам з ізольованими травмами кінцівок, наприклад, при вправленні вивиху. У разі призначення знеболювальних чи заспокійливих засобів існує потенційний ризик зупинки дихання. Саме тому відповідне реанімаційне обладнання та налоксон (Наркан) повинні бути обов’язково доступними.
Регіонарні блокади відіграють свою роль у полегшенні болю та при репозиції переломів у разі допустимості. Дуже важливо оцінити та задокументувати будь-яке ушкодження периферійних нервів перед виконанням блокади. Завжди пам’ятайте про ризик компартмент-синдрому, оскільки при блокаді нерва цей стан може бути замаскований.
Супутні травми
При деяких м’язово-скелетних травмах, через схожий механізм травмування, можуть виникати супутні вторинні ушкодження, які не одразу є очевидними і їх легко пропустити (див. Табл. 8.5).
Виявлення і лікування супутніх ушкоджень вимагає таких кроків:
- Перевірте анамнез діагностованої травми, особливо її механізм, щоб визначити наявність супутньої.
- Старанно огляньте всі кінцівки, особливо руки, зап’ястки, ноги і суглоби зверху і знизу від перелому чи вивиху.
- Візуально огляньте спину, хребет і таз пацієнта.
- Необхідно задокументувати відкриті та закриті травми м’яких тканин, які можуть вказувати на нестабільне ушкодження.
- Перегляньте рентгенівські знімки з вторинного обстеження, щоб ідентифікувати непомітні ушкодження, які можуть супроводжувати очевидну травму.
Таблиця 8.5. Травми опорно-рухового апарату: поширені не виявлені та супутні травми
| Травма | Не виявлене/Супутнє ушкодження |
| Перелом ключиці Перелом лопатки Перелом та/або вивих плеча | Серйозна травма грудної клітки, особливо забій легень та переломи ребер Дисоціація лопатково-грудного зчленування |
| Перелом/вивих ліктя | Травма плечової артерії Травма серединного, ліктьового, променевого нерва |
| Перелом стегнової кістки | Перелом шийки стегнової кістки Ушкодження зв’язок коліна Задній вивих стегна |
| Задній вивих коліна | Перелом стегна Задній вивих стегна |
| Вивих коліна Перелом плато великогомілкової кістки зі зміщенням | Травми підколінної артерії та нерва |
| Перелом п’яткової кістки | Травма або перелом хребта Переломовивих п’яткової та таранної кісток Перелом великогомілкової кістки |
| Відкритий перелом | 70% переломів супроводжуються супутніми нескелетними травмами |
Приховані ушкодження скелета
Пам’ятайте, не всі травми можна діагностувати під час первинного огляду. Суглоби та кістки, які добре закриті м’язовою тканиною, можуть мати приховані травми. Важко ідентифікувати переломи без зміщення чи травми зв’язок суглобів, особливо якщо пацієнт не відповідає на питання або якщо в нього є інші тяжкі травми. Важливо усвідомити, що зазвичай травми виявляють через кілька днів після нещасного випадку, наприклад, коли пацієнт починає рухатися. Тому треба повторно обстежувати пацієнта, повідомляти іншим членам травматологічної команди та членам сім’ї пацієнта про ймовірність прихованих ушкоджень скелета.
| Приховані загрози | Запобігання |
| Приховані ушкодження можуть не бути виявлені під час первинного та вторинного огляду | Переверніть пацієнта та роздягніть його повністю для повного огляду і виявлення всіх ушкоджень Повторіть огляд пацієнта з голови до п’ят після стабілізації стану для виявлення прихованих ушкоджень |
Командна робота
- Травми опорно-рухового апарату, особливо відкриті переломи, часто можуть відволікати членів команди від пріоритетів реанімації. Керівник повинен забезпечити першочергову увагу членів команди на небезпечних для життя травмах.
- Оскільки під час оцінки кровообігу може бути виявлено потенційно небезпечні для життя ушкодження опорно-рухового апарату, керівник повинен швидко спрямувати дії команди на зупинку зовнішньої кровотечі за допомогою стерильних стискаючих пов’язок, шин або турнікетів відповідно до ситуації. За такого сценарію особливо важлива здатність травматологічної команди одночасно працювати над різними завданнями.
- Для накладання шини з витяжкою може знадобитися більш ніж один член команди. Керівник може скерувати інших асистентів або спеціалістів (наприклад, судинного хірурга чи хірурга-ортопеда) для допомоги команді.
- Команда повинна вміти розпізнавати небезпечні для кінцівок травми та з точністю повідомляти про них керівникові. Це допоможе ухвалити рішення щодо лікування цих травм разом із небезпечними для життя станами, пов’язаними з прохідністю дихальних шляхів, диханням, кровообігом.
- Переконайтесь, що травматологічна команда виконує вторинний огляд у повному обсязі, щоб виявити всі травми. Приховані травми найчастіше трапляються у пацієнтів зі зниженим рівнем свідомості. Керівник команди повинен забезпечити своєчасне проведення повторного огляду кінцівок для мінімізації ризику невиявлених травм.
Підсумок
- Травми опорно-рухового апарату можуть бути загрозливими для життя та становити небезпеку для кінцівки.
- Метою первинного огляду м’язово-скелетної травми є ідентифікація ушкоджень, які загрожують життю і/чи кінцівці. Небезпечні для життя травми опорно-рухового апарату слід належним чином обстежувати і призначати лікування, незважаючи на їх незначну поширеність. Поетапний підхід до зупинки кровотечі полягає в застосуванні прямого тиску, шин і турнікетів.
- Більшість травм кінцівок правильно діагностують і призначають лікування під час вторинного огляду. Для виявлення травм опорно-рухового апарату слід ретельно зібрати анамнез, уважно провести медичний огляд, включно з повним роздяганням пацієнта.
- Необхідно вчасно розпізнати і призначити лікування ушкодження артерій, компартмент-синдрому, відкритих переломів, розтрощених ран і переломовивихів.
- Знання про механізм травми та її анамнез дає змогу лікарю зрозуміти, які супутні ушкодження потенційно наявні в травмованій кінцівці.
- Раннє накладання шини на переломи та вивихи запобігає подальшим серйозним ускладненням. Ретельне обстеження нервів та судин ушкодженої кінцівки слід виконувати до та після накладання шини чи засобів витяжіння кінцівки.
Бібліографія
- Beekley AC, Starnes BW, Sebesta JA. Lessons learned from modern military surgery. Surg Clin North Am 2007;87(1):157–184, vii.
- Brown CV, Rhee P, Chan L, et al. Preventing renal failure in patients with rhabdomyolysis: do bicarbonate and mannitol make a difference? J Trauma 2004;56:1191.
- Bulger EM, Snyder D, Schoelles C, et al. An evidence-based prehospital guideline for external hemorrhage control: American College of Surgeons Committee on Trauma. Prehospital
Emergency Care 2014;18:163–173. - Clifford CC. Treating traumatic bleeding in a combat setting. Mil Med 2004;169(12 Suppl): 8–10, 14.
- Elliot GB, Johnstone AJ. Diagnosing acute compartment syndrome. J Bone Joint Surg Br 2003;85:625–630.
- German Trauma Society. Prehospital (section 1). Emergency room, extremities (subsection 2.10). In: S3—Guideline on Treatment of Patients with Severe and Multiple Injuries. (English version AWMF-Registry No. 012/019). Berlin: German Trauma Society (DGU).
- Gustilo RB, Mendoza RM, Williams DN. Problems in the management of type III (severe) open fractures: a new classifcation of type III open fractures. J Trauma 1985;24:742.
- Inaba K, Siboni S, Resnick S, et al. Tourniquet use for civilian extremity trauma. J Trauma 2015:79(2):232–237.
- King RB, Filips D, Blitz S, et al. Evaluation of possible tourniquet systems for use in the Canadian Forces. J Trauma 2006;60(5):1061–1071.
- Kobbe P, Micansky F, Lichte P, et al. Increased morbidity and mortality after bilateral femoral shaft fractures: myth or reality in the era of damage control? Injury 2013Feb;44(2):221–225.
- Konda SR, Davidovich RI, Egol KA. Computed tomography scan to detect traumatic arthrotomies and identify periarticular wounds not requiring surgical intervention: an improvement over the saline load test. J Trauma 2013;27(9):498–504.
- Kostler W, Strohm PC, Sudkamp NP. Acute compartment syndrome of the limb. Injury
2004;35(12):1221–1227. - Lakstein D, Blumenfeld A, Sokolov T, et al. Tourniquets for hemorrhage control on the
battlefeld: a 4-year accumulated experience. J Trauma 2003;54(5 Suppl):S221–S225. - Mabry RL. Tourniquet use on the battlefeld. Mil Med 2006;171(5):352–356.
- Medina O, Arom GA, Yeranosian MG, et al. Vascular and nerve injury after knee dislocation: a systematic review. Clin Orthop Relat Res 2014Oct;472(1):2984–2990.
- Mills WJ, Barei DP, McNair P. The value of the ankle-brachial index for diagnosing arterial injury after knee dislocation: a prospective study. J Trauma 2004;56:1261–1265.
- Natsuhara KM. Yeranosian MG, Cohen JR, et al. What is the frequency of vascular injury
after knee dislocation? Clin Orthop Relat Res 2014Sep;472(9):2615–2620. - Ododeh M. The role of reperfusion-induced injury in the pathogenesis of the crush syndrome. N Engl J Med 1991;324:1417–1421.
- Okike K, Bhattacharyya T. Trends in the management of open fractures. A critical analysis. J Bone Joint Surg Am 2006;88:2739–2748.
- Olson SA, Glasgow RR. Acute compartment syndrome in lower extremity musculoskeletal trauma.J Am Acad Orthop Surg2005;13(7):436–444.
- O’Brien CL, Menon M, Jomha NM. Controversies in the management of open fractures. Open Orthop J 2014;8:178–184.
- O’Toole RV, Lindbloom BJ, Hui E, et al. Are bilateral femoral fractures no longer a marker for death? J Orthoped Trauma 2014 Feb;28(2): 77–81.
- Schmitt SK, Sexton DJ, Baron EL. Treatment and Prevention of Osteomyelitis Following Trauma in Adults. UpToDate. http://www.uptodate.com/contents/treatment-and-prevention-ofosteomyelitis-following-trauma-in-adults. October 29, 2015.
- Steinhausen E, Lefering R, Tjardes T, et al. A risk-adapted approach is beneficial in the
management of bilateral femoral shaft fractures in multiple trauma patients: an analysis based on the trauma registry of the German Trauma Society. J Trauma 2014;76(5):1288– 1293. - Tornetta P, Boes MT, Schepsis AA, et al. How effective is a saline arthrogram for wounds
around the knee? Clin Orthop Relat Res. 2008;466:432–435. - Ulmer T. The clinical diagnosis of compartment syndrome of the lower leg: are clinical fndings predictive of the disorder? J Orthop Trauma 2002;16(8):572–577.
- Walters TJ, Mabry RL. Issues related to the use of tourniquets on the battlefeld. Mil Med
2005;170(9):770–775. - Walters TJ, Wenke JC, Kauvar DS, et al. Effectiveness of self-applied tourniquets in human volunteers. Prehosp Emerg Care 2005;9(4):416–422.
- Welling DR, Burris DG, Hutton JE, et al. A balanced approach to tourniquet use: lessons learned and relearned. J Am Coll Surg 2006;203(1):106–115.
- Willett K, Al-Khateeb H, Kotnis R, et al. Risk of mortality: the relationship with associated injuries and fracture. Treatment methods in patients with unilateral or bilateral femoral shaft fractures. J Trauma 2010 Aug;69(2):405–410.
GMKA та American College of Surgeons (ACS) підписали меморандум про взаєморозуміння, який дозволив GMKA перекласти українською мовою 10-е видання посібника ATLS та розповсюдити його на нашому веб-сайті у відкритому доступі для українських лікарів.
Читати наступний розділ: